Distancia entre la hoz cerebral y el cuerpo calloso: análisis estadístico de una medida poco explorada con potencial implicancia quirúrgica
Tim B (Seudónimo)
RESUMEN
Objetivo: Realizar mediciones en estudios de imagenes cerebrales normales desde el borde libre de la hoz del cerebro (HC) hacia la rodilla y el cuerpo del cuerpo calloso (CC) y llevar a cabo un análisis estadístico en función de la edad, tipo de estudio y sexo, destacando la potencial implicancia quirúrgica de estas mediciones.
Materiales y métodos: Se analizaron estudios de imágenes cerebrales normales (tomografía computada [TC] y resonancia magnética [RM]) . Se utilizaron tres puntos anatómicos del CC para medir la distancia hacia la HC (A, B y C). Se utilizaron los software Horos y RadiAnt DICOM Viewer para realizar las mediciones. El análisis estadístico de los datos se realizó con el software Minitab18.
Resultados: 193 estudios fueron evaluados. Los resultados obtenidos en TC fueron: Distancia A: media 2,1065 cm; Distancia B: media 2,2677 cm; Distancia C: media 1,765 cm. Los resultados obtenidos en RM fueron: Distancia A: media 1,7148 cm; Distancia B: media 2,1197 cm; Distancia C: media 1,5321 cm. Se obtuvieron diferencias estadísticamente significativas en las mediciones relacionadas con el tipo de estudio y la edad.
Conclusión: Existe una distancia desde el borde libre de la HC hasta la rodilla y el cuerpo del CC de al menos 1cm, tanto en estudios de TC como de RM de cerebros normales. Se encontraron diferencias estadísticamente significativas en las mediciones en relación al tipo de estudio y la edad. Entre otros usos, estas mediciones podrían ser importantes para determinar el plan quirúrgico en ciertos tipos de patologías.
Palabras clave: Cuerpo calloso; Hoz del cerebro; Distancia; Análisis estadístico; Medidas; Mediciones.
ABSTRACT
Objective: To perform measurements in normal brain imaging studies from the free edge of the falx cerebri (FC) to the genu and the body of the corpus callosum (CC) and perform a statistical analysis based on age, type of study, and sex highlighting potential surgical implication of these measurements.
Methods: Normal brain imaging studies were analyzed (computed tomography scan [CT] and magnetic resonance imaging [MRI]). Three anatomical points of the corpus callosum were used to measure the distance to the falx cerebri (A, B and C). Horos and RadiAnt DICOM Viewer software were used to perform the measurements. Statistical analysis of data was performed with Minitab18 software.
Results: 193 studies were analyzed. The results obtained in CT studies were: Distance A, mean 2.1065 cm; Distance B, mean 2.2677 cm; Distance C, mean 1.765 cm. The results obtained in MRI studies were: Distance A, mean 1.7148 cm; Distance B, mean 2.1197 cm; Distance C, mean 1.5321 cm. Statistically significant differences were found in measurements related to the type of study and age.
Conclusions: There is a distance from the free edge of the FC to the genu and body of the CC of at least 1 cm in both CT and MRI studies of normal brains. Statistically significant differences were found in the measurements in relation to the type of study and age. These measurements can be important to determine the surgical strategy in certain types of pathologies.
Keywords: Corpus callosum; Falx cerebri; Distance; Statistical analysis; Measures; Measurements.
INTRODUCCIÓN
El cuerpo calloso (CC) se encuentra entre los hemisferios cerebrales y conecta porciones emparejadas de estos. Se compone de 200 a 250 millones de axones. Pertenece al grupo de las fibras comisurales de la sustancia blanca cerebral17. Existe abundante información en la literatura sobre sus características anatómicas y funcionales3,7,8,9,17.
La hoz del cerebro (HC) es una estructura en forma de vela formada por la invaginación de la duramadre meníngea entre los hemisferios cerebrales. Se inserta anteriormente en la apófisis crista galli del hueso etmoides y posteriormente en la protuberancia occipital interna1. Existen numerosos libros y artículos que describen su anatomía1,2,3, 8,11,12,14,18, sin embargo, solo unos pocos artículos mencionan la relación entre el CC y la HC. El objetivo de este trabajo es realizar mediciones en estudios de imagenes cerebrales normales entre dos porciones diferentes del CC y el borde libre de la HC y realizar un análisis estadístico en función del sexo, la edad y el tipo de estudio, destacando la potencial implicancia quirúrgica de estas mediciones.
MATERIALES Y MÉTODOS
Se realizó un estudio observacional descriptivo transversal en el que se analizaron estudios de imágenes cerebrales normales (tomografía computada [TC] y resonancia magnética [RM]), entre enero de 2020 y abril de 2022. Se utilizaron tres puntos anatómicos constantes y reproducibles del CC para medir la distancia hacia la HC:

Figura 1:
A:
-Distancia A: comprendida entre el borde anterior de la rodilla del CC y el borde libre de la HC a lo largo del eje anteroposterior y en un ángulo de 0º con respecto al CC.
-Distancia B: comprendida entre el borde anterior de la rodilla del CC y el borde libre de la HC a lo largo del eje cefalo-caudal y en un ángulo de 90º con respecto al CC.
-Distancia C: comprendida entre el cuerpo del CC a la altura de la comisura blanca anterior (la flecha amarilla marca la proyección de la comisura blanca anterior) y el borde libre de la HC a lo largo del eje cefalo-caudal y en un ángulo de 90º con respecto al CC.
B: Esquema anatómico que descata lo mencionado anteriormente (cuerpo calloso en color amarillo, hoz cerebral en colo gris y comisura blanca anterior en color bordó)
Los criterios de inclusión fueron:1 pacientes mayores de 18 años y (2RM o TC cerebral normal; mientras que los criterios de exclusión fueron: 1pacientes cuyos estudios (tanto TC como RM) no permitieran distinguir claramente el CC y la HC. Los estudios de imagen fueron revisados por el Servicio de Neurocirugía y el servicio de Diagnóstico por Imágenes de nuestro hospital.
Las mediciones se realizaron en cortes sagitales en RM (Philips Achieva de 1.5T con los siguientes parámetros de adquisición de las imágenes de la secuencia 3D T1: TR = 7ms, TE = 3ms, ángulo de inclinación = 8, matriz de adquisición = 256x222, espesor de corte = 1 mm, tamaño de vóxel = 1x1x1 mm) y TC (Toshiba Lightning 16 Achilles con cortes finos de 0,5 mm) de cerebros normales (Figura 2). Las mediciones fueron realizadas siempre por las mismas personas y siempre con la misma angulación de los cortes, para evitar sesgos.

Figura 2:
A: Distancias A, B y C en resonancia magnética en plano sagital.
B: Distancias A, B y C en tomografía computarizada en plano sagital
Se utilizó el software Horos versión 3.3.6 y el software RadiAnt DICOM Viewer versión 2020.1.1 para realizar las mediciones. Se realizó un análisis estadístico de los datos tomando como variables el tipo de estudio (TC y RM), el género (masculino y femenino) y la edad de los pacientes (mayores de 65 años y menores de 65 años). Este análisis se realizó con el software Minitab1816. Los supuestos de normalidad y homogeneidad de varianzas fueron corroborados en todos los casos. Las pruebas realizadas fueron no paramétricas, dadas por incumplimiento del supuesto de normalidad en los datos. En todos los casos se utilizó la prueba de Mann-Whitney en la que se compararon medianas de diferentes grupos. Posteriormente, se evaluaron los valores de p obtenidos para cada prueba, considerando un intervalo de confianza del 95%, por lo tanto, α = 0,05. Los gráficos se realizaron en RStudio (versión 1.4.1106) utilizando el paquete "ggplot2".
RESULTADOS
Se analizaron 193 estudios de imagenes cerebrales normales: 115 TC y 78 RM. Los estudios de TC incluyeron a 56 mujeres con una edad media de 68,29 años (DE +19,92) y 59 hombres con una edad media de 62 años (DE +14,85). Los estudios de RM incluyeron a 41 mujeres con una edad media de 45 años (DE +14,00) y 37 hombres con una edad media de 53,46 años (DE +19,13)
Los resultados obtenidos en los estudios de TC fueron para la distancia A: media 2,1065 cm (DE +0,5339) con un rango de 1 a 3,48 cm; para la distancia B: media 2,2677 cm (DE +0,6744) con un rango de 1,078 a 4,615 cm; y finalmente para la distancia C: media 1.765 cm (DE +0,948) con un rango de 1 a 9.595 cm.
Los resultados obtenidos en los estudios de RM fueron para la distancia A: media 1,7148 cm (DE +0,497), con un rango de 1,039 a 3,76 cm; para la distancia B: media 2,1197 cm (DE +0,6071) con un rango de 1,022 a 4,085 cm; y finalmente para la distancia C: media 1,5321 cm (DE +0,3417), con un rango de 1,03 a 2,92 cm (estas variables y el resto de las mismas se analizan en la tabla I).
Tabla I: Caracterización de la muestra según variables sexo, tipo de estudio y edad. RM: Resonancia magnética
Variable |
Variable |
Estu- dio |
Categoría |
N |
N* |
Media |
Error estándar |
Desvia- |
Mínimo |
Q1 |
Mediana |
Q3 |
Máximo |
Género |
A |
MR |
Femenino |
41 |
0 |
1,7393 |
0,0856 |
0,5483 |
1,039 |
1,413 |
1,568 |
2,015 |
3,76 |
Masculino |
36 |
1 |
1,6869 |
0,0729 |
0,4374 |
1,079 |
1,3423 |
1,535 |
2,101 |
2,56 |
|||
B |
Femenino |
41 |
0 |
2,161 |
0,102 |
0,653 |
1,237 |
1,691 |
2,05 |
2,503 |
4,085 |
||
Masculino |
37 |
0 |
2,0742 |
0,0916 |
0,5574 |
1,022 |
1,714 |
2,051 |
2,492 |
3,56 |
|||
C |
Femenino |
36 |
5 |
1,543 |
0,052 |
0,3123 |
1,054 |
1,3428 |
1,4695 |
1,7975 |
2,39 |
||
Masculino |
29 |
8 |
1,5186 |
0,0706 |
0,3802 |
1,03 |
1,2095 |
1,502 |
1,704 |
2,92 |
|||
A |
TC |
Femenino |
53 |
2 |
2,0665 |
0,0716 |
0,5214 |
1 |
1,762 |
1,974 |
2,468 |
3,337 |
|
Masculino |
56 |
2 |
2,1423 |
0,074 |
0,5535 |
1,029 |
1,8155 |
2,112 |
2,5365 |
3,48 |
|||
B |
Femenino |
55 |
0 |
2,2348 |
0,0868 |
0,6437 |
1,159 |
1,71 |
2,189 |
2,646 |
3,653 |
||
Masculino |
57 |
1 |
2,2803 |
0,0938 |
0,7083 |
1,078 |
1,758 |
2,177 |
2,7445 |
4,615 |
|||
C |
Femenino |
39 |
16 |
1,6746 |
0,0668 |
0,4174 |
1 |
1,413 |
1,668 |
1,933 |
3,002 |
||
Masculino |
46 |
12 |
1,816 |
0,191 |
1,295 |
1 |
1,26 |
1,452 |
2,204 |
9,595 |
|||
Estudio |
A |
- |
RM |
77 |
1 |
1,7148 |
0,0566 |
0,497 |
1,039 |
1,398 |
1,558 |
2,052 |
3,76 |
TC |
111 |
4 |
2,1065 |
0,0507 |
0,5339 |
1 |
1,795 |
2,012 |
2,502 |
3,48 |
|||
B |
RM |
78 |
0 |
2,1197 |
0,0687 |
0,6071 |
1,022 |
1,701 |
2,0505 |
2,4823 |
4,085 |
||
TC |
114 |
1 |
2,2677 |
0,0632 |
0,6744 |
1,078 |
1,7448 |
2,1845 |
2,7075 |
4,615 |
|||
C |
RM |
65 |
13 |
1,5321 |
0,0424 |
0,3417 |
1,03 |
1,2685 |
1,473 |
1,7395 |
2,92 |
||
TC |
87 |
28 |
1,765 |
0,106 |
0,984 |
1 |
1,296 |
1,505 |
2,039 |
9,595 |
|||
Edad |
A |
RM |
>65 |
15 |
1 |
1,641 |
0,119 |
0,461 |
1,079 |
1,316 |
1,504 |
2,204 |
2,412 |
<65 |
62 |
0 |
1,7328 |
0,0644 |
0,5072 |
1,039 |
1,4073 |
1,58 |
2,046 |
3.76 |
|||
B |
>65 |
16 |
0 |
1,892 |
0,143 |
0,574 |
1,022 |
1,447 |
1,952 |
2,338 |
2.802 |
||
<65 |
62 |
0 |
2,1784 |
0,077 |
0,6059 |
1,237 |
1,728 |
2,0645 |
2,529 |
4,085 |
|||
C |
>65 |
10 |
6 |
1,441 |
0,053 |
0,1675 |
1,215 |
1,312 |
1,3995 |
1,5668 |
1,706 |
||
<65 |
55 |
7 |
1,5486 |
0,049 |
0,3632 |
1,03 |
1,249 |
1,502 |
1,79 |
2,92 |
|||
A |
TC |
>65 |
60 |
4 |
1,9652 |
0,0595 |
0,461 |
1 |
1,701 |
1,924 |
2,2688 |
3,427 |
|
<65 |
51 |
0 |
2,2728 |
0,0797 |
0,5694 |
1,029 |
1,9 |
2,265 |
2,648 |
3,48 |
|||
B |
>65 |
63 |
1 |
2,1356 |
0,0828 |
0,6574 |
1,078 |
1,68 |
2,056 |
2,567 |
4,615 |
||
<65 |
51 |
0 |
2,4308 |
0,0932 |
0,6655 |
1,138 |
1,878 |
2,385 |
3,043 |
3,653 |
|||
C |
>65 |
47 |
17 |
1,785 |
0,184 |
1,264 |
1 |
1,288 |
1,472 |
1,914 |
9,595 |
||
<65 |
40 |
11 |
1,742 |
0,0789 |
0,4989 |
1 |
1,31 |
1,684 |
2,273 |
2.604 |
TC: Tomografía computada
N: número total de imágenes analizadas N*: número de imágenes faltantes
Q1: Primer cuartilo Q3: Tercer cuartilo
Los resultados del análisis estadístico de los datos obtenidos en las pruebas de Mann- Whitney mostraron diferencias estadísticamente significativas relacionadas con la edad en las mediciones A y B realizadas en TC (los resultados de las distancias A y B medidas en TC fueron más altas en personas menores de 65 años ). Asimismo, también se encontraron diferencias estadísticamente significativas relacionadas con el tipo de estudio en la medida A (los resultados de la distancia A fueron más altas en los estudios de TC). (Tabla II y gráficos I y II)
Tabla II: Resultados de la prueba de Mann-Whitney. Los valores de p que están resaltados en rojo representan aquellas medianas con diferencias estadísticamente significativas.
Estudio |
Variable |
Medida |
W |
Valor de p |
RM |
Género |
A |
1384 |
0,842 |
B |
1436 |
0,802 |
||
C |
908,5 |
0,526 |
||
Edad |
A |
519,5 |
0,403 |
|
B |
518 |
0,160 |
||
C |
290 |
0,473 |
||
TC |
Género |
A |
2917,5 |
0,532 |
B |
3184 |
0,841 |
||
C |
1861 |
0,392 |
||
Edad |
A |
2823,5 |
0,002 |
|
B |
3174 |
0,011 |
||
C |
1937 |
0,266 |
||
- |
Tipo de estudio |
A |
5338 |
0,000 |
B |
6956,5 |
0,132 |
||
C |
4592,5 |
0,158 |
RM: Resonancia magnética TC: Tomografía computada W: Estadístico de prueba.

Gráfico I: Boxplots de las diferentes distancias (A, B y C) medidas en TC según la variable edad. Los valores de p se muestran en los gráficos.

Gráfico II: Boxplots de las diferentes distancias (A, B y C) medidas en TC y RM según la variable tipo de estudio. Los valores de p se muestran en los gráficos.
DISCUSIÓN
Existen numerosos libros y artículos que describen la anatomía del CC y la HC1,2,3,8,11,12,14,18, sin embargo la relación entre ellos es poco mencionada. Kayalioglu G. y col.12, en su investigación realizada sobre preparados cadavéricos, analizaron la anatomía de la HC y realizaron mediciones de su espesor a nivel cefalo- caudal y también realizaron mediciones desde su borde libre hacia: la rodilla, la porción media del cuerpo y el esplenio del CC (siguiendo el eje cefalo-caudal). Clasificaron a la HC en 3 tipos, en base a los datos mencionados anteriormente. La más frecuente fue la HC de tipo I, que presentó una distancia desde su borde libre hacia la rodilla del CC de 1,41 cm (DE +0,56); hacia la región media del cuerpo del CC de 1,24 cm (DE + 0,47); y hacia el esplenio del CC de 0,21 cm (DE +0,18). Estos resultados fueron similares a los presentados por Jiang y col.11 y Dausacker J. y col.8, ambos también realizados en preparados cadavéricos. No hubo diferencias en las mediciones en cuanto a edad y sexo en la población analizada en estos estudios. Aunque nuestro análisis se realizó sobre estudios de imágenes cerebrales normales y no sobre preparados cadavéricos (que deben fijarse para ser estudiados y esto podría distorsionar la anatomía normal), la distancia C en nuestras mediciones es similar a la distancia entre el borde libre de la HC y la región media del cuerpo del CC, en la HC tipo I de Kayalioglu G. y col.
Nuestro estudio analiza la distancia entre regiones particulares del CC y la HC. Hemos elegido estas regiones del CC teniendo en cuenta los datos aportados por estudios basados en traumatismo craneoencefálico13,21,4,5,10,14,19. Estos estudios evidencian que el CC podría resultar dañado por fuerzas de cizallamiento producidas por el trauma contra el borde libre de la HC tanto en el momento del impacto primario como después del mismo por la congestión cerebral y el aumento de la presión intracraneana (entre otras causas)24,20,15,6. En nuestro trabajo hemos demostrado que existe una distancia entre el CC y el borde libre de la HC de al menos 1 cm.
Si bien sabemos que la RM ofrece una visualización más detallada de las estructuras anatómicas, también sabemos que en muchos países no se cuenta con un centro de RM disponible las 24 horas del día. Sin embargo, también sabemos que la gran mayoría de los hospitales tienen tomógrafos disponibles para la realización de imágenes cerebrales las 24 hs del día. De esta forma, una de las variables que analizamos, fue si existen diferencias estadísticamente significativas entre las mediciones realizadas en RM y TC para saber si se pueden usar indistintamente.
Un dato interesante a destacar es el hallazgo de que las distancias A y B medidas en TC son más altas en personas menores de 65 años. Hemos analizado la distancia entre el CC y la HC entre personas mayores y menores de 65 años, ya que la mayoría de los autores proponen que a esta edad se inicia la adultez tardía. En esta etapa, el cerebro podría desarrollar una serie de modificaciones estructurales, tanto microscópicas, macroscópicas como bioquímicas, entre las que se encuentran: disminución de peso y volumen, con aumento del tamaño de los surcos y disminución de las circunvoluciones; atrofia; degeneración granulovacuolar y neurofibrilar; entre otras.23;22;25;26.
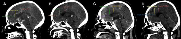
Finalmente, creemos que el uso de estas distancias puede ser una herramienta útil para la planificación quirúrgica en ciertas patologías. Por ejemplo para localizar lesiones en la fisura interhemisférica o en la superficie medial del hemisferio cerebral. Al poder ubicar el objetivo quirúrgico en la RM preoperatoria y medir en ese punto exacto la distancia entre el CC y el borde libre de la HC, esa medida puede reproducirse en el escenario quirúrgico luego de abrir la fisura interhemisférica. En otro procedimiento que se podrían utilizar estas mediciones es en la callosotomía posterior para casos de pacientes con epilepsia refractaria, donde a través de estas distancias podemos planificar la extensión anterior de nuestra callosotomía. Así mismo estas distancias podrían ser útiles para determinar la extensión de la resección ósea realizada en craniectomías descompresivas bifrontales para el tratamiento de la hipertensión endocraneana. En las craniectomías descompresivas bifrontales clásicas, los autores proponen una amplia resección ósea, ligar el 1/3 anterior del seno sagital superior y seccionar la HC para evitar el daño del CC, entre otras estructuras13. Dicho daño al CC es provocado por mecanismos que describimos anteriormente. Nuestro estudio demuestra con datos anatómicos, que la resección del puente óseo que cubre el seno sagital superior podría no ser realizada. También podría evitarse ligar el 1/3 anterior del seno sagital superior y seccionar la hoz, previniendo la morbi-mortalidad asociada a estos gestos quirúrgicos, ya que existe una distancia como mínimo de 1 cm entre el CC y el borde libre de la HC (figura 3). Esta última teoría deberá ser demostrada en trabajos prospectivos.

Figura 3: Presentamos dos casos de pacientes con hipertensión endocraneana refractaria al tratamiento médico en los cuales se realizó una craniectomía descompresiva bifrontal dejando el puente óseo que cubre el seno sagital superior, evitando de esta manera ligar el 1/3 anterior de este seno y seccionar la hoz. En ambos casos se midieron las distancias antes mencionadas, tanto en las imágenes pre- quirúrgicas como en las post-quirúrgicas, no encontrándose grandes variaciones.
A: Caso 1 imagen pre-quirúrgica y mediciones de las distancias antes mencionadas B: Caso 1 imagen post-quirúrgica y mediciones de las distancias antes mencionadas C: Caso 2 imagen pre-quiúrgicas y mediciones de las distancias antes mencionadas D: Caso 2 imagen post-quiúrgica y mediciones de las distancias antes mencionadas
CONCLUSIONES
En este trabajo hemos medido la distancia entre 3 regiones del CC y el borde libre de la HC en estudios de imágenes cerebrales normales y hemos realizado un análisis estadístico en función de la edad, el tipo de estudio y el sexo de los pacientes.
Podemos afirmar con datos objetivos que existe una distancia desde el borde libre de la HC hasta la rodilla y el cuerpo del CC de al menos 1cm, tanto en estudios de TC como de RM. Asimismo, podemos afirmar que existen diferencias estadísticamente significativas relacionadas con la edad y con el tipo de estudio.
Creemos que nuestro trabajo aporta información importante, ya que no encontramos publicaciones que realicen un análisis estadístico en relación a la distancia entre el CC y el borde libre de la HC y destaquen su potencial implicancia quirúrgica, en una población de nuestro país ni tampoco de américa latina. Estos datos podrían ser
importantes para futuros estudios relacionados con la planificación quirúrgica donde estén involucradas estas dos estructuras.
AGRADECIMIENTOS
Agradecemos a la Lic. Delfina Gagliardi por realizar el análisis estadístico del trabajo.
REFERENCIAS