Quiste Epidermoide Intradiploico con Invasión Intracerebral: Reporte de Caso y Revisión de la Literatura

Derek Pipolo, Andrés Di Petrantonio, Gisela Pascuetin, Humberto Asmus, Walter Brennan
Servicio de Neurocirugía. Hospital de Trauma y Emergencias Dr. Federico Abete


RESUMEN
Introducción: Los quistes epidermoides intradiploicos representan el 25% de los tumores epidermoides intracraneales y menos del 0,25% de todos los tumores intracraneales primarios. El hueso frontal y el parietal son las localizaciones más comunes. La extensión intradural es muy infrecuente, representando solamente el 3% del total de ellos.
Caso clínico: Paciente femenina de 64 años con antecedente de TEC frontal a los 11 años de edad consulta por una tumoración subcutánea de 5 x 4 cm a nivel frontal izquierda de evolución prolongada. TC de encéfalo mostró una lesión lítica de calota asociada a compromiso subgaleal, invasión intradural y extensión intraparenquimatosa. Se decidió la conducta quirúrgica con exéresis de la misma junto con su pseudocápsula. El informe anatomopatológico reveló quiste epidermoide.
Discusión: Los quistes epidermoides pueden ser congénitos o adquiridos. Al igual que nuestro caso, los adquiridos suelen causarse por la inclusión traumática del epitelio superficial. Suelen presentarse como una tumefacción subcutánea y permanecer asintomáticos hasta incluso décadas. La inusual extensión intradural puede generar síntomas tales como convulsiones y déficits neurológicos. El tratamiento suele ser la exéresis completa junto con su cápsula para así lograr un pronóstico favorable y la prevención de complicaciones.
Conclusión: Los quistes epidermoides intradiploicos son lesiones benignas y de crecimiento lento, pudiendo alcanzar tamaños considerables y ocasionalmente extenderse intracranealmente. El diagnóstico suele sospecharse radiológicamente y es confirmado mediante el estudio anatomopatológico. Deben incluirse dentro del algoritmo diagnóstico en pacientes que presentan lesiones únicas de calota con osteólisis e invasión intradural. En casos de extensión intradural, se insiste en su extirpación total con el fin prevenir la recurrencia y su potencial malignización.

Palabras Claves: Quiste epidermoide, Tumor intradiploico, Tumor óseo, Invasión intracraneal.

ABSTRACT
Introduction: Intradiploic epidermoid cysts account for 25% of intracranial epidermoid tumors and less than 0.25% of all primary intracranial tumors. The most common locations are the frontal and parietal bone. Intradural extension is very infrequent, representing only 3%.
Case Report: A 64-year-old female with a history of a frontal TBI at 11 years of age consulted for a left frontal subcutaneous tumor measuring 5 x 4 cm of prolonged evolution. Brain CT showed a lytic calvarial lesion associated with subgaleal involvement, intradural invasion and intraparenchymal extension. Surgical treatment of the tumor with its pseudocapsule was performed. The pathological report revealed an epidermoid cyst.
Discussion: Epidermoid cysts can be congenital or acquired. Like our case, acquired types are usually caused by traumatic inclusion of the superficial epithelium. They tend to present as subcutaneous swelling and remain asymptomatic for decades. The unusual intradural extension can lead to symptoms such as seizures and neurological deficits. Treatment is usually complete resection together with its capsule in order to achieve a favorable prognosis and prevention of complications.
Conclusion: Intradiploic epidermoid cysts are benign, slow-growing lesions that can reach considerable size and occasionally extend intracranially. Its diagnosis is usually suspected radiologically and confirmed by histopathological study. These should be included in the diagnostic algorithm of patients presenting single calvarium lesions with osteolysis and intradural invasion. In cases of intradural extension, total removal is insisted in order to prevent recurrence and potential malignancy.

Key Words: Epidermoid cyst, Intradiploic tumor, Bone tumor, Intracranial invasion.


INTRODUCCIÓN
Los quistes epidermoides son lesiones poco frecuentes, benignas y de crecimiento lento. El primer reporte de un quiste epidermoide fue realizado por el anatomopatólogo Cruveilhier en 1829, describiendo una lesión en la región temporal a la que denominó "tomour perlee" (tumor perlado) debido a sus características macroscópicas de brillo perlado metálico.1 Posteriormente, el fisiólogo Johannes Müller en 1838 describió el primer quiste epidermoide intradiploico y acuñó el término “colesteatoma”.1 Si bien su nombre hace referencia a la presencia de grasa y colesterol (cole-colesterol y steat-tejido adiposo), el término es equívoco etimológicamente debido a que en la actualidad el “colesteatoma” carece de ambos componentes.
Su origen puede ser congénito, relacionado con la implantación de ectodermo en el momento del cierre del tubo neural, o adquirido, generalmente causado por la inclusión postraumática de epitelio superficial.2
Los quistes epidermoides son raros y representan menos del 0,25% de todos los tumores intracraneales primarios, pudiendo desarrollarse tanto a nivel intradural como extradural, siendo la primera su localización más frecuente.3,4 Éstos suelen localizarse en la región del ángulo pontocerebeloso, en la región supraselar, fosa romboidal y canal espinal;2 también se encuentran con menor frecuencia en otras localizaciones, tales como la cisura de Silvio, región cuadrigémina, intraventricular, pontina, talámica y cuerpo calloso. Aquellos extradurales, también denominados intradiploicos, representan aproximadamente un 25% de todos los quistes epidermoides intracraneales.4 Pueden ubicarse en el cuero cabelludo, bóveda craneal o base de cráneo, siendo el hueso frontal y el parietal las localizaciones más comunes.3 La mayoría de los quistes epidermoides extradurales son pequeños y no suelen extenderse intracranealmente. No obstante, su crecimiento progresivo puede generar grandes defectos craneales, compresión cerebral y/o de estructuras neurovasculares adyacentes, generalmente debido a compresión extradural.3 Sin embargo, aproximadamente el 3% se extienden hacia el espacio subdural.5
Pueden presentarse a cualquier edad con un ligero predominio entre la segunda y quinta década. 3,4

CASO CLÍNICO
Paciente de sexo femenino de 64 años con antecedentes de TEC en región frontal izquierda secundario a caída de propia altura a los 11 años de edad, referida a consulta externa de Neurocirugía por presentar una tumoración frontal izquierda de evolución prolongada y crecimiento lento. Durante el examen físico se constató su presencia a nivel subcutáneo, de 5 x 4 cm aproximadamente, de características blanda, borde mal definido, fluctuante, indolora y sin signos inflamatorios. Adyacente a la misma se palpó otra tumoración más pequeña de similares características.
Concurrió con una radiografía (Rx) de cráneo frente y perfil donde se evidenció una lesión radiolúcida, circular y de bordes definidos con signos de remodelación esclerótica (Figura 1A y B). Tomografía computada (TC) de encéfalo mostró una lesión lítica de calota con deformación y esclerosis de la misma asociada a compromiso subgaleal, invasión intradural y extensión intraparenquimatosa en imagen de “reloj de arena” (Figura 1C y D).


Figura 1.
A) y B) Rx de cráneo frente y perfil. C) y D) TC de cerebro sin contraste endovenoso.


Figura 2.
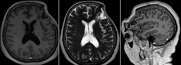
RM de cerebro. A) Secuencia T1 sin contraste endovenoso. B) y C) Secuencia T1 con contraste endovenoso. D) Secuencia T2.

Resonancia magnética (RM) de encéfalo con contraste endovenoso evidenció una lesión heterogénea, predominantemente hipointensa en secuencia T1, hiperintensa en T2, heterogénea e isointensa con respecto al parénquima cerebral en Flair (Fluid attenuated inversión recovery), con escasas áreas de restricción en la secuencia difusión (DWI) y realce fino periférico tras la administración de contraste (Figura 2). Se observó efecto de masa leve con colapso de asta frontal de ventrículo lateral homolateral. Se realizó una angiotomografía de encéfalo para valorar la vascularización adyacente de la masa y descartar anomalías vasculares, siendo negativa para las mismas.

Debido a los hallazgos imagenológicos y clínicos, se decidió realizar su exéresis quirúrgica (Figuras 3 y 4).


Figura 3.
Imágenes intraoperatorias. Tiempo extradural.


Figura 4.
Imágenes intraoperatorias. Tiempo extra e intradural. Flecha amarilla: defecto dural a través del cual se comunica el espacio extra y subdural.

Se planificó un abordaje hemicoronal izquierdo pasante de línea media. El colgajo cutáneo se disecó en dos planos. Se constató el compromiso del plano subgaleal y de la fascia superficial del músculo temporal por parte de la lesión. La misma se disecó de forma circunferencial siguiendo su trayecto hacia su origen en la calota craneana y se obtuvo muestra de contenido del saco, el cual se describe como “blanco perlado”, de aspecto caseiforme, evacuándolo mediante aspiración en su totalidad. La cápsula tumoral detergida se disecó del borde óseo y la duramadre hasta rodear en 360° el sitio de perforación de la misma. Se realizó ligadura y exéresis del componente extradural del saco. Luego, se efectuó un fresado circunferencial del borde óseo, hasta observarlo sano.
El tiempo intradural se inició con la apertura dural centrada en el defecto de perforación a través de la cual se desprendió material caseoso de similares características al evacuado previamente. Se realizó lavado y aspiración de la cavidad intracerebral. Se visualizó una pseudocápsula friable sin plano de disección, lo que dificultó su exéresis completa a pesar del intento. Para finalizar, se llevó a cabo la exéresis de duramadre adelgazada e infiltrada, con posterior plástica dural con parche autólogo y se realizó un cierre cutáneo por planos.
Se recibió el informe anatomopatológico diferido donde se constató una formación quística revestida por epitelio escamoso, sin atipia y material carneo en su interior, con calcificaciones dispersas y escaso infiltrado linfoplasmocitario, compatible con quiste epidermoide. No se observaron características malignas (Figura 5). La paciente cursó el postoperatorio en forma satisfactoria, sin presentar complicaciones y egresando al cuarto día del postoperatorio (Figura 6).


Figura 5.
Pieza macroscópica y estudio microscópico de pieza quirúrgica.


Figura 6.
RM de cerebro control a los 4 meses postoperatorio.

DISCUSIÓN
Los quistes epidermoides intradiploicos suelen localizarse en los huesos tabulares de la calota, senos paranasales, maxilar, temporal y esfenoides.6 Predominan en el sexo masculino y la aparición de los síntomas ocurren entre los 20 y 50 años.2,7 Existe una gran variabilidad con respecto a la duración sintomatológica previo a la consulta, oscilando entre 0 y 80 años, reflejando la naturaleza de su crecimiento lento.8

Etiopatogenia
Los quistes epidermoides pueden ser congénitos o adquiridos. Los primeros se encuentran relacionados con la implantación de tejido ectodérmico heterotópico o de otras líneas de fusión epitelial en el momento del cierre del tubo neural entre la tercera y quinta semana de gestación.4,8,9 Los estudios inmunohistoquímicos podrían corroborar esta hipótesis debido a que sus células contienen los mismos restos de carbohidratos que la piel, demostrando su origen embriológico común.9 El origen de la forma intradiploica implica la inclusión de células epidérmicas a nivel óseo.4 Los de etiología adquirida suelen ser causados por la inclusión traumática del epitelio superficial.3,8,9 También pueden generarse a través de punciones lumbares o intraóseas.4 Los autores consideran este caso como de origen adquirido debido al antecedente traumático en la misma región referido por la paciente.
Su crecimiento ocurre por procesos de descamación de células normales y degradación de la membrana celular hacia la cavidad quística y no por división celular activa. El mismo justifica su naturaleza benigna y crecimiento lento, dando como resultado la producción de queratina y colesterol.10,11 Se piensa que la causa del defecto óseo es debido a la presión expansiva tumoral, generando cambios reactivos distróficos y provocando así un defecto óseo denominado “festoneado”.2,12 La erosión lenta y consecuente festoneado óseo se genera al igual que en otros tumores benignos de calota y no se acompaña de invasión celular tumoral.2 Se producen así cambios de presión en sus estructuras adyacentes visibles radiográficamente, siendo característica la destrucción ósea del cráneo con aumento de la radiopacidad de los bordes circundantes lisos.2

Diagnóstico
Los quistes epidermoides intradiploicos suelen descubrirse incidentalmente y permanecer asintomáticos a lo largo de muchos años. La mayoría se manifiestan como pequeñas masas asintomáticas en el cuero cabelludo de larga evolución. Los síntomas más comunes son hipersensibilidad local y cefalea.9,13–15 Sin embargo, de existir osteólisis extensa, compresión extra o invasión intradural, pueden generarse síntomas más considerables tales como convulsiones o déficits neurológicos, de la misma manera que cualquier otra lesión ocupante de espacio extraxial.4,8
Podemos insinuar el diagnóstico del quiste epidermoide a través de las distintas modalidades imagenológicas (Rx de cráneo, TC y RM de encéfalo) y confirmándolo mediante el estudio histopatológico.
Cushing fue el primero en describir la primera característica radiológica del epidermoide intradiploico como “áreas focales de osteólisis acompañado de un margen liso generalmente esclerótico”.16 Radiológicamente se caracterizan por áreas líticas con erosión y expansión de las tablas internas y externas del cráneo con bordes escleróticos definidos y calcificados.3 Su imagen típica consta de una lesión con un diámetro menor a 5cm con bordes escleróticos, siendo atípico aquellos que carecen de tales bordes o de un tamaño mayor.13 En la TC de cerebro se describe una masa hipodensa, homogénea y lobulada, la cual no realza tras la administración de contraste endovenoso.2,13,17 Suelen presentar un rango de densidad de -20 a +20 unidades de Hounsfield (UH); en algunos casos pueden mostrar calcificaciones en la pared quística.3 En nuestro paciente, la densidad tumoral se mostró entre -3 UH y +30 UH (excepto en algunas áreas calcificadas). Estas lesiones son hipodensas debido a la combinación de colesterol de baja densidad.18 Sin embargo, la densidad tomográfica puede aumentar tornándose similar a la del líquido cefalorraquídeo (LCR) debido al mayor contenido proteico, cálcico o de detritus celulares.3,11
La mayoría de los quistes epidermoides no suelen presentar un realce posterior a la administración de contraste endovenoso.3 De haberlo, un realce periférico podría corresponder a inflamación perilesional.6 En la modalidad de RM de encéfalo, suelen ser hipointensas en las secuencias ponderadas en T1 e hiperintensas en T2.3,13,19 Aunque típicamente hipointensa, la intensidad en T1 puede cambiar según el contenido quístico.3 Las lesiones iso e hiperintensas suelen contener líquido hemorrágico.2 La RM además permite valorar la extensión intracraneal, siendo la secuencia Flair más precisa que las secuencias T1 y T2 para este fin, siendo hiperintensa en relación con el LCR debido al colesterol y los restos epiteliales.3,11,19 La secuencia DWI demuestra utilidad para el diagnóstico con su hiperintensidad característica (restricción de difusión) principalmente en lesiones intradurales, no así en aquellos de origen intradiploico.3,11,19
Macroscópicamente, aparecen como tumores de paredes lisas, pardas-blanquecinas, friables y de contenido duro-pétreo y untuoso. Microscópicamente se encuentran delineados por una cápsula delgada de epitelio escamoso queratinizado estratificado.20 La degeneración epitelial intraquística genera una reacción de cuerpo extraño caracterizada por células gigantes, la formación de cristales de colesterol, hemosiderina y fibrosis.2 El examen histopatológico diferido de nuestro paciente describió una formación quística revestida por epitelio escamoso, sin atipia y material carneo laminar en su interior. A nivel del tejido conectivo denso adyacente se observaron dispersas calcificaciones y escaso infiltrado linfoplasmocitario.

Diagnóstico diferencial
Según la experiencia quirúrgica de los autores y en sincronía con la literatura publicada, entre los diagnósticos diferenciales se destacan la metástasis ósea, meningioma, quiste dermoide, granuloma eosinofílico, quiste óseo aneurismático, colesteatoma, quiste hidatídico y quiste aracnoideo.3,4,7
Las metástasis óseas suelen originarse a partir de neoplasias de la mama, pulmón, tiroides y riñón, así como también el neuroblastoma. Presentan una apariencia variable, siendo únicos o múltiples masas con márgenes regulares o irregulares, visualizándose tomográficamente como lesiones hiperdensas debido al aumento de su vascularización. Junto a ello se destaca un mayor compromiso del estado general del paciente y la posible coexistencia de otras metástasis. El quiste dermoide presenta contenido dérmico (piel y glándulas sebáceas), localizándose generalmente en la línea media durante la niñez. Los granulomas eosinofílicos suelen ser más homogéneos y blandos, presentando márgenes óseos no escleróticos (bordes “biselados”) y apareciendo en pacientes jóvenes. Los colesteatomas se localizan a nivel temporal y suelen presentar antecedentes de alguna infección otológica a repetición. El quiste hidatídico no suele erosionar la tabla ósea ni generar calcificaciones intralesionales. El quiste aracnoideo sigue todas las secuencias de LCR en RM.

Tratamiento y complicaciones
En casos sintomáticos, el tratamiento de elección suele ser quirúrgico. Hace un siglo aproximadamente, Cushing expresó que el objetivo quirúrgico debe ser la exéresis tumoral completa incluyendo su cápsula, la cual debe ser disecada del hueso y duramadre.16 El componente “activo” y en crecimiento del quiste epidermoide intradiploico es su cápsula. Por ello, la exéresis capsular siempre deber ser removida posterior al contenido. El revestimiento epitelial de éstos no suelen regenerarse con la exéresis completa, asociándose con un buen pronóstico a largo plazo con curación y mínima mortalidad operatoria.2,9 De realizarse una exéresis incompleta, existe el riesgo de complicaciones tales como la hemorragia postoperatoria, meningitis granulomatosa, recurrencia y transformación maligna.6,11 La recurrencia es probable si la pared del quiste no se remueve por completo, con una tasa del 8,3 al 25%.3,6
Por otro lado, son infrecuentes los casos de perforación dural (espontánea o intraoperatorio) y volcado del contenido quístico hacia al espacio subaracnoidal. La descarga del mismo (queratina, detritos celulares y colesterol) hacia este espacio podría provocar una meningitis aséptica.7 De igual manera que la exéresis de un quiste epidermoide de otra región intradural, el lavado repetido de la cavidad con solución salina al 0,9% contribuye a prevenir esta complicación.3,20
Los quistes epidermoides intradiploicos suelen ser de naturaleza benigna pero en raras ocasiones pueden sufrir una transformación maligna.2,3 La remoción parcial, recurrencia e infecciones a repetición se relacionan con un mayor riesgo de malignización.3 Reportes previos sugieren que los quistes epidermoides sometidos a múltiples intervenciones quirúrgicas son susceptibles a la transformación maligna, siendo el carcinoma de células escamosas la más frecuente.2,3,8 Yanai et al. reportaron 5 casos con transformación maligna de una serie de aproximadamente 100 quistes epidermoides intradiploicos recolectados de la literatura.2 Debe sospecharse una transformación maligna en caso de captación de contraste en estudios radiológicos.6 Posterior a la transformación maligna, la exéresis extensa, radioterapia y quimioterapia es la modalidad terapéutica de elección.3 A pesar del esquema sugerido, el pronóstico no es favorable.4,6 Por estas razones, sin importar su tamaño, el objetivo quirúrgico siempre debe ser la exéresis completa.

CONCLUSIÓN
Los quistes epidermoides intradiploicos son lesiones benignas y de crecimiento lento del cráneo. A pesar de que pueden alcanzar tamaños considerables y generar efecto de masa local desde el espacio extradural, su extensión intradural es infrecuente y poco documentada. El diagnóstico suele sospecharse radiológicamente y es confirmado mediante el estudio anatomopatológico. Esta lesión debe incluirse dentro del algoritmo diagnóstico en pacientes que presentan lesiones únicas de calota con osteólisis e invasión intradural. En casos de extensión intradural, se insiste en su extirpación total con el fin prevenir la recurrencia y su potencial malignización.


BIBLIOGRAFÍA
1.        Miller PJ, Hoffman R, Holliday R. Intradiploic epidermoid of the temporal bone: Case history and literature review. Otolaryngol - Head Neck Surg. 1994;111(6):827-831. doi:10.1016/S0194-5998(94)70576-3
2.        Cho JH, Jung TY, Kim IY, Jung S, Kang SS, Kim SH. A giant intradiploic epidermoid cyst with perforation of the dura and brain parenchymal involvement. Clin Neurol Neurosurg. 2007;109(4):368-373. doi:10.1016/j.clineuro.2006.12.011
3.        Duan Z xin, Chu S hua, Ma Y bin, Zhang H, Zhu J liang. Giant intradiploic epidermoid cyst of the occipital bone. J Clin Neurosci. 2009;16(11):1478-1480. doi:10.1016/j.jocn.2008.09.025
4.        Alberione F, Caire F, Fischer-Lokou D, Gueye M, Moreau JJ. Quiste epidermoide intradiploico infratentorial gigante. Neurocirugia. 2007;18(5):423-426. doi:10.4321/s1130-14732007000500007
5.        SKANDALAKIS JE, GODWIN JT, MABON RF. Epidermoid cyst of the skull; report of four cases and review of the literature. Surgery. 1958;43(6):990-1001.
6.        Hasturk AE, Basmaci M, Yilmaz ER, Kertmen H, Gurer B, Atilgan AO. Giant intradiploic epidermoid cyst presenting as solitary skull mass with intracranial extension. J Craniofac Surg. 2013;24(6):2169-2171. doi:10.1097/SCS.0b013e3182a2d820
7.        Oommen A, Govindan J, Peroor D, Azeez Cr, Rashmi R, Abdul Jalal M. Giant occipital intradiploic epidermoid cyst. Asian J Neurosurg. 2018;13(2):514. doi:10.4103/1793-5482.181146
8.        Arko L, Berry CT, Desai AS, Weaver M. Intradiploic Epidermoid Tumors of the Cranium: Case Report with Review of the Literature. J Neurol Surgery, Part A Cent Eur Neurosurg. 2017;78(2):167-179. doi:10.1055/s-0036-1585584
9.        Han GY, Won YS, Yang JY, Choi CS. Intradiploic Epidermoid Cyst of the Skull. J Korean Neurosurg Soc. 2005;38(1):68-70. http://www.jkns.or.kr/journal/view.php?number=2065.
10.      Gollapudi PR, Musali SR, Mohammed I, Pittala SR. A Frontal Giant Intradiploic Giant Pearl (Epidermoid Cyst) With Intracranial and Extracranial Extension: A Rare Entity. J Pediatr Neurosci. 2018;13(4):480-482. doi:10.4103/JPN.JPN_74_18
11.      Dąbrowski P, Kidziński R, Frankowska E, Górski R, Bujko M. Intradiploic epidermoid cyst of the temporal and occipital bone with intracranial extension. Neurol Neurochir Pol. 2018;52(6):756-758. doi:10.1016/j.pjnns.2018.09.004
12.      Dias PS, May PL, Jakubowski J. Giant epidermoid cysts of the skull. Br J Neurosurg. 1989;3(1):51-57. doi:10.3109/02688698909001026
13.      Arana E, Latorre FF, Revert A, et al. Intradiploic epidermoid cysts. Neuroradiology. 1996;38(4):306-311. doi:10.1007/BF00596575
14.      Bikmaz K, Cosar M, Bek S, Gokduman CA, Arslan M, Iplikcioglu AC. Intradiploic epidermoid cysts of the skull: A report of four cases. Clin Neurol Neurosurg. 2005;107(3):262-267. doi:10.1016/j.clineuro.2004.06.005
15.      Ciappetta P, Artico M, Salvati M, Raco A, Gagliardi FM. Intradiploic epidermoid cysts of the skull: report of 10 cases and review of the literature. Acta Neurochir (Wien). 1990;102(1-2):33-37. doi:10.1007/BF01402183
16.      Cushing H. A large epidermoid cholesteatoma of the parietotemporal region deforming the left hemisphere without cerebral symptoms. Surg Gynecol Obs. 1922;34:557-566. http://ci.nii.ac.jp/naid/10012093016/en/. Accessed February 21, 2021.
17.      Dupre DA, Pu C, Yu A, Tomycz N. Traumatic intradiploic epidermoid cyst manifest as scalp papule. BMJ Case Rep. 2015;2015:10-12. doi:10.1136/bcr-2014-207968
18.      Guridi J, Ollier J, Aguilera F. Giant intradiploic epidermoid tumor of the occipital bone: case report. Neurosurgery. 1990;27(6):971-978. doi:10.1097/00006123-199012000-00019
19.      Demir MK, Yapicier Ö, Onat E, et al. Rare and challenging extra-axial brain lesions: CT and MRI fndings with clinico-radiological differential diagnosis and pathological correlation. Diagnostic Interv Radiol. 2014;20(5):448-452. doi:10.5152/dir.2014.14031
20.      Demaerel P, Wilms G, Lammens M, Nuttin B, Plets C, Baert AL. Extradural epidermoid tumor of the frontal bone. Neuroradiology. 1991;33(4):349-351. doi:10.1007/BF00587822


COMENTARIO
Los epidermoides craneales son tumores benignos poco frecuentes que esporádicamente surgen del diploe craneal. Fueron descriptos por primera vez en 1838 y, desde entonces, se han informado "case reports" y serie de casos, pero ninguna publicación es suficientemente grande para caracterizar todos los aspectos de este tumor. El caso aquí publicado refuerza los conceptos de estas publicaciones acerca de la efectividad curativa de la cirugía cuando se logra una resección completa de la lesión y la posibilidad de transformación maligna en casos de persistencia tumoral; aunque no está claro si estas formas malignas son una entidad evolutiva o una entidad histológica independiente.

Martín Sáez
Sanatorio los Arcos. CABA


COMENTARIO
Los epidermoides y dermoides craneocerebrales son tumores congénitos benignos relativamente raros. Se postula que ambos tipos derivan de la inclusión ectópica de células epiteliales durante el cierre del tubo neural desde la tercera a la quinta semana de vida embrionaria. En esta etapa, las células ectodérmicas pueden ser transportadas con el desarrollo de las vesículas óticas y ópticas, lo que explicaría la localización de las lesiones. Las inclusiones en etapas más tardías dan lugar a tumores del diploe y del cuero cabelludo.
Los epidermoides craneocerebrales pueden ser intradurales –la mayoría-, o extradurales. Debido a la escasez de casos, ninguna institución tiene una casuística lo suficientemente grande como para caracterizar completamente este tumor.
El presente trabajo es un aporte a la serie de casos publicados en la literatura, la mayoría de las revisiones no superan los 200 casos. Refuerza el concepto de la efectividad curativa de la cirugía cuando se pasa por margen de tejido sano. La transformación maligna de células escamosas es poco frecuente; el carcinoma primario de células escamosas es raro, en general surgen de la transformación maligna de un quiste epidermoide, pudiendo estar asociado a resecciones incompletas.
Lo relevante de este aporte es la presentación de un caso tanto de localización extradural (diploe) e intradural.

Pablo Landaburu
Hospital Luisa C. de Gandulfo