REV ARGENT NEUROC. VOL. 33, N° 3: 52-55 | 2019
ARTÍCULO ORIGINAL


Cirugía mínimamente invasiva en el tratamiento de fracturas tóracolumbares

Alfredo Guiroy1, Federico Landriel2, Alejandro Morales Ciancio1, Santiago Hem2, Alfredo Sícoli1, Nicolás Gonzalez Masanés1, Martín Gagliardi1, Claudio Yampolsky2
1Unidad de Patología Espinal, Hospital Español de Mendoza. Mendoza, Argentina.
2Servicio de Neurocirugía, Hospital Italiano de Buenos Aires. Buenos Aires, Argentina.


RESUMEN
Objetivo: Analizar y describir una serie de fracturas tóraco-lumbares traumáticas tratadas con cirugía mínimamente invasiva.
Material y métodos: Analizamos una serie de 26 pacientes con fracturas traumáticas tóraco-lumbosacras entre 2010-2017. Las imágenes pre-operatorias fueron clasificadas usando la clasificación AO. Analizamos en forma pre y post operatoria: escala visual analógica, volumen de pérdida sanguínea, duración de la hospitalización, complicaciones, cirugías asociadas en otros órganos, extracción de implantes en el largo plazo, estado neurológico pre y post quirúrgico y mortalidad.
Los pacientes con historias clínicas completas, TAC pre-operatoria y un seguimiento mínimo de 12 meses fueron incluidos (18 hombres y 8 mujeres). La edad promedio fue de 28.7 años (21-84 años); seguimiento promedio de 28 meses (13-86 meses). Dieciocho pacientes fueron manejados con instrumentaciones percutáneas, 8 recibieron vertebroplastias, y en 5 casos se realizó además algún gesto de artrodesis.
Resultados: La EVA mejoró 7 puntos promedio respecto al pre-operatorio; el promedio de sangrado fue de 40 mL, no observamos ningún caso de empeoramiento neurológico. La duración promedio de la hospitalización fue de 3.9 días. Cuatro enfermos necesitaron alguna cirugía en otro órgano producto de sus politraumatismos.
Los tornillos percutáneos fueron removidos en 9 casos luego de la consolidación. Como complicaciones tuvimos: 1 hematoma retroperitoneal autolimitado, una fractura pedicular y una cánula de cementación rota adentro de un pedículo.
Conclusión: La cirugía mínimamente invasiva en trauma espinal es una alternativa válida que permite estabilización, movilización precoz y logra buenos resultados en términos de control del dolor con baja tasa de complicaciones.

Palabras Clave: Cirugía Espinal Mínimamente Invasiva; Fractura Tóracolumbar; Columna Tóracolumbar; Trauma Espinal; Cirugía de Control de Daño; Control de Daño

ABSTRACT
Objective: To analyze and describe a series of trauma-related thoraco-lumbo-sacral vertebral fractures managed with minimally invasive surgery.
Methods: We retrospectively review the charts and images of 26 patients with thoracolumbar spine fractures between 2010-2017. Pre-op images were assessed and fractures were classified according to the thoraco-lumbar trauma AO Spine classification. We analyzed pre and post-surgical visual analog scale (VAS), blood loss during surgery, hospital length of stay, complications, associated surgical procedures, long term post-op implant removal, pre and post neurological status and mortality.
Patients with a complete case record, pre-op CT scans and minimum 12-month follow up were included (18 males and 8 females). Mean age was 28.7 years (21-84 years); mean post-op follow up was 28 month (13-86 months). Eighteen patients were managed with percutaneous instrumentation, 8 patients also received percutaneous vertebroplasty, and 5 patients underwent also some arthrodesis procedure.
Results: VAS improved 7 points as compared to the pre-op score; mean blood loss was 40 mL, we did not observed any neurological deficit worsening. Mean hospital length of stay was 3.9 days. Four patients needed surgical procedures involving other organs due to politrauma.
Percutaneous screws were removed in 9 cases after fracture consolidation. Complications were: one case of self-limiting retroperitoneal hematoma, one case of pedicle screw fracture and one cement broken cannula into the pedicle.
Conclusion: Minimally invasive surgery in spine trauma is a valid option allowing stabilization, early mobilization, and leading to good outcomes in terms of pain control and a lower complication rate.

Key Words: Minimally Invasive Spine Surgery; Thoracolumbar Fracture; Thoracolumbar Spine; Spine Trauma; Damage Control; Damage Control Surgery


Alfredo Guiroy
alfreguiroy@gmail.com
Recibido: Junio de 2019. Aceptado: Junio de 2019.


INTRODUCCIÓN
El traumatismo raquimedular constituye una causa frecuente de mortalidad e invalidez, siendo la tercera causa de muerte en pacientes menores de 40 años. La gravedad de las lesiones depende en gran medida de la región de la columna afectada y del tipo de lesión. Alrededor del 6% de los pacientes con politraumatismos presentan lesiones espinales asociadas, y el 50% de estos casos tienen algún déficit neurológico.9 En ocasiones se presenta en contexto de politraumatismos graves, en los cuales se aplica el concepto de “control de daño” que permite estabilizar las lesiones más graves y diferir el tratamiento definitivo.13
El objetivo de este trabajo es analizar y describir una serie de casos de fracturas vertebrales tóracolumbosacras traumáticas tratadas con cirugía mínimamente invasiva.

MATERIAL Y MÉTODOS
Se analizaron retrospectivamente las historias clínicas de 26 pacientes tratados por traumatismos raquimedulares tóraco-lumbosacros entre 2010 y 2017 con cirugías mínimamente invasivas en dos instituciones (Hospital Español de Mendoza y Hospital Italiano de Buenos Aires). Se evaluaron las imágenes preoperatorias y se clasificó a las fracturas siguiendo la clasificación de trauma tóraco-lumbar de AO Spine.15
Se evaluaron las siguientes variables: escala visual analógica pre y post operatoria (EVA), volumen de pérdida sanguínea quirúrgica, días de internación, complicaciones, procedimientos quirúrgicos asociados, retiro de implantes en el postoperatorio alejado, estado neurológico pre y postoperatorio y mortalidad. Se incluyeron los pacientes con anamnesis completa, imágenes de tomografía pre-quirúrgica y seguimiento mínimo de 12 meses. De los 26 pacientes, 18 fueron hombres. La edad promedio fue de 28.7 años (21-84 años). El seguimiento postoperatorio promedio fue de 28 meses (13-86 meses). Dieciocho pacientes fueron tratados con instrumentaciones percutáneas, 8 pacientes se complementaron con una cementación percutánea y en 5 casos se realizó además algún procedimiento de artrodesis (ver caso 1 -figs. 1, 2 y 3; y caso 2- figs. 4, 5, 6 y 7).


Figura 1:
Caso 24. Hombre 21 años con politraumatismo por accidente vial. A y B: Fractura del cóndilo occipital izquierdo. C: Fractura expuesta del húmero izquierdo y clavícula. D: Contusión pulmonar más hemotórax derecho.


Figura 2:
Caso 24. A y B: Fractura horizontal que compromete cuerpo, pedículo izquierdo y apófisis espinosa de L1 (L1: B1; N1 AOSpine). C y D: Estabilización percutánea T12-L2.


Figura 3:
Caso 24. A: Fractura L1: B1; N1. B: Control 7 meses que evidencia consolidación. C y D: Retiro de osteosíntesis a los 9 meses con buena movilidad en las radiografías dinámicas de control.


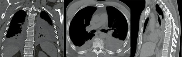
Figura 4:
Caso 8. Hombre de 52 años, accidente vehicular de alta energía cinética. Fractura cerrada de antebrazo, síndrome de distrés respiratorio, hemotórax bilateral, hematocrito en descenso. Se diagnostico una fractura A4 de T8 con mínimo compromiso del canal espinal, posición en cifosis y hemotórax bilateral a predominio izquierdo.


Figura 5:
Caso 8. Se realizó una estabilización percutánea T6-T10. El paciente retornó a UTI, para estabilizar su cuadro respiratorio y hemodinámico.


Figura 6:
Caso 8. A la semana de la primer cirugía el paciente se encontraba en condiciones y se realizó la corpectomía por via lateral MIS.


Figura 7:
Caso 8. Control postoperatorio alejado del paciente con un buen callo de fusión, sin pérdida de corrección.

RESULTADOS
La EVA mejoró en promedio 7 puntos en relación al preoperatorio, el volumen promedio de sangrado fue de 40 ml, el déficit neurológico no empeoró en ningún paciente. La estadía hospitalaria promedio fue de 3.9 días. Cuatro pacientes requirieron cirugías en otros órganos producto de sus politraumatismos. Según la clasificación AO 9 casos fueron fracturas A4, 4 A3, 2 A2, 4 A1, 1 disociación lumbo-pélvica y 5 B1. En 9 casos se retiraron los tornillos percutáneos luego de la consolidación de la fractura (tabla 1).

Tabla 1: Datos demográficos de la población estudiada

Clasificación AO Spine Edad Sexo ASIA Procedimiento Internación (días) Retiro de implantes EVA pre EVA post
1 T12 A2 43 F E Percutáneo T11-L1 + cifoplastia T12 1 12 m 8 2
2 L1 A1 31 M E Percutáneo T12-L2 1 18 m 9 0
3 T12 A1 32 M E Percutáneo T11-L1 + cifoplastia T12 1 12 m 9 0
4 L2 A1 56 M E Percutáneo L1-L3 + cifoplastia 1 24 m 9 0
5 L3 A4 34 M E Percutáneo L2-L4 15 No 9 1
6 L4 A4 29 F D Percutáneo L3-L5 + descompresión MIS 2 No 9 0
7 Disociación LP 41 M E Percutáneo L4-ilíaco 4 8 m 9 1
8 T8 A4 52 M E Percutáneo T6-T10 + corpectomía MIS  7 No 9 3
9 L1 A1 71 M E Percutáneo T12-L2 + cifoplastia 3 No 8 2
10 L2 A2 34 M E Percutáneo L1-L3 + DLIF L1-L2, L2-L3 2 No 8 0
11 L2 A3 24 M E Percutáneo L1-L3 2 12 m 9 0
12 L4 A4 84 M E Percutáneo L3-L5 + cifoplastia  2 No 9 3
13 L1 A3 56 F E Percutáneo T12-L2 1 No 7 2
14 L1 A4 41 M E Percutáneo T10-L3 + corpectomía MIS  3 12 m 10 2
15 T11 A3 57 M E Percutáneo T10-T12 2 No 9 2
16 T12 A4 67 F E Percutáneo T10-L2 2 No 9 7
17 L3 A4 50 M E Percutáneo L1-L5 10 12 m 8 4
18 L1 A4 33 F E Percutáneo T12-L2 + corpectomía MIS 5 No 10 3
19 T12-L1 B1 53 F E Percutáneo T10-L2 3 No 9 2
20 T9 A4 66 F E Percutáneo T7-T11 + cifoplastia T9 4 No 7 0
21 T9-T10 B1 24 M E Percutáneo T6-T11 + Mesh 5 No 9 2
22 T12-L1 B1 40 M E Percutáneo T12-L2 + cifoplastia L1 3 No 8 1
23 L1 A3 32 M E Percutáneo T12-L2 8 No 4 0
24 T12-L1 B1 21 M E Percutáneo T12-L2 8 9 m 8 1
25 T12-L1 B1 54 F E Percutáneo T11-L3 + vertebroplastia L1 3 No 8 2
26 L3 A3, L1 A1 69 M E Percutáneo T12-L4 4 No 9 0


Como complicaciones tuvimos un hematoma retroperitoneal autolimitado, un caso de fatiga del material de osteosíntesis y la ruptura de una cánula de cementación. No tuvimos ningún caso de mortalidad.

DISCUSIÓN
Sumado al gran impacto personal y familiar, los traumatismos raquimedulares suponen un alto gasto económico al sistema de salud por generar tasas muy elevadas de invalidez y mortalidad. Según datos de Estados Unidos, la atención de pacientes con traumas raquimedulares agudos y crónicos cuesta anualmente unos 10.000 millones de dólares.11
La atención inicial consiste en la estabilización hemodinámica del paciente, el diagnóstico precoz de lesiones por sospecha clínica y la comprobación de las mismas con estudios de imágenes.13
La presencia de déficit neurológico secundario a traumatismos vertebrales se asocia frecuentemente a lesiones en otros órganos lo cual a su vez determina una mortalidad aumentada.9
Desde el punto de vista terapéutico suponen urgencias quirúrgicas y requieren descompresiones medulares o radiculares precoces. La demora en la descompresión neurológica supone un peor pronóstico de recuperación.8
En los pacientes con traumatismos raquimedulares sin déficits neurológicos la necesidad de cirugía se define según la estabilidad de las fracturas, alineación, comorbilidades y características propias de cada paciente (ej: obesidad mórbida, enfermedades respiratorias restrictivas, patologías psiquiátricas, contexto de politraumatismos, etc.).
La estabilidad espinal responde a la capacidad de la columna de soportar las cargas fisiológicas en reposo y en movimiento. La inestabilidad es la pérdida de esta capacidad, e incluye a un espectro de lesiones.
Denis et al. dividieron a la columna vertebral biomecánicamente como conformada por “tres columnas”. La “columna anterior”, que incluye al ligamento longitudinal anterior, la mitad anterior del disco y la mitad anterior del cuerpo vertebral. La “columna media”, que incluye al ligamento longitudinal posterior, la mitad posterior del cuerpo y el disco y la “columna posterior” que incluye al arco óseo posterior (pedículos, facetas, láminas) y al complejo ligamentario posterior (ligamento amarillo, interespinoso y supraespinoso).4 La alteración en dos o más de estas “columnas de Denis” reconoce a una lesión como inestable. Sin embargo, algunas lesiones se definen como inestables al someter la columna a cargas, y es típico que los pacientes refieren dolor cuando se movilizan que les alivia en situación de reposo.10,17
En las fracturas estallido tóraco-lumbares que no presentan déficit neurológico, daño ligamentario ni componentes de traslación-rotación, el tratamiento conservador es una opción. Este se realiza mediante la colocación de ortesis externas, siendo el corset tipo TLSO (thoraco-lumbar sacral orthesis) el más utilizado. El éxito de este tipo de tratamiento depende de múltiples factores (grado de cifosis, conminución de los fragmentos, grado de estenosis del canal, adherencia del paciente a la utilización permanente del corset, etc.).5
El curso clínico de los politraumatizados depende de tres factores predominantes: el primero es el daño inicial generado por el trauma (carga traumática), el segundo es la biología individual de cada paciente en respuesta al traumatismo, y el tercero es el tipo de tratamiento (carga quirúrgica). El único factor que podemos modificar es el último, por lo cual la decisión de realizar cirugía en estos pacientes debe ser muy bien meditada. Mientras más comprometido es el estado de un paciente, más cuidadoso se debe ser en la indicación de un procedimiento.
El principio de “control de daño” se basa en minimizar el impacto que puede generar una cirugía y la reacción inflamatoria que esta genera en un paciente lábil, y se reserva para los pacientes “border line” según los criterios de Hannover.8
La cirugía de columna tomó el concepto de control de daño aplicado hace muchos años primero por los cirujanos abdominales ante lesiones múltiples y luego por la traumatología en las lesiones de las extremidades. La introducción de la cirugía mínimamente invasiva espinal, utilizada a diario para las patologías degenerativas, comenzó a utilizarse para las patologías traumáticas.3,12
Este tipo de cirugía permite colocar tornillos transpediculares en forma percutánea, y unir los mismos mediante barras de titanio. Esto cumple la función de “tutor interno”, que estabiliza en forma inmediata la lesión, permitiendo la movilización, aliviando el dolor y logrando un ambiente propicio para la consolidación de las fracturas.
El avance de la tecnología en los implantes, permite en la actualidad realizar maniobras de distracción y compresión sobre los tornillos, logrando mejores correcciones en los planos sagital y coronal, y posibilita en algunos casos realizar una “descompresión indirecta” del canal espinal mediante el fenómeno de “ligamentotaxis”.1
La inmovilización en cama en los pacientes politraumatizados es un reconocido factor de mal pronóstico, que aumenta las intercurrencias y la mortalidad. La movilización precoz reduce estas complicaciones.8
La estabilidad lograda permite la movilización inmediata de estos pacientes que habitualmente pasan estadías prolongadas en las unidades de cuidados intensivos y requieren múltiples intervenciones en otros órganos sin riesgo de daño neurológico.
En casos seleccionados, en los cuales se requiere artrodesis, se puede realizar la misma en forma diferida por abordajes anteriores o laterales a la columna tóraco-lumbar. En muchos casos estos abordajes también pueden ser mínimamente invasivos.
Una vez consolidada la fractura la osteosíntesis puede ser retirada también mediante un abordaje de mínima invasión, que suele realizarse en forma ambulatoria.1
Numerosas publicaciones compararon los resultados de diferentes tratamientos en fracturas estallido en pacientes sin déficit neurológicos. El tratamiento con estabilización percutánea ofrece mejores resultados en términos de satisfacción del paciente y retorno a las actividades laborales que el tratamiento conservador, aunque este último ofrece buenos resultados en pacientes sin politraumatismos. En pacientes con traumatismos múltiples el tratamiento de estabilización percutánea es superior, al aportar estabilidad inmediata y permitir una movilización precoz.2,15
En nuestra serie encontramos resultados similares a los reportados en la literatura, con bajo índice de complicaciones, hospitalizaciones más cortas y resultados a largo plazo comparables con las técnicas abiertas.6,14,16

CONCLUSIÓN
La cirugía mínimamente invasiva en traumatismos raquimedulares es una alternativa válida que permite una estabilización precoz, posibilitando la movilización temprana de los pacientes, con buenos resultados en términos de control del dolor y bajo índice de complicaciones.


BIBLIOGRAFÍA

  1. Alander D, Cui S. Percutaneous pedicle screw stabilization: surgical technique, fracture reduction, and review of current spine trauma applications. J Am Acad Orthop Surg 2018; 0:1-10.
  2. Bakhsheshian J, Dahdaleh N, Fakurnejad S, Scheer J, Smith Z. Evidence-based management of traumatic thoracolumbar burst fractures: a systematic review of nonoperative management. Neurosurg Focus 2014; 37 (1):E1.
  3. Bose D, Tejwani NC. Evolving trends in the care of polytrauma patients. Injury, Int. J. Care Injured 2006; 37, 20-28.
  4. Denis F. The three column spine and its significance in the classification of acute thoracolumbar spinal injuries. Spine (Phila Pa 1976) 1983;8:817–831.
  5. Hitchon P, Abode-Iyamah K, Dahdaleh N, Shaffrey C, Noeller J, He W, Moritani T. Nonoperative management in neurologically intact thoracolumbar burst fractures: clinical and radiographic outcomes. Spine 2016;41:483–489.
  6. Laghmouche N, Prost S, Farah K, Graillon T, Blondel B, Fuentes S. Minimally invasive treatment of thoracolumbar flexion-distraction fracture. Orthop Traumatol Surg Res. 2019 Apr;105(2):347-350.
  7. Landi A, Marotta N, Mancarella C, Meluzio M, Pietrantonio A, Delfini R. Percutaneous short fixation vs conservative treatment: comparative analysis of clinical and radiological outcome for A.3 burst fractures of thoraco-lumbar junction and lumbar spine. Eur Spine J 2014; 23 (Suppl 6):S671–S676.
  8. Pape HC, Giannoudis P, Krettek C. The timing of fracture treatment in polytrauma patients: relevance of damage control orthopedic surgery. The American Journal of Surgery 183. 2002; 622–629.
  9. Pape H et al. The poly-traumatized patient with fractures: a multi-disciplinary approach. 2016. Springer-Verlag Berlin Heidelberg. DOI 10.1007/978-3-662-47212-5_14.
  10. Resnik DK, Weller SJ, Benzel EC. Biomechanics of the thoracolumbar spine. Neurosurg Clin North Am 8:455-469, 1997.
  11. Rodríguez Boto G, Vaquero Crespo J. Traumatismo raquimedular. Pág 1-2. ISBN 978-84-7978-905-3.
  12. Scalea TM, Boswell SA, Scott JD, et al. External fixation as a bridge to intramedullary nailing for patients with multiple injuries and with femur fractures: damage control orthopaedics. J Trauma 2000;48: 613–23.
  13. Stahel P, VanderHeiden T, Flierl M, Matava B, Gerhardt D, Bolles G, Beauchamp K, Burlew C, Johnson J, Moore E. The impact of a standardized ‘‘spine damage-control’’ protocol for unstable thoracic and lumbar spine fractures in severely injured patients: A prospective cohort study. J Trauma Acute Care Surg 590 Volume 74, Number 2.
  14. Tian F, Tu LY, Gu WF, Zhang EF, Wang ZB, Chu G, Ka H, Zhao J. Percutaneous versus open pedicle screw instrumentation in treatment of thoracic and lumbar spine fractures, a systematic review and metaanalysis. Medicine (Baltimore). 2018 Oct; 97(41):e12535.
  15. Vaccaro A, Oner C, Kepler C, Dvorak M, Schnake K et al. AOSpine Thoracolumbar Spine Injury Classification System. Spine 2013;38:2028–2037.
  16. Wang X, Liu Y, Wang X, Chen H, Cao P, Tian Y, Wu X, Chen Y, Yuan W. Beneficial effects of percutaneous minimally invasive surgery for patients with fractures in the thoracic spine. Exp Ther Med. 2018 Dec;16(6):5394-5399.
  17. Yaszemski MJ, White AA, Panjabi MM. Biomechanics of the spine. En: Fardon DF, Garfin SR, Abitbol J-J, Boden SD, Herkowitz HN, Mayer TG (Eds.), Orthopaedic Knowledge Update: Spine 2, American Academy of Orthopaedic Surgeons, Illinois, 2002, pp. 15-23, Cap. 3.

COMENTARIO
La cirugía mínimamente invasiva de columna para tratar fracturas tóraco lumbares en pacientes politraumatizados es un gran avance en la Cirugía de Columna
Como describen los autores, este tipo de tratamiento selectivamente indicado (es clave la elección del paciente) permitirá disminuir la morbimortalidad del paciente politraumatizado.
La cirugía poco agresiva en un paciente lábil sumado a la rápida estabilización de la columna permitirá un tratamiento global más seguro y completo.
Felicito a los Autores por este excelente y muy útil artículo.

Ramiro Gutiérrez
Clínica Guemes. Luján, Buenos Aires, Argentina.


COMENTARIO
Los autores, describen la utilización de técnicas mínimamente invasivas en la resolución de 26 casos de fracturas vertebrales toracolumbosacras.
Dichas técnicas permiten realizar una estabilización en pacientes criticos, que frecuentemente poseen lesiones asociadas, producto de traumatismos de alto impacto, por lo cual la mínima agresión y temprana estabilización podría ofrecer importantes beneficios para una pronta movilización y prevención de potenciales complicaciones, mejorando el pronóstico y así adelantar el tratamiento de rehabilitación. Sería interesante ver resultados a largo plazo y eventualmente realizar estudios comparativos con técnicas convencionales, de todas maneras, me permito felicitar a los autores por la amplia serie de casos expuestos y los excelentes resultados.

Orellana Marcelo
Hospital “El Cruce”, Florencio Varela, Buenos Aires, Argentina.