Abordajes quirúrgicos de los meningiomas petroclivales Parte 2: revisión narrativa y lo que aprendimos con 30 casos.
Gustavo Rassier Isolan,1 Joel Lavinsky,1 Victor Matheus Olaves Marques,1 Jander Monteiro,1 Ricardo Santos,1 Paulo Henrique Pires de Aguiar2
1- The Center for Advanced Neurology and Neurosurgery (CEANNE) – Porto Alegre, Brazil
2- Pontifícia Universidade Católica de Sorocaba – Sorocaba, Brazil
Gustavo Rassier Isolan
gisolan@yahoo.com.br
Los autores declaran no tener conflictos de intereses.
Recibido: mayo de 2020. Aceptado: octubre de 2020.
RESUMEN
Introducción: La resección quirúrgica de los meningiomas petroclivales es un desafío debido a su ubicación profunda y su relación con las estructuras neurovasculares vitales. Por lo general, son lesiones benignas, pero pueden involucrar o infiltrar huesos en la base del cráneo, la duramadre y el tronco encefálico. Esto hace que la extirpación total sea muy difícil o imposible sin causar déficits neurológicos. El objetivo de este estudio es revisar los abordajes quirúrgicos utilizados para tratar los meningiomas petroclivales y las lecciones que hemos aprendido en el manejo quirúrgico de 30 casos.
Material y métodos: Serie de casos de 30 meningiomas petroclivales. Al comienzo de nuestra serie, utilizamos el abordaje petroso para todos los casos, pero con la adquisición de experiencia comenzamos a indicar cada vez más el abordaje retrosigmoideo, reservando los abordajes petrosos y cráneo-orbito-cigomático para casos seleccionados.
Discusión: Debido a la dificultad de acceso, los meningiomas petroclivales generalmente requieren diferentes abordajes quirúrgicos y presentan diferentes dificultades quirúrgicas. Hay tres abordajes principales: fronto-orbito-cigomático y variantes; petroso y variantes; y retrosigmoideo, pudiendo ser combinados. La elección del abordaje quirúrgico generalmente se basa en la ubicación y extensión del tumor, la forma del cráneo y la participación de las estructuras venosas, y la experiencia del cirujano.
Conclusión: Los meningiomas petroclivales son raros y complejos en la base del cráneo. Elegir el abordaje correcto es crucial para un resultado quirúrgico exitoso.
Palabras clave: Meningioma petroclival, abordaje quirúrgico, acceso, base del cráneo, tumor cerebral.
ABSTRACT
Introduction: The surgical ressection of petroclival meningiomas is challenging due to its deep location and relationship with vital neurovascular structures. Usually they are benign injuries, but they can involve or infiltrate skull base bones, dura mater and brainstem. This makes the total removing very difficult or impossible without causing neurological deficits. The objective of this study is to review the surgical approaches used on the treatment of petroclival meningiomas and the knowledge which we achieved upon the surgical management of 30 cases.
Material and method: Series of 30 petroclival meningioma-cases. In the beginning of our series we used petrous approach for all the cases, however, with the acquiring of experience, we are indicating the retrosigmoid approach, leaving the petrous and skull-orbito-zigomatics approaches for selected cases.
Discussion: Owing to the difficulty of the access, the petroclival meningiomas usually require different surgical approaches and have distint surgical difficulties. There are three main approaches: fronto-orbito-zigomatics and variants; petrous and variants and retrosigmoid, and they can be combined. The choice for a surgical approach is usually on the location and size of the tumor, on the skull shape, the involvement of venous structures and according to the surgeon´s experience.
Conclusion: Petroclival meningiomas are rare and complex on the skull base. The adequate choice is crucial to achieve the good surgical result.
Key words: Petrocilval meningioma, surgical approach, access, skull base, brain tumor.
INTRODUCCIÓN
Los meningiomas petroclivales son tumores raros de crecimiento lento y generalmente solo producen síntomas después de alcanzar grandes dimensiones, lo que puede retrasar su diagnóstico.1-5 La región petroclival corresponde al cuerpo del hueso esfenoides y a la porción central anterior del hueso occipital, estando limitada lateralmente al ápex petroso. El piso está compuesto por los ligamentos petroclivales y tentorio. Contienen estructuras neurovasculares importantes que con frecuencia son afectadas o desplazadas por estos tumores, como la arteria basilar y sus ramas (arterias cerebelosas anteroinferior y posteroinferior, ramas perforantes, cerebelosa superior, cerebral posterior). La vena petrosa generalmente se desplaza hacia atrás, los nervios craneales III y IV se desplazan superiormente y el VI generalmente está rodeado por el tumor o desplazado medialmente.1,3,5
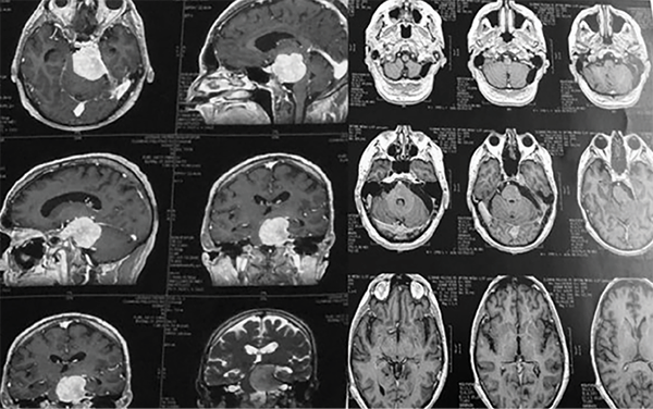
Por definición, los meningiomas petroclivales tienen su origen medial a los pares craneales V, VII, VIII, IX, X y XI, y pueden alcanzar el tentorio.1,3,5,6 A menudo se extienden hacia la fosa media, el seno cavernoso y la cisterna prepontina (Figura 1). Pueden descender al agujero magno, pudiendo invadir la piamadre y causar compresión del tronco encefálico. En los casos en que hay edema del tronco encefálico (hipodensidad en la tomografía o hiperseñal enT2 en la resonancia magnética) o una forma dentada e irregular del tumor sobre el tejido cerebral, la extracción total es muy difícil o imposible sin causar déficits neurológicos3-5(Figura 2). Los meningiomas del clivus inferior (foramen magno), petrosos, tentoriales y del ala esfenoidal pueden alcanzar estas áreas, pero no se consideran de origen petroclival.6

Figura 1: Resonancia magnética axial en T1 con gadolinio. Meningioma petroclival (izquierda), meningioma esfenopetroclival (centro), meningioma petroso (derecha).

Figura 2: Resonancia magnética que muestra la forma dentada del borde del tumor (izquierda) y tomografía que muestra edema del tronco encefálico. Éstos son hallazgos que indican la ausencia de un buen plan de disección entre el tumor y el tronco encefálico.
La resección quirúrgica de estos meningiomas es un desafío debido a su profundidad y relación con las estructuras neurovasculares vitales. Generalmente son lesiones benignas, pero pueden involucrar o infiltrar tejido cerebral, base del cráneo, duramadre, tronco encefálico y estructuras neurovasculares adyacentes. Debido a la historia natural del crecimiento de estos tumores, la indicación de extirpación quirúrgica suele ser necesaria.2,3,7-16
En este estudio presentamos la evolución histórica del manejo de los meningiomas petroclivales y los factores que tenemos en cuenta al elegir el abordaje quirúrgico basado en una serie personal de 30 casos operados entre 2006 y 2018. Los resultados de nuestra serie hasta 2014 se pueden consultar en un artículo anterior y reflejan nuestra filosofía de gestión actual con respecto al abordaje que se utilizará.5
HISTORIA
Existen varias clasificaciones para los meningiomas petroclivales. La primera fue creada por Castellano y Ruggiero en la década de los 50 que clasificó los meningiomas de la fosa posterior. El término meningioma petrocival fue difundido por Maybe y Symon en 1986.8 Aunque se han creado otras clasificaciones (Olivercrona7, Yasargil2), lo más importante es diferenciar el meningioma petroclival del meningioma petroso, tentorial o del ángulo pontocerebeloso, porque mientras que en el primero (petroclival) los nervios craneales están ubicados por detrás del tumor, en los últimos los nervios craneales se desplazan delante del tumor, lo que hace que la resección sea menos difícil.
GENÉTICA
Los meningiomas fueron los primeros tumores del SNC cuyas alteraciones genéticas fueron identificadas y relacionadas con la monosomía del cromosoma 22. Desde entonces, las alteraciones en el cromosoma 22 se han asociado con meningiomas, incluido el gen Neurofibromatosis Tipo 2 (NF2) presente en el brazo largo de este cromosoma, siendo la alteración molecular más común en estos tumores. Recientemente, los genes AKT1, KLF4, TRAF7 y SMO se han asociado con el perfil de expresión de NF2. La segunda alteración más frecuente en los meningiomas es la deleción del brazo corto del cromosoma 1 y está asociada con la promoción y progresión de estos tumores. Otros cromosomas también tienen alteraciones descritas en los meningiomas: cromosomas dicéntricos o en anillo, deleciones de brazos 1p, 6q, 7, 9p, 10, 14q, 18q, 19 o 20 o amplificación 1q, 9q, 12q, 15q, 17q o 20q. Las deleciones 14q son más frecuentes en grado I, mientras que las alteraciones 9p, que contienen CDKN2A, CDKN2B y p14ARF se asocian con progresión maligna.9
Otros genes supresores también parecen desempeñar un papel en la progresión y agresividad de los meningiomas, como el gen DAL1 en el brazo largo del cromosoma 18, TIMP1 y TIMP3, ubicados respectivamente en el Xp y 22q. Para comprender la génesis de los meningiomas y su progresión se estudiaron varias vías moleculares, destacando la vía de la proteína quinasa activadora de mitosis (MAPK), retinoblastoma/p53 (RB/p53), alvo mamario de rapamicina (mTOR), Wingless/β - catenina (Wnt), señalización NOCHT (Nocht) y factores de crecimiento.9
En relación a los meningiomas petroclivales, en un estudio de Ohba et al.10 en el que un meningioma petroclival resecado de forma subtotal se convirtió en un meningioma atípico en un año, se observaron pérdidas en el número de copias de ADN cromosómico en 1p, 6q, 10, 14q y 22q detectados en los tumores primarios y recurrentes. Estos hallazgos sugieren que aunque el tumor tenía las características histológicas de un meningioma benigno era potencialmente maligno desde su etapa inicial.
El estudio de la biología molecular de los meningiomas petroclivales en los que la resección total no es factible de manera segura puede proporcionar una idea de los factores que influyen en su recurrencia y aportar objetivos para el desarrollo de nuevos agentes terapéuticos.10
Según un estudio de Kumar et al, se observó que las características histopatológicas, el índice de proliferación celular (Ki-67), la expresión del receptor de progesterona o la proteína p53 en meningiomas petroclivales con resección total o subtotal fueron similares a los meningiomas de convexidad de grado I correspondientes. Sin embargo, a diferencia de los meningiomas de convexidad de grado I, 20% de los meningiomas petroclivales de grado I con resección subtotal mostraron co- deleción 1p / 14q, mientras que aquellos con resección total no mostraron esta alteración. Por lo tanto, los tumores petroclivales de grado I que presentan una co-deleción 1p / 14q deben tratarse con precaución, porque cuando está presente esta alteración sugiere que estos meningiomas tienen una naturaleza biológica inherentemente agresiva, que se manifiesta como un aumento de la invasividad y el comportamiento local destructivo, dificultando la resección total.17
Utilizamos el marcador de proliferación Ki67 para predecir indirectamente el grado de recurrencia de estos tumores en los casos en que la resección no fue completa.18
DIAGNÓSTICO
Los meningiomas petroclivales, aunque raros, se caracterizan por su crecimiento lento, causando síntomas generalmente cuando alcanzan grandes dimensiones19. En nuestra opinión, los tumores pequeños deben extirparse quirúrgicamente debido a su historia natural, excepto en pacientes de edad avanzada o en aquellos sin condiciones clínicas para someterse a cirugía.
Los síntomas más comunes son dolor de cabeza, trastornos de la marcha, pérdida auditiva, parestesia facial y trastorno de la deglución.3-5 Este último con gran potencial de causar complicaciones debido a la neumonía por aspiración. El nervio craneal afectado con mayor frecuencia es el quinto, seguido por los nervios noveno y décimo. En algunos pacientes, los síntomas iniciales pueden deberse a la hipertensión intracraneal por hidrocefalia. Es importante el hecho de que algunos pacientes pueden tener buena audición incluso en presencia de afectación severa de los nervios trigémino y craneales bajos.
La tomografía computarizada del cráneo es importante para evaluar áreas de erosión ósea o hiperostosis causadas por el tumor, así como para evaluar las estructuras del hueso temporal al planificar abordajes transtemporales. El tumor se caracteriza por una ligera hiperdensidad en comparación con el cerebro y por demostrar un fuerte realce por el contraste. Por lo general, se infiltra en la duramadre y presenta una gran área de implantación en el clivus. Puede presentar calcificaciones e hiperostosis en la región del clivus, lo que puede dificultar su base de implantación.1,5
La resonancia magnética muestra la extensión y la relación de la lesión con el tronco encefálico, vasos y pares craneales, demostrando claramente cuando se produce el desplazamiento y la compresión de las estructuras normales. La resonancia magnética con gandolinio a menudo demuestra una lesión con realce intenso y homogéneo. En T1 el tumor tiene un aspecto isointenso, mientras que en TR largo (T2 y Flair) es hiperintenso. Además, es bastante hidratado y tiene una superficie externa ligeramente lobulada. La confirmación de edema en T2 en el tronco encefálico caracteriza la invasión de la aracnoides y generalmente es un signo de mal pronóstico cuando se trata de resecar el tumor por completo.3,4 La resonancia magnética de alta definición es esencial para la planificación quirúrgica. La vascularización del tumor y su relación con los vasos importantes se pueden demostrar mediante angiorresonancia magnética, angio-tomografía computarizada tridimensional multicorte o mediante arteriografía digital. Es importante estudiar el suministro vascular y los desplazamientos, estenosis u oclusiones de las arterias basilar, carótida interna y sus ramas. Incluso en los casos en que la arteria basilar está involucrada por el tumor hay un buen plano de clivaje con éste. Estos tumores generalmente son irrigados por ramas de la arteria carótida externa y por ramas del tronco meningohipofisiario (arteria de Bernasconi- Cassinari) generalmente aumentado.20,21 Los tumores hipervascularizados se pueden embolizar en el período preoperatorio reciente, pero generalmente la coagulación de la base del tumor al comienzo de la cirugía es suficiente para prevenir un sangrado mayor. La ubicación del drenaje de la vena de Labbé es crucial cuando se pretenden llevar a cabo abordajes en los que sea necesaria la retracción del lóbulo temporal, como un abordaje petroso (Figura 3). Su visualización preoperatoria se puede obtener mediante angio-tomografía computarizada - venografía o angiografía de fase venosa. Este conocimiento preoperatorio es muy importante para planificar el abordaje quirúrgico a fin de preservar la vena de Labbé y prevenir complicaciones venosas.22
HISTORIA NATURAL Y MANEJO
Por lo general, los meningiomas petroclivales crecen de manera progresiva a diferencia de algunos tumores de la base del cráneo que pueden permanecer estables durante años (schwannomas vestibulares de fondo de meato, microadenoma hipofisario no funcional, meningiomas del seno cavernoso y algunos paragangliomas del foramen yugular). Van Havenberg y sus colegas llevaron a cabo un estudio en el que 21 pacientes con meningiomas petroclivales tratados de forma conservadora fueron objeto de investigación, con un seguimiento mínimo de cuatro años. Los investigadores informaron crecimiento tumoral en el 76% de los casos y empeoramiento clínico en el 63%.23 Jung y sus colaboradores informaron una serie de 38 pacientes con extirpación subtotal, crecimiento lineal de 0,37 cm/año e incremento volumétrico de 4,94 cm³/año. Sin embargo, el 60% de los pacientes no mostraron signos de progresión de la enfermedad.24 La observación clínica puede ser una opción terapéutica cuando haya condiciones quirúrgicas deficientes, vejez, lesiones asintomáticas muy pequeñas, o cuando el paciente no quiere operar, pudiendo repetir la resonancia magnética en seis meses. Paradójicamente, los casos pequeños tendrían el mayor potencial de cura, posiblemente con menos morbilidad. En nuestra serie de casos5 y en la serie de Ramina et al.1 la cirugía para meningiomas petroclivales pequeños es superior a la radiocirugía.
TRATAMIENTO QUIRÚRGICO
Los principales abordajes quirúrgicos utilizados son fronto-órbito-cigomático, petroso y retrosigmoideo, los cuales se pueden combinar.1,11,12,25 Recientemente, algunos grupos han propuesto intentos de resección de meningiomas petroclivales utilizando un abordaje endonasal endoscópico, pero la limitación lateral causada por la entrada del nervio abducens en el clivus es uno de los factores que impiden la resección total del tumor. Por otro lado, hay menos control del VI par en la entrada del clivus, mayor posibilidad de fístula (incluso usando colgajos vascularizados) y menor posibilidad de control de sangrado.26,27 La anatomía microquirúrgica detallada de estos abordajes está descrita en la parte 1 de este artículo. Con base en nuestra muestra, desarrollamos un cuadro de manejo para los meningiomas petroclivales.5 Tanto el acceso fronto-órbito-cigomático como el acceso pterional son utilizados en algunos casos para tumores con mayor extensión en la fosa media o que involucran el seno cavernoso.28,29,30 Este acceso no es adecuado para tumores que se extienden por debajo del meato acústico interno. La petrosectomía anterior asociada con este abordaje puede, en algunos casos, hacer posible la extirpación de tumores que se extienden por debajo del meato acústico interno, pero no habrá una vista directa de la parte inferior del tumor que está siendo extirpado El paciente, colocado en posición supina, tiene la cabeza girada 30º hacia el lado opuesto al tumor. La incisión cutánea comienza 1 cm por debajo del arco cigomático y se extiende hasta la línea temporal superior del lado contralateral, siempre detrás de la línea de implantación del cabello. Con el pliegue del colgajo cutáneo hacia abajo, a nivel de la fascia temporal, se expone la raíz del arco cigomático, así como el borde lateral de la órbita. El ramo frontotemporal del nervio facial se protege con disección subfascial. La parte cigomática del arco cigomático se secciona por delante y por detrás con una sierra alternativa o taladro. El cigoma se pliega hacia adentro y permanece unido al músculo masetero. Se remueven el ala mayor del esfenoides y la pared lateral y superior de la órbita. Cuando se pretende realizar una petrosectomía anterior se debe realizar un peeling de fosa media. El peeling se puede realizar en el sentido anterior- posterior o posterior-anterior. Damos preferencia al sentido anterior-posterior pues con esta técnica podemos exponer V2 y V3 en la pared lateral del seno cavernoso y drilar el ápex petroso teniendo como límite anterior V3 y el límite posterior la duramadre del meato acústico interno. El límite lateral es la porción petrosa de la arteria carótida interna y el límite medial son los senos petrosos superior e inferior. Algunos ápices petrosos pueden neumatizarse. La monitorización del nervio facial es importante al separar la duramadre de la fosa media del nervio petroso superficial mayor, ya que esta maniobra puede causar daño indirecto al ganglio geniculado con la consecuente parálisis facial. Cuando existía invasión del seno cavernoso por un tumor, antiguamente se realizaba un bypass de alto flujo entre la arteria carótida externa y la cerebral media (segmento M2), utilizando un injerto de arteria radial o de vena safena. Sin embargo, dado que el uso rutinario de la radiocirugía se ha utilizado cada vez más para tratar la porción intracavernosa del tumor en pacientes sin paresia de la musculatura extraocular, este tipo de abordaje más invasivo se selecciona para los casos raros de meningiomas malignos o para los casos de recaída después de la radiocirugía.
Los abordajes petrosos son pre-sigmoideo retrolaberíntico, pre-sigmoideo translaberíntico y petrosectomía total. Estos abordajes se utilizan cuando la lesión se encuentra en la fosa media, fosa posterior y la región clivus (Figuras 3 y 4). Si el paciente tiene buena audición previa, se prefiere el acceso pre-sigmoideo retrolaberíntico. Cuando no hay audición preservada es posible extirpar los canales semicirculares, y este abordaje se denomina pre-sigmoideo translaberíntico. Para los tumores gigantes que cruzan la línea media en la región prepontina es necesario un abordaje más lateral y extenso, a través de la petrosectomía total (petrosectomía posterior asociada con la petrosectomía anterior). La cirugía se realiza con el paciente en posición decúbito dorsal, con la cabeza vuelta hacia el lado opuesto. La incisión en la piel se realiza en forma semicircular a partir la región temporal, cuatro centímetros por encima del arco cigomático, pasando tres centímetros detrás de la oreja, extendiéndose dos centímetros detrás de la punta del mastoides. Para evitar fístula del LCR postoperatoria, se utiliza la reconstrucción de la base del cráneo con la fascia temporal, que se diseca con el periostio mastoideo, la fascia craneocervical y el músculo esternocleidomastoideo, que se separa de su inserción, formando un gran colgajo vascularizado que es girado para atrás al final de la cirugía para cubrir todo el campo quirúrgico. La corteza mastoidea es drenada, identificándose el laberinto y el canal del nervio facial. Estos canales no son abiertos. Se realizan dos trepanaciones por encima y dos por debajo del seno sigmoideo y, con una broca de alta rotación, se realiza una craneotomía, exponiendo las fosas media y posterior (retrosigmoide). Los senos petroso superior, sigmoideo y transverso son expuestos. Las celdas mastoideas retrofaciales se eliminan hasta el bulbo yugular. La duramadre anterior es expuesta al seno sigmoideo. Se extraen las células cigomáticas y supralaberínticas, manteniendo intactos los canales semicirculares y el oído medio. El seno petroso superior se secciona anterior a su entrada en el seno sigmoideo. Antes de esta maniobra, debe conectarse con un punto o con microclips. Luego, se realiza una incisión en el tentorio, inicialmente perpendicular al seno petroso superior de dos a tres centímetros y luego medialmente, paralelo al seno transverso en otros tres centímetros. Esta maniobra permite una amplia exposición del cerebelo, separándolo a partir del aspecto posterior del lóbulo temporal en "libro abierto". Se debe tener cuidado para preservar la vena de Labbé, que tiene una anatomía variable y generalmente ingresa al seno transverso diez milímetros antes de su unión con el seno sigmoideo. La evaluación preoperatoria de la anatomía venosa es esencial para planificar este abordaje. La incisión del tentorio se continúa hasta la incisión donde se expone y preserva el IV par craneal. Algunas pequeñas venas puente basales en la base anterior del lóbulo temporal se coagulan y cortan, permitiendo una amplia exposición subtemporal. Se debe evitar la colocación de espátulas fijas con Leyla apoyando el lóbulo temporal y el cerebelo. En general, la espatulación leve realizada por el auxiliar de manera no continua es suficiente para exponer toda la región petroclival de los pares craneales III a VII y VIII. El nervio trigémino generalmente se puede ver desplazado posterior y superiormente. El tumor se desvasculariza por la coagulación bipolar de su inserción dural. Posteriormente, la resección intracapsular fragmentada del tumor se realiza con un aspirador ultrasónico, realizando una citorreducción del tumor, que permite la disección de la cápsula tumoral de los nervios, la arteria basilar y las arterias cerebelosa superior y cerebral posterior. El nervio abducente es muy delgado y frágil. El canal de Dorello se encuentra medial a los pares craneales VII y VIII, y esta región debe abordarse solo después de una resección extensa del tumor. Las extensiones tumorales de la parte posterior del seno cavernoso se resecan después del nervio trigémino. Toda infiltración del hueso petroso y el clivus se elimina con una broca de diamante. Después de la extracción total, la duramadre se cierra herméticamente o con un injerto de fascia y pegamento de fibrina. El abordaje presigmoideo translaberíntico es similar, pero con la eliminación adicional del laberinto al drenar los canales semicirculares, lo que agregará una exposición de aproximadamente 1,5 centímetros de cirugía y permitirá una mejor vista de las estructuras de la línea media. Esta apertura de los canales semicirculares causa sordera y sólo está indicada para pacientes sin audición viable previa.1

Figura 3:Resonancia magnética con gadolinio, corte coronal, que muestra un componente tumoral en la fosa posterior y en la fosa media. Caso ideal para el abordaje petroso (izquierda). Angiografía de fase venosa que muestra drenaje de la vena de Labbé en la unión del sigmoide con el transverso, sin contraindicar el abordaje petroso (centro). Incisión del abordaje petroso (también conocido como abordaje presigmoideo (supra/infratentorial) utilizado en este caso (derecha).

Figura 4: RM coronal con gadolinio que muestra tumor con componente en la fosa posterior y en la fosa media. Caso ideal para el abordaje petroso, también conocido como petrosectomía posterior o abordaje presigmoideo supra/infratentorial (izquierda). Visualización del abordaje antes de abrir la duramadre (izquierda).
En la petrosectomía total, el procedimiento quirúrgico es inicialmente el mismo que el descrito para el abordaje presigmoideo (o petrosectomía anterior), completado con la extracción adicional de canales semicirculares y cóclea (petrosectomía posterior). La arteria carótida interna petrosa está expuesta a lo largo de su curso dentro del hueso temporal hasta su entrada en el seno cavernoso. Este abordaje es especialmente útil para lesiones muy grandes que cruzan la línea media en pacientes que ya son sordos. Aunque la transposición del nervio facial causará parálisis facial postoperatoria, que mejora dentro de los tres meses posteriores a la cirugía para House-Brackmann grado 1-2, esta maniobra debe evitarse. La trompa auditiva se cierra con músculo para evitar fístula de LCR postoperatoria. Si no hay un espacio corto entre el seno sigmoideo y el laberinto, en pacientes con audición preservada y un seno sigmoideo no dominante, se ha informado un abordaje trans-sigmoideo (referencia). Sin embargo, el concepto de seno sigmoideo no dominante es controvertido y no hay forma de predecir que no ocurrirá un infarto venoso. Una posible solución es hacer un abordaje retrosigmoideo del componente de la fosa posterior en una sola vez y un abordaje pterional y un segundo procedimiento quirúrgico. Ichimura y sus colaboradores utilizaron un abordaje transpetroso anterior en 91 pacientes con meningiomas petroclivales. Indicaron este abordaje especialmente en las lesiones predominantemente de la fosa media, que involucran clivus superior y tentorio, permitiendo el acceso al cavum de Meckel.13
Uno de los abordajes más versátiles para la extirpación de meningiomas petroclivales que no se extienden hacia la fosa media es el abordaje retrosigmoideo (Figuras 6 y 7). El abordaje retrosigmoideo es más simple y fácil de realizar en comparación con los abordajes mencionados anteriormente. Está indicado cuando el tumor se encuentra principalmente en la fosa posterior, con una pequeña extensión en la fosa media y la porción posterior del seno cavernoso. En decúbito lateral o dorsal con rotación y extensión lateral de la cabeza, la incisión de la piel comienza en la región retromastoidea, 5 centímetros detrás del conducto auditivo externo, y se extiende 2 centímetros desde la punta de la mastoides, terminando en la parte superior del cuello. La fascia y los músculos se cortan hacia abajo, exponiendo el hueso occipital, el asterion y la región retromastoidea. Se realiza una craneotomía de cuatro centímetros de diámetro exponiendo los senos transverso y sigmoideo. La vena emisaria del mastoideo se coagula y se corta. Se hace una incisión en la duramadre paralelamente al seno sigmoideo, retrayendo ligeramente el aspecto lateral del cerebelo. El primer paso después de abrir la duramadre es drenar el líquido cefalorraquídeo de la cisterna cerebelomedular. Los pares craneales VII y VIII generalmente se encuentran posteriores a la cápsula tumoral, a menudo se incorporan al tumor, y se debe realizar una disección muy cuidadosa con monitoreo neurofisiológico intraoperatorio. El V par craneal se encuentra en el polo superior del tumor o se desplaza hacia arriba con el IV par craneal a través del margen libre del tentorio. El VI par craneal generalmente se encuentra en la parte anterior y en la superficie medial del tumor. Su identificación y disección solo es posible después de una extensa reducción de la lesión. Después de la coagulación de los accesorios durales, se realiza una resección intracapsular fragmentada entre los nervios craneales, a través de "ventanas" (tentorio-V; V-VII y VIII; VII y VIII-IX, X, XI). El envolvimiento tumoral de la arteria basilar y sus ramas, así como la arteria vertebral, es común en los exámenes preoperatorios. Sin embargo, generalmente hay un buen plan de disección durante la cirugía (Figura 5). La disección del plano aracnoideo alrededor de los vasos y nervios craneales es necesaria para preservar estas estructuras. El abordaje retrosigmoideo permite la resección del tumor desde el foramen yugular hasta la parte posterior del seno cavernoso. El tumor con extensión a la fosa media puede resecarse, abriendo el tentorio y drenando el tubérculo suprameatal y el ápex petroso14. Después de la extirpación total del tumor, se debe realizar un cierre preciso de la duramadre. Todas las celdas mastoideas abiertas son selladas con injerto muscular y pegamento de fibrina. Algunos modelos fueron desarrollados para tratar de medir varios elementos de la resecabilidad de los meningiomas petroclivales. Entre ellos, Abdel-Aziz et al desarrollaron un mecanismo para predecir la reexpansión posquirúrgica del tronco encefálico después de los abordajes petrosos anteriores o posteriores. Se propuso una nueva escala de clasificación basada en el tamaño de la resección y la calidad de la descompresión del tronco encefálico. Para Siwanuwatn et al el abordaje transcoclear es el que proporciona el espacio más amplio para el acceso petroclival; sin embargo, se debe sacrificar la audición.15 Todos estos abordajes son complejos y con un gran potencial de complicaciones si no hay un conocimiento claro de la anatomía. Los autores sugieren capacitación en un laboratorio de microcirugía y anatomía antes de llevar a cabo estos abordajes.

Figura 5: Imagen intraoperatoria de la Figura 2. Después de la resección del meningioma petroclival, se visualiza el nervio oculomotor (III CN). Arteria basilar (BA) y arteria cerebral posterior (PCA). El lóbulo temporal (TL) está ligeramente retraído. El sitio de implantación del tumor está representado por *

Figura 6: Meningioma petroclival del clivus superior y medio sin extensión de la fosa media. (A) Se seleccionó el abordaje retrosigmoideo para este caso, con el paciente posicionado en decúbito lateral (Park Bench) (2). La craneotomía o craniectomía con reconstrucción con cemento óseo se debe realizar exponiendo parte del seno sigmoideo y transversal. Con eso, la apertura de la duramadre.

Figura 7: Meningioma petroclival grande resecado por abordaje suboccipital. Se observa un pequeño componente tumoral que se extiende en la fosa media en continuidad con el tentorio. Esta parte tumoral se resecó abriendo el tentorio a través de la fosa posterior. No se resecó una pequeña extensión en el seno cavernoso.

Figura 8: Tumor en la parte superior del clivus con extensión al seno cavernoso. Paciente con neuropatía trigeminal refractaria al tratamiento clínico. Se eligió un abordaje pterional pretemporal con la apertura de la incisura de la tienda y la descompresión del nervio trigémino. Paciente con mejoría del dolor en el postoperatorio inmediato. Parte tumoral intracavernosa se sometió a radiocirugía después de la detección de crecimiento pequeño. Paciente seguido durante 8 años sin dolor y sin crecimiento tumoral.
DISCUSIÓN
La extirpación total de meningiomas petroclivales se obtiene con mayor frecuencia de pequeñas lesiones. La extirpación subtotal con o sin tratamiento adyuvante generalmente se realiza cuando hay invasión del seno cavernoso. Little y sus colaboradores realizaron una resección subtotal en pacientes con tumores adherentes o fibrosos, lo que redujo significativamente la tasa de déficit neurológico postoperatorio sin aumentar significativamente la tasa de recurrencia tumoral.16 Nanda y sus colaboradores en su serie de 50 pacientes con meningiomas petroclivales obtuvieron resección total en solo el 28%, con buenos resultados funcionales en el 92% de los pacientes, enfatizando el objetivo quirúrgico principal como lograr la resección tumoral máxima mientras se mantienen o mejoran los resultados funcionales, lo que sugiere el tratamiento de tumores residuales o recurrentes con radiocirugía estereotáctica.3
Recientemente, Isolan y sus colaboradores lograron la resección total en la mitad de 22 meningiomas petroclivales operados. En el resto, se realizó resección subtotal y en un caso de meningioma calcificado se realizó resección parcial.
La radioterapia estereotáctica fraccionada y la radiocirugía pueden estar indicadas como tratamiento inicial o adyuvante, especialmente en histologías de meningiomas atípicos y anaplásicos, en casos de crecimiento tumoral después de seis meses.31 Hay datos que muestran los beneficios de la radiocirugía, tanto en el control efectivo del crecimiento a corto plazo del tumor como también en resultados satisfactorios para evitar una operación intracraneal. Sin embargo, también tiene sus propios efectos secundarios y riesgos. Después del fracaso del tratamiento radioquirúrgico, los meningiomas benignos de la base del cráneo muestran un comportamiento agresivo, en consecuencia, el intento de resección quirúrgica después de la radiocirugía tiene menos posibilidades de éxito para la resección tumoral total, además de un mayor riesgo de complicaciones. También se cuestiona el riesgo de malignidad inducida por la radiación después del tratamiento radioquirúrgico.
Un estudio reciente publicado por Almefty, Dunn y colaboradores informó sobre una serie de 64 pacientes tratados entre 1988 y 2012. Destacaron que la extirpación total (resección de Grado I o II) de meningiomas petroclivales era posible en el 76.4% de los casos y fue facilitado por el uso de abordajes de base cráneo, con buenos resultados y estado funcional. Los autores sugirieron además que, en casos donde las circunstancias impiden la extirpación total, los tumores residuales se pueden seguir hasta que la progresión sea evidente, cuando se puede planificar una nueva intervención.4
Estas lesiones generalmente requieren diferentes abordajes quirúrgicos y presentan diferentes dificultades quirúrgicas. La elección del abordaje generalmente se basa en la ubicación y extensión del tumor, dependiendo de la participación de las estructuras venosas, como la vena de Labbé, los senos petrosos superior y transverso y la vena petrosa, especialmente en los abordajes petrosos32, y según la experiencia de cirujano. Teóricamente, un factor adicional a considerar es la forma del cráneo. Los pacientes con cráneo braquicéfalo tienen una distancia anteroposterior más corta al ápex petroso y puede estar indicado un abordaje de fronto- orbito-cigomático a la fosa media. Los pacientes dolicocefálicos son los más adecuados para los abordajes petrosos porque la distancia lateral al ápex petroso es más corta. Sin embargo, estos aspectos antropológicos no se tienen en cuenta al elegir el abordaje. Los tumores más grandes, que invaden el seno cavernoso y se extienden hasta la fosa posterior, pueden extirparse en dos etapas. Los pacientes de edad avanzada generalmente toleran mejor dos cirugías menores que un procedimiento de larga duración.1
La mayoría de los meningiomas petroclivales son lesiones benignas. La resección total es, en general, el único tratamiento que puede curar a estos pacientes, pero a menudo no es posible debido a la participación e invasión del seno cavernoso, los nervios craneales, los vasos y la piamadre. El tamaño, la consistencia y el comportamiento biológico del tumor son otros factores limitantes. La elección del abordaje quirúrgico y la experiencia del cirujano son muy importantes para lograr buenos resultados. Los tumores pequeños (de hasta tres centímetros de diámetro) generalmente tienen los mejores resultados quirúrgicos.
CONSIDERACIONES FINALES
El manejo de los meningiomas petroclivales es muy complejo, especialmente porque es una patología rara, debido a la dificultad de acceso y la importancia de las estructuras neurovasculares adyacentes que pueden comprometer. Se pueden utilizar varios abordajes quirúrgicos para la extirpación de estos tumores, cada uno de los cuales presenta ventajas y riesgos. Por lo general, para los tumores ubicados exclusivamente en la fosa posterior, el abordaje retrosigmoideo es suficiente.
BIBLIOGRAFÍA