Fractura expandida de techo de órbita en paciente pediátrico: desafíos y resultado del tratamiento quirúrgico
Dámaris Martínez, Mariela C. Salerno, Gonzalo Colombo, Nicolás Tello Brogiolo, Bárbara Tornesello Galván
Servicio de Neurocirugía, Hospital Interzonal de Agudos Especializado en Pediatría “Sor María Ludovica”, Ciudad de La Plata, Provincia de Buenos Aires, Argentina
Recibido: 22/01/25 Aceptado: 30/04/25
Dámaris Martínez
damarismartindz@gmail.com
DOI: 10.59156/revista.v39i02.743
ORCID
Dámaris Martínez: 0009-0006-4617-0103
Mariela C. Salerno: 0000-0003-0491-0522
Gonzalo Colombo: 0009-0000-6131-4888
Nicolás Tello Brogiolo: 0009-0009-3143-6847
Bárbara Tornesello Galván: 0009-0007-6437-0851
EMAILS
Mariela C. Salerno: marielasalerno@yahoo.com.ar
Gonzalo Colombo: colombogonzalo27@gmail.com
Nicolás Tello Brogiolo: nicolastellobrogiolo@gmail.com
Bárbara Tornesello Galván: dratornesello@gmail.com
Los autores no declaran conflicto de interés
Los autores no declaran financiamiento.
Este es un artículo de acceso abierto bajo la licencia CC BY-NC https://creativecommons.org/licenses/by-nc/4.0/
RESUMEN
Introducción: las fracturas de cráneo son lesiones frecuentes del traumatismo encefalocraneano (TEC) pediátrico. Aunque la mayoría son lineales y de evolución favorable, ocasionalmente pueden complicarse con una fractura en crecimiento, principalmente en menores de 3 años. Esta se caracteriza por un defecto óseo progresivo asociado a un desgarro dural y herniación de tejido encefálico, que impide la cicatrización normal.
Objetivos: analizar el manejo quirúrgico de una fractura expandida de techo de órbita en un paciente pediátrico.
Descripción del caso: paciente masculino de 2 años con TEC leve tras caída de altura. Inicialmente presentó una fractura lineal en el techo de la órbita derecha sin lesiones asociadas ni déficits neurológicos. A los 3 meses desarrolló ptosis palpebral, estrabismo y debilidad en la musculatura ocular derecha. Estudios por imágenes evidenciaron ensanchamiento del trazo fracturario y herniación encefálica hacia la cavidad orbitaria. Se indicó tratamiento quirúrgico.
Intervención: se realizó craneotomía frontal, disección y resección del trayecto fibroso, duroplastia con pericráneo y craneoplastia con cemento óseo. Se utilizaron placas y tornillos reabsorbibles para la fijación ósea. La evolución postoperatoria fue favorable, con mejoría clínica significativa.
Conclusión: presentamos un caso atípico de fractura en crecimiento de techo orbitario en un paciente pediátrico y su resolución quirúrgica. Se destacó la importancia de un diagnóstico oportuno y un correcto tratamiento, con duroplastia y craneoplastia, para evitar secuelas estéticas, neurológicas y funcionales.
Palabras clave: Fractura en crecimiento. Neurocirugía. Pediatría. Quiste leptomeníngeo
Growing skull fracture of the orbital roof in a pediatric patient: challenges and outcomes of surgical treatment
ABSTRACT
Background: skull fractures are common injuries associated with pediatric traumatic brain injury (TBI). Although most are linear and have a favorable outcome, they can occasionally be complicated by a growth fracture, primarily in children under 3 years of age. This is characterized by a progressive bone defect associated with a dural tear and herniation of brain tissue, which impedes normal healing.
Objectives: to analyze the surgical management of an expanding orbital roof fracture in a pediatric patient.
Case description: a 2-year-old male patient with mild TBI following a fall from height. He initially presented with a linear fracture of the right orbital roof with no associated injuries or neurological deficits. At 3 months of age, he developed eyelid ptosis, strabismus, and weakness in the right ocular muscles. Imaging studies showed widening of the fracture line and brain herniation into the orbital cavity. Surgical treatment was performed.
Surgery: a frontal craniotomy, dissection and resection of the fibrous tract, duroplasty with pericranial cement, and cranioplasty with bone cement were performed. Absorbable plates and screws were used for bone fixation. The postoperative course was favorable, with significant clinical improvement.
Conclusion: we present an atypical case of a growing orbital roof fracture in a pediatric patient and its surgical resolution. The importance of timely diagnosis and proper treatment, including duroplasty and cranioplasty, is emphasized to avoid cosmetic, neurological, and functional sequelae.
Keywords: Growing fracture. Leptomeningeal cyst. Neurosurgery. Pediatrics
INTRODUCCIÓN
Los traumatismos encefalocraneanos (TEC) representan una de las principales causas de morbimortalidad en la edad pediátrica. Las fracturas de cráneo son las lesiones que se asocian con mayor frecuencia al TEC. Aproximadamente el 85% de estas son lineales y suelen afectar principalmente al hueso parietal, seguido del occipital, frontal y temporal.1 En más del 98% de los casos las fracturas lineales evolucionan favorablemente con manejo conservador, no obstante, existe una complicación poco frecuente y clínicamente significativa denominada fractura de cráneo en crecimiento o GSF (la sigla por su nombre en inglés: growing skull fracture).1,2
La fractura de cráneo en crecimiento ocurre principalmente en menores de 3 años, con una incidencia entre el 0.05 y el 1.6%.1,3,4 Esta se desarrolla a partir de una fractura lineal con un desgarro dural asociado, lo que permite la herniación del tejido leptomeníngeo y/o parénquima encefálico a través del defecto óseo. La interposición del tejido leptomeníngeo y la presión intracraneal pulsátil, junto con el crecimiento del encéfalo en desarrollo, impiden la adecuada osteogénesis y favorecen la expansión del defecto.5,6
Desde el punto de vista clínico, puede presentarse con tumoración de cuero cabelludo, convulsiones, déficits motores, alteraciones visuales, deformidades craneales progresivas o infecciones del sistema nervioso central (SNC). Dichas manifestaciones dependerán de la localización del defecto, la edad del paciente y el tiempo de evolución.4,7
Se trata de una entidad de diagnóstico clínico con confirmación por imágenes. La tomografía computada (TC) permite identificar hallazgos característicos de las fracturas craneales en crecimiento, como el ensanchamiento progresivo del trazo fracturado, los bordes óseos lisos y redondeados y la presencia del defecto. La resonancia magnética (RM), por su parte, es el estudio de elección para detectar el desgarro dural, la herniación de estructuras intracraneales, realizar diagnósticos diferenciales con otras lesiones y evaluar el parénquima encefálico en su totalidad.8,9
Objetivos
Presentar el manejo quirúrgico de una fractura expandida de techo de órbita en un paciente pediátrico.
DESCRIPCIÓN DEL CASO
Paciente masculino de 2 años que ingresó a la guardia de nuestra institución por un TEC leve, secundario a una caída de altura. A su ingreso se constató una escala de Glasgow de 14/15, un cefalohematoma frontal y edema bipalpebral derecho. En la TC de ingreso se evidenció una fractura de cráneo lineal en el techo de órbita derecha sin otras lesiones asociadas (Figura 1).

Figura 1. TC de encéfalo. A) Ventana ósea corte coronal. B) Ventana ósea corte sagital. C y D) Reconstrucción 3D. Se observa fractura lineal de techo de órbita derecha (flecha amarilla).
El paciente no presentó déficits neurológicos y se mantuvo en observación por 48 horas, para luego ser dado de alta. Durante el seguimiento ambulatorio, a los 3 meses del TEC, se detectó en el examen físico ptosis palpebral, distopía vertical y debilidad en la musculatura extrínseca ocular derecha. Se realizó RM y TC de encéfalo con reconstrucción tridimensional, en estas se evidenció ensanchamiento del trazo fracturado con diástasis ósea y herniación de estructuras encefálicas a través de este, hacia la cavidad orbitaria (Figuras 2 y 3). Se determinó la necesidad del tratamiento neuroquirúrgico para la reparación del defecto, se efectuaron estudios prequirúrgicos de rutina, previos a la intervención.

Figura 2. TC de encéfalo. A) Ventana ósea corte coronal. B) Ventana ósea corte sagital. C y D) Reconstrucción 3D. Se observa diástasis ósea, con bordes óseos redondeados.

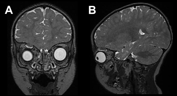
Figura 3. RM de encéfalo. A) Corte coronal. B) Corte sagital ponderado en secuencia T2 en la que se visualiza herniación de parénquima y LCR hacia la cavidad orbitaria.
INTERVENCIÓN
Se colocó al paciente en posición supina con la cabeza levemente deflexionada, utilizando un cabezal en herradura (Figuras 4 y 5). Luego de la infiltración local anestésica de la zona, se realizó una incisión bicoronal en zigzag, respetando la arteria temporal superficial. Se procedió con la disección subgaleal y se rebatió el colgajo cutáneo. Se hizo una craneotomía frontal amplia de 8 x 5 cm con drill de alta velocidad y se expuso la duramadre subyacente (Figura 6).

Figura 4. Posicionamiento del paciente.

Figura 5. Posicionamiento del paciente.

Figura 6. Agujeros de trépano parasagitales para realizar plaqueta ósea.
En el plano extradural, se realizó una leve retracción del lóbulo frontal para exponer trayecto fibroso, el cual se extendía a través del trazo fracturado hacia la cavidad orbitaria (Figuras 7 y 8). Se disecó dicho trayecto, separándolo de la grasa intraorbitaria y extrayéndolo de dicha cavidad. Luego se procedió a la sección de este, previa coagulación con pinza bipolar. Se efectuó duroplastia con parche de pericráneo y prolene 4-0. Se constató la hermeticidad de la duramadre mediante maniobras de Valsalva (Figura 9).

Figura 7. Retracción de lóbulo frontal exponiendo herniación de parénquima encefálico recubierto por duramadre.

Figura 8. Fractura en expansión que comunica cavidad orbitaria con cavidad craneal. El disector ingresa por cavidad orbitaria hacia cavidad craneal.

Figura 9. Duroplastia con parche autólogo.
Posteriormente se realizó craneoplastia del defecto óseo del techo de órbita derecho con cemento óseo, utilizando placas y tornillos reabsorbibles como método de fijación (Figura 10). Por último, se recolocó la plaqueta ósea frontal mediante el mismo método de fijación y se cerró por planos (Figura 11).

Figura 10. Craneoplastia de defecto con cemento óseo.

Figura 11. Fijación de plaqueta ósea con placas y tornillos reabsorbibles.
No presentó morbimortalidad asociada al procedimiento. En controles postquirúrgicos se constató una mejoría de la motilidad ocular, de la ptosis palpebral y la resolución del estrabismo vertical. Permaneció en seguimiento por los servicios de rehabilitación, oftalmología y neurocirugía.
DISCUSIÓN
Las fracturas de cráneo en crecimiento son una complicación infrecuente de las fracturas craneales, especialmente en los niños menores de 3 años, debido a la alta adhesividad de la duramadre al hueso y a la delgadez del espesor del cráneo en esta etapa del desarrollo.6,8,10
Los factores de riesgo identificados en la literatura incluyen: edad menor a 3 años, cefalohematoma persistente, diástasis ósea >4 mm y lesión cerebral subyacente.3.7,8,11 Nuestro paciente presentaba como factor de riesgo la edad, tratándose de un caso atípico por la localización orbitofrontal de la fractura en crecimiento, ya que la mayoría de los casos reportados afectan el hueso parietal. Las fracturas del techo orbitario constituyen una entidad extremadamente infrecuente dentro del espectro de fracturas craneales. Generalmente no se presentan de forma aislada, sino que se asocian a traumatismos de alta energía y coexisten con otras lesiones craneofaciales y neurológicas.12 Los síntomas más comunes son la equimosis periorbitaria (15.2%), el exoftalmos (12.1%) y el estrabismo ocular (10.4%), todos presentes en este paciente.12
En nuestro caso pudimos evidenciar que la fractura en expansión se produjo por un desgarro dural y la posterior formación de un trayecto fibroso, con herniación del tejido encefálico, concordando con las teorías fisiopatológicas planteadas en la bibliografía.3,5,7 Este proceso puede tardar semanas o meses en manifestarse clínicamente, en nuestro caso se presentó a los 3 meses del TEC.
El seguimiento ambulatorio del paciente permitió detectar a tiempo esta complicación y el tratamiento oportuno evitó secuelas neurológicas irreversibles.
El tratamiento quirúrgico consiste en la reparación del defecto dural (duroplastia) y la craneoplastia con el objetivo de proteger el tejido cerebral subyacente, evitar la fístula de LCR e infecciones asociadas, así como prevenir la recurrencia y lograr los mejores resultados estéticos y funcionales.6,8
CONCLUSIÓN
Presentamos un caso atípico de fractura en crecimiento de techo orbitario en un paciente pediátrico y su resolución quirúrgica. Se destaca la importancia de un diagnóstico oportuno y un correcto tratamiento, con duroplastia y craneoplastia, para evitar secuelas estéticas, neurológicas y funcionales.
Contribuciones de autoría
Conceptualización, Recursos y Validación: Dámaris Martínez, Mariela C. Salerno, Gonzalo Colombo, Bárbara Tornesello Galván. Curación de datos y Software: Dámaris Martínez, Mariela C. Salerno. Análisis formal: Gonzalo Colombo, Nicolás Tello Brogiolo. Investigación, Metodología, Administración del proyecto y Redacción - borrador original: Dámaris Martínez, Mariela C. Salerno, Gonzalo Colombo. Supervisión: Gonzalo Colombo, Nicolás Tello Brogiolo, Bárbara Tornesello Galván. Visualización: Dámaris Martínez, Mariela C. Salerno, Bárbara Tornesello Galván. Redacción - revisión y edición: Dámaris Martínez, Mariela C. Salerno, Gonzalo Colombo, Nicolás Tello Brogiolo, Bárbara Tornesello Galván.
BIBLIOGRAFÍA
COMENTARIO
Los autores presentan un caso en la población pediátrica con antecedente de traumatismo de cráneo y fractura de techo de órbita que evolucionó con expansión de dicha fractura y sintomatología oftalmológica, con una detallada descripción del cuadro clínico, imágenes diagnósticas y procedimiento quirúrgico realizado. Logran de manera adecuada exponer paso a paso el acto quirúrgico, indicando maniobras, técnicas y material utilizado.
Esta patología, como dicen los autores y confirma la bibliografía, es de prevalencia casi exclusiva de la edad pediátrica, dado principalmente por la fuerza que tiene el latido cerebral en plena etapa de crecimiento, lo que lleva, en última instancia, al aumento progresivo del defecto dural y óseo.
Dentro de las complicaciones postoperatorias, la más frecuente es la fístula de líquido cefalorraquídeo, por lo que, en casos seleccionados, nuestra experiencia con la colocación de un drenaje lumbar externo en forma transitoria nos ha brindado excelentes resultados tanto en el acto quirúrgico (menor retracción cerebral) como en disminuir la incidencia de fístula.
En cuanto al cierre dural realizando plástica, en mi formación siempre nos recomendaron hacerla desde el espacio intradural, lo que brinda mayor acceso a todos los márgenes del defecto, y por supuesto, si es posible con material autólogo. Sin embargo, existen muy buenos resultados por vía extradural.
Por último, de acuerdo al tamaño del defecto y cuan posterior en relación al techo de la órbita se encuentra, hay que considerar en estos tiempos de mínima invasividad, el abordaje superciliar tan bien desarrollado para patología de base de cráneo.
Gaston Dech
División Neurocirugía, Hospital General de Niños “Ricardo Gutiérrez”, Ciudad de Buenos Aires, Argentina