Nuevo enfoque en el tratamiento con diversor de flujo en aneurismas intracraneales rotos
Dr. Diego A. Besada,1 Dr. Giacobbe Héctor L.,2 Dr. Echevarrieta Javier,3
1,2. Servicio de Neurorradiología intervencionista Sanatorio de los Arcos, CABA, Buenos Aires
2,3. Servicio de Neurorradiología intervencionista y Neurocirugía endovascular Sanatorio Anchorena Recoleta y Clínica Bazterrica, CABA, Buenos Aires
RESUMEN
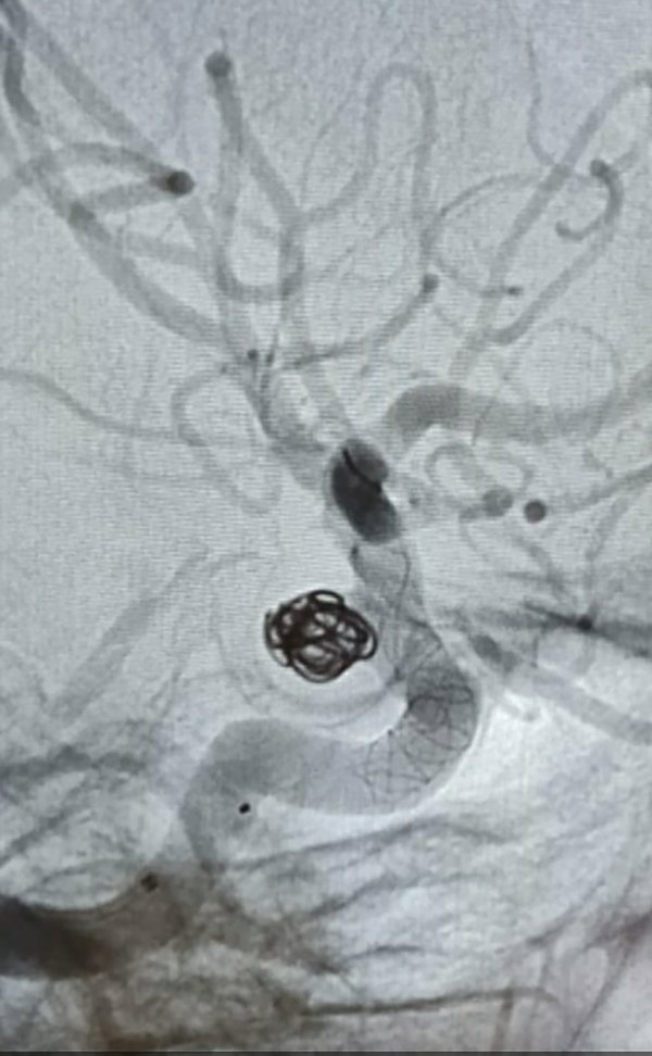
Introducción: Los aneurismas rotos que generan hemorragia subaracnoidea idealmente son tratados sin el uso de diversores de flujo, tratando de evitar la doble antiagregación en el periodo agudo. No obstante, en algunos casos como los aneurismas tipo Blister, disecantes o de cuello ancho no continente, la utilización de diversores de flujo asociado a coils, es un recurso aceptable. Presentamos una serie de casos que abarcan estas variantes, incluyendo una paciente embarazada, mostrando nuestra experiencia y realizando una revisión bibliográfica del tema.
Materiales y métodos: Se presenta una serie de casos, ocho en total, todos con hemorragia subaracnoidea, todos tratados con sistemas diversor del flujo, de diferentes tamaños, se utilizaron los modelos: silk y silk vista baby (balt) pipeline (medtronic), todos implantados en periodo subagudo, es decir a partir de las 48 horas y hasta los 30 días, el más alejado al acontecimiento. Cinco Femeninas, tres masculinos. En dos casos se implantaron adicionalmente al diversor, coils, por el tamaño sacular del aneurisma. A todos se los siguió clínicamente según escala de Rankin modificada y controles inmediatos angiográficos post embolización y angiografía a los 7 meses.

Discusión: Se presenta como discusión y propósito mostrar nuestra experiencia en este tipo de aneurismas, la resolución endovascular con diversores y diversores más coils, cuando han sido descartadas las técnicas endovasculares convencionales y las técnicas quirúrgicas, se exponen resultados y una comparación con la revisión literaria realizada.
Conclusiones: La terapéutica a dichos aneurismas (blisters, disecantes y de cuello ancho no continente), según nuestra experiencia y toda la revisión bibliográfica hecha, llega a la conclusión que el tratamiento con diversor de flujo con o sin coils, es una opción válida, aceptable y segura, con muy buena tasa de oclusión y baja tasa de complicaciones clínicas radiológicas cuando las técnicas convencionales no son posibles inicialmente.