Tumor Neuroepitelial Disembrioplásico. Presentación de un caso atípico.
Duniel Abreu Casas, Alfredo Daniel Alemán Bacallao, Mercedes Rita Salinas Olivares, Yasmany Fornaris Cedeño
Instituto de Neurología y Neurocirugía de Cuba. La Habana. Cuba
Recibido: octubre 2023. Aceptado: enero 2024.
Alfredo Alemán Bacallao
alemanbacallao25@gmail.com
DOI: 10.59156/revista.v38i01.529
ORCID:
Duniel Abreu Casas: 0000-0002-9975-2055
Alfredo Daniel Alemán Bacallao: 0000-0002-1755-1699
Mercedes Rita Salinas Olivares: 0000-0002-3374-7536
Yasmany Fornaris Cedeño: 0000-0002-3996-6334
RESUMEN
Introducción. El Tumor Neuroepitelial Disembrioplásico (TND) es una neoplasia benigna, incluida en el grupo de los tumores neuronales y neurogliales mixtos. La baja incidencia de estas lesiones, la falta de hallazgos clínicos y/o radiológicos patognomónicos y la similitud con otros tumores epileptogénicos intraaxiales hacen que su diagnóstico sea un desafío.
Objetivos. Presentar el caso de un paciente con un TND de localización y comportamiento clínico atípico, y describir la conducta diagnóstico-terapéutica y el seguimiento instaurado.
Descripción del Caso. Paciente masculino de 44 años con paresia facial central y monoparesia braquial izquierda de dos meses de evolución. En la RM se define una lesión quística frontal derecha con escaso edema perilesional, sin captación del contraste.
Intervención. Se decide tratamiento quirúrgico: craneotomía fronto-temporal derecha con resección total de la lesión, guiada por neuronavegación. El estudio anatomopatológico revela el diagnóstico de Tumor Neuroepitelial Disembrioplásico. La evolución fue favorable, con mejoría total de los síntomas. En la resonancia de control a los 6 meses no se encontraron signos de recidiva tumoral.
Conclusiones. La localización frontal y subcortical, el gran tamaño del quiste y el debut clínico con defecto motor en ausencia de convulsiones son formas inusuales de los TND, como se presenta en este caso. La resección macroscópica total del tumor generalmente permite la curación y mejoría o desaparición de los síntomas.
Palabras clave. Epilepsia. Resonancia Magnética. Tumor cerebral. Tumor neuroepitelial disembrioplásico.
Dysembryoplastic Neuroepithelial Tumor. Presentation of an atypical case.
ABSTRACT
Background. Dysembryoplastic neuroepithelial tumor (NDT) is a benign neoplasm, included in the group of mixed neuronal and neuroglial tumors. The low incidence of these lesions, the lack of pathognomonic clinical and/or radiological findings, and the similarity with other intra-axial epileptogenic tumors make their diagnosis challenging.
Objectives. To present the case of a patient with a TND of atypical location and clinical behavior and to describe the diagnostic-therapeutic conduct and follow-up.
Case description. 44-year-old male with central facial paresis and left brachial monoparesis of two months of evolution. A contrasted magnetic resonance imaging study showed a right frontal cystic lesion with little perilesional edema, without contrast enhancement.
Surgery. Right frontotemporal craniotomy with total resection of the lesion, guided by neuronavigation was the surgical treatment to follow. The pathological study reveals the diagnosis of dysembryoplastic neuroepithelial tumor. It was a case with a five-days hospital stay, favorable evolution, and total improvement of symptoms at the time of discharge. Six months after the surgery, no signs of tumor recurrence were found in the resonance control study.
Conclusions. This case shows that the frontal and subcortical location, the large size of the cyst and the clinical debut with motor defect in the absence of seizures are unusual forms of TNDs. Generally, macroscopic total resection of the tumor allows the cure and the improvement or disappearance of symptoms.
Key words: Brain tumor, Dysembryoplastic Neuroepithelial Tumor, Magnetic Resonance Imaging. Seizures
INTRODUCCIÓN
El Tumor Neuroepitelial Disembrioplásico (TND) es una neoplasia glioneuronal benigna que se incluye en el grupo de los tumores neuronales y neurogliales mixtos. Esta entidad fue descrita por primera vez por Daumas-Duport en 1988, considerada como una lesión de crecimiento lento asociada a epilepsia.1-4
La incidencia estimada de TND es de 0,03 personas al año por cada 100.000 habitantes, con un pico de edad entre 10 y 14 años, disminuyendo con el paso del tiempo; sólo el 0,2% se diagnostica en pacientes mayores de 20 años. Existe un ligero predominio del sexo masculino.5 La forma clínica más común de presentación es la epilepsia farmacorresistente, que representa del 14 al 18% de los tumores en series de epilepsia quirúrgica, la mayoría localizados en la corteza del lóbulo temporal.5
La arquitectura multinodular distintiva en estos tumores se caracteriza por la disposición alveolar de las células similares a oligodendroglia alrededor de capilares delgados y una composición celular heterogénea, con matriz mucoide que contiene células ganglionares flotantes.6 Las formas histológicas de presentación se organizan en: a) simples, b) complejas (ambas fácilmente reconocibles), c) inespecífica o difusa, entidades más complejas de identificar.1,3
La baja incidencia de estas lesiones, la falta de hallazgos clínicos y/o radiológicos patognomónicos, y la similitud con otros tumores epileptogénicos intraaxiales de los jóvenes hacen que su diagnóstico sea un desafío.5
Se presenta el caso de un paciente con un Tumor Neuroepitelial Disembrioplásico de localización y comportamiento clínico atípico con objetivo de describir la conducta diagnóstico-terapéutica y el seguimiento instaurado.
OBJETIVOS
Presentar el caso de un paciente con un TND de localización y comportamiento clínico atípico y describir la conducta diagnóstico-terapéutica y el seguimiento instaurado.
DESCRIPCIÓN DEL CASO
Paciente masculino de 44 años de edad, sin antecedentes patológicos de importancia que consulta por debilidad en brazo izquierdo. Al examen físico, se observa paresia facio-braquial izquierda de dos meses de evolución, acompañado de cefalea intensa hemicraneana izquierda.
Estudios complementarios
El electroencefalograma confirma ausencia de crisis eléctricas y se decide no instaurar tratamiento anticomicial.
Estudios por imágenes
Se realiza una tomografía de cerebro (TC) donde se observa una lesión hipodensa en la región frontal derecha con presencia de microcalcificaciones en su interior y escaso edema perilesional.
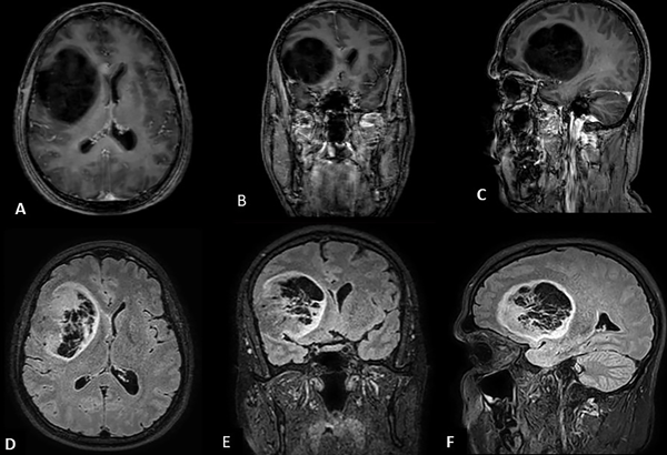
En estudio de resonancia magnética (RM) cerebral con gadolinio (Fig. 1 A, B y C) se define una lesión quística frontal derecha que mide 7.08 cm, x 6.10 cm x 5.28 cm, ocupando un volumen de 114 cm3; presencia de escaso edema perilesional; no se observan realces tras la administración del contraste. En el interior de la lesión se aprecian tabiques intraquísticos que tampoco captan contraste. En secuencia FLAIR (Fig. 1 D, E, F) se puede apreciar aumento en la intensidad de señal en todo el borde de la lesión (“signo del anillo”) y a nivel del entramado trabecular.

Fig.1. Resonancia magnética prequirúrgica, secuencia T1 gadolinio, vista axial (A), coronal (B) y sagital (C). Secuencia FLAIR, vista axial (D), coronal (E) y sagital (F), con el signo del anillo.
INTERVENCIÓN
El tratamiento quirúrgico consistió en una craneotomía fronto-temporal derecha (figura 2. A-B) guiada por neuronavegación y con monitoreo neurofisiológico. Mediante un abordaje microquirúrgico transurcal se procedió a la resección macroscópica total de la lesión, incluyendo un centímetro de tejido cerebral circundante displásico (figura 2. C-D). No se presentaron complicaciones durante la cirugía.

Fig. 2. A: posición del paciente y marcado de la incisión, B: craneotomía frontotemporal derecha, C: lesión tumoral extirpada, incluyendo el tejido cerebral circundante, D:
Lecho quirúrgico cubierto con material hemostático.
Evolución
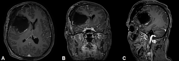
En estudio de resonancia magnética postquirúrgico a las 48 horas de la intervención en secuencias T1, T2, FLAIR, difusión (SWI) y T1 con gadolinio (Fig. 3) no se observaron signos de residuos tumorales.
Fig. 3. Resonancia magnética postquirúrgica, cortes axial, coronal y sagital en secuencia T1 con Gadolinio. Lecho quirúrgico sin lesión tumoral residual.
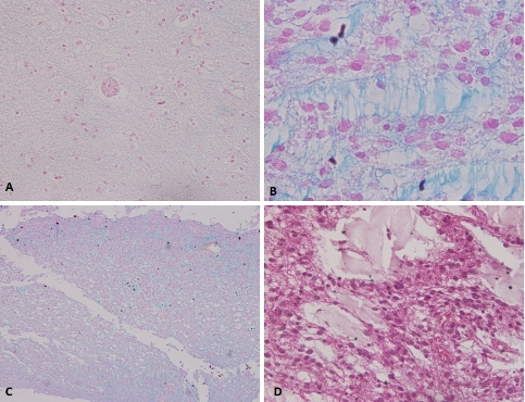
El estudio anatomopatológico reveló un tumor glioneural que muestra estructuras columnares compuestas por células de aspectos oligodendrogliares (Oligodendroglia- like) y otras con aspectos de neuronas que parecen flotar en espacios claros, histiocitos de aspectos mucinosos que se colorean con la coloración de Azul- Alcian (figura 4 A, B, C). Se observan áreas de aspecto nodular compuestas por astrocitos sin grandes atipias y astrocitos gemistocíticos, en tinciones con hematoxilina y eosina (figura 4 D). Se concluye que los hallazgos corresponden con el diagnóstico de Tumor Neuroepitelial Disembrioplásico.

Fig. 4. Estudio histopatológico corteza cerebral y sustancia blanca cortical coloreados con Azul- Alcin (A, B y C) hematoxilina-eosina (D) 10 X.
El paciente tuvo una estadía hospitalaria de cinco días, evolucionando de forma favorable, con mejoría total de los síntomas al momento del alta. En estudio control de resonancia magnética realizado a los seis meses de la operación no se encontraron signos de recidiva tumoral.
DISCUSIÓN
La Organización Mundial de la Salud (OMS) en su 5ta Clasificación de los Tumores del Sistema Nervioso Central ha adoptado un nuevo enfoque para clasificar los gliomas, tumores glioneuronales y tumores neuronales, dividiéndolos en 6 familias diferentes: (1) gliomas difusos de tipo adulto; (2) gliomas difusos de bajo grado de tipo pediátrico (comportamiento poco agresivo); (3) gliomas difusos de alto grado de tipo pediátrico (comportamiento agresivo); (4) gliomas astrocíticos circunscritos; (5) tumores glioneuronales y neuronales (un grupo diverso de tumores, con diferenciación neuronal); y (6) ependimomas.7,8
Todos los tumores con componente neuroglial han permanecido agrupados en esta clasificación. Se agregaron tres nuevos tipos, aunque el primero es provisional: tumor glioneuronal difuso con características de oligodendroglioma y agrupaciones nucleares; tumor glioneuronal mixoide; y tumor neuronal multinodular y vacuolante.7,8
El TND es un tumor mixto neuroglial grado 1 de la OMS relacionado con epilepsia en niños y adultos jóvenes.5 La frecuente asociación con la displasia cortical, el inicio de los síntomas en edades tempranas y la evidencia de deformidad del cráneo suprayacente sugieren un origen disembriogénico. La relación directa con la displasia cortical implica además un origen tumoral a partir de células precursoras durante el desarrollo cortical e incluso un carácter hamartomatoso.3
Los estudios histopatológicos muestran las características distintivas de los TND: presencia de células similares a oligodendrocitos dispuestas de forma columnar a lo largo de haces paralelos de axones, orientadas perpendicularmente a la superficie cortical/pial. Los microquistes están revestidos por células pequeñas y uniformes (oligodendroglia – like). Las neuronas grandes están dispersas dentro de áreas microquísticas, dando la impresión de que "flotan" en un fondo lleno de mucina.9 Estos hallazgos anatomopatológicos fueron hallados en este caso.
El perfil inmunofenotípico de las células oligodendrogliales expresan la proteína S-100 y OLIG-2, mientras que son negativas para proteína gliofibrilar ácida (PGFA), coincidiendo con los resultados del estudio inmunohistoquímico en nuestro paciente. El componente neuronal formado por “neuronas flotantes” muestra marcadores neuronales como NeuN, MAP-2 y sinaptofisina.3
La mayoría de los autores reconocen que los TND se localizan supratentorialmente en la corteza cerebral con predilección por el lóbulo temporal (80%) y con menor frecuencia en el lóbulo frontal (16%), como se presenta en este caso.3,5,10 Otros sitios incluyen el septum pellucidum, el núcleo caudado, el tronco encefálico y el cerebelo. Muy raramente, se ha informado el TND ubicado dentro de los ventrículos, el área del cuerpo calloso y la región pericallosa.3,5
El síntoma principal atribuido a esta lesión es la epilepsia intratable de inicio temprano y de larga duración, en su mayoría convulsiones parciales complejas con generalización secundaria. Es poco frecuente la presencia de déficits neurológicos focales; rara vez existen síntomas como disartria, asimetría facial, entumecimiento, déficit del campo u otros síntomas visuales. La hidrocefalia obstructiva podría verse en las lesiones del septum pellucidum.3 En este caso, la presentación fue atípica con déficit motor, parálisis facial y monoparesia braquial, obedeciendo a su localización también proco frecuente en el lóbulo frontal.
Los estudios por imágenes realizados para el diagnóstico deben incluir tomografía computarizada (TC) y resonancia magnética (RM). Las lesiones quísticas o multiquísticas hipodensas representan el patrón clásico en TC. Las calcificaciones a menudo son detectables en la región más profunda de la lesión, de forma general proximal al componente hemorrágico. La ventana ósea revela deformidades satélites del cráneo en lesiones corticales puras de la convexidad.5
Los TND aparecen en la resonancia como quistes lobulados, bien delimitados, localizados en la corteza cerebral. La extensión a la sustancia blanca subcortical en casos como éste se considera rara.5 Son hipointensos en ponderación T1 e hiperintensos en T2. Es frecuente la ausencia de edema perilesional, efecto de masa sobre las estructuras de la línea media y el realce de contraste es poco apreciables. Los tabiques intraquísticos son un hallazgo común y el “signo del anillo” (borde hiperintenso en la periferia de la lesión) son observados en la secuencia FLAIR.5 La espectroscopia suele mostrar una disminución del pico de N-acetil-aspartato (NAA) y la relación NAA/ Cho (colina) normal, alto índice de mioinositol/ creatina. Estas características ayudan a identificar la lesión de TND y a distinguirla de otros gliomas de bajo grado.3,4,5
El tratamiento más efectivo en los casos sintomáticos de TND es la resección total del tumor. Conduce a un resultado libre de convulsiones incluso en más del 80% de los pacientes durante al menos un año de observación. Pueden obtenerse mejores resultados mediante la resección completa del tumor junto con la zona epileptógena. La mayoría de las lesiones de TND son curables quirúrgicamente.3,10
La recurrencia tumoral y transformación maligna puede ocurrir especialmente en lesiones “extratemporales”. Los hallazgos en RM no han demostrado ser capaces de predecir el potencial de malignidad de estas formas raras.5 Han sido detectados otros tumores de mayor malignidad en pacientes después de la resección de TND, incluido el Tumor Rabdoide Teratoideo Atípico (AT/RT) y el Tumor Cerebral Embrionario muy agresivo. Esto enfatiza la importancia del período prolongado de seguimiento clínico y por imágenes de las lesiones resecadas.3, 11, 12
CONCLUSIONES
La localización frontal y subcortical, el gran tamaño del quiste, y el debut clínico con defecto motor en ausencia de convulsiones son formas inusuales en la presentación de los TND. Los estudios anatomopatológicos son claves en el diagnóstico y en la diferenciación de otros tumores gliales de comportamiento similar. Ante los hallazgos histológicos de formas difusas y mixtas se debe considerar el cuadro clínico, las técnicas especiales de imagen como la espectroscopia por RM y tractografía, el comportamiento de la lesión y la evolución del paciente para esclarecer el diagnóstico. La resección macroscópica total del tumor generalmente se asocia a una curación y mejoría con desaparición de los síntomas. Aunque las recurrencias y transformaciones malignas ocurren en raras ocasiones, se requiere un seguimiento neurológico y por RM, sobre todo en casos de resección tumoral subtotal.
Los autores no declaran conflicto de interés
Los autores no declaran financiamiento.
Este es un artículo de acceso abierto bajo la licencia CC BY-NC https://creativecommons.org/licenses/by-nc/4.0/
BIBLIOGRAFÍA