Enfermedad de Rosai-Dorfman espinal extradural con compromiso paravertebral
Reporte de un caso
Manuel Cueva Núñez, David Yábar Boza, Pedro Soto Padilla, Luis Enrique Contreras Montenegro
Hospital Nacional Dos de Mayo, Lima, Perú
Recibido: 02/05/2025 Aceptado: 06/08/2025
Luis Enrique Contreras Montenegro
lcontrerasmontenegro@yahoo.com
ORCID
Manuel Cueva Núñez: 0009-0000-3186-7473
David Yábar Boza: 0009-0008-9871-3311
Pedro Soto Padilla: 0009-0001-9862-7922
Luis Enrique Contreras Montenegro: 0009-0000-7779-6850
EMAILS
Manuel Cueva Núñez: manuelcn5656@hotmail.com
David Yábar Boza: daanatyy@gmail.com
Pedro Soto Padilla: sotopadilla@hotmail.com
Los autores no declaran conflicto de interés
Los autores no declaran financiamiento.
RESUMEN
Introducción: la enfermedad de Rosai-Dorfman (ERD) es un trastorno histiocítico, proliferativo, idiopático y benigno, caracterizado por histiocitosis sinusal y linfadenopatía masiva. Rosai y Dorfman describieron, en 1969, cuatro casos a los que llamaron histiocitosis sinusal con linfadenopatía masiva, cuya entidad es diferente a la histiocitosis X y puede ser encontrada tanto en ganglios linfáticos como órganos o tejidos extraganglionares. Es una entidad relativamente rara en su presentación clásica ganglionar, más aún en su forma extraganglionar. La incidencia descripta en EE. UU. es de 100 casos por año, la presentación extraganglionar aproximadamente es el 35% de los casos, de estos, menos del 5% compromete el sistema nervioso central (SNC).
Objetivo: describir y presentar el caso de un tipo de lesión no neoplásica pocas veces referido en la literatura y que puede tener un buen pronóstico.
Descripción del caso: presentamos el caso de un paciente joven con ERD extraganglionar que comprometió la región espinal ocasionando un cuadro clínico por compresión medular de paraplejia, pérdida de la sensibilidad por debajo de la lesión y del control de esfínteres.
Intervención: laminectomía T2-T6 con exéresis total del tumor macroscópicamente y mejoría clínica posterior.
Conclusión: la ERD es un trastorno histiocítico de probable etiología inmune secundario a una respuesta infecciosa viral, se presenta en su forma clásica comprometiendo ganglios linfáticos, principalmente cervicales, así como en su forma extraganglionar, en la que puede, o no, estar comprometido el sistema linfoide, la afectación del SNC en mayor frecuencia compromete el encéfalo, en menor frecuencia la medula espinal.
Palabras Clave: Compresión medular. Enfermedad de Rosai-Dorfman. Ganglios linfáticos. Histiocitosis
Extradural spinal Rosai-Dorfman disease with paravertebral involvement. Case report
ABSTRACT
Introduction: Rosai-Dorfman disease (RDD) is a benign, idiopathic, proliferative, histiocytic disorder, characterized by sinus histiocytosis and massive lymphadenopathy. Rosai and Dorfman described four cases in 1969 which they called sinus histiocytosis with massive lymphadenopathy, the entity of which is different from histiocytosis X and can be found both in lymph nodes and extranodal organs or tissues. It is a relatively rare entity in its classic lymph node presentation, even more so in its extranodal form. The incidence described in USA is 100 cases per year, the extranodal presentation is approximately 35% of the cases, less than 5% involving the CNS.
Objective: to describes and present the case of a type of non-neoplastic lesion rarely referred in the literature and that may have a good prognosis.
Case description: we present the case of a young patient with extranodal RDD that compromised the spinal region causing a clinical presentation of spine cord compression characterized by paraplegia, loss of sensitivity below the lesion and loss of sphincter control.
Surgery: T2-T6 laminectomy with macroscopically complete tumor excision and subsequent clinical improvement.
Conclusion: RDD is an histiocytic disorder of probable immune etiology secondary to a viral infectious response, it presents in its classic form involving mainly cervical lymph nodes, as well as in its extranodal form in which the lymphoid system may or may not be compromised, more frequent CNS involvement compromises the brain, less often the spinal cord.
Keywords: Histiocytosis. Lymph nodes. Rosai-Dorfman disease. Spinal cord compression
INTRODUCCIÓN
La enfermedad de Rosai-Dorfman (ERD) fue reportada por primera vez en 1965 por Destombes, quien la describió como un “trastorno de almacenamiento de lípidos, probablemente desarrollado después de un proceso inflamatorio”.(1-4) Posteriormente, en 1969, Rosai y Dorfman caracterizaron esta entidad como un trastorno histiocítico raro, llamado histiocitosis sinusal con linfadenopatía masiva (HSLM).
La ERD se considera una enfermedad benigna, idiopática y proliferativa de los histiocitos que afecta con mayor frecuencia a varones adultos jóvenes. Se caracteriza por linfadenopatía cervical masiva, indolora, bilateral y simétrica, manifiesta fiebre, leucocitosis, linfopenia e incremento de la velocidad de sedimentación globular, hiperglobulinemia policlonal y anemia.(1)
La forma extraganglionar afecta con frecuencia las vías respiratorias superiores, senos paranasales, piel, huesos, mamas, tracto genitourinario y órbitas. Con menor frecuencia compromete el SNC, principalmente el encéfalo, y rara vez la médula espinal (20-25% de los casos del SNC).(2,5) El compromiso extradural del SNC es más frecuente; asimismo, se han reportado casos con todos los compartimentos afectados, así como los tejidos adyacentes.
La etiología de esta enfermedad aún se desconoce, se sospecha un origen viral, reactivo y no neoplásico.(6) Desde el punto de vista histológico, las lesiones presentan un infiltrado linfohistiocitario con presencia intracitoplasmática de linfocitos intactos, fenómeno conocido como “emperipolesis”, característico de esta entidad aunque no patognomónico.(4)
OBJETIVO
Describir y presentar el caso de un tipo de lesión no neoplásica pocas veces referido en la literatura y que puede tener un buen pronóstico.
DESCRIPCIÓN DEL CASO
Paciente de sexo masculino, de 21 años, sin antecedentes relevantes. Siete semanas antes de su ingreso sufre caída accidental a nivel, con sensación progresiva de pérdida de fuerza muscular en miembros inferiores (MMII), 2 semanas antes de su ingreso presentó parestesias bilaterales en MMII; estas le ocasionaron caídas frecuentes. Tres días antes acudió a emergencias del Hospital por incapacidad para deambular asociada a pérdida de control de esfínteres. Al examen físico se encontró lúcido, sin déficit de pares craneales, paraplejia espástica, hiperreflexia rotuliana bilateral, clonus bilateral en miembros inferiores, nivel sensitivo desde dermatoma T4 caudal y pérdida de control de esfínteres.
Durante su internación se realizaron estudios por imágenes. En la resonancia se evidenció tumor dorsal (D2-D5) de probable origen neurogénico localizado a nivel epidural que se extendía a la región paravertebral izquierda (Figura 1). En los estudios de laboratorio se encontró incremento de la velocidad de sedimentación globular, hemograma compatible con anemia microcítica e hipocrómica, ligera leucocitosis con neutrofilia. Marcadores tumorales, examen serológico y perfil autoinmune dentro de parámetros normales.

Figura 1. RM de columna dorsal. A y B) Con contraste. Evidencia lesión hipercaptadora homogénea que se extiende desde D2 – D6 con efecto de compresión medular extradural, principalmente a nivel de D3, con extensión a región paravertebral izquierda. C y D) En T2 se evidencia lesión hipointensa con efecto de compresión sobre médula espinal con extensión paravertebral izquierda hasta pleura parietal torácica.
INTERVENCIÓN
Se realizó laminectomía D2-D6 con exéresis macroscópicamente total del tumor de color amarillo pardo (Figura 2). El estudio anatomopatológico e inmunohistoquímico de la pieza operatoria fue linfohistiocitosis-enfermedad de Rosai-Dorfman. En el postoperatorio inmediato cursó con fiebre sostenida de 39°- 40° la que persistió por 3 semanas, cediendo en la cuarta semana. Se realizaron hemocultivos seriados, urocultivo, cultivo de líquido cefalorraquídeo con resultados negativos para infección. También presentó disminución de peso y dorsalgia, atribuidas a la postración. Por diagnóstico diferencial de síndrome paraneoplásico, se administró corticoterapia (prednisona 1 mg/kg) antes y después del acto quirúrgico. Posteriormente, y por sugerencia de Hematología, se agregó talidomida y dexametasona por 2 meses, además de tratamiento sintomático.

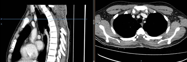
Figura 2. Tomografía computada de columna dorsal con contraste. Se evidencia laminectomía D2 – D6, no se observa lesión hipercaptadora de contraste sugerente de lesión neoproliferativa residual.
En la primera semana del postoperatorio no hubo mejoría neurológica. Luego, en las semanas siguientes, el paciente evolucionó favorablemente respecto al déficit motor, mejoró la sensibilidad y controló esfínteres.
Seis meses después de la cirugía continuó en rehabilitación y deambuló con apoyo, paraparesia 4/5, controló esfínteres y no presentó parestesias. Actualmente, el paciente recuperó la fuerza muscular 5/5.
DISCUSIÓN
Como se mencionara anteriormente, la enfermedad de Rosai-Dorfman es una entidad histiocítica, linfoproliferativa y benigna, no neoplásica, caracterizada en su forma clásica por adenopatías cervicales prominentes; sin embargo, puede comprometer múltiples órganos y sistemas, e incluso ocasionar morbilidad severa y mortalidad.(2) La otra forma de presentación es extraganglionar aislada (sin compromiso ganglionar) y es muy rara. Esta puede comprometer la piel, el sistema respiratorio superior, huesos, órbitas, genitales, SNC y otros, en menor frecuencia. El compromiso ganglionar predomina en la región cervical. Se presenta, en promedio, en el 25–45% de los casos y compromete los órganos y sistemas previamente mencionados. Cuando afecta el sistema nervioso central (SNC) lo hace en menos del 5% de los casos; de estos, entre el 20 y el 25% comprometen la médula espinal.(2,6-8) Con mayor frecuencia, el compromiso es extradural, seguido por el intradural extramedular, el compromiso a nivel medular es excepcional.
La localización espinal suele ser unilateral, sin embargo, se han reportado casos con afectación bilateral, así como presentaciones simultáneas a nivel de encéfalo y la médula espinal. La ERD extraganglionar afecta con mayor frecuencia a personas del sexo masculino (relación H/M ≈ 2/1, en promedio) con predominio en el grupo etario joven y adulto joven.(4) En nuestro caso, la presentación de la ERD fue en un paciente masculino, joven (21 años) con una forma extraganglionar aislada a nivel intrarraquídeo, extradural y paravertebral izquierdo D2 a D6.
Tal como anticipáramos, la etiología de la ERD no es conocida y se atribuye a varios factores, como los agentes infecciosos, neoplasias hematopoyéticas o predisposición genética.(5) La causa infecciosa probablemente sea viral y se atribuye al herpes humano tipo 6, cuyo genoma se ha identificado en personas con ERD. También se han mencionado otros virus, como Epstein-Barr, varicela zóster y parvovirus B19, debido a la presencia de anticuerpos elevados en algunos casos.(1,2,9) Otros agentes infecciosos bacterianos relacionados son la Brucella y Klebsiella.(5) Estudios moleculares no evidencian reordenamiento monoclonal, esto sugiere más un desorden reactivo policlonal, lo que lo aleja de una condición neoplásica.(6)
Las manifestaciones clínicas observadas cuando la enfermedad compromete tejidos extraganglionares dependen del órgano afectado. Además, pueden asociarse síntomas generales como fiebre, malestar general y pérdida de peso.
Generalmente, el diagnóstico definitivo de la ERD se realiza con estudios de anatomía patológica e inmunohistoquímica, ya que los estudios de laboratorio y radiológicos no son característicos. En los casos con compromiso del SNC, el diagnóstico prequirúrgico continúa siendo un desafío, dado que los pacientes suelen ingresar al quirófano con diagnósticos como meningiomas, neurinomas, u otros tumores de etiología incierta. La velocidad de sedimentación globular (VSG) es elevada en estos pacientes.(2,3,6) También otros reportes mencionan leucocitosis con neutrofilia, hipergammaglobulinemia —principalmente de tipo IgG, y con menor frecuencia IgM e IgA—, anemia microcítica hipocrómica y, en general, datos de laboratorio inespecíficos.
Los estudios por resonancia magnética (RM) pueden mostrar patrones heterogéneos, iso o hipointensos en secuencias T1 y T2, que mejoran con la captación de contraste. Xu y col.(2) describen lesión isointensa de la médula espinal en T1 y heterogéneamente hipointensa en secuencia T2, con buena captación de contraste. Elsotouhy y col.(10) describen una masa de tejido blando con base dural, tanto epidural como subdural extramedular, que causan compresión de la médula espinal iso e hipointensas en secuencias T1 y T2 que se vuelven homogéneas con la administración de contraste.
Cuando la enfermedad compromete la región espinal, en todos los reportes analizados el diagnóstico definitivo se establece a partir de estudios anatomopatológico e inmunohistoquímico, por lo general, después del tratamiento quirúrgico. En el estudio anatomopatológico es característico encontrar el fenómeno “emperipolesis”, consistente en histiocitos que han fagocitado linfocitos, células plasmáticas y otras células hemáticas intactas en su citoplasma.(1-9) La confirmación se define con marcadores positivos S100 y CD68 positivos y CD1 negativa.(1-10)
En nuestro caso, el diagnóstico se confirmó luego de la cirugía con el estudio anatomopatológico que refirió signos de emperipolesis, y el estudio inmunohistoquímico reveló marcadores S100-CD68-CD163 positivos y CD1a-GFAP negativos.
Al considerarse la ERD como una entidad benigna, cuando no compromete órganos vitales (alrededor del 90%) la enfermedad se observa y cede espontáneamente. Cuando hay compromiso del SNC, principalmente cuando afecta la médula espinal y genera compresión, el tratamiento de primera línea es quirúrgico, y el tratamiento de elección es la resección total. También existen publicaciones de terapia adyuvante a base de esteroides, quimioterapia, radioterapia, o anticuerpos monoclonales, principalmente en los casos en los que la resección es parcial o aquellos complicados en los que no es posible la cirugía. Si la resección es total, el tratamiento adyuvante no es recomendable.(2-7)
CONCLUSIONES
La ERD es un trastorno histiocítico de probable etiología inmune secundario a una respuesta infecciosa viral. Su pronóstico, según los reportes, es bueno y la recurrencia es baja. En los tres años de seguimiento de nuestro caso no hemos visto recurrencia de la lesión a nivel espinal o en otra región, y la recuperación de la motricidad fue completa.
Contribuciones de autoría
Conceptualización, Curación de datos, Adquisición de fondos, Metodología, Administración del proyecto, Validación, Visualización y Redacción - revisión y edición: Luis Enrique Contreras Montenegro. Análisis formal, Software y Redacción - borrador original: Manuel Cueva Núñez. Investigación: Manuel Cueva Núñez, Luis Enrique Contreras Montenegro. Recursos: Luis Enrique Contreras Montenegro, Pedro Soto Padilla, David Yábar Boza. Supervisión: Pedro Soto Padilla, Luis Contreras Montenegro.
BIBLIOGRAFÍA
COMENTARIO
Interesante artículo sobre una enfermedad muy poco frecuente, pero que puede afectar el sistema nervioso. En este caso particular, la enfermedad de Rosai-Dorfman compromete a nivel dorsal varios segmentos, con severo compromiso clínico y neurológico. Lo prioritario es el tratamiento de la compresión medular y la mejoría de la signosintomatología. Al tratarse de una masa tumoral inicialmente de origen desconocido, extradural y limitada al canal vertebral, la propuesta quirúrgica de descompresión con exéresis completa con una laminectomía reglada simple es la adecuada. Se debe contemplar la obligación de controlar en los años siguientes al procedimiento la evolución, no solo de alguna probable recidiva tumoral, también de la mecánica de ese sector vertebral, aún más teniendo en cuenta la edad del paciente (21 años).
Sugiero ampliar lectura con la siguiente bibliografía:
Bruce C y col. Rosai Dorfman disease: an overview. Review J Clin Pathol. 2020 Nov;73(11):697-705.
Articulo de revision publicado en MSD Manuals. Revisado y modificado por Jerry Spivak de la John Hopkins University School of Medicine.
Ramiro Gutiérrez
Servicio de Neurocirugía y Cirugía de Columna, Clínica Güemes, Luján, Provincia de Buenos Aires, Argentina