Schwannoma intraparenquimatoso con calcificación focal en lóbulo temporal
Reporte de caso y revisión de literatura

 Targa G Aylen Andrea1, Martin Clara1, Gallardo Federico1, Díaz Juan Francisco1, Feldman Santiago1, Lambre Jorge1
1 Servicio de Neurocirugía, Hospital de Alta Complejidad en Red El Cruce, Florencio Varela, Buenos Aires Argentina.


Targa Garcia Aylen Andrea
aylentg@hotmail.com

Título abreviado: schwannoma intraparenquimatoso con calcificación

Sin conflicto de interés.

Recibido: julio de 2020
Aceptado: septiembre de 2020


RESUMEN
Los schwannomas intraparenquimatosos son tumores con una muy baja incidencia en el sistema nervioso central. Actualmente, no se conoce su verdadero origen. Sin embargo, con el paso de los años se han descripto múltiples teorías. Son tumores que afectan principalmente a niños y adultos jóvenes. El síntoma principal es la cefalea; y se ubican principalmente en el compartimiento supratentorial. El Gold Standard para su estudio es la resonancia magnética donde suelen presentarse como lesiones hipointensas en T1, hiperintensas en T2 que captan contraste de forma homogénea. Una vez diagnosticado debe plantearse la resolución quirúrgica ya que en la mayoría de los casos representan una lesión benigna, y su exéresis completa significa la resolución de la enfermedad. El diagnóstico definitivo se obtiene mediante la anatomía patológica. A continuación, presentaremos el caso de una paciente de 46 años con antecedente de cefalea en cuyo contexto, mediante una resonancia magnética, se descubre una lesión en el lóbulo temporal siendo el diagnóstico de la misma: schwannoma intraparenquimatoso con calcificación focal.

Palabras claves: Schwannoma; Intraparenquimatoso; Calcificación; Lóbulo Temporal

SUMMARY
Intraparenchymal schwannomas have a very low incidence in the central nervous system. Currently, its true origin is not known, however, over the years, multiple theories have been described. This pathology mainly affects children and young adults. The main symptom is headache; and usually it is located in the supratentorial compartment. The Gold Standard is MRI where they usually present as hypointense lesions in T1, hyperintense in T2 that capture contrast in a homogeneous way. Once diagnosed, surgical resolution should be considered, since in most cases they represent a benign lesion, and their complete excision means resolution of the disease. The definitive diagnosis is obtained by pathological anatomy. We present a case of a 46-year-old patient with history of headache, its magnetic resonance revealed an extra axial lesion in the temporal lobe with considerable surrounding edema, the diagnosis was Intraparenchymal schwannoma with focal calcification in the temporal lobe.

Keywords: Schwannoma; Intraparenchymal; Calcification; Temporal Lobe


INTRODUCCIÓN
Los schwannomas intracraneales representan el 8% de todos los tumores primarios del encéfalo. Estos tumores generalmente comprometen al nervio trigémino y vestibular. El compromiso de cualquier otro par craneal tiene una incidencia mucho menor.1 Se conoce que la presencia de schwannomas originados dentro del parénquima cerebral es extremadamente rara. El primer caso fue reportado en 1966; y desde entonces menos de 70 casos han sido publicados.2 A su vez, la presencia de calcificaciones en estos tumores es poco común: a la fecha sólo se han reportado 16 casos.1
Si bien existen diversas teorías sobre su origen, el mismo es aún incierto. Estas lesiones suelen ser únicas y en pocos casos se asocian a la presencia de neurofibromatosis.3
Generalmente son tumores detectados en las primeras dos décadas de vida donde cursan de forma incipiente por su lento crecimiento. A diferencia de los schwannomas vestibulares que se presentan principalmente en la población adulta, estas lesiones se ubican principalmente a nivel de lóbulo frontal y parietal como así también en áreas periventriculares. Suelen presentarse con cefalea, convulsiones y/o déficits neurológicos focales.4,5
A continuación, presentaremos un caso cuyo diagnóstico fue schwannoma intraparenquimatoso con calcificación focal del lóbulo temporal.

REPORTE DE CASO
Paciente femenina de 46 años de edad se presenta en nuestra institución con historia de cefalea de 2 años de evolución que agrega en los últimos 6 meses paresia braquial izquierda leve, irritabilidad y un episodio de convulsión tónico-clónica generalizada.
En el examen físico, el único dato positivo fue la presencia de una paresia braquial izquierda 4/5. El resto del examen neurológico fue normal.
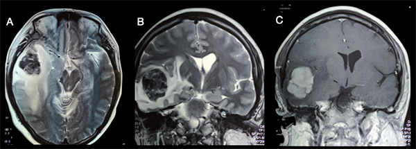
La resonancia magnética nuclear (RMN) evidenciaba una imagen isointensa en T1, hipointensa en T2 con zonas heterogéneas, con realce homogéneo tras la administración de contraste endovenoso, de 3,5 X 3,0 X 5 cm de diámetros máximo, localizada en región temporal derecha asociada a edema perilesional que desplaza estructuras vecinas, comprimiendo parcialmente cavidades ventriculares derechas (Figura 1).


Figura 1
: A) RMN T2 corte axial evidencia lesión hipointensa con sectores heterogéneos, bien delimitada ubicada en el lóbulo temporal derecho con edema perilesional que desplaza estructuras adyacentes. B) RMN T2 corte coronal. C) RMN T1 con contraste evidencia lesión que capta contraste en forma homogénea.

Se realizó la exéresis quirúrgica de la lesión, a través de un abordaje a la cara lateral del lóbulo temporal derecho. Previo a la apertura dural se delimitó la misma bajo guía ecográfica. Se realizó corticectomía a nivel del giro temporal medio y se identificó lesión tumoral con las siguientes características: blanco-amarillenta, duro-elástica, con buen plano de clivaje, lográndose su exéresis completa (Figura 2).
El análisis histológico informóó lesión tumoral bien delimitada constituida por células fusadas compactas dispuestas en fascículos, vasos de paredes hialinizadas, congestivos (Figura 3). Se observó área de calcificación focal.


Figura 2
: A) Paciente en posición quirúrgica, incisión tipo penfield derecho. B) Disección interfascial con exposición ósea para abordaje a cara lateral del lóbulo temporal. C) Apertura dural, con exposición de valle silviano, giro temporal superior y medio. D, E) Pieza macroscópica completa y seccionada.

La inmunohistoquímica reveló vimentina positiva; s-100 positivo heterogéneo; cd-56 positivo, con un Ki67 de 4% aproximadamente.
Cuadro histológico y de inmunohistoquímica compatible con schwannoma benigno intracerebral con calcificación focal. Grado I de la OMS.
Luego de la cirugía, la paciente no agregó ningún déficit neurológico con un valor en la escala de Rankin modificada igual a 1. Fue externada cuatro días después de la intervención. En controles ambulatorios se solicitó RMN postoperatoria (Figura 4), en la cual se evidencia resección completa de la lesión asociado a cambios postoperatorios.


Figura 3:
A) Técnica H/E que evidencia: células fusiformes empalizadas. B) Antoni A; área densamente celular con núcleos hipercromáticos y pérdida de matriz. C) Antoni B; área hipocelular con tejido mixoide.


Figura 4
: A) RMN T2 corte axial, B) T2 corte coronal, C) T1 con contraste en todas las secuencias se puede apreciar la exéresis completa de la lesión, con la restauración de la línea media y la ausencia de edema.

DISCUSIÓN
Los schwannomas representan el 8% de los tumores del sistema nervioso central. Sin embargo, son muy pocos los casos de schwannomas descriptos que no guardan relación con los nervios craneales. Éstos se denominan schwannomas intraparenquimatosos y su incidencia desciende a menos del 1%.3 El origen de estos tumores es aún incierto ya que se sabe que no hay células de schwann dentro del parénquima cerebral.6 Se han propuesto varias teorías sobre su origen, las cuales se agrupan en dos grandes categorías: la evolutiva y la no evolutiva. Según la teoría evolutiva, la presencia de células de schwann aberrantes en el parénquima cerebral se debe a la transformación de las células piales mesenquimales o de células de la cresta neural desplazadas que forman focos de células de schwann; la edad relativamente joven en la que se presenta esta patología apoya esta idea. La teoría no evolutiva sugiere que estos tumores se originan de células de schwann presentes en los plexos neurales perivasculares, los cuales son comunes a nivel de la tela coroidea lo que puede explicar su predilección por las zonas periventriculares.7
Estas lesiones han sido descriptas en el hemisferio cerebral, cerebelo, tronco encefálico, silla turca y cuarto ventrículo. Sin embargo, la gran mayoría se presentan en el compartimiento supratentorial,8 como se expuso en este caso.
Son lesiones de lento crecimiento, cuyos síntomas se relacionan directamente con la ubicación de la lesión, siendo la cefalea el síntoma cardinal y las convulsiones cuando la lesión se presenta en el lóbulo temporal. 1
Con respecto al rango etario, es poco común su presencia en pacientes mayores de 30 años, edad en la que sí podríamos encontrar otras patologías como ser meningiomas, metástasis o gliomas primarios de cerebro.9 Lo opuesto ocurre en los schwannomas vestibulares en donde la presencia en la población pediátrica debe obligarnos a descartar la presencia de neurofibromatosis tipo 2.
Con respecto a los estudios por imágenes, en la tomografía se suele encontrar una imagen iso/hipodensa y es muy útil en lesiones que se presentan con calcio en su interior. Sin embargo, el estudio más importante a realizar es la resonancia magnética nuclear que permite apreciar ciertas características que acompañan a estos tumores pero que no son patognomónicas como ser la presencia de calcificaciones, edema perilesional/gliosis y formaciones quísticas.3,8,10 El edema suele evidenciarse en forma hiperintensa en la secuencia T2 rodeando la lesión. La causa del importante edema que rodea a este tipo de tumor benigno es aún desconocida. La expresión de ARN mensajero del factor de crecimiento endotelial ha sido implicada en la formación de edema alrededor de algunos meningiomas y puede ser un factor etiológico importante que explica el edema peritumoral en otras neoplasias benignas.10
Este tipo de tumores suelen ser lesiones circunscriptas que captan contraste en forma homogénea. Puede presentarse en la secuencia T2 en forma heterogénea según la presencia de calcio, necrosis, hemorragias, y formaciones quísticas como se nombró anteriormente. La presencia de calcio nos obliga a plantearnos el diagnóstico diferencial con el meningioma psammomatoso y el oligodendroglioma(1) Los meningiomas son lesiones extra-axiales que se presentan en forma iso/hipointensa en T1, hiperintensa en T2 que captan contraste en forma homogénea. Los oligodendrogliomas pueden presentarse de forma heterogénea en todas las secuencias, pero se distinguen por la capacidad de generar una erosión festoneada en la tabla interna del cráneo, lo que podemos apreciar mejor en la tomografía.1
El diagnóstico diferencial de un schwannoma intracerebral incluye varias otras neoplasias que pueden ocurrir en niños y adultos jóvenes: astrocitoma pilocítico, xantoastrocitoma pleomórfico y ganglioglioma.10 La mayoría de los astrocitomas pilocíticos se descubren durante las dos primeras décadas de vida y, a diferencia de los schwannomas intracerebrales, rara vez se presentan con edema circundante. El xantoastrocitoma pleomórfico es un astrocitoma supratentorial típicamente benigno que ocurre principalmente en niños y adultos jóvenes. Afecta a hombres y mujeres por igual. Las características de la RMN son variables, con isointensidad e hipointensidad en T1 e isointensidad e hiperintensidad en T2. Al igual que los schwannomas intracerebrales, los quistes y el edema leve a moderado son comunes. Esta neoplasia también se localiza superficialmente, involucrando la corteza y las leptomeninges, y puede estar firmemente unida a la duramadre; sin embargo, la calcificación rara vez se ve en las tomografías computarizadas o se confirma histopatológicamente, lo que puede ayudar a diferenciar el xantoastrocitoma pleomórfico del schwannoma intracerebral. Por último, el ganglioglioma es un tumor neuronal poco común que afecta a la población pediátrica, se ubica con mayor frecuencia a nivel del lóbulo temporal, y suele presentar contenido quístico y /o cálcico lo que plantea la duda diagnóstica.10
Histopatológicamente los schwannomas se presentan como una lesión bien delimitada sin cápsula evidente, que consta de células en forma de huso dispuestas en fascículos entrelazados con focos de empalizada nuclear. Típicamente contienen dos tipos de grupos tisulares: uno de ellos se presenta con proliferación de células tumorales fusiformes con áreas densamente celulares (Antoni A), y otro como un área hipocelular y mixoide con cambio microcítico (Antoni B) ricas en fibras de colágeno y macrófagos.5,9,11 Los diagnósticos histopatológicos diferenciales incluyen meningioma, astrocitoma pilocítico, tumor fibroso solitario y lesiones melanocíticas.4
La inmunohistoquímica se caracteriza por la presencia de la proteína s100, la presencia de vimentina y la ausencia de proteína ácida fibrilar glial.1,3,8 Estas técnicas no estaban disponibles hace 40 años en el momento en que se reportó el primer schwannoma intra-axial, lo que podía conducir a un diagnóstico erróneo o insuficiente de casos más antiguos.
La cirugía sigue siendo la principal modalidad terapéutica y, debido a la naturaleza benigna del tumor, la exéresis completa se asocia con la cura y el resultado a largo plazo es generalmente bueno.12

CONCLUSIÓN
Los schwannomas intraparenquimatosos representan una muy baja incidencia dentro de la patología tumoral. Sólo hay descriptos 16 casos con contenido cálcico en su interior, tal como el caso presentado en este artículo. Esto hace que el diagnóstico pre operatorio sea subestimado. Sin embargo, pueden resolverse quirúrgicamente y su resección total permite la cura de la enfermedad en la gran mayoría, por ser lesiones benignas.


REFERENCIAS

1) Fan C, Shuai Z, Ying Y, Dawei C. Intraparenchymal schwannoma with calcification of the temporal lobe case report and literature review. Medicine. 2019; 98 (4): 14263.
2) Erdogan E, Öngürü O, Bulakbasõ N, Baysefer A, Gezen F, Timurkaynak E. Schwannoma of the lateral ventricle: eight-year follow-up and literature review. Minim Invas Neurosurg. 2003; 46: 50-3.
3) Gupta A, Sharma D, Dhillon GS, Chhabra SS. Intracranial periventricular supratentorial intraparenchymal schwannoma. SNI. 2016; 7:S1013-5.
4) Daipayan G, Tim-Rasmus K, Timo K, TaufiK V, Intracerebral schwannoma presenting as classic temporal lobe epilepsy. J Neurosurg. 2012; 117:136-40.
5) Srinivas R, Krupashankar D, Shasi V. Intracerebral schwannoma in a 16-year- old girl: a case report and review of the literature. Neurol Med. 2013; 171494.
6) Feigin I, Ogata J. Schwann cells and peripheral myelin within human central nervous tissues: the mesenchymal character of schwann cells. J Neuropathol Exp Neurol. 1971; 30(4): 603-12.
7) Mardi K, Sharma J. Intracranial cystic (ancient) schwannoma of the temporal lobe: A Rare Occurrence. The Internet Journal of Pathology. 2007; 7 (1).
8) Sudheer A, Indira Devi B, Praful M, Chickabasaviah Y. Frontal intraparenchymal schwannoma—case report and review of literature. Br J of Neuro. 2009; 23 (1): 86-9.
9) Mehdi K, Alireza A, Rahele Y, Omid G, Seyyed M. Supratentorial intraparenchymal schwannoma in a 44-year-old woman: a rare case report. Iran J Neurol. 2018; 17(4): 200-2.
10) Zagardo M, Castellani R, Rees J, Rothman M, Zoarski G. Radiologic and pathologic findings of intracerebral schwannoma. Am J Neuroradiol. 1998; 19:1290-3
11) Yufei G, Zhigang Q, Dongyuan L, Weidong Y, Libo S, Naijie L, et al. Intracerebral schwannoma: a case report and literature review. Oncology Letters. 2018; 16: 2501-10.
12) Paiva Neto M, Cabral de Andrade G, Menezes Braga F, Schwannoma Intracerebral talamico. Arq neuropsiquiatria 2002, 60 (2-A) 308-13.


COMENTARIO
Los autores presentan un caso de Schwannoma intraparenquimatoso con calcificación focal en el lóbulo temporal en un paciente adulto sin neurofibromatosis. Se describe el cuadro clínico de presentación, los resultados de exámenes complementarios y el tratamiento quirúrgico realizado. Se complementa de excelentes imágenes tanto intra - operatorias como de anatomía patológica.
Al ser un tumor infrecuente por sus características descriptas, los autores logran en el artículo exponer diferentes teorías de origen y diagnósticos diferenciales referidos en la literatura.
En estos pacientes, donde la exéresis total significa la posible curación del paciente, evaluaría, siempre que se encuentre entre las posibilidades, la utilización de Resonancia intraoperatoria e incluso el uso de tinción con fluoresceína, lo cual guiaría en forma más precisa la delimitación de la lesión potenciando la remoción total de la lesión.

Gastón Dech
Hospital de Niños Ricardo Gutiérrez. C.A.B.A., Argentina

BIBLIOGRAFÍA
1- Beste Gulsuna, Tolga Turkmen. Fluorescein – guided excision of a pediatric intraparenchymal schwannoma presenting with seizure and neurogenic pulmonary edema. Childs Nerv Syst, 2020, May; 36 (5): 1075 – 1078.


COMENTARIO
Los autores presentan un caso extremadamente infrecuente de un schwanoma intracerebral. El caso esta bien descripto, con muy buenas imágenes operatorias y muy buenos controles por resonancia.
Este reporte de caso tiene interés ya que sólo el 5 al 8% de los tumores intracraneanos son schwanomas, y de éstos menos de 1 % son intracerebrales.1
Está bien documentado que las células de Schwan no existen en el parénquima cerebral; lo que hace de estos tumores algo sumamente interesante ya que no se entiende con certeza cuál es su origen y se han descripto múltiples teorías como bien describe este artículo.
Este tipo de reportes son útiles al momento de enfrentarse a una lesión de características infrecuentes en la resonancia magnética

Pablo Ajler
Jefe de Neurocirugía de Base de Cráneo
Hospital Italiano de Buenos Aires

BIBLIOGRAFÍA
1-Gao Y, Qin Z, Li D, Yu W, Sun L, Liu N, Zhao C, Zhang B, Hu Y, Sun D, Jin X. Intracerebral schwannoma: A case report and literature review. Oncol Lett. 2018 Aug;16(2):2501-2510. doi: 10.3892/ol.2018.8949. Epub 2018 Jun 11. PMID: 30013644; PMCID: PMC6036598.


COMENTARIO

Muy completa la presentación del caso en estudio como también la descripción neuroquirúrgica y las imágenes. Macroscópicamente se evidencia la presencia de una cápsula tumoral polilobulada de la cual se infiere el crecimiento expansivo del tumor en relación con el parénquima adyacente lo que equivaldría a grado I de OMS. Desde el punto de vista patológico, corresponde a una proliferación fusocelular con agrupamiento nuclear y expresión focal de proteína S-100; asociada a calcificación. La variante calcificada o psammomatosa aparece en el 50% los schwannomas asociados al Sme. de Carney. Los schwannomas intracerebrales son poco frecuentes y se someten a la rigurosidad de las técnicas actuales para su confirmación. Generalmente, son ricos en trama de Retículo; el marcador inmunohistoquímico más reciente para confirmar la estirpe neural es el factor de transcripción Sox 10 asociado a linaje de crestas neurales. Genéticamente los schwannomas convencionales pierden la expresión del producto del gen NF2 (proteína Merlin). En el diagnóstico diferencial de secundarismo incluiría tumores mesenquimáticos relacionados a mujer adulta. Hasta la fecha, se reportan hasta 70 casos en la literatura por lo cual felicito a los autores por su aporte.

Silvina Figurelli
Anatomía Patológica
Hospital de Agudos Dr. Juan A Fernández GCBA

BIBLIOGRAFÍA
1- WHO Classification of Tumours of the Central Nervous System, Volumen 1, International Agency for Research on Cancer, 2016 Ed David N Louis, Otmar d W, Hiroko Ohgaki. pag 214-18.
2- Ten, H., Adachi, K., Yamaguchi, F., Matsuno, A., Teramoto, A., & Morita, A. (2019). Occipital lobe epilepsy was presented in a patient with intracerebral schwannoma: a case report and literature review. International Journal of Neuroscience129(3), 308-312.