Hemangioblastomas intradurales extramedulares: abordando una extraña patología.
Jazmín Azul Fraire, Mauro Ruella, Facundo Villamil, Lucila Domecq Laplace, Rubén Mormandi, Andrés Cervio.
Departamento de Neurocirugía. Fleni (Fundación para la Lucha contra las Enfermedades Neurológicas de la Infancia). Ciudad Autónoma de Buenos Aires. Argentina.


Recibido: noviembre 2023 Aceptado: enero 2024
Jazmín Azul Fraire.
jazminazulfraire@gmail.com / jafraire@fleni.org.ar
DOI: 10.59156/revista.v38i01.632


ORCID ID:
Jazmín Azul Fraire: 0009-0006-0665-3848
Mauro Ruella: 0000-0003-2198-6801
Facundo Villamil: 0000-0002-2248-9324
Lucila Domecq Laplace: 0000-0002-7882-9236
Rubén Mormandi: 0009-0000-4749-8705
Andrés Cervio: 0000-0001-7617-1605


RESUMEN
Introducción: Los hemangioblastomas son tumores vascularizados, infrecuentes del sistema nervioso central (SNC), grado I por la OMS, intraaxiales, habitualmente localizados en el cerebelo y la retina que pueden ser esporádicos o asociados a la enfermedad de von Hippel Lindau (VHL). La topografía espinal es infrecuente y su presentación extramedular más rara aún. La literatura es escasa pero el tratamiento de elección suele ser quirúrgico.
Objetivo: Describir nuestra experiencia en el tratamiento de hemangioblastomas espinales extramedulares y revisar las características clínicas, radiológicas y su conducta terapéutica.
Descripción de los casos: Caso N°1. Paciente masculino de 67 años con cervicalgia progresiva durante 5 meses, debilidad distal predominante en miembros superiores izquierdos e hipoestesia en dedos de ambas manos. RM con lesión nodular intradural-extramedular en C3-C4. Caso N°2. Paciente masculino de 64 años con lumbociatalgia derecha durante 6 meses con déficit sensitivo. RM con lesión intradural-extramedular en L1-L2 a izquierda, con realce homogéneo post-contraste. Caso N°3. Paciente masculino de 22 años con enfermedad de Von Hippel Lindau que consulta con debilidad en miembro inferior izquierdo. RM con múltiples hemangioblastomas cerebelosos y en médula dorsal, destacándose una lesión voluminosa en T7-T9.
Intervención: Caso Nº 1. La cirugía consistió en laminectomía C3-C5 y resección del hemangioblastoma, con recuperación completa. Caso Nº 2. Se realizó laminectomía con resección total del hemangioblastoma con recuperación completa. Caso Nº 3. Se realizó laminectomía T7-T9 con exéresis completa del hemangioblastoma, con mejoría parcial postoperatoria e intervención.

Conclusión: Los hemangioblastomas son tumores infrecuentes; su presentación espinal y extraaxial es aún más singular. Al tratarse de lesiones altamente vascularizadas es de gran importancia la realización de una angiografía previa al procedimiento quirúrgico para diagnóstico y adyuvancia terapéutica. El estándar es el tratamiento quirúrgico y el empleo de monitoreo intraoperatorio con onda D y potenciales evocados es de gran utilidad para prevenir e identificar déficits neurológicos.

Palabras Clave: angiografía espinal; hemangioblastoma espinal; tumor intradural-extramedular; von Hippel Lindau.

Extramedullary intradural hemangioblastomas: approaching a strange pathology.

ABSTRACT
Background: Hemangioblastomas are highly vascularized rare tumors of the central nervous system (CNS), WHO grade I, commonly intra-axial and located in the cerebellum and retina, either sporadically or associated with von Hippel Lindau disease (VHL). Spinal topography is uncommon, and its extramedullary presentation is extremely infrequent. The experience in the literature is scarce but surgery is usually the treatment of choice.
Objective: To describe our experience in the treatment of extramedullary spinal hemangioblastomas and to review the diagnostic characteristics and therapeutic behavior.
Description of the case: Case No. 1. A 67-year-old male patient with progressive neck pain for 5 months, predominant distal weakness in the left upper limbs and hypoesthesia in the fingers of both hands. MRI with intradural-extramedullary nodular lesion at C3-C4. Case No. 2. 64-year-old male patient with lumbar back pain and right sciatica for 6 months with sensory deficit. MRI with intradural-extramedullary lesion in L1-L2 on the left, with homogeneous post-contrast enhancement. Case No. 3. A 22-year-old male patient with Von Hippel Lindau disease presented with weakness in the left lower limb. MRI with multiple cerebellar and dorsal cord hemangioblastomas, highlighting a voluminous lesion at T7-T9.
Surgery: Case No. 1. The surgery consisted of C3-C5 laminectomy and resection of the hemangioblastoma, with complete recovery. Case No. 2. Laminectomy was performed with total resection of the hemangioblastoma, with complete recovery. Case No. 3. T7-T9 laminectomy was performed with complete excision of the hemangioblastoma, with partial postoperative improvement and intervention.
Conclusion: Hemangioblastomas are rare tumors. Its spinal and extra axial presentation is even more singular. Given the high vascularization of these lesions, we consider the use of spinal angiography prior surgery for diagnostic or even therapeutic aid. Surgery is the treatment of choice, and for that purpose, the use of neuromonitoring with D wave and evoked potentials is paramount to identify neurological deficits and pursue the aim of good functional results.

Keywords: intradural-extramedullary tumor; spinal angiography; spinal hemangioblastoma; von Hippel Lindau.


INTRODUCCIÓN
Los hemangioblastomas son tumores poco frecuentes del sistema nervioso central (SNC), altamente vascularizados,1 grado I por la OMS.2 Se caracterizan por ser intraaxiales y habitualmente localizados en cerebelo y retina. Son de presentación esporádica o asociados a enfermedad de Von Hippel Lindau (VHL),1 que es un trastorno multicéntrico vinculado a la mutación autosómica dominante del gen supresor de tumores ubicado en el cromosoma 3p325.3-6
Su presentación es más común en hombres, en proporción de 2:13. La forma de presentación esporádica suele aparecer en 35,5 años de edad media, similar a la edad de presentación de la modalidad de VHL, con una edad media de 33 años.4
La topografía espinal es infrecuente y representa entre el 1,6-2,1% de los tumores medulares.7,8 Su aparición en columna suele ser casi exclusivamente intramedular. La experiencia en la literatura de casos de hemangioblastomas intradurales-extramedulares es escasa.3-9
El “gold standard” para diagnosticarlos es la resonancia magnética, donde puede observarse una lesión que realza con contraste y vasos ingurgitados en la misma, asociados a signos de edema medular y/o siringomielia en secuencias ponderadas en T2.2,10
Una peculiaridad de los hemangioblastomas extramedulares es la asociación con siringomielia, hallazgo no presente en meningiomas y schwannomas, lo cual puede hacer sospechar este diagnóstico.11 Otra característica clave para diferenciarlos en el preoperatorio es el intenso realce con contraste y la presencia de vasos agrandados en la misma.8
El tratamiento de elección suele ser quirúrgico. La radiocirugía puede ser una opción para pacientes con tumores residuales, recurrentes o aquellos que no toleren la cirugía.1 Cierta bibliografía recomienda la realización preoperatoria de angiografía digital con fines diagnósticos y/o para embolización preoperatoria de la lesión cuando la misma presenta varicosidades tumorales extensas permitiendo, a su vez, diferenciarlos de fístulas arteriovenosas.2,7

El objetivo del presente trabajo es describir nuestra experiencia en el tratamiento de hemangioblastomas espinales extramedulares y revisar las características clínicas, radiológicas y su conducta terapéutica.

DESCRIPCIÓN DE LOS CASOS

Caso N°1 (Figuras 1, 2, 3, 4 y 5).
Paciente masculino de 67 años sin antecedentes de relevancia que consultó por cuadro de cervicalgia de 5 meses de evolución. Progresó con disminución de la fuerza de miembros superiores a predominio izquierdo de carácter distal sumado a hipoestesia de dedos de ambas manos. Se realizó RM que evidenció una lesión intradural-extramedular de carácter nodular en topografía C3-C4 que comprime y desplaza la médula a izquierda, con realce homogéneo con contraste. La angiografía digital permitió identificar aferencias por arterias radiculo-medulares posterolaterales bilaterales con drenaje venoso ascendente y signos de hipertensión venosa posterior. No se realizó embolización preoperatoria.
La cirugía consistió en una laminectomía C3-C5 y resección de lesión con resultado anatomo-patológico de hemangioblastoma. El paciente evolucionó con alivio del dolor y recuperación total de la fuerza.

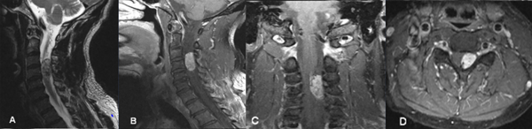
Fig 1. Caso 1. RMN: T2 sagital (A) y T1 con contraste sagital (B) coronal (C) y axial (D) que evidencia lesión nodular intradural extramedular C3-C4 a izquierda, con realce homogéneo post contraste que desplaza y comprime la médula en sentido lateral.

Fig 2. Caso 1. Angiografía cervical espinal evidenciando “blush” tumoral con aferencia primaria de arteria espinal posterior (A, B y C).

Fig 3. Caso 1. Colocación de monitoreo neurofisiológico sonda D (A); monitorización de onda D (B).

Fig 4. Caso 1. Imágenes intraoperatorias. Clipado transitorio de vasos aferentes (A). Coagulación y sección de vena de drenaje (B). Remoción en bloque (C y D).

Fig 5. Caso 1. Pieza quirúrgica macroscópica de lesión vascular.

Caso N°2 (Figura 6).

Paciente masculino de 64 años de edad que consulta por cuadro de lumbociatalgia derecha de 6 meses asociada a trastorno sensitivo. El estudio de RM demostró la presencia de una lesión intradural-extramedular L1-L2 a izquierda con realce homogeneo tras la administración de contraste endovenoso. Se realizó laminectomía L1-L2 con resección total de la lesión, con resultado de anatomía patológica de hemangioblastoma. El paciente mejoró su sintomatología “ad integrum”.

Fig 6. Caso 2. RMN: T1 con contraste sagital (A) y axial (B) que objetiva lesión nodular intradural extramedular L1-L2 a izquierda, con realce homogéneo con contraste.

Caso N°3 (Figuras 7 y 8).
Paciente masculino de 22 años con antecedentes de Enfermedad de Von Hippel Lindau, en seguimiento por servicio de oncología que comenzó con debilidad del miembro inferior izquierdo de un mes de evolución. Fue estudiado con RM de encéfalo y columna completa que destacó múltiples lesiones pequeñas compatibles con hemangioblastomas a nivel cerebeloso y bulbo-medular. A nivel dorsal T7-T9 se observó voluminosa lesión altamente vascularizada que ocupaba aproximadamente el 90% del canal espinal, asociada a mielomalacia e ingurgitación venosa inferior. Ante empeoramiento de la clínica, con paresia e hipoestesia moderada de miembro inferior izquierdo sumado a incontinencia urinaria se decidió realizar la exéresis tumoral mediante laminectomía T7-T8-T9. Se observó voluminoso tumor en cara posterior e izquierda de médula, con múltiples venas dilatadas en su superficie. Se logró una exéresis completa: la anatomía patológica informó hemangioblastoma. El paciente se encuentra actualmente en seguimiento por oncología con mejoría parcial de fuerza luego de la intervención.

Fig 7. Caso 3. RM: T1 con contraste sagital (A) y axial (B) evidenciando lesión nodular intradural-extramedular altamente vascularizada con realce homogéneo post contraste de topografía T7-T9 que ocupa casi la totalidad del canal desplazando la médula con mielomalacia asociada.

Fig 8. Caso 3. Angiografía espinal torácica: evidenciando lesión hiper vacularizada con aferencia primaria de ramo radiculomedular lateral izquierdo, de arteria intercostal. Con drenaje venoso descendente por venas perimedulares anteriores y posteriores (A y B).

INTERVENCIÓN: TÉCNICA QUIRÚRGICA
En todos los casos se planteó la misma estrategia de laminectomía y resección. Desarrollaremos a modo de ejemplo las características del tiempo quirúrgico utilizando el Caso Nº 1 (Figura 3).

Posicionamos al paciente en decúbito prono con soporte dorso lumbar. Se utilizó cabezal de Mayfield para fijar la cabeza. Se realizó incisión lineal desde C2 a C5. Se disecó tejido hipodérmico hasta ligamento vertebral posterior; se abrió la fascia muscular hasta exponer las apófisis espinosas y las láminas. Se procedió a realizar laminectomía C3-C5 y flavectomía C2-C6. La duramadre fue abierta en forma lineal. Se realizó monitoreo neurofisiológico con onda D. Se visualizó lesión voluminosa que desplazaba raíces y cordón medular a derecha de color gris-rosada, vascularizada que impresionaba nacer de raíz sensitiva C4 izquierda. Se colocaron en ambas aferencias arteriales en el polo superior, clips transitorios por 5 minutos sin cambios neurofisiológicos, continuando con la sección de ambas aferentes. Se luxó la lesión que quedó pendiente de vena arrosariada en cara posterior de la médula, la cual se coaguló y seccionó con remoción de la lesión en bloque.

DISCUSIÓN
Los hemangioblastomas son lesiones raras, de localización principalmente cerebelosa o retiniana, ya sean de carácter esporádico o asociado a VHL.
La topografía espinal es infrecuente y al igual que su contraparte cerebelosa habitualmente se presentan como lesiones intraaxiales. Pese a su baja frecuencia, los hemangioblastomas espinales son el tercer tumor intramedular en frecuencia, representando entre el 2-6% de todos los tumores de la médula espinal.12-13 La forma de presentación esporádica es la más frecuente al igual que ocurre a nivel intracraneano, correspondiendo al 66% de los casos en comparación a la vinculada a VHL (33%).6
La presentación de hemangioblastomas como lesiones intradurales-extramedulares es sumamente singular con escasos reportes. Incluimos aquí una serie de tres casos de esta inusual forma de presentación, constituyendo la primera casuística en la literatura argentina.
Las manifestaciones clínicas de los hemangioblastomas espinales no difieren mucho de otras lesiones intramedulares, caracterizadas por una mielopatía compresiva con afectación inicial sensitiva y progresión a déficit motor o compromiso esfinteriano.3 En el caso de la presentación intradural-extramedular, el dolor y las alteraciones sensitivas suelen devenir inicialmente previo a los síntomas mielopáticos inducidos por compresión medular o fenómenos vasculares de sangrado o robo de flujo.
En dos de nuestros casos (caso 1 y 2) la topografía de la lesión mostró relación con una raíz espinal como ha sido descripto en la literatura,4 lo cual se encuentra en relación a los síntomas radiculares iniciales. En el caso restante, la presentación fue de una lesión exofítica medular (caso 3).
Radiológicamente se presentan como lesiones isointensas en secuencia T1, hiperintensas en T2 con marcado refuerzo homogéneo post-contraste y bien demarcados del tejido adyacente, a menudo con edema y siringomielia.3
El diagnóstico diferencial con los ependimomas y astrocitomas medulares, se facilita cuando la lesión se localiza en región medular posterior asociada a cavidad siringomiélica. Las lesiones más grandes pueden reforzar en forma heterogénea por presentar señal de vacío de flujo de las estructuras vasculares asociadas.
Con respecto a la terapéutica, la resección constituye el tratamiento de elección. La angiografía diagnóstica es una herramienta que consideramos fundamental para comprender la anatomía de la lesión y, en casos particulares, puede servir como una adyuvancia terapéutica permitiendo la embolización preoperatoria de la lesión para reducir el sangrado.
En cuanto a la técnica quirúrgica, la resección de hemangioblastomas medulares presenta algunas similitudes con la cirugía de las malformaciones arterio-venosas. Se recomienda una exposición amplia en lesiones muy vascularizadas. Es por ello que consideramos habitualmente en este tipo de lesiones la realización de laminectomía completa por sobre hemilaminectomía. El procedimiento conlleva una devascularizacion tumoral y coagulación de arterias aferentes con eventual clipado transitorio de las mismas y, por último, coagulación y sección de vena de drenaje con resección en bloque de la lesión para evitar sangrado intraoperatorio .
El monitoreo neurofisiológico es de suma utilidad para permitir identificar déficits neurológicos intraoperatorios significativos y persistentes en el tiempo y, de esta manera, guiar al neurocirujano para lograr una adecuada resección y mejor evolución funcional del paciente.
Cuando la lesión es resecada en su totalidad, al tratarse de lesiones benignas, el pronóstico es favorable y los pacientes suelen mejorar su clínica como fue demostrado en nuestra experiencia.
En casos en los que la resección total no fue posible, el manejo conservador con seguimiento por imágenes, embolización o radiocirugía son alternativas terapéuticas que pueden emplearse dependiendo de cada caso en particular y la decisión consensuada entre el paciente y el cirujano.

CONCLUSIÓN
Los hemangioblastomas son tumores infrecuentes. Su presentación espinal y extraaxial es aún más singular. Al tratarse de lesiones altamente vascularizadas es de gran importancia la realización de una angiografía espinal previo al procedimiento quirúrgico para el diagnóstico y eventual adyuvancia terapéutica. El estándar es el tratamiento quirúrgico usando monitoreo intraoperatorio con onda D y potenciales evocados, siendo de gran utilidad para prevenir e identificar déficits neurológicos y permitir mejorar la evolución funcional de los pacientes.


Los autores no declaran conflicto de interés
Los autores no declaran financiamiento.
Este es un artículo de acceso abierto bajo la licencia CC BY-NC https://creativecommons.org/licenses/by-nc/4.0/


BIBLIOGRAFÍA

  1. Wang H, Zhang L, Wang H, et al. Spinal hemangioblastoma: surgical procedures, outcomes and review of the literature. Acta Neurol Belg. Published online July 7, 2020. doi:10.1007/s13760-020-01420-4
  2. Chang H, Li J, Wang P, Lu X, Li B. Microsurgical treatment of cervical spinal hemangioblastoma. Neurochirurgie. 2020 Feb;66(1):56-60. doi: 10.1016/j.neuchi.2019.11.005. Epub 2020 Jan 14. PMID: 31953074.
  3. Fanous A, Mugge L, Kurzejewski K, Cournoyer A, Ziu M. Intradural Extramedullary Hemangioblastoma of the Cervical Spine: Case Report and Literature Review. Cureus. 2022 May 18;14(5):e25125. doi: 10.7759/cureus.25125. PMID: 35733499; PMCID: PMC9205786.
  4. Barbosa-Silva E, Carvalho GT, Frota Mde O, Sousa AA, Souza CB. Intradural extramedullary hemangioblastoma. Arq Neuropsiquiatr. 2009 Jun;67(2B):530-3. doi: 10.1590/s0004-282x2009000300033. PMID: 19623461.
  5. Takai K, Taniguchi M, Takahashi H, Usui M, Saito N. Comparative analysis of spinal hemangioblastomas in sporadic disease and Von Hippel-Lindau syndrome. Neurol Med Chir (Tokyo). 2010;50(7):560-7. doi: 10.2176/nmc.50.560. PMID: 20671381
  6. Siller S, Szelényi A, Herlitz L, Tonn JC, Zausinger S. Spinal cord hemangioblastomas: significance of intraoperative neurophysiological monitoring for resection and long-term outcome. J Neurosurg Spine. 2017 Apr;26(4):483-493. doi: 10.3171/2016.8.SPINE16595. Epub 2016 Dec 16. PMID: 27982764.
  7. Brisman JL, Borges LF, Ogilvy CS. Extramedullary hemangioblastoma of the conus medullaris, case report. Acta Neurochir 142: 1059-1062, 2000
  8. Browne TR, Adams RD, Roberson GH. Hemangioblastoma of the spinal cord. Review and report of five cases. Arch Neurol. 1976;33(6):435–441
  9. Welling LC, Zanellato C, Tessari M, Mendes V, Figueiredo EG, Teixeira MJ. Hemangioblastoma of the conus medullaris. Br J Neurosurg. 2012 Apr;26(2):296-7. doi: 10.3109/02688697.2011.614024. Epub 2011 Oct 25. PMID: 22026471.
  10. Shields LBE, Harpring JE, Highfield HA, Zhang YP, Shields CB. Intradural, extramedullary hemangioblastoma at the level of the conus medullaris: illustrative case. J Neurosurg Case Lessons. 2021 Apr 26;1(17):CASE2145. doi: 10.3171/CASE2145. PMID: 35855219; PMCID: PMC9245781
  11. Colamaria A, Fochi NP, Laguado YAD, Blagia M, Leone A, Carbone F. Cervical intra and extramedullary hemangioblastoma with associated syringomyelia: A case report and review of the literature. Surg Neurol Int. 2022 Sep 30;13:448. doi: 10.25259/SNI_814_2022. PMID: 36324962; PMCID: PMC9609879.
  12. Altinoz MA, Santaguida C, Guiot MC et al. Spinal hemangioblastoma containing metastatic renal cell carcinoma in von Hippel-Lindau disease. Case report and review of the literature. J Neurosur Spine 3: 495-500; 2005.
  13. Ammerman JM, Lonser RR, Dambrosia J et al. Long-termnatural history of hemangioblastomas in patients with von Hipel-Lindau disease: implications for treatment. J Neurosurg 105 (2); 248-55; 2006.