Edema perianeurismático cerebral. Reporte de dos casos

Federico Sosa Albacetea, Ayerbe Jeremíasa, Marianela López Armarettia, María Cristina Zurrúa, Matteo Baccanellib
Departamento de Neurología Adultosa, Departamento de Neurocirugíab, Hospital Italiano de Buenos Aires, Ciudad Autónoma de Buenos Aires, Argentina.


Federico Sosa Albacete
federicon.sosa@hospitalitaliano.org.ar

Recibido: agosto de 2020.
Aceptado: octubre de 2020.


RESUMEN
La hemorragia subaracnoidea (HSA) secundaria a ruptura aneurismática es una causa importante de morbimortalidad. Hay muchos factores que aumentan la probabilidad de ruptura, como el tamaño, forma, localización, exclusión endovascular incompleta del aneurisma, entre otros. Existen reportes sobre el edema cerebral perianeurismático como factor de riesgo de ruptura aneurismática. Se presentan en el siguiente artículo dos casos, ambos con aneurisma silviano del lado derecho, asociado a edema “perianeurismático”. 

Palabras claves: Edema; Aneurisma; Intracerebral; Aneurisma Intracraneal; Perianeurisma; Hemorragia Subaracnoidea

Perianeurysmal cerebral. Report of two cases
ABSTRACT

Subarachnoid hemorrhage (SAH) secondary to aneurysmal rupture is an important cause of morbidity and mortality. There are many factors that increase the probability of rupture, the size, shape, location, incomplete endovascular exclusion of the aneurysm, among others. There are reports on perianeurysmal cerebral edema as a risk factor for aneurysmal rupture. Two cases are presented in the following article, both with right-sided sylvian aneurysm, associated with “perianeursmatic” edema.

Keywords: Edema; Aneurysm; Intracerebral; Intracranial Aneurysm; Perianeurysm; Subarachnoid Hemorrhage


INTRODUCCIÓN
La hemorragia subaracnoidea (HSA) secundaria a ruptura aneurismática es una causa importante de morbimortalidad.1-2-10 Hay muchos factores que aumentan la probabilidad de ruptura, entre ellos el tamaño, edad superior a 60 años, la forma y la localización del aneurisma.1-2-10 Existen reportes de casos sobre el edema cerebral perianeurismático como factor de riesgo de ruptura aneurismática.1,2 
El objetivo del artículo es describir a partir de dos casos las características clínicas, imagenológicas y fisiopatológicas del edema perianeurismatico, abriendo futuras discusiones sobre la implicancia del mismo en las posibles complicaciones y tratamientos.

PRESENTACIÓN DE CASOS
Caso 1
Paciente femenina de 76 años de edad con antecedentes de dislipemia y diabetes mellitus tipo 2, consultó por haber presentado dos episodios de desconexión con el medio con posterior desorientación espacial de aproximadamente 3 a 5 minutos. En uno de ellos se evidenciaron automatismos en miembros superiores. Estos episodios se interpretaron como crisis focales. Se realizó electroencefalograma prolongado con evidencia de descargas focales iniciando tratamiento con levetiracetam.
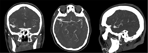
El laboratorio se encontraba dentro de parámetros normales, se realizó resonancia magnética (RM) de cerebro sin contraste, la cual mostró una imagen hipointensa en secuencia GRE a nivel del surco silviano derecho y adyacente a la misma se observa edema perilesional que se extiende al lóbulo temporal (Figura 1). Se realizó angiotomografìa para descartar una malformación vascular subyacente, en la cual se advirtió una dilatación aneurismática polilobulada de 20 x 6 x 9 milímetros (Figura 2).
Teniendo en cuenta los hallazgos imagenológicos y clínicos de la paciente, se realizó interconsulta con neurocirugía quienes realizaron clipado del aneurisma. El primer día postoperatorio evolucionó con deterioro del sensorio y hemiparesia izquierda 3/5 (según escala MRC) por lo cual se realizó Tomografía Computada (TC) de cerebro que mostró imagen espontáneamente hiperdensa compatible con sangrado intracerebral a nivel fronto insular derecho de 65 cm3 con desviación de línea media de 8,8 mm. Se decidió realizar craniectomía descompresiva con drenaje de hematoma, evolucionando favorablemente. 


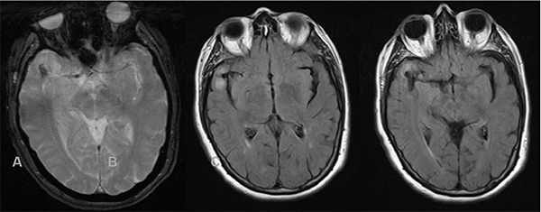
Figura 1:
A nivel del surco silvano derecho y en relación a la arteria cerebral media homolateral, se evidencian imágenes de baja señal en secuencia de gradiente eco (GRE) de aspecto sacular (A), en secuencia FLAIR se observa a nivel del surco Silviano en territorio de la arteria cerebral media derecha imagen hipointensa de forma sacular sugestiva de probable formación aneurismática, adyacente a la misma se aprecia hiperintensidad en parénquima cerebral sugestiva de edema (B y C).


Figura 2:
Se observa en Angiotomografía de vasos intracraneanos en sus tres cortes anatómicos a nivel de la bifurcación de la arteria cerebral media derecha una dilatación aneurismática sacular, irregular y polilobulada sin evidencia de signos de trombosis o aterosclerosis.

Caso 2
Paciente femenina de 72 años de edad con antecedentes de hipertensión arterial, dislipidemia, sobrepeso y extabaquista, a quien en contexto de estudio por hipoacusia neurosensorial se le realizó RM de cerebro y conductos auditivos internos con contraste endovenoso, en la cual se observó como hallazgo incidental lesión expansiva marcadamente hipointensa en T2 localizada a nivel temporal anterior derecho de aproximadamente 23 x 14 mm de diámetro en relación con el sector distal de la arteria cerebral media homóloga. Tras la inyección de contraste presentó refuerzo heterogéneo, con un componente de aspecto trombosado en el sector basal de la misma, asociado a extenso edema periférico (Figura 3). Se decidió realizar consulta con especialidad de neurocirugía quien sugirió completar la aproximación diagnóstica con AD de vasos intracraneanos en la cual se observó a nivel silviano derecho dilatación aneurismática de contornos lobulados con diámetros de 10.7 x 9.7mm, no presentando un cuello favorable para el acceso endovascular (Figura 4 y 5). En dicho estudio se menciona además pequeño aneurisma de 2mm en arteria comunicante anterior y otro silviano izquierdo de 4mm.
Debido a lo comentado anteriormente se decidió realizar de manera electiva tratamiento quirúrgico convencional con clipado del aneurisma, evolucionando favorablemente y sin complicaciones luego de la misma.


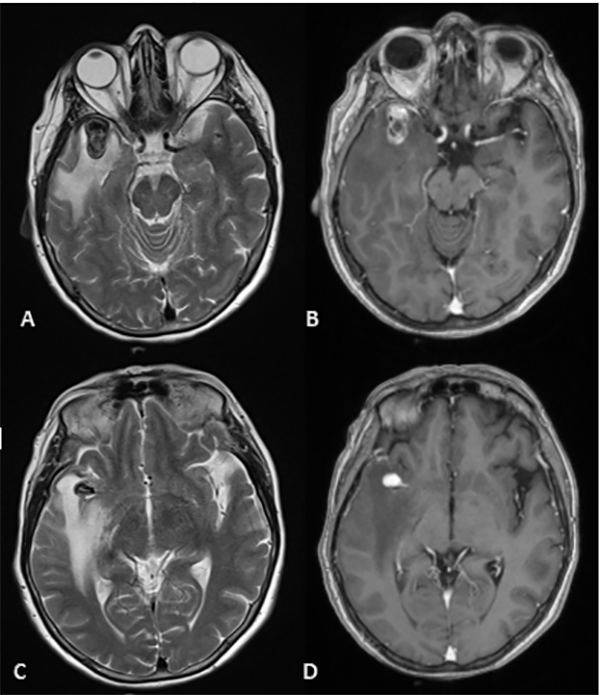
Figura 3:
(RMN) Se observa en corte axial lesión expansiva marcadamente hipointensa en T2 localizada a nivel temporal anterior derecho en relación con el sector distal de la arteria cerebral media homóloga. Tras la inyección de contraste presentó refuerzo heterogéneo, con un componente de aspecto trombosado en el sector basal de la misma, asociado a extenso edema periférico (A, B, C y D).


Figura 4:
Estudio por AD. Tanto en la imagen de la izquierda (vista anterior) y derecha (vista lateral) se observa a nivel silviano derecho dilatación aneurismática de contornos lobulados con diámetros aproximados de 10.7 x 9.7 mm.


Figura 5:
Estudio por AD, reconstrucción 3D del aneurisma descripto en Figura 4.

DISCUSIÓN
El edema cerebral perianeurismático se ha visto en aneurismas trombosados, grandes o gigantes.3-5 En un estudio retrospectivo multicéntrico realizado en Europa en el año 2015, Julius Dengler y col. analizaron una cohorte de 69 pacientes con aneurismas y edema perianeurismático por RM. Estos autores concluyeron que los aneurismas gigantes con o sin trombosis parcial presentaban edema perianeurismático, como también se observó una mayor frecuencia de presentación en la arteria cerebral media respectivamente8. Además, existen reportes de edema perianeurismático como manifestación temprana de la ruptura aneurismática.1-2 Se ha descrito en contexto de pequeños aneurismas dentro de malformaciones arteriovenosas e incluso luego de la colocación de coils o stents.1,5-7 
La causa del mismo aún se encuentra en discusión y se han propuesto el flujo pulsátil, la compresión e isquemia tisular y la inflamación local a partir de mediadores inflamatorios como los posibles causales.3,4,6,7 En RM cerebrales seriadas luego de embolización de aneurismas se vio que el edema podría asociarse a la oclusión incompleta de aneurismas grandes y profundos, lo cual puede conducir a una trombosis intraluminal desorganizada, pulsación del aneurisma, inflamación mural, asociándose a edema cerebral perianeurismático y recrecimiento del mismo, sugiriendo que tanto la pulsatilidad como la inflamación podrían estar relacionados con esto.9 Además, la inflamación parietal podría tener un rol primordial en aneurismas chicos, como aquellos encontrados en malformaciones arteriovenosas.2-7
La importancia de identificar el edema perianeurismático reside en reconocerlo como un factor de riesgo de agrandamiento y posterior ruptura, con la finalidad de implementar un tratamiento precoz endovascular o quirúrgico.


Bibliografía
1. Pahl FH, de Oliveira MF, Ferreira NP, de Macedo LL, Brock RS, de Souza VC, et al. Perianeurysmal edema as a predictive sign of aneurysmal rupture. J Neurosurg. 2014 Nov;121(5):1112-4.
2. Hiu T, Tsutsumi K, Kitagawa N, Hayashi K, Ujifuku K, Yasunaga A, et al. Progressive perianeurysmal edema preceding the rupture of a small basilar artery aneurysm. Clin Neurol Neurosurg. 2009 Feb;111(2):216-9.
3. Heros RC, Kolluri S. Giant intracranial aneurysms presenting with massive cerebral edema. Neurosurgery. 1984 Oct;15(4):572-7.
4. Nakayama Y, Tanaka A, Ohshiro S, Yoshinaga S. Extensive edema in the thalamus caused by thrombosed basilar artery aneurysm. Neurol Med Chir (Tokyo). 1998 May;38(5):274-7.
5. Su IC, Willinsky RA, Fanning NF, Agid R. Aneurysmal wall enhancement and perianeurysmal edema after endovascular treatment of unruptured cerebral aneurysms. Neuroradiology. 2014 Jun;56(6):487-95.
6. Halbach VV, Higashida RT, Dowd CF, Barnwell SL, Fraser KW, Smith TP, et al. The efficacy of endosaccular aneurysm occlusion in alleviating neurological deficits produced by mass effect. J Neurosurg. 1994 Apr;80(4):659-66.
7. Akabane A, Jokura H, Ogasawara K, Takahashi K, Sugai K, Ogawa A, et al. Rapid development of an intranidal aneurysm with perifocal brain edema in an unruptured cerebral arteriovenous malformation. Case report. J Neurosurg. 2002 Dec;97(6):1436-40.
8. Dengler J, Maldaner N, Bijlenga P, Burkhardt JK, Graewe A, Guhl S, et al. Giant Intracranial Aneurysm Study Group. Perianeurysmal edema in giant intracranial aneurysms in relation to aneurysm location, size, and partial thrombosis. J Neurosurg. 2015 Aug;123(2):446-52.
9. Horie N, Kitagawa N, Morikawa M, Tsutsumi K, Kaminogo M, Nagata I. Progressive perianeurysmal edema induced after endovascular coil embolization. Report of three cases and review of the literature. J Neurosurg. 2007 May;106(5):916-20.
10. Lagares A, Gómez PA, Alén JF, Arikan F, Sarabia R, Horcajadas A, et al. Aneurysmal subarachnoid hemorrhage: group of study of cerebrovascular pathology of the Spanish society of neurosurgery management guideline. Neurocirugia (Astur). 2011 Apr;22(2):93-115.


COMENTARIO
Los autores presentan un interesante artículo titulado “Edema perianeurismático cerebral como factor de riesgo de ruptura. Reporte de dos casos”
El edema perianeurismático (EP) puede ser espontáneo o posterior a una embolización, y fue Takeshi Hiu en 2009 el primero en hablar acerca de la predicción de ruptura de un aneurisma con EP.1 El paciente puede manifestarse con cefalea, confusión, obnubilación, convulsiones, meningismo, etc. Es más frecuente ver el EP luego de una embolización de un aneurisma no roto grande o gigante que en forma espontánea. Lukic y col.2 observaron EP en el 37.8% de sus embolizaciones y comprobaron que los factores de riesgo para el EP son edad avanzada, diabetes, hipertensión arterial y fumar. Tollard y col.3 al analizar las secuencias de RMN afirman que es más probable que el EP sea del tipo citotóxico por isquemia que de tipo vasogénico, sin poder diferenciar si es por efecto de masa o por inflamación. El mecanismo del EP aún es desconocido, se habla del efecto pulsátil y existiría una asociación con la presencia de trombosis parcial intra aneurismática, y además se especula con la liberación de citoquinas y metabolitos pro-inflamatorios al parénquima cerebral.4 Por el momento no hay evidencia suficiente que el EP aumente el riesgo de ruptura, pero ante la presencia del mismo aconsejaría el tratamiento del aneurisma aún en ausencia de otros factores de riesgo conocidos.

Rubén Mormandi
FLENI. Ciudad Autónoma de Buenos Aires, Argentina.

  1. Takeshi Hiu, Keisuke Tsutsumi, et al. Progressive perianeurysmal edema preceding the rupture of a small basilar artery aneurysm. Clinical Neurology and Neurosurgery 111 (2009) 216–219.
  2. Lukic S, Jankovic S, Popovic KS, Bankovic D, Popovic P, Mijailovic M. Analysis of risk factors for perifocal oedema after endovascular embolization of unruptured intracranial arterial aneurysms. Radiol Oncol. 2015;49(4):341-346.
  3. Tollard E, Perot G, Clavier E, Gerardin E. Imaging of giant cerebral aneurysms. Neurochirurgie. 2015;61(6):378-384.
  4. Inamasu J, Nakae S, Kato Y, Hirose Y. Temporary Worsening of Perianeurysmal Edema Following Clipping of a Partially Thrombosed Giant Pericallosal Artery Aneurysm. Asian J Neurosurg. 2018;13(3):779-781.

COMENTARIO
Los autores comunican de manera breve dos casos de aneurismas grandes parcialmente trombosados y no sangrados de arteria cerebral media derecha que presentaban edema cerebral en su periferia visto por imágenes de resonancia magnética. Ambos casos fueron intervenidos por craneotomía y clipado complicándose el primero de ellos por hematoma postoperatorio que requirió una segunda intervención para su evacuación y evolucionando bien el segundo.
En las imágenes preoperatorias que ilustran la presentación el área de interés, o sea el aneurisma y edema, no fueron magnificadas ni identificadas las estructuras anormales convenientemente mediante flechas por lo cual se dificulta la interpretación del epígrafe. Por tanto, no se puede identificar características intrínsecas del aneurisma mismo (tipo de trombos en diferentes estadios, tipo de pared aneurismática), sus límites ni características del parénquima circundante.
En ninguno de ambos casos presentados se describe con detalle la técnica del tratamiento quirúrgico ni se acompañan imágenes de los estudios postoperatorios por lo cual no se puede determinar si la cirugía aneurismática resolvió el efecto de edema perilesional o no.
En la discusión de los casos se hace una profusa citación de nueve publicaciones poco recientes sobre edema periférico en dilataciones aneurismáticas cerebrales en las que solo dos mencionan la probabilidad de riesgo de sangrado en base a lo observado en pocos casos aislados (un caso publicado en 20091 y dos casos en 19142) que conjeturan pero no afirman con criterio científico que el proceso inflamatorio que genera edema sería el mismo que debilitaría la pared del aneurisma permitiendo su rotura y sangrado.
Para los dos casos presentados ahora los autores no elaboran una explicación propia para afirmar que existía riesgo hemorrágico en ellos ni tampoco hacen referencia a las múltiples publicaciones recientes referidas al estudio por resonancia magnética de la propia pared arterial que permite detectar tempranamente fenómenos inflamatorios de la misma3,4,5,6.
En síntesis, esta comunicación debiera haber sido presentada con el título de “Casos de aneurismas que por efecto de masa y/o inflamatorio generan edema en cerebro adyacente” haciendo en su texto mejor descripción e interpretación de características de los aneurismas responsables de ello para establecer suposiciones pero  sin afirmar de manera absoluta que el edema condicione riesgo hemorrágico inmediato.

Luis Lemme Plaghos
Buenos Aires, Argentina.

Bibliografía
1 Takeshi Hiu, Keisuke Tsutsumi, et al. Progressive perianeurysmal edema preceding the rupture of a small basilar artery aneurysm. Clinical Neurology and Neurosurgery 111 (2009) 216–219.
2 MPahl FH, Fernandes de Oliveira M, et al. Perianeurysmal edema as a predictive sign of aneurysmal rupture. J Neurosurg (2014) 121:1112–1114.
3 Texakalidis P, Hilditch CA, Lehman V, et al. Vessel wall imaging of intracranial aneurysms: systematic review and meta-analysis. World Neurosurg (2018) 117: 453–458.
4 Samaniego EA, Roa JA, Hasan D. J NeuroIntervent Surg (2019). J Neurointerv Surg. 2019; 11: 1105–1112.
5 Santarosa C, Cord B, Koo A et al. Vessel wall magnetic resonance imaging in intracranial aneurysms: Principles and emerging clinical applications Interventional Neuroradiology (2019) 0(00) 1–12. DOI: 10.1177/1591019919891297
6 Wang GX, Wen L, Lei S, et al. Relationships between aneurysmal wall enhancement and conventional risk factors in patients with intracranial aneurysm: a high-resolution MRI study. J Neuroradiology (2019) 46: 25–28.