Biopsia Estereotáxica de tumores de tronco en pediatría. Indicaciones actuales y perspectivas futuras
Ramiro José del Rio, Javier Gonzalez Ramos
Hospital de Pediatría Juan P. Garrahan Buenos Aires, Argentina.
No existen conflictos de interés.
Ramiro del Rio
rjdelrio@gmail.com
Palabras claves: Esterotaxia en Pediatría; Tumores de Tronco Encefálico; Manejo de Tumores de Tronco
Stereotaxic biopsy of Brain Stem Tumors in pediatrics. Current indications and future perspectives
SUMMARY
Introduction: Brainstem tumors are frequent neoplasms in pediatrics. During the last decades and with the advancement of imaging methods, classifications with diagnostic and therapeutic implications were developed. Today the stereotaxic biopsy is a controversial topic especially in diffuse lesions.
Objectives: To update the indications for this type of procedure in pediatrics, also analyzing future perspectives.
Discussion: At the present, stereotaxic biopsies in brainstem tumors have precise indications for tumors without surgical indication or in non-surgical cases. In patients with atypical lesions defined by MRI, clinical presentation or age outside the usual range, diagnosis by pathological anatomy becomes necessary.
Advances in molecular biology in oncology have sparked interest in diffuse gliomas of the pons. Nowadays, the performance of this surgery is accepted in the case of research protocols, although it has no relevance in the patient`s outcome.
Taking tissue to determine the application of target treatments together with techniques that allow the application of drugs by microcatheters placed directly in the lesion are possible future applications of stereotaxy for this type of tumors.
Conclusions: Brainstem tumors in pediatrics, as they are a frequent pathology, require a special chapter. Advances in the classification of these, together with new molecular biology study methods make it necessary to define the indications for stereotaxic biopsy for this type of lesion, which may change the paradigm in the future.
Key words: Pediatric Stereotaxis; Brain Stem Tumors; Management of Stem Tumors
INTRODUCCIÓN
Los tumores del sistema nervioso central constituyen la forma más común de neoplasias sólidas en la infancia.1 Aproximadamente el 15% se encuentran localizados en el tronco encefálico siendo la estirpe glial la más frecuente.2-8
Hasta mediados del siglo XX, previo a la aparición de los modernos métodos de estudios por imágenes, este tipo de patología eran poco conocida y de mal pronóstico. Es así como Bailey en los años 30 la consideraría “un capítulo pesimista en la historia de la neurocirugía”.9 Recién en la década del 60 serían reportadas las primeras series quirúrgicas de la mano de Alvisi, Olivecrona y Pool.10-12
El desarrollo de las neuroimágenes modernas en la década del 80 permitió grandes avances. Las primeras clasificaciones arribaron y dieron fin al concepto del tumor de tronco como entidad única.2,5,9
En 1978 fue reportada la primera biopsia estereotáxica del tronco encefálico, sin embargo, al ser considerada riesgosa y con pobres resultados sería desaconsejada un tiempo más tarde. Allbright et al. publicó en 1993 la utilidad de la resonancia magnética como método suficiente para el diagnóstico de lesiones difusas pontinas desaconsejando el estudio histopatológico.13
En los últimos años los descubrimientos en el campo de la biología molecular abrieron un innovador camino para develar varios interrogantes que aún persisten, teniendo implicancias en los campos de la neuroncología y la neurocirugía.4
Es así como hoy en día encontramos discrepancias e interrogantes entre diferentes equipos neuroquirúrgicos sobre la conveniencia de realizar este tipo de intervención en pacientes pediátricos.
El objetivo del presente manuscrito es describir y actualizar las indicaciones de la biopsia estereotáxica en tumores de tronco en pacientes pediátricos haciendo hincapié en los previamente llamados gliomas difusos de protuberancia.
INDICACIONES CLÁSICAS
En 1985, Ebstein publicó la primera clasificación de tumores de tronco14 siendo el punto de partida para poder encasillar esta entidad en diferentes grupos, a partir de aquí esta entidad sería organizada por diferentes autores1,9,14-17 (Tabla 1). En el año 1999 Maurice Choux desarrolla una división que pasará ser la más utilizada hasta el día de hoy.18
TABLA I: ALGUNAS DE LAS CLASIFICACIONES DE LOS TUMORES DE TRONCO A LO LARGO DE LOS AÑOS
AUTOR |
CLASIFIACIÓN |
MÉTODO UTILIZADO |
Epstein (1985) |
Intrínseco |
TAC |
Epstein y Wisoff (1990) |
Difuso |
IRM |
Fischbein et al (1996) |
Mesencéfalo |
IRM |
Choux et al (1999) |
Tipo I: Difuso (hipodenso, hipointenso sin refuerzo) |
TAC |
Guillamo et al (2001) |
Infantiles |
IRM |
Sousa et al (2004) |
Infantiles |
IRM |
Ya en el siglo XXI Guillame y posteriormente Sousa agrupan las neoplasias de tronco según sus indicaciones terapéuticas, considerando las lesiones focales, exofiticas y bulboprotuberanciales quirúrgicas, las difusas solo factible de tratamiento oncológico y las tectales con conducta expectante9,17 (Tabla 2).
TABLA 2: DESCRIPCIÓN Y CLASIFICACIÓN QUIRÚRGICA DE LOS GLIOMAS DEL TRONCO DEL ENCÉFALO
TIPO DE TUMOR |
PRESENTACIÓN MÁS COMÚN |
CARACTERÍSTICAS EN IRM |
CIRUGÍA |
DIFUSO |
Déficit múltiple en PC |
T1 Hipointenso |
NO |
FOCAL |
Déficit asilado de PC |
T1 Hipointenso |
SI |
DORSAL EXOFÍTICO |
HTEC por bloqueo de LCR |
T1 Hipointenso |
SI |
BULBOMEDULAR |
Disfunción de PC bajos (disfagia, voz nasal) |
T1 Hipointenso |
SI |
Abreviaturas: PC=Pares craneanos. HTEC=hipertensión endocraneana. LCR=líquido cefalorraquídeo
Mención especial tienen los tumores difusos que representan aproximadamente el 70% de todos los tumores de tronco. En 1993 Albright postula la suficiencia del estudio por imágenes para el diagnóstico para este tipo sin necesidad de ser confirmado en forma invasiva.13 A su vez La biopsia estereotáxica puede no ser representativa ya que pacientes estudiados por dicho método que informaban gliomas de bajo grado, sufrieron un desenlace fatal demostrando que a pesar del informe benigno de anatomía patológica se trataban de lesiones anaplásicas (grado III o IV de la OMS).
Teniendo en cuenta estas últimas consideraciones surge la pregunta sobre cuáles son las lesiones que deberían ser sometidas a biopsia estereotáxica en la actualidad.
Las circunstancias que pueden motivar este procedimiento son principalmente 3:
Un cuadro clínico no habitual en tumores difusos, edad de presentación poco común e imágenes que generan dudas a la hora de clasificarlas.
1- Cuadro clínico: Habitualmente las neoplasias difusas se presentan con un cuadro progresivo no mayor a tres meses de evolución. El mismo puede presentar uno o más de los siguientes signos: parálisis de algún par craneal, generalmente VI o VII por su localización en protuberancia; hemiparesia y ataxia.7 En caso de que el paciente desarrolle síntomas por un periodo más largo o éstos no sean los mencionados previamente, puede tratarse de una entidad diferente y está aconsejada la toma de muestra.
2- Edad: El rango etario más frecuente se encuentra entre los 5 y los 12 años, en pacientes más pequeños los tumores de origen embrionario son entidades que deben ser consideradas en el diagnóstico diferencial, mientras que los pacientes mayores se produce una superposición entre las neoplasias infantiles y las del adulto.
3- Imágenes atípicas: La resonancia magnética nuclear resulta imprescindible hoy día para poder clasificar el tumor y definir así su conducta. Sin embargo, en algunas ocasiones pueden faltar criterios para encuadrarlo siendo necesario el estudio anátomopatológico2,4,5,7,9,18-20 (Figura 2).
En caso de lesiones no difusas en las cuales, por diversos motivos, no es posible la terapéutica quirúrgica, la posibilidad de obtener material permite administrar tratamiento médico en especial ante la presencia de marcadores moleculares con terapias específicas como es el caso de gliomas con mutación BRAF V600E1,3,21 (Figura 3).
Con respecto a los diagnósticos histopatológicos diferenciales podemos encontrar lesiones neoplásicas y no neoplásicas. Entre las primeras están incluidos los tumores embrionarios NOS (previamente conocidos como PNET), linfomas y gliomas no astrocíticos (oligodendrogliomas, gangliogliomas y ependimomas).5,18,22 Dentro de las segundas debemos mencionar: hemangioblastomas, angiomas cavernosos, granulomas, abscesos y quistes epidermoides. Los linfomas por lo general presentan realce homogéneo con contraste y los ependimomas poseen un gran componente extraxial dando lugar a compresión e insinuándose a través del formen de Luschka.5
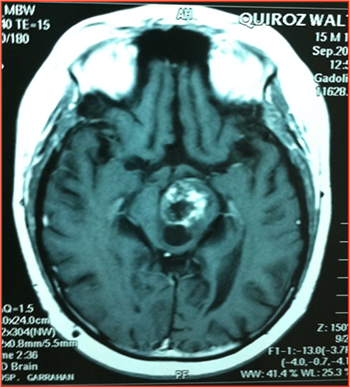
Figura 1: IRMN T1. Paciente con derivación ventrículo peritoneal por hidrocefalia (nótese el artificio en la imagen) con posterior diagnóstico de lesión difusa de protuberancia al año del procedimiento. Dada la discrepancia entre el tiempo de evolución de la hidrocefalia y el momento de diagnóstico del tumor fue necesaria la biopsia.

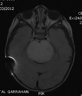
Figura 2: IRMN T1. Imagen atípica en tumor difuso de protuberancia. Con gadolinio tiene un comportamiento no habitual con refuerzo solo en la parte posterior de la misma.

Figura 3: IRMN T1. Tumor en mescencéfalo heterogéneo, dada la alta morbilidad quirúrgica fue realizada una biopsia estereotáctica dando como resultado astrocitoma de bajo grado.
NUEVAS INDICACIONES
En los últimos años, gracias a los avances en biología molecular fueron develados algunos interrogantes y abiertos otros en el campo de la neuroncología.
Estos progresos despertaron el interés en varios grupos dedicados a investigar las neoplasias difusas de protuberancia y los misterios que éstas presentaban, considerando que la histología convencional no había logrado profundizar más en el tema.19,23,24
En el año 2012, Katua y cols manifiestan la necesidad de contar con muestras viables de gliomas difusos de la protuberancia para el estudio biológico destacando especialmente la utilidad de la estereotaxia.19
Surge así un cuestionamiento ético sobre el cual en el 2008 Wilkinson y Harris establecerían su posición con respecto a un artículo sobre el tema desarrollado por Leach y col. Luego de tomar en cuenta varios aspectos, entre los que figuran la equidad básica, el interés público y el beneficio general de la población concluyen lo siguiente: “Una vez que los intereses sociales y emocionales son tenidos en cuenta, parece haber poca duda que la biopsia de tumores de tronco es lícita, aunque no reporte beneficios para los intereses médicos del niño”.25
El hospital Necker de París publica primero en 2012 y luego en 2015 su experiencia en este tema contando con 130 cirugías en el segundo artículo. Los franceses arriban a la conclusión que la biopsia estereotáxica de tronco es una técnica segura, proyectando que será un procedimiento “standard” en el futuro cercano permitiendo la investigación y el tratamiento individualizado.23,24
Los resultados comenzaron a verse recientemente. La exploración molecular de las muestras obtenidas permitió detectar una alteración vinculada con fenómenos epigenéticos. La misma consiste en una mutación específica en el complejo proteico que provee sostén al ADN en el núcleo de la célula. Estas proteínas son llamadas histonas y se encuentran numeradas según el lugar que ocupan. En la número 3 (variante 3.3 o 3.1) un aminoácido Lisina (K) que se encuentra en la posición 27 es remplazado por metionina (M).7,22
El descubrimiento fue tenido en cuenta por la OMS incorporando así a la última revisión de la clasificación este grupo de tumores definidos como “Gliomas difusos de la línea media con mutación Histona 3 K27M, desapareciendo el término de Glioma Difuso intrínseco Pontino.22
Si bien todavía este hallazgo no tiene implicancias terapéuticas, está demostrado que aquellas neoplasias de línea media que presentan este desarreglo tienen mal pronóstico.
Así llegamos al año 2016, en el cual tras una discusión ética donde fueran analizadas los puntos a favor y en contra de este procedimiento, la asamblea de la Sociedad Internacional de Neurocirugía Pediátrica llegó al acuerdo que la misma solo se indicaría en caso de estar comprendida dentro de un estudio correctamente elaborado y regulado. Esta decisión fue recientemente reforzada por una publicación que realiza una encuesta sobre el tema.27
Queda así aceptada que la biopsia estereotáxica en el caso de las lesiones difusas típicas de protuberancia solo está recomendada si el paciente se encuentra dentro de un protocolo de investigación, y si bien esta cirugía no implicará beneficios para dicho individuo, contribuirá al conocimiento en interés de la población general pudiendo ayudar a futuros enfermos.
Por otro lado, es desaconsejable realizar dicho procedimiento cuando la muestra no fuera a ser enrolada en algún estudio previamente aprobado, excepto que haya dudas diagnósticas como fuera mencionado previamente.
PERSPECTIVAS FUTURAS
Los tratamientos médicos destinados a intervenir directamente en las vías específicas del metabolismo tumoral (terapias blanco o “target”) proponen un camino prometedor en el campo de la neurooncología. La posibilidad de realizar el mismo depende de la presencia de marcadores moleculares específicos en las células neoplásicas. Llegado el caso, la biopsia estereotáxica en los tumores difusos se tornaría necesaria para indicar una terapéutica de este tipo.
Por otro lado, se encuentra en estudio la técnica conocida como administración facilitada por convección. La misma consiste en la colocación mediante estereotáxia de un microcatéter directamente en el tumor, de esa forma es traspasada la barrera hematoencefálica permitiendo que un fármaco específico se distribuya en forma homogénea por el tejido.4
CONCLUSIONES
Los tumores de tronco constituyen una patología relevante en el campo de la oncología pediátrica. Las clasificaciones desarrolladas permiten definir la conducta pudiendo ser quirúrgica, médica o expectante según las características observadas en los estudios por imágenes. La biopsia estereotáxica está sugerida realizarse solo en aquellas lesiones atípicas que no presentan carácter quirúrgico, pero generan dudas diagnósticas.
En los gliomas difusos de la protuberancia clásicos, la estereotáxia está indicada en caso de protocolos de investigación que justifiquen dicho procedimiento.
Las terapias “target” y otros tipos de tratamientos como la administración facilitada por convección prevén la necesidad de mayores procedimientos de este tipo en el futuro.
BIBLIOGRAFÍA
COMENTARIO
Los tumores sólidos más frecuentes en pediatría son los de SNC. El 10 – 15 % de estos se ubica en el tronco encefálico, siendo más frecuente el denominado Glioma Pontino Intrínseco Difuso (DIPG), cuyo pronóstico sigue siendo fatal.
En este excelente trabajo de revisión no sistemática, los autores hacen un resumen de las formas de presentación clínica y radiológica típicas de estas lesiones y referencian cronológicamente las disquisiciones diagnósticas y terapéuticas por las que han ido atravesando, haciendo hincapié en la consideración de biopsia.
La radioterapia focal sigue siendo el estándar de tratamiento sin alternativas prometedoras con la adición de terapias sistémicas. Una mejor comprensión de la biología de DIPG es fundamental para el desarrollo de un tratamiento individualizado específico.
La radioterapia no seguirá siendo el único tratamiento eficaz en el DIPG en las próximas décadas. Nuevas terapias químicas, genéticas o inmunológicas, solas o en combinación, lograrán mejorar el resultado de estos pacientes. Estos tratamientos inevitablemente requerirán una muestra de tejido para la confirmación diagnóstica y estudios moleculares.
Actualmente sólo se considera indicación de biopsia cuando la presentación clínica, edad e imágenes no son las típicas referentes a DIPG, de lo contrario se asume este diagnóstico directamente y se comienza con el tratamiento oncológico.
Este trabajo cita una encuesta realizada a neurocirujanos de la ISPN en el año 2019, donde la mayoría considera que la biopsia de DIPG es aceptable siempre que sea en el contexto de ensayos clínicos que incluyan perfil molecular y potencial tratamiento dirigido.
Ojalá los años venideros puedan ayudar a nuestros pacientes con alguna terapia eficiente para esta entidad, que considero la más cruel de nuestra especialidad.
Edgardo Morsucci
Hospital de Niños Dr. Orlando Alassia. Santa Fe, Argentina.
Hospital de Niños Ricardo Gutierrez. Ciudad Autónoma de Buenos Aires, Argentina.
COMENTARIO
Los autores nos presentan un trabajo de revisión no sistemática de la literatura, muy interesante, sobre las indicaciones y perspectivas futuras de las biopsias estereotácticas de los tumores de tronco cerebral en pediatría (T.T.C.P)
Las indicaciones terapéuticas de los T.T.C.P. se basan en las clasificaciones de diversos autores como Ebstein, Choux, Guillame y Sousa.
Considerándose a las lesiones focales, exofíticas y bulbo-medulares como quirúrgicas, las difusas son pasibles solo de tratamiento oncológico y las tectales de conducta expectante (excepto por el tratamiento de su hidrocefalia, en caso de que esta se presente). (1,2)
Las biopsias están indicadas en los tumores difusos cuando presentan dudas diagnósticas debidas a presentaciones atípicas de la clínica o de las imágenes y en los no difusos cuando no es posible el tratamiento quirúrgico. (2,3)
También son aceptadas las mismas dentro de protocolos de investigación.(3)
En la mayoría de los casos estas se realizan por procedimientos estereotácticos debido a su alta eficacia diagnóstica y a su baja morbi-mortalidad asociada.(4)
Dentro de los T.T.C.P. los gliomas protuberanciales intrínsecos difusos (G.P.I.D.) constituyen la amplia mayoría (75 a 80%) y en general tienen mal pronóstico (10% de sobrevida a los 2 años). Aunque hay un subgrupo en menores de 3 años con mejor pronóstico (30% de sobrevida a los 2 años).(5)
En los niños más grandes y adolescentes, los G.P.I.D. pueden superponerse con los tumores de tronco de los adultos jóvenes. Entre ellos el glioma intrínseco difuso de bajo grado, que, aunque similar desde el punto de vista de las imágenes, tiene mejor pronóstico.(6)
Los protocolos de investigación por el momento no tienen implicancias terapéuticas, pero han significado avances en el conocimiento su biología molecular, identificándose subtipos específicos que son distintos a otros gliomas de alto grado tanto pediátricos como de adultos.
Esto podría permitir en el futuro terapias oncológicas dirigidas, que mejoren la evolución de estos pacientes.
Agustín Carranza Aliaga.
Neurocirujano, Clínica Vélez Sarsfield. Córdoba, Argentina.
BIBLIOGRAFÍA
1 - Guillamo, J., Doz, F, Delattre, J., Brainstem Gliomas. Curr opin Neurolog (2001). 14:711-715.
2 - Sousa, P., Hinojosa, M., Muñoz, M. et al. Gliomas del tronco encefálico. Neurocirugía
(2004) 15:56-66.
3 - Schroeder, K., Hoeman, C, Becher O. Children are not just little adults:recent
advances in understanding of diffuse intrinsic pontine glioma biology. Pediatric
Research (2014) 75(1-2):5-9.