Cavernomas del tronco encefálico: reporte de 10 casos operados
Hugo Romero Vinet,1 Matías Baldoncini,2 Álvaro Campero3
1. Hospital Carlos Van Buren, Valparaíso, Chile
2. Hospital San Fernando, Provincia de Buenos Aires, Argentina
3. Hospital Ángel C. Padilla, Provincia de Tucumán, Argentina


Recibido: 03/05/2025 Aceptado: 10/08/2025

Hugo Romero Vinet
hugo.romero.vinet@gmail.com


ORCID
Hugo Romero Vinet: 0009-0008-3204-2084
Matías Baldoncini: 0000-0001-9323-8306
Álvaro Campero: 0000-0001-5184-5052

EMAILS
Matías Baldoncini: drbaldoncinimatias@gmail.com
Álvaro Campero: alvarocampero@yahoo.com.ar

Los autores no declaran conflicto de interés
Los autores no declaran financiamiento.


Este es un artículo de acceso abierto bajo la licencia CC BY-NC https://creativecommons.org/licenses/by-nc/4.0/

RESUMEN
Introducción: los cavernomas del tronco encefálico son malformaciones vasculares de bajo flujo con alto riesgo de sangrado y significativa morbilidad neurológica. Su manejo quirúrgico continúa siendo un desafío dada su localización en áreas altamente elocuentes.
Objetivos: presentar nuestra serie de cavernomas del tronco encefálico operados, analizar los resultados clínicos e imagenológicos, así como los abordajes utilizados según su ubicación.
Material y métodos: se realizó un estudio retrospectivo de 10 pacientes con diagnóstico de cavernoma de tronco encefálico operados de forma consecutiva por los autores entre enero de 2021 y febrero de 2025. Se analizaron variables clínicas, radiológicas, quirúrgicas y de evolución postoperatoria.
Resultados: 6 pacientes fueron mujeres; la edad media fue de 39 años. El 100% presentó sangrado previo. Las lesiones se localizaron en la protuberancia (50%), bulbo (30%) y mesencéfalo (20%). Se emplearon abordajes suboccipitales o retrosigmoideos según la localización de la lesión. En todos los casos se logró resección completa. Seis pacientes tuvieron recuperación completa; 2 presentaron déficits neurológicos transitorios. No se observaron nuevas secuelas permanentes.
Conclusión: la resección microquirúrgica de cavernomas del tronco encefálico es factible y segura en centros con experiencia, con buena evolución clínica en la mayoría de los casos seleccionados. El uso de escalas de estratificación, como la de Lawton, permite una mejor selección de pacientes quirúrgicos.

Palabras clave: Cavernoma. Fosa posterior. Retrosigmoideo. Tronco encefálico

Brainstem cavernomas: a 10-case surgical series

ABSTRACT
Introduction: brainstem cavernomas are low-flow vascular malformations with a high risk of bleeding and significant neurological morbidity. Their surgical management remains challenging due to their location in eloquent brain areas.
Objectives: to present our surgical series of brainstem cavernomas, analyze clinical and imaging outcomes, as well as the approaches used according to their location.
Methods: we conducted a retrospective review of 10 consecutive patients who underwent surgery for brainstem cavernomas between January 2021 and February 2025. Clinical, radiological, surgical, and postoperative outcomes were analyzed.
Results: 6 patients were female; mean age was 39 years. All had prior hemorrhage. Lesions were in the pons (50%), medulla (30%), and midbrain (20%). Surgical approaches were chosen based on lesion location, using suboccipital or extended retrosigmoid routes. Complete resection was achieved in all cases. Six patients fully recovered; 2 had transient neurological deficits. No new permanent sequel was reported.
Conclusion: microsurgical resection of brainstem cavernomas is feasible and safe in experienced centers, with favorable outcomes in most selected cases. Risk stratification tools, such as the Lawton grading scale, support optimal surgical decision-making.

Keywords: Brainstem. Cavernous malformation. Posterior fossa. Retrosigmoid


INTRODUCCIÓN
Las malformaciones cavernomatosas, también conocidas como cavernomas, angiomas venosos o malformaciones vasculares crípticas, son malformaciones vasculares de bajo flujo que representan entre el 10 y el 15% de las malformaciones vasculares del sistema nervioso central.(1) Desde el punto de vista histológico, se caracterizan por ser espacios sinusoidales conformados por una capa simple de endotelio rodeadas por un estroma de tejido conectivo.(2) Aunque presentan un bajo flujo y no tienen shunt arteriovenoso, su sangrado es frecuente dada la fragilidad de sus paredes. Esto puede producir desde déficits neurológicos y convulsiones, hasta la muerte.(3)
La ubicación de los cavernomas es especialmente importante, ya que aquellos localizados en áreas altamente elocuentes, como el tronco encefálico, pueden tener consecuencias más graves.(4)
Los cavernomas del tronco encefálico representan entre el 15 y el 18 % de los cavernomas encefálicos y conllevan un riesgo de sangrado casi 2 veces mayor que aquellos localizados en otras áreas, con un riesgo de resangrado anual que va desde el 5.1% al 30.8%.(3,5)
En cuanto a sus opciones de tratamiento, se pueden considerar la observación, la radiocirugía y la resección quirúrgica. Aunque aún es un tema de debate, especialmente con respecto a la oportunidad de tratamiento, la resección quirúrgica se ha convertido en el estándar gracias a los avances en las técnicas microquirúrgicas.(6)

OBJETIVOS
Presentar nuestra serie de cavernomas del tronco encefálico operados, analizar los resultados clínicos e imagenológicos, así como el abordaje utilizado según su ubicación.

MATERIALES Y MÉTODOS
Realizamos un estudio retrospectivo de 10 pacientes con diagnóstico de cavernoma de tronco encefálico operados de forma consecutiva por los autores en nuestro centro entre enero de 2021 y febrero de 2025. Analizamos las siguientes variables: edad, sexo, sintomatología preoperatoria, localización de la lesión, abordaje utilizado, grado de resección del cavernoma y evaluación clínica postoperatoria.

RESULTADOS
Entre enero de 2021 y febrero de 2025 se operaron 10 pacientes (6 mujeres y 4 hombres) (Tabla 1). La edad promedio fue de 39 años. El 50% de los casos (5 pacientes) presentaba lesiones en la protuberancia con compromiso de algún pedúnculo cerebeloso (4 en el pedúnculo cerebeloso medio y 1 en el pedúnculo cerebeloso inferior). El 30% (3 pacientes) manifestaba lesiones en el bulbo y el 20% (2 pacientes), en el mesencéfalo.


TABLA 1. RESUMEN DE LOS 10 CASOS OPERADOS DE CAVERNOMAS DEL TRONCO ENCEFÁLICO

Edad

Sexo

Síntomas

Ubicación

Hemorragia

D H - Qx

Abordaje

Resección

Evolución Postop

1

26

F

Hemiparesia I°
Hemihipostesia I°
Diplopía (IV par D°)

Puente

1

2 meses

RS-TPC

Completa

Sin síntomas agregados
Mejoró síntomas

2

53

F

Tetraparesia
Pares bajos

Bulbo

2

1 mes

SOM-IT

Completa

Sin síntomas agregados
Mejoró síntomas

3

35

F

Hemihipostesia D°
Diplopía (III par I°)
Cefalea

Mesencéfalo

1

1 año

SOL

Completa

Sin síntomas agregados
Mejoró síntomas

4

51

F

Cefalea
Náuseas y vómitos

Bulbo

1

3 meses

SOM-IT

Completa

Sin síntomas agregados
Mejoró síntomas

5

35

M

Hemihipostesia I°
VI y VII par D°
Ataxia

Puente

1

2 meses

RS-TPC

Completa

Agregó hemiparesia I° transitoria (revierte completamente)

6

26

M

Sd. vestibular D°
Ataxia

Puente

1

2 años

SOM-VT

Completa

Agregó diplopía por VI par transitoria (revierte completamente)

7

45

M

Hemihipostesia I°

Bulbo

1

3 meses

SOM-IT

Completa

Sin síntomas agregados
Mejoró síntomas

8

57

F

Hemihipostesia D°

Mesencéfalo

3

18 meses

SOL

Completa

Sin síntomas agregados
Mejoró síntomas

9

37

M

Hemiparesia D°
Hipostesia facial I°
Ataxia y nistagmo

Puente

1

1 mes

RS-TPC

Completa

Sin síntomas agregados
No mejoró síntomas

10

28

F

Diplopía (VI par)
Cefalea

Puente

1

1 mes

RS-TPC

Completa

Hemihipostesia I°

Δ H-Qx: tiempo transcurrido entre la hemorragia y la cirugía. Postop: postoperatorio. RS: retrosigmoideo. TPC: transpedúnculo cerebeloso medio. SOM: suboccipital medial. SOL: suboccipital lateral. IT: intertonsilar. VT: telovelotonsilar.

Presentación clínica
Todos los pacientes presentaron síntomas después de un sangrado. Dos pacientes registraron más de 1 sangrado (2 y 3, respectivamente). Seis pacientes debutaron con déficit sensitivo, 5 con déficit de pares craneales y 3 con déficit motor. Tres pacientes iniciaron con cefalea posterior al sangrado. El detalle de los síntomas de debut se encuentra en la Tabla 1.
Cirugía
Todos los pacientes fueron operados en posición semisentada. La elección del abordaje se basó en la ubicación del cavernoma. Los casos de ubicación medial (4 pacientes) fueron intervenidos mediante un abordaje suboccipital medial vía telovelar o intertonsilar. Los casos con ubicación lateral (6 pacientes) fueron ejecutados mediante un abordaje retrosigmoideo ampliado a través del pedúnculo cerebeloso medio (4 casos) o suboccipital lateral (2 casos).
Resección y seguimiento postquirúrgico
En el 100% de los pacientes se logró una resección completa del cavernoma. Un paciente requirió una segunda cirugía para exéresis de un pequeño remanente. Seis recuperaron la totalidad de sus síntomas de ingreso y no presentaron nuevos déficits neurológicos. Dos pacientes manifestaron deterioro neurológico transitorio, uno debido al desarrollo de hemihipoestesia y el otro por desarrollo de diplopía por parálisis del IV par craneal. Ambos se recuperaron completamente. Un paciente mantuvo su misma clínica de ingreso, pero no tuvo nuevos síntomas.
Los casos representativos de la serie se detallan a continuación, se ilustra la variedad de presentaciones y abordajes:
Caso 1: cavernoma mesencefálico
Una mujer de 35 años debutó con un cuadro de cefalea asociada a diplopía por parálisis del tercer par craneal izquierdo y hemihipoestesia del hemicuerpo derecho. La RM de encéfalo evidenció una malformación cavernomatosa tegmental izquierda con signos de sangrado reciente. Un año después del sangrado, la paciente fue sometida a una exéresis de la lesión mediante un abordaje suboccipital lateral y supracerebeloso infratentorial izquierdo (Figura 1), logrando una exéresis completa de la malformación (Figura 2). Después del procedimiento, la paciente no presentó nuevos déficits agregados.


Figura 1. Imágenes intraoperatorias bajo microscopía. Craneotomía suboccipital lateral. Se ingresa al mesencéfalo desde posterior por una ruta supracerebelosa infratentorial lateral. A y B) Corticotomía en surco mesencéfalo lateral. C) Identificación y resección en bloque de la malformación cavernomatosa. D) Revisión del lecho, sin remanente.


Figura 2. RM postquirúrgica de encéfalo. Se evidencia una exéresis completa, sin lesión de estructuras adyacentes. A) Imagen ponderada en T1 posterior a la administración de gadolinio, corte axial. B) Imagen ponderada en T2, corte axial.

Caso 2: cavernoma pontino
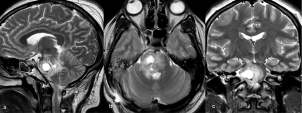
Una paciente femenina de 28 años, sin antecedentes de sangrado previo, debutó con cefalea, náuseas y vómitos, asociado a diplopía secundaria a una parálisis del VI par derecho. La RM de encéfalo evidenció una malformación cavernomatosa centrada en puente y el pedúnculo cerebeloso medio derecho (Figura 3). Un mes después del sangrado, se realizó una exéresis de la lesión mediante un abordaje retrosigmoideo ampliado a través del pedúnculo cerebeloso medio (Figura 4), logrando una exéresis completa (Figura 5). Tras el procedimiento, la paciente evolucionó con hemihipoestesia del hemicuerpo izquierdo, sin otros síntomas agregados.

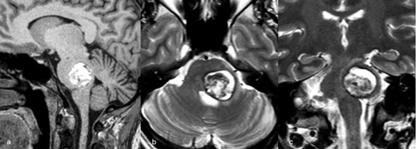
Figura 3. RM preoperatoria de encéfalo. Se evidencia una lesión única intraaxial centrada en puente y pedúnculo cerebeloso derecho, sugerente de un cavernoma roto. A, B y C) Imágenes ponderadas en T2 en cortes sagital, axial y coronal, respectivamente, donde se observa un importante hiperintensidad perilesional, sugerente de edema.


Figura 4. Imágenes intraoperatorias bajo microscopía. Abordaje retrosigmoideo ampliado a derecha, con ruta de ingreso transpedúnculo cerebeloso medio. A yB) Corticotomía en pedúnculo cerebeloso medio. C) Identificación y resección en bloque de la malformación cavernomatosa. D) Revisión del lecho, sin remanente.


Figura 5. RM postquirúrgica de encéfalo. Se evidencia una exéresis completa con hiperintensidad en T2 en regresión. A, B y C) Imágenes ponderadas en T2 en cortes coronal, axial y sagital, respectivamente.

Caso 3: cavernoma pontino
Un hombre de 37 años, con antecedentes de hipertensión arterial, debutó con ataxia de la marcha, nistagmo y hemihipoestesia facial izquierda y braquiocrural derecha. La RM de encéfalo evidenció una malformación cavernomatosa centrada en la protuberancia y el pedúnculo cerebeloso medio izquierdo (Figura 6). Un mes después del sangrado, el paciente fue sometido a una exéresis de la lesión mediante un abordaje retrosigmoideo ampliado por izquierda a través del pedúnculo cerebeloso medio (Figura 7), logrando una exéresis completa (Figura 8). Después del procedimiento, el paciente evolucionó con persistencia de los síntomas de ingreso, pero sin agregar nuevos déficits.


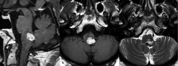
Figura 6. RM preoperatoria de encéfalo. Se evidencia una lesión única intraaxial localizada en el puente y pedúnculo cerebeloso medio izquierdo, hiperintensa en T1 y con un anillo hipointenso en T2, característica de una malformación cavernomatosa con sangrado reciente. A) Imagen ponderada en T1 en corte sagital. B y C) Imágenes ponderadas en T2 en cortes axial y coronal, respectivamente.


Figura 7. Imágenes intraoperatorias bajo microscopía. Abordaje retrosigmoideo ampliado a izquierda, con ruta de ingreso transpedúnculo cerebeloso medio. A) Apertura de fisura horizontal que divide los lóbulos semilunar superior y semilunar inferior del cerebelo, exponiendo el pedúnculo cerebeloso medio. B) Corticotomía en pedúnculo cerebeloso medio, evidenciando la cápsula del cavernoma. C) Resección en bloque de la malformación cavernomatosa. D) Revisión del lecho, sin remanente.


Figura 8. RM postquirúrgica de encéfalo. Se evidencia una exéresis completa, sin daño del parénquima adyacente. A, B y C) Imágenes ponderadas en T2 en cortes coronal, axial y sagital, respectivamente.

Caso 4: cavernoma bulbar
Una mujer de 53 años, con antecedentes de dos sangrados previos, consultó por un cuadro de perfil agudo caracterizado por tetraparesia asociada a compromiso de pares craneales bajos, que requirió instalación de una traqueostomía. La RM de encéfalo evidenció una malformación cavernomatosa en relación al bulbo izquierdo (Figura 9). Un mes después del último sangrado, la paciente fue sometida a una exéresis de la lesión mediante un abordaje suboccipital de línea media, vía intertonsilar (Figura 10), logrando una exéresis completa (Figura 11). Luego de la cirugía la paciente evolucionó con mejoría parcial de sus síntomas de ingreso, sin agregar nuevos déficits neurológicos.


Figura 9. RM preoperatoria de encéfalo. Se evidencia una lesión única intraaxial bulbotrigonal izquierda, que contacta la mitad inferior del piso del cuarto ventrículo, hiperintensa en T1 y T2, con vacíos de flujo que impresionan provenir de una malformación del desarrollo venoso, lo que sugiere una malformación cavernomatosa. A) Imagen en corte sagital ponderada en T1 posterior a la administración de gadolinio. B y C) Imágenes en corte axial ponderadas en T1 y T2, respectivamente.


Figura 10. Imágenes intraoperatorias bajo microscopía. Craneotomía suboccipital de línea media, con abordaje intertonsilar. A) Abordaje intertonsilar con disección telovelar hacia la derecha, abriendo el techo del cuarto ventrículo. B) Protrusión e identificación de la cápsula del cavernoma en relación al piso del cuarto ventrículo. C) Resección en bloque de la malformación cavernomatosa. D) Revisión del lecho, sin remanente.


Figura 11. RM postquirúrgica de encéfalo. Se evidencia una exéresis completa, sin daño del parénquima adyacente. A) Imagen en corte sagital ponderada en T1 posterior a la administración de gadolinio. B y C) Imágenes en corte axial ponderadas en T1 posterior a la administración de gadolinio y T2, respectivamente.

DISCUSIÓN
Los cavernomas son lesiones poco frecuentes, con una incidencia global estimada entre 0.15 y 0.56 cada 100000 personas/año.(7) Aunque solo entre el 15 y el 18% se localizan en el tronco encefálico, su riesgo de sangrado es aproximadamente el doble en comparación con los cavernomas ubicados en otras regiones intracraneales.(3) Esta localización representa un desafío clínico y quirúrgico, debido a su ubicación en áreas altamente elocuentes del sistema nervioso central.
A pesar del riesgo inherente de su abordaje quirúrgico, nuestra experiencia demuestra que, con una selección cuidadosa de pacientes y la aplicación de técnicas microquirúrgicas avanzadas, es posible lograr una resección completa en la mayoría de los casos, con tasas de morbilidad aceptables. En nuestra serie, se obtuvo una exéresis completa en el 100% de los casos, lo cual es consistente con publicaciones recientes que respaldan la posibilidad de resección quirúrgica segura de cavernomas del tronco, especialmente en centros con experiencia y planificación anatómica detallada.(3,8)
La elección adecuada del abordaje según la localización específica de la lesión fue determinante en estos resultados. Para las lesiones mediales, el abordaje suboccipital medial, ya sea a través del corredor telovelar o intertonsilar, permitió un acceso directo con mínima retracción neural. En los casos de lesiones laterales, el abordaje retrosigmoideo ampliado, particularmente a través del pedúnculo cerebeloso medio, ofreció una ventana segura al tronco, respetando estructuras funcionales críticas. Estos abordajes están bien documentados en la literatura y han demostrado ser eficaces cuando se aplican correctamente.(2,9)
Desde el punto de vista clínico, 6 pacientes mostraron recuperación completa de sus síntomas preoperatorios y 3 presentaron déficits transitorios, lo cual sugiere que, en casos seleccionados, la cirugía puede ofrecer un beneficio funcional significativo. La intervención quirúrgica adquiere mayor relevancia en pacientes con antecedentes de sangrado, dada la alta tasa de resangrado reportada en la literatura (de hasta un 30% anual).(3,5) En ese contexto, consideramos que la resección quirúrgica tras un primer sangrado significativo debe evaluarse como una estrategia preventiva razonable.
Uno de los aspectos más debatidos en el manejo de los cavernomas del tronco encefálico es la selección de pacientes candidatos a cirugía. Con el objetivo de predecir el riesgo quirúrgico y el resultado funcional postoperatorio, se han desarrollado sistemas de puntuación,(3,10) entre estos, destaca el propuesto por Lawton y col., que considera 5 variables: el tamaño de la lesión, si cruza o no la línea media, la presencia de una malformación venosa de desarrollo, la edad del paciente y el tiempo transcurrido desde la última hemorragia. El puntaje total puede alcanzar hasta 7 puntos, y clasifica las lesiones en bajo (0-II), intermedio (III-V) y alto grado (VI-VII). Según este sistema, el 87% de los pacientes con lesiones de bajo grado obtiene resultados favorables, y solo un 4% empeora clínicamente. En lesiones de alto grado, el 50% mejora y el 40% empeora. Las lesiones de grado intermedio muestran resultados aceptables, con un 75% de evolución favorable y un 16% de deterioro.(6) De estos datos se desprende que las lesiones de bajo e intermedio grado son potencialmente quirúrgicas, mientras que para aquellas de alto grado se debería considerar un manejo conservador.
En nuestra serie, la lesión mesencefálica (caso 1), la pontopeduncular derecha (caso 2) y la pontopeduncular izquierda (caso 3) correspondieron a grado III, mientras que la bulbar (caso 4) fue clasificada como grado V. Esta estratificación respalda nuestra decisión terapéutica y permite comparar nuestros resultados con los de centros de mayor volumen.
A pesar de los riesgos asociados a la cirugía en esta región, nuestros resultados respaldan que, en manos experimentadas, la resección quirúrgica puede ser una opción segura y eficaz. Sin embargo, es fundamental individualizar cada caso, considerando cuidadosamente las características de la lesión, el riesgo-beneficio y la evolución clínica del paciente.

CONCLUSIÓN
Los cavernomas del tronco encefálico representan una patología infrecuente pero clínicamente relevante, dada su alta tasa de sangrado y la posibilidad de generar déficits neurológicos severos. Si bien su localización en áreas altamente elocuentes plantea un desafío quirúrgico, nuestros resultados muestran que, mediante una adecuada planificación, selección de abordaje y técnica microquirúrgica, es posible alcanzar una resección completa con una morbilidad aceptable.
La exéresis quirúrgica, especialmente en pacientes sintomáticos, o con antecedentes de sangrado, debe considerarse una opción terapéutica válida. En nuestra serie, la mayoría de los pacientes presentó una evolución favorable, lo que respalda el rol activo de la cirugía en casos seleccionados.
Sin embargo, cada paciente debe ser evaluado de forma individual, teniendo en cuenta la evolución clínica, el riesgo de nuevos sangrados y la experiencia del equipo tratante. En centros con experticia en neurocirugía de base de cráneo y cirugía del tronco encefálico, la intervención quirúrgica puede ofrecer beneficios significativos en términos de control sintomático y prevención de nuevos eventos hemorrágicos. Asimismo, el uso de escalas de estratificación del riesgo quirúrgico, como la propuesta por Lawton y col., puede aportar un criterio adicional valioso para la toma de decisiones, ayudando a identificar pacientes que se beneficiarán potencialmente de una intervención.

Conceptualización, Curación de datos, Supervisión, Validación y Redacción - revisión y edición: Álvaro Campero, Matías Baldoncini. Análisis formal, Metodología, Administración del proyecto y Redacción - borrador original: Hugo Romero Vinet. Investigación: Hugo Romero Vinet, Álvaro Campero, Matías Baldoncini.


BIBLIOGRAFÍA

  1. Batra S, Lin D, Recinos PF, Zhang J, Rigamonti D. Cavernous malformations: natural history, diagnosis and treatment. Nat Rev Neurol. 2009 Dec;5(12):659-70. https://doi.org/10.1038/nrneurol.2009.177
  2. Campero A, Baldoncini M, Villalonga J. Resección microquirúrgica de cavernoma del receso lateral derecho a través de abordaje telovelar. Rev Argent Neuroc. 2019;33(2):107-12. doi no disponible.
  3. Garcia RM, Ivan ME, Lawton MT. Brainstem cavernous malformations: surgical results in 104 patients and a proposed grading system to predict neurological outcomes. Neurosurgery. 2015 Mar;76(3):265-77; discussion 277-8. https://doi.org/10.1227/NEU.0000000000000602
  4. Tatagiba M, Lepski G, Kullmann M, Krischek B, Danz S, Bornemann A, Klein J, Fahrig A, et al. The Brainstem Cavernoma Case Series: A formula for surgery and surgical technique. Medicina (Kaunas). 2023 Sep 5;59(9):1601. https://doi.org/10.3390/medicina59091601
  5. Cannizzaro D, Sabatino G, Mancarella C, Revay M, Rossi M, Pecchioli G, Cardia A, et al. Management and surgical approaches of brainstem cavernous malformations: our experience and literature review. Asian J Neurosurg. 2019 Jan-Mar;14(1):131-9. https://doi.org/10.4103/ajns.AJNS_290_17
  6. Catapano JS, Rutledge C, Rumalla K, Raygor KP, Srinivasan VM, Koester SW, Kimata AR, et al. External validation of the Lawton brainstem cavernous malformation grading system in a cohort of 277 microsurgical patients. J Neurosurg. 2021 Oct 1;136(5):1231-9. https://doi.org/10.3171/2021.3.JNS204291
  7. Goldstein HE, Solomon RA. Epidemiology of cavernous malformations. Handb Clin Neurol. 2017;143:241-7. https://doi.org/10.1016/B978-0-444-63640-9.00023-0
  8. Hori T, Chernov M, Alshebib YA, Kubota Y, Matsuo S, Shiramizu H, Okada Y. Long-term outcomes after surgery for brainstem cavernous malformations: analysis of 46 consecutive cases. J Neurosurg. 2022;138(4):900-9. https://doi.org/10.3171/2022.7.JNS22314
  9. Graffeo CS, Srinivasan VM, Scherschinski L, Benner D, Karahalios K, Devia DA, Catapano JS, Lawton MT. Expanding the reach of the trans-middle cerebellar peduncle approach: pontine cavernous malformations, tissue transgression beyond the safe entry zone, and the invisible triangle. J Neurosurg. 2023 Nov 17;140(5):1344-56. doi no disponible.
  10. Li Z, Lu J, Liu M, Ma L, Quan K, Zhang H, Liu P, et al. Development and validation of a supplementary grading scale for outcomes of brainstem cavernous malformations. Stroke. 2024 Aug;55(8):1991-2002. https://doi.org/10.1161/STROKEAHA.123.045943

COMENTARIO
Este estudio retrospectivo ofrece una valiosa perspectiva sobre el manejo quirúrgico de una patología compleja y desafiante en el ámbito de la neurocirugía.
Los autores abordan de manera concisa una serie de 10 casos de cavernomas de tronco encefálico operados, una entidad poco frecuente(1) pero con un impacto significativo en la morbilidad neurológica. Es destacable el hecho de que el 100% de los pacientes presentó sangrado previo, lo cual subraya la importancia de considerar la intervención quirúrgica en estos casos, dada la alta tasa de resangrado reportada en la literatura.(2,3)
La resección completa lograda en todos los casos es un resultado sobresaliente y un testimonio de la experiencia del equipo quirúrgico. Esto es particularmente relevante considerando la ubicación elocuente de estas lesiones, que tradicionalmente ha limitado la agresividad de su abordaje.(4) La descripción detallada de los abordajes quirúrgicos utilizados (suboccipitales, retrosigmoideos ampliados), adaptados a la localización específica de cada lesión, y la definición de la neuroanatomía (safe entry zone), son una fortaleza del trabajo y ofrecen una guía práctica para otros neurocirujanos.
La recuperación completa observada en la mayoría de los pacientes (60%) y la ausencia de nuevas secuelas permanentes refuerzan la premisa de que, en centros con experiencia, la cirugía de estos cavernomas puede ser segura y eficaz.(5,6) El estudio también destaca la utilidad de escalas de estratificación de riesgo como la de Lawton, lo que permite una mejor selección de los pacientes quirúrgicos y un análisis comparativo de los resultados.(2,7)
El trabajo presentado demuestra que, con una adecuada selección de pacientes, una planificación meticulosa y la experiencia microquirúrgica, es posible lograr resultados favorables en una de las patologías más desafiantes de la neurocirugía.
Santiago Driollet Laspiur
Hospital Nacional Profesor Alejandro Posadas, Provincia de Buenos Aires, Argentina

BIBLIOGRAFÍA

  1. Goldstein HE, Solomon RA. Epidemiology of cavernous malformations. Handb Clin Neurol. 2017;143:241-7. https://doi.org/10.1016/B978-0-444-63640-9.00023-0
  2. Garcia RM, Ivan ME, Lawton MT. Brainstem cavernous malformations: surgical results in 104 patients and a proposed grading system to predict neurological outcomes. Neurosurgery. 2015 Mar;76(3):265-77; discussion 277-8. https://doi.org/10.1227/NEU.0000000000000602
  3. Cannizzaro D, Sabatino G, Mancarella C, Revay M, Rossi M, Pecchioli G, Cardia A, Maira G, D’Angelo V, Fornari M. Management and surgical approaches of brainstem cavernous malformations: our experience and literature review. Asian J Neurosurg. 2019 Jan-Mar;14(1):131-9. https://doi.org/10.4103/ajns.AJNS_290_17
  4. Tatagiba M, Lepski G, Kullmann M, Krischek B, Danz S, Bornemann A, et al. The brainstem cavernoma case series: A formula for surgery and surgical technique. Medicina (Kaunas). 2023 Sep 5;59(9):1601. doi: no disponible.
  5. Hori T, Chernov M, Alshebib YA, Kubota Y, Matsuo S, Shiramizu H, Okada Y. Long-term outcomes after surgery for brainstem cavernous malformations: analysis of 46 consecutive cases. J Neurosurg. 2022 Sep 9;138(4):900-9. doi: no disponible.
  6. Catapano JS, Rutledge C, Rumalla K, Raygor KP, Srinivasan VM, Koester SW, et al. External validation of the Lawton brainstem cavernous malformation grading system in a cohort of 277 microsurgical patients. J Neurosurg. 2021 Oct 1;136(5):1231-9. https://doi.org/10.3171/2021.3.JNS204291
  7. Li Z, Lu J, Liu M, Ma L, Quan K, Zhang H, Liu P, Shi Y, Dong X, You C, Tian R, Zhu W. Development and validation of a supplementary grading scale for outcomes of brainstem cavernous malformations. Stroke. 2024 Aug;55(8):1991-2002. https://doi.org/10.1161/STROKEAHA.123.045943