“Como lo manejo...” Cavernomas hemisféricos (cerebro y cerebelo) incidentales en mi consultorio

Fernando García Colmena

Clínica Privada Vélez Sarsfield. Córdoba, Argentina.


Los cavernomas son lesiones vasculares del encéfalo y médula espinal, compuestos por conductos vasculares (capilares) dilatados, con un único plano de endotelio, sin pared muscular. Hay ausencia de barrera hemato-encefálica (con vesículas bordeando la luz de los canales vasculares). Pueden presentarse como lesiones aisladas, o múltiples, siendo estas últimas asociadas a formas familiares, con un componente genético determinado. 1

Se los puede localizar en todo el sistema nervioso central, siendo más frecuente en topografía supratentorial (80%), 15% en fosa posterior, y 5 % en médula espinal.

Estas lesiones tienen una prevalencia de 0.16 a 0.5 % Las posibles manifestaciones clínicas de los mismos son: 

 Pueden ser de presentación esporádica, de novo, familiares, o luego de radioterapia.

En relación con la historia natural de estas lesiones hay un amplio rango reportado del riesgo de sangrado, variando entre 0.25% hasta un 2.3%. 2,3,4 

En relación con los estudios necesarios para estas lesiones (siguiendo recomendaciones de las guías CNS- Angioma Alliance) como regla general no solicitamos angiografía digital, solo la IRM, excepto cuando hay una fuerte sospecha de MAV cerebral presente, o cuando se necesita estudiar con más precisión las anomalías de drenaje venoso que se presentan frecuentemente asociadas a los cavernomas y que deben ser respetadas en la cirugía.


Ej. 1. Paciente con cavernoma incidental subinsular izquierdo en paciente joven que, en IRM de control, demostró crecimiento de la lesión y se decidió cirugía con buena evolución.


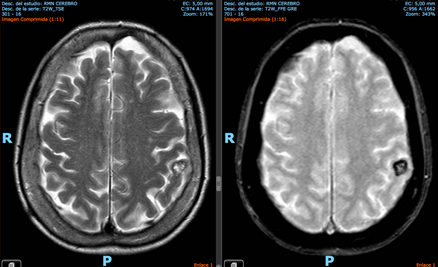
Ej. 2: Paciente de 70 años, antecedente de pérdida de memoria, con IRM con cavernoma incidental poscentral izquierdo. No se indicó tratamiento.

 Para la toma de decisiones están disponibles las guías publicadas por CNS-Angioma Alliance, en 2017. 6

Con relación a los cavernomas incidentales, las recomendaciones considerando estas guías, la evidencia disponible y la experiencia de nuestro Servicio son: 

 Cuando los cavernomas incidentales están localizados en zonas periventrículares con componente exofítico intraventricular, el riesgo de hemorragia ventricular y la accesibilidad a la lesión sin transgredir tejido sano inclinan la balanza hacia el tratamiento microquirúrgico.

 Cuando los cavernomas incidentales están localizados en zonas periventrículares con componente exofítico intraventricular, el riesgo de hemorragia ventricular y la accesibilidad a la lesión sin transgredir tejido sano inclinan la balanza hacia el tratamiento microquirúrgico.

Otra de las localizaciones en que se evalúa cirugía aunque sean cavernomas incidentales es en áreas potencialmente epileptógenas (por ej. témporo mesial), sobre todo si tienen un importante halo de hemosiderina (en T2). Es conocida la posibilidad de refractariedad de las crisis de estas lesiones cuando se vuelven sintomáticas. 

La última localización a evaluar son los cavernomas incidentales de fosa posterior, sobre todo cerebelosos, hemisféricos o paravermianos, y accesibles, ya que estas lesiones en nuestra experiencia tienen más propensión, cuando sangran, a formar hematomas de mayor tamaño que los supratentoriales, por lo que se propone y analiza la cirugía con el paciente. 

Además, un elemento de extrema importancia para la toma de decisiones, al igual que otras lesiones incidentales, es la edad del paciente, y por ende, los riesgos y comorbilidades presentes que deberán ser analizados a lo hora de proponer la conducta de manejo de cavernomas asintomáticos. 

En resumen, la consulta de pacientes con cavernomas incidentales es cada vez más frecuente por el amplio uso sobre todo de la IRM y debemos analizar todas las variables a la hora de decidir la propuesta de tratamiento, ya sea conservador o quirúrgico; siendo la topografía del cavernoma y la edad del paciente las más relevantes. Nuestro criterio de manejo deberá siempre tomar en consideración la evidencia publicada. 

 

 BIBLIOGRAFÍA

  1. P Labauge, CDenier, et al.: Genetics of cavernous angiomas. Lancet Neurol. 6: 237-244. 2007.
  2. O Del Curling Jr, DL Kelly, et al.: An analysis of the natural history of cavernous angiomas. J Neurosurg. 75:702-708. 1991.
  3. D Kondziolka, LD Lunsford, et al.: The natural history of cerebral malformations. J Neurosurg. 83:820-824 1995.
  4. DS Kim, YG Park, et al.: An analysis of the natural history of cavernous malformations. Surg Neurol. 48:9-17 1997.
  5. D Rigamonti, BP Drayer, et al.: The MRI appearence of cavernous malformations (angiomas). J Neurosurg. 67:518-524 1987.
  6. Synopsis of Guidelines for the Clinical Management of Cerebral Cavernous Malformations: Consensus Recommendatios based on Systematic Literature Review by the Angioma Alliance Scientific Advisory Board Clinical Expert Panel. 2017 Angioma Alliance