Presentación atípica de un subependimoma gigante de ventrículo lateral, grado I de la OMS. Reporte de caso y revisión de la literatura
Federico E. Minghinelli, Emiliano Loreffice, Martín E. Bourguet, Martín E. Bourguet, Mariano Socolovsky, Roberto S. Zaninovich.
Hospital de Clínicas “José de San Martín”, Facultad de Medicina, Universidad de Buenos Aires
RESUMEN
Introducción: Los subependimomas son tumores infrecuentes, benignos y de lento crecimiento. Su localización más frecuente es el cuarto ventrículo. Generalmente tienen un tamaño menor a 2 cm. El tratamiento es quirúrgico cuando generan síntomas. El objetivo del presente trabajo es describir el caso de una presentación atípica de un subependimoma grado I de la OMS y realizar una revisión de la literatura no sistemática.
Reporte de caso: Un hombre de 45 años de edad consultó por cefalea y alteración en la marcha. Presentaba una paresia en el miembro inferior derecho. La resonancia magnética (RM) de cerebro evidenció una gran lesión a nivel del cuerpo del ventrículo lateral derecho y una dilatación ventricular leve. Debido a estas características imagenológicas que no permitían precisión diagnóstica y a la clínica del paciente se decidió la resección de la masa con sospecha de tumor intraventricular
Resultados: La exéresis macroscópicamente completa de la lesión mejoró los síntomas y otorgó un diagnóstico anatomopatológico (subependimoma grado I de la OMS). El paciente fue dado de alta hospitalaria al 5to día post operatorio. Actualmente no presenta complicaciones ni recidivas documentadas.
Conclusión: La presentación del subependimoma grado I de la OMS en este paciente fue atípica, ya que se localizaba en el ventrículo lateral derecho y era de gran tamaño. La exéresis quirúrgica permitió el diagnóstico histológico y el control de la enfermedad.
Palabras clave: tumor, cerebro, ventrículos, subependimoma, atípico
ABSTRACT
Introduction: Subependymomas are rare, benign and slow-growing tumors. Its most frequent location is the fourth ventricle. They are generally less than 2 cm in size. Treatment is surgical when they generate symptoms. The objective of this article is to describe the case of an atypical presentation of a WHO grade I subependymoma and to perform a non-systematic literature review.
Methods: A 45-year-old man consulted for headache and gait disturbance. He presented a paresis in the lower right limb. Magnetic resonance imaging (MRI) of the brain revealed a large lesion in the body of the right lateral ventricle and mild ventricular dilation. Due to these imaging characteristics that did not allow diagnostic precision and the patient's symptoms, it was decided to remove the mass with suspected intraventricular tumor.
Case report: Macroscopically complete excision of the lesion improved symptoms and gave a pathological diagnosis (WHO grade I subependymoma). The patient was discharged from the hospital on the 5th postoperative day. He currently has no documented complications or recurrences.
Conclusion: The presentation of WHO grade I subependymoma in this patient was atypical, since it was located in the right lateral ventricle and was large. Surgical excision allowed histological diagnosis and control of the disease.
Key words: tumor, brain, ventricles, subependymoma, atypical
INTRODUCCIÓN
Los subependimomas son tumores raros, benignos y de lento crecimiento1. Se presentan frecuentemente en hombres de mediana edad y en adultos mayores. Surgen con mayor frecuencia en el cuarto ventrículo (50-60%), seguidos del ventrículo lateral (30-40%) y, con menor frecuencia, en el septum pellucidum y la médula espinal.3.
En cuanto a la histopatología, se han propuesto diversas teorías para explicar su origen: desde una célula precursora ependimaria-glial, astrocitos de la placa subependimaria a una mezcla de astrocitos y células ependimarias4. Otras teorías evidencian que surgen de una lesión hamartomática o como reacción a una ependimitis crónica. El desarrollo a partir de la glía subependimaria parece ser el más probable. El fenotipo inmunohistoquímico característico presenta positividad para la proteína glial fibrilar ácida y constituye su sello distintivo.5;6.
Entre los estudios diagnósticos la resonancia magnética es el gold standard. Son lesiones hipo a isointensas ponderadas en T1 e hiperintensas en T2. Muestran poco o nulo realce tras la administración de contraste7;8. En tomografía computada se evidencian como masas iso o hipodensas con componentes quísticos y escaso realce post-contraste. Las calcificaciones son poco frecuentes. Estos tumores generalmente tienen un tamaño menor a 2 cm9.
Los subependimomas poseen un buen pronóstico y su tratamiento es quirúrgico cuando generan síntomas. La radioterapia usualmente no está indicada. Existe abundante información en la literatura mundial acerca de este tipo de tumores, pero no hemos encontrado reportes acerca de lesiones gigantes. El objetivo del trabajo es difundir una presentación atípica de un subependimoma grado I de la OMS gigante de ventrículo lateral derecho y realizar una revisión de la literatura no sistemática.
REPORTE DE CASO
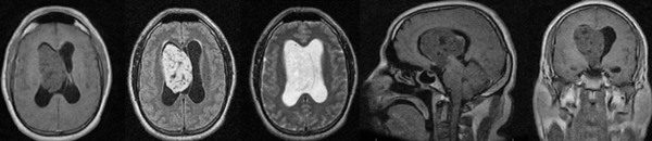
Un hombre de 45 años de edad con antecedentes de asma, consultó al servicio de urgencias por cefalea holocraneana de intensidad 9/10 en la escala numérica análoga, de tipo opresiva que mejoraba parcialmente con analgésicos, asociada a alteración en la marcha. Al examen físico neurológico presentaba una paresia leve en el miembro inferior derecho. Se realizó una resonancia magnética (RM) de cerebro la cual evidenció una gran lesión a nivel del cuerpo del ventrículo lateral derecho de 7 x 6 x 7 cm que sobrepasaba la línea media y se extendía al III ventrículo. Tras la administración de contraste se evidenció un leve realce heterogéneo. Así mismo se evidenció una leve dilatación ventricular (Figura 1).

Figura 1: resonancia magnética de cerebro que evidencia una lesión heterogénea a nivel del ventrículo lateral derecho con extensión al III ventrículo y desplazamiento de línea media, la cual realza luego la administración de contraste.
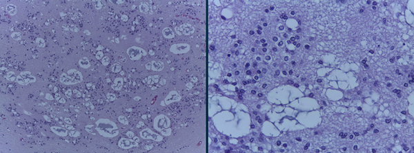
Se realizó la exéresis macroscópicamente completa de la lesión a través de una craneotomía y ulterior corticotomía a nivel del giro frontal medio derecho, colocándose finalmente una derivación ventricular externa (Figura 2). La anatomía patológica reveló una histología compatible con subependimoma grado I de la OMS (Figura 3). El paciente permaneció internado por 3 días en la unidad de terapia intensiva, pasando luego a piso donde se retiró la derivación ventricular externa y fue dado de alta hospitalaria al 5to día post operatorio sin complicaciones. Se realizó una RM control la cual evidenció la resección macroscópicamente completa de la lesión (Figura 4).

Figura 2: Imágener intraoperarias que evidencian un tumor blanco-amarillento hetereo géneo, su exéresis con asistencia de aspirador ultrsónico y el lecho quirúrguco post-resección.

Figura 3: Anatomía patológica que evidencia histología compatible con Subependinoma Grado I de la WHO: Tumor con fondo de matric fibrilar glial. Células redondeadas con escaso pleomorfismo nuclear, formaciones micro quísticas y aisladas calcificaciones. El índice de proliferación celular expresado con K67 fue mejor que el 1%.

Figura 4: Resonancia magnética que evidencia la exéresis completa de la lesión.
A 4 años de realizada la cirugía, el paciente se encuentra en seguimiento por el servicio sin complicaciones ni recidivas documentadas.
DISCUSIÓN
Nishio S et al. asegura que la localización más frecuente de los subependimomas grado I es el IV ventrículo3. Por el contrario, existen pocos casos publicados en la literatura de tumores de esta estirpe localizados dentro del ventrículo lateral10. Una teoría que podría explicar esto es propuesta por Ragel et al., la cual afirma que las lesiones usualmente son asintomáticas y son halladas en estudios post mortem o de forma incidental10.
Wiestler OD et al. asegura que el tamaño más frecuente de los subependimomas grado I es menor a 2 cm y que aquellos que superan este tamaño son denominados gigantes (9). El factor más importante para la generación de síntomas es su localización9. Maiuri F et al. en su trabajo describe que las lesiones que bloquean las vías de circulación de LCR, independientemente de su tamaño, van a provocar síntomas de forma más temprana que aquellas que no lo hacen11. Esto tiene lógica ya que la cefalea secundaria a hidrocefalia se presenta como uno de los signos de presentación más frecuente. El tamaño de la lesión de nuestro paciente fue de 7 x 6 x 7 cm. Una teoría que podría explicar este crecimiento, en concordancia con lo expuesto por Maiuri F et al.11 y Ragel et al.10 es que la localización de la lesión no generaba obstrucción en la circulación de LCR y, por ende, permitió el crecimiento de la misma generando sintomatología de forma insidiosa.
Cabe destacar que se trata de tumores de buen pronóstico (grado I de la OMS). Diversos autores enfatizan en no tratar quirúrgicamente a aquellos pacientes que son asintomáticos11;7;13. Viale et al. asegura que la resección total macroscópica se asume como curativa. Así mismo este autor evidencia que la gran mayoría de estas lesiones no presentan recurrencias, y que en aquellos tumores que presenten adherencia a zonas críticas se debe realizar una resección subtotal, priorizando el resultado funcional postoperatorio del paciente. Solo un 12% de estas lesiones presentan características de agresividad (edema vasogénico peritumoral, efecto de masa, captación intensa de contraste o hemorragia intralesional)14. Furie et al. describió dos subependimomas del ventrículo lateral que invadían estructuras locales: el tálamo y el cuerpo calloso15. Se ha informado metástasis intraventriculares con diseminación ependimaria observada 2 años después del diagnóstico inicial10. Más allá del tratamiento quirúrgico, ante la imposibilidad de la resección completa de este tipo de tumores, se debe considerar la posibilidad de administrar tratamiento complementario mediante radioterapia15.
Creemos que es necesario sumar más casos al expuesto por nuestro equipo de trabajo para obtener más información acerca de la fisiopatología de este tipo de lesiones gigantes, su tratamiento y resultados.
Consideramos que nuestro estudio aporta información novedosa e interesante ya que existe poca información en la literatura mundial acerca de subependimomas gigantes grado I de la OMS
CONCLUSIÓN
Hemos presentado el caso de un paciente de 45 años de edad con un subpendimoma gigante grado I de la OMS. La presentación fue atípica ya que se localizaba en el ventrículo lateral derecho y era de gran tamaño. Debido a su tamaño y localización se decidió cirugía, sin una clara sospecha histológica. La mencionada exéresis quirúrgica permitió un diagnóstico histológico y la desaparición del déficit neurológico. No obstante, a pesar de que la resección completa de un subependimoma se considera curativa por ser una lesión benigna, la decisión quirúrgica debe realizarse priorizando la calidad de vida del paciente.
REFERENCIAS
COMENTARIO
Los autores nos presentan un reporte de caso sobre la Presentación atípica de un Subependimoma gigante de ventrículo lateral, complementado con una revisión no sistemática de la bibliografía.
La presentación es concreta y ordenada; y la resolución del caso adecuada, siendo distintivo en esta comunicación el tamaño y la topografía de la lesión.
Debido a la baja prevalencia de este tipo de tumores, y siendo muchas veces oligosintomáticos o incluso asintomáticos; es que se torna necesario incorporarlos definitivamente a los diagnósticos diferenciales de lesiones intraventriculares, auspiciando un mayor grado de detección y mejorando las posibilidades evolutivas de los pacientes.
La mayor fortaleza de esta comunicación es dar visibilidad a una entidad nosológica no siempre debidamente considerada.
Agradecemos a los autores por la presente elaboración.
Claudio Centurión.
Sanatorio Aconcagua. Clínica Vélez Sársfield.
Córdoba.
COMENTARIO
Los autores presentan el caso de un paciente que consultó por cefalea y trastornos de la marcha, ocasionados por un extenso tumor intraventricular que ocupaba el ventrículo lateral derecho y se extendía al tercer ventrículo. Se le realizó una craneotomía frontal derecha con corticotomía en giro frontal medio y una resección tumoral completa. La biopsia informó un subependimoma Grado I de la OMS. Evolucionó favorablemente, sin complicaciones y sin recidiva tumoral.
Los subependimomas, como bien mencionan los autores, son tumores extremadamente infrecuentes, benignos, de lento crecimiento, indolentes, que por lo general se originan en el cuarto ventrículo y menos frecuentemente en los ventrículos laterales y en el tercer ventrículo. Muchos de ellos se descubren en forma incidental y si son pequeños, se recomienda el tratamiento conservador con vigilancia imagenológica con RM periódica y tratarlos cuando exhiben crecimiento y/o presentan síntomas. La cirugía se reserva para los casos sintomáticos, generalmente por hidrocefalia, y para aquellos tumores grandes con diagnóstico incierto. La amplia mayoría de los casos pueden ser resecados completamente sin consecuencias neurológicas. Por el contrario, en aquellos casos en los cuales hay infiltración de estructuras neurovasculares críticas (tronco cerebral, ganglios de la base, arterias vertebrales, etc.) se recomienda enfáticamente realizar una resección subtotal priorizando la preservación de la función neurológica. La tasa de recurrencia es baja y la diseminación dentro del SNC más infrecuente aún.1
Felicito a los autores por la presentación del trabajo, la calidad de imágenes y el excelente resultado obtenido. En mi experiencia este tipo de tumor intraventricular lo hubiese operado por vía interhemisférica transcallosa anterior en decúbito lateral derecho con la línea media paralela al piso y la cabeza flexionada 45o hacia arriba para minimizar la retracción cerebral utilizando el efecto gravitacional sobre el lóbulo frontal derecho.
Martín Guevara
Jefe Unidad Neurocirugía Hospital J. A. Fernández. Jefe Neurocirugía CEMIC