Manejo quirúrgico de cavernomas de tallo cerebral: descripción de una serie de casos
Andrés Ordoñez Ruiz1, Maby Andrea Alvear Muñoz2, Victor Hugo Bastos Pardo1
1Servicio de Neurocirugía. Hospital Universitario Nacional. Universidad Nacional de Colombia. Bogotá. Colombia.
2Facultad de Ciencias de la Salud. Universidad del Cauca. Popayán. Colombia.
Recibido: octubre 2023. Aceptado: enero 2024
Andrés Ordoñes Ruiz.
andresr21109@gmail.com
DOI: 10.59156/revista.v38i01.548
Orcid ID:
Andrés Ordoñez Ruiz: 0000-0001-5588-2694
Maby Andrea Alvear Muñoz: 0000-0002-0337-8557
Victor Hugo Bastos Pardo: 0000-0002-7595-4744
RESUMEN
Introducción: Los cavernomas o angiomas cavernosos son un tipo de complejas lesiones vasculares; su localización particular en el tronco encefálico representa un reto para el abordaje quirúrgico dadas sus características anatómicas y funcionales. Los avances en microcirugía y las técnicas de neuroimágenes intraoperatorias han permito cada vez mayor entendimiento de esta patología como también mejores resultados clínicos.
Objetivo: Describir los aspectos clínicos y las imágenes, y resaltar los principales aspectos quirúrgicos tenidos en cuenta en nuestra experiencia para el abordaje de esta compleja patología.
Material y métodos: Se realizó una revisión retrospectiva de nuestra base de datos, identificando aquellos pacientes intervenidos por vía microquirúrgica, con resección de cavernomas del tronco cerebral entre los años 2005-2022, en el Hospital Universitario Nacional, de la Universidad Nacional de Colombia, Bogotá, Colombia, discriminando características relevantes a nivel clínico y quirúrgico.
Resultados: Se identificaron un total de 7 pacientes intervenidos por vía microquirúrgica para la resección de cavernomas del tronco encefálico. La edad media de pacientes intervenidos fue de 33 años, con predominio de género masculino; el tipo de abordaje fue determinado de acuerdo a la localización de la lesión a nivel del tallo cerebral, como también por su relación con superficies ventriculares o piales. La mayoría de los pacientes presentaron adecuada evolución clínica durante el seguimiento.
Conclusión: Los cavernomas del tronco son patologías vasculares cerebrales desafiantes; su abordaje quirúrgico requiere grupos multidisciplinarios con experiencia en el manejo de la patología. La adecuada selección del paciente y la disponibilidad de recursos tecnológicos resultan ser aspectos de relevancia para obtener las mejores evoluciones funcionales de nuestros pacientes.
Palabras clave: cavernoma; malformaciones vasculares cerebrales; microcirugía vascular; tronco cerebral.
Surgical Management Of Brainstem Cavernomas: Cases Description
SUMMARY
Background: Cavernomas or cavernous angiomas are a type of complex vascular lesions; Its particular location in the brainstem represents a challenge for the surgical approach given its anatomical and functional characteristics. Advances in microsurgery and intraoperative neuroimaging techniques have allowed an increasing understanding of this pathology as well as better clinical results.
Objective: To describe the clinical aspects and images, and highlight the main surgical aspects taken into account in our experience to address this complex pathology.
Methods: A retrospective review of our database was carried out, identifying those patients who underwent microsurgical surgery, with resection of cavernomas of the brain stem between the years 2005-2022, at the National University Hospital, of the National University of Colombia, Bogotá, Colombia, discriminating relevant characteristics at a clinical and surgical level.
Results: A total of 7 patients who underwent microsurgical surgery for the resection of brainstem cavernomas were identified. The average age of patients operated on was 33 years, with a predominance of males; The type of approach was determined according to the location of the lesion at the level of the brain stem, as well as its relationship with ventricular or pial surfaces. The majority of patients presented adequate clinical evolution during follow-up.
Conclusion: Brainstem cavernomas are challenging vascular pathologies; its surgical approach requires multidisciplinary groups with experience in the management of the pathology. Adequate patient selection and the availability of technological resources turn out to be relevant aspects to obtain the best functional evolution of our patients.
Keywords: brainstem; cavernomas; vascular malformations; vascular microsurgery.
INTRODUCCIÓN
Los cavernomas o angiomas cavernosos son un tipo de malformaciones vasculares (MV) descritas inicialmente por McCormick, las cuales representan el 5-13% de MV cerebrales. Estas lesiones se pueden localizar a lo largo de todo el neuroeje, sin embargo, la localización en el tronco cerebral no es despreciable y representa un 15-35%.
Las consideraciones anatómicas, funcionales y quirúrgicas de la localización de un cavernoma en el tallo cerebral hizo que durante largo tiempo se consideraran lesiones inoperables. Sin embargo, el entendimiento de la microanatomía de esta región sumado a los avances en las neuroimágenes y la microcirugía permitió que en la actualidad se consideren lesiones que pueden ser abordadas de forma quirúrgica. Los avances en el campo de la radiocirugía no han demostrado gran impacto en el pronóstico de estos pacientes, por lo cual el manejo quirúrgico continúa siendo la opción terapéutica con resultados más sólidos.
Se presenta una serie de casos de siete pacientes, intervenidos por el autor senior (tercer autor), se discuten aspectos relacionados con la planeación prequirúrgica, la técnica intraoperatoria y el desenlace clínico. La indicación de cirugía cumplió las siguientes condiciones: paciente con déficit neurológico producto del sangrado del cavernoma y parte o la totalidad de la lesión cerca de la superficie pial.
OBJETIVO
Realizar una descripción de los aspectos de relevancia clínicos, imágenes diagnósticas, planeación, abordaje quirúrgico y complicaciones, así como la evolución a largo plazo.
MATERIALES Y MÉTODOS
Se realizó una revisión retrospectiva de la base de datos del Servicio de Neurocirugía de la Universidad Nacional de Colombia desde el año 2005 a 2022, registrando aspectos demográficos (edad, sexo), las características de la lesión (ubicación, sangrado), manifestaciones clínicas, hallazgos en imágenes, consideraciones quirúrgicas (abordajes, complicaciones), morbimortalidad en el seguimiento de los pacientes según la escala de resultados de Glasgow (GOSE) (:1 sin déficit neurológico, 2: déficit leve que no le impide trabajar, 3: déficit que le impide trabajar pero es totalmente independiente en su funciones básicas, 4: dependiente en su funciones básicas, 5: muerte).
RESULTADOS
Se intervinieron quirúrgicamente 7 pacientes con cavernomas del tronco cerebral: 5 hombres y 2 mujeres; la edad se encontró en un rango entre 9 y 52 años, edad media de 33 años, 2 pacientes presentaron edad inferior a 20 años.
Las manifestaciones clínicas de los pacientes fueron muy variadas, de las cuales es importante resaltar el vértigo y la diplopía como los motivos de consulta más frecuentes. También se encontró déficit motor unilateral, parálisis del tercer par completa. Dos pacientes presentaron oftalmoplejía internuclear de rápida aparición como manifestación de su enfermedad. En la totalidad de pacientes valorados no se conocía la presencia de la enfermedad previamente, por lo que se consideró primer sangrado con impacto clínico.
Se encontraron 2 lesiones circunscritas en el mesencéfalo, 2 lesiones pontinas, 2 cavernomas presentaron localización pontomesencefálica, siendo éstas, de mayor extensión y en 1 caso se identificó localización bulbar (Tabla 1).
Tabla 1: Características demográficas y clínicas de la población estudiada.
Paciente |
Edad |
Sexo |
Ubicación |
Sangrado previo |
Sintomatología |
1 |
9 |
M |
Mesencefalo |
No |
- Vértigo |
- Plejia de III par craneano |
|||||
- Ataxia |
|||||
2 |
35 |
F |
Medula oblonga |
No |
- Dolor cervical |
- Hemi hipoestesia izquierda |
|||||
- Paresia de mano izquierda |
|||||
3 |
45 |
M |
Puente |
No |
- Diplopia |
- Hemiparesia izquierda |
|||||
4 |
45 |
M |
Mesencefalo |
No |
- Diplopia |
- Alteración de sensibilidad témica en hemicuerpo izquierdo |
|||||
- Oftalmoplejia internuclear |
|||||
5 |
12 |
F |
Puente |
No |
- Hemiparesia izquierda súbita |
- Paralisis del VI par izquierdo |
|||||
6 |
36 |
M |
Ponto-Mesencefalico |
No |
- Vértigo |
- Nistagmus vertical |
|||||
7 |
52 |
M |
Ponto-Mesencefálico |
No |
- Ataxia troncular súbita |
- Disartria |
|||||
- Hemiparesia izquierda |
|||||
- Oftalmoplejia internuclar |
El abordaje utilizado para 2 casos con cavernomas ubicados en la región mesencefálica dorsal, relacionados con la lámina cuadrigémina, fue supracerebeloso infratentorial. En un caso de una lesión pontomesencefálica extensa se consideró dicho abordaje por la relación estrecha con los colículos inferiores, permitiendo un abordaje intralesional caudal. El otro cavernoma pontomesencefálico con una predominante localización requirió la realización de un abordaje orbitocigomático.
En el caso de los 2 cavernomas localizados en el puente, el abordaje considerado fue suboccipital lateral retrosigmoideo, el cual permite un canal de trabajo apropiado a lesiones que presentan una lateralización y una relación estrecha con la superficie pial de la protuberancia. En el caso del cavernoma del aspecto posterior del bulbo raquideo, se realizó un abordaje suboccipital medial.
Las cirugías se efectuaron entre la segunda y tercer semana después del sangrado, excepto en el paciente del cavernoma pontomesencefálico anterior en el que se hizo el abordaje orbitocigomático cuatro semanas después, mientras mejoraba su condición clínica.
Los tres primeros pacientes fueron intervenidos antes del año 2008, época en la que no disponíamos de neuronavegación, lo que hizo necesario guiar la cirugía con la imagen de resonancia y el conocimiento de la anatomía microquirúrgica, logrando llegar al objetivo sin dificultad en todos los casos (un cavernoma en mesencéfalo posterior, otro en el puente lateral y otro en el bulbo raquídeo).
En 4 de los casos se dispuso de neuronavegación para la localización intraoperatoria. Se usó navegación óptica con fiduciales. Sin embargo, en uno de los casos de cavernoma pontomesencefálico el registro fue fallido, continuando el abordaje supracerebeloso infratentorial lateral orientado por la resonancia previa y la anatomía microquirúrgica, no logrando encontrar la lesión. Como complicación se produjo hipertensión de la fosa posterior que requirió ventriculostomía externa. Evolucionó con ataxia de tronco y oftalmoplejía internuclear, ambos síntomas transitorios. Este paciente fue seguido durante 4 meses quedando pendiente de reintervención por presencia de lesión residual.
En los dos casos más recientes (años 2021 y 2022) se contó con monitoreo neurofisiológico con potenciales evocados somatosensoriales y motores, y en el más reciente con resonancia y tractografía previa con lo que pudimos planificar el punto de entrada al tallo cerebral, respetando las fibras de los tractos cortico espinales.
Una vez que se identificó el punto de entrada en las lesiones intervenidas, con la ayuda de los dispositivos previamente descritos y con la visualización de las estructuras anatómicas, se realizó una incisión de 3 a 5 mm en puntos de seguridad de entrada, que se encontraran adyacentes al grueso de la lesión, logrando la identificación de la misma, el drenaje de la hemorragia perilesional y la resección de la malformación cavernosa. Todos los cavernomas estaban rodeados de tejido gliótico y ninguno se asoció a anomalía del desarrollo venoso.
Los resultados clínicos postquirúrgicos fueron variables. En 6 de los 7 pacientes se produjo empeoramiento del déficit motor o aparición de un nuevo déficit neurológico producto de la cirugía, los cuales fueron transitorios, presentando recuperación durante el seguimiento.
En 1 paciente con cavernoma de mesencéfalo se presentó hidrocefalia aguda prequirúrgica por obstrucción del acueducto de Silvio que requirió tercer ventriculostomía endoscópica; en otro caso, también de cavernoma en mesencéfalo, la hidrocefalia obstructiva ocurrió 24 horas después de cirugía, requiriendo realización de tercer ventriculostomía endoscópica de emergencia.
El seguimiento clínico y de imágenes fue largo en la mayoría de los pacientes: paciente 1, 5 años; paciente 2, 12 años; paciente 3, 7 años; paciente 4, 10 años; paciente 5, 3 años; paciente 6, 4 meses; paciente 7, 6 meses.
Se logró resección total de la lesión en 5 de los casos. A los 6 años de cirugía, ocurrió nueva hemorragia en el caso del paciente con cavernoma del bulbo raquídeo que requirió reintervención, logrando resección total y seguimiento durante 12 años. En otro paciente no se resecó la lesión por falla en la neuronavegación y está pendiente de nueva cirugía. Se aplicó la Escala de Resultados de Glasgow (GOSE por sus siglas en inglés) en la última valoración clínica realizada a cada paciente, encontrando los siguientes resultados: el paciente 1 obtuvo un puntaje de 2 dado por plejía del III par izquierdo; el paciente 2 obtuvo un puntaje de 2 por una leve paresia en la mano izquierda y leve hipoestesia en hemicuerpo izquierdo, los pacientes 3 y 4 obtuvieron un puntaje de 1; el paciente 5 obtuvo un puntaje de 2 por plejía en el VI par derecho; el paciente 6 obtuvo un puntaje de 3 (sólo 4 meses de seguimiento postquirúrgicos hasta la fecha); el paciente 7, un puntaje de 1 (Tabla 2).
Tabla 2: Abordaje quirúrgico y seguimiento de la población estudiada.
Paciente |
Abordaje quirúrgico de elección |
Complicaciones |
Resección total |
GOSE |
Seguimiento en años |
|
1 |
- Supracerebeloso infratentorial medial |
- |
- Si |
- 2 |
- 5 |
|
2 |
- Abordaje suboccipital medial |
- Resangrado 6 años después requiriendo re intervención |
- No |
- 2 |
- 12 |
|
3 |
- Abordaje subocipital retrosigmoideo |
- Empeoramiento postquirúrgico transitorio de déficit motor |
- Si |
- 1 |
- 7 |
|
- Parálisis facial periférica derecha transitoria |
||||||
4 |
- Abordaje supracerebeloso infratentorial |
- Hidrocefalia aguda, requirió realización de tercer ventriculostomia endoscópica |
- Si |
- 1 |
- 10 |
|
- Infarto venoso vermiano |
||||||
- Cuadriparesia |
||||||
- Ataxia transitorias |
||||||
5 |
- Abordaje suboccipital retrosigmoideo |
- Paresia facial periférica transitoria |
- Si |
- 2 |
- 3 |
|
- Persistencia de plejia del VI par |
||||||
6 |
- Abordaje supracerebeloso infratentorial |
- Hipertension de fosa posterior postquirúrgica |
- No |
- 3 |
- 4 meses |
|
- Ventriculostomia |
||||||
- Ataxia de tronco |
||||||
- No resección lesión |
||||||
7 |
- Abordaje orbitocigomático |
- Plejía de III par craneano transitoria |
- Si |
- 1 |
- 6 meses |
DISCUSIÓN
Los cavernomas son lesiones vasculares caracterizadas por la presencia de vasos anómalos, tortuosos, desprovistos de capa muscular lisa y fibras elásticas en su pared, vasos sinusoidales, rodeados de una capsula gliótica, la cual puede presentar relación con tejido fibroso y hemosiderina adyacente, secundarios a sangrados en distintas fases.1,2
Desde 1939, Bailey y cols. describían en sus publicaciones posturas pesimistas respecto al abordaje neuroquirúrgico de estas lesiones. Matson y cols. años después planteaba en relación a los cavernomas del tronco cerebral que eran lesiones inoperables. Sin embargo, en 1971 Lassiter y cols. comenzaron a plantear posibles rutas de acceso a estas lesiones, que luego Epstein y McCleary desarrollaron y describieron, siendo estas últimas las primeras publicaciones que proponen la cirugía resectiva de lesiones del tronco cerebral con una morbimortalidad razonable. Con los importantes avances en el campo de la microcirugía, las neuroimágenes disponibles y las guías intraoperatorias, la cirugía de tronco cerebral ha adquirido mayor seguridad y efectividad, impactando de forma positiva en el pronóstico de los pacientes que padecen este tipo de complejas lesiones cerebrales.1,3
Han sido descriptas como lesiones congénitas, sin embargo, existen descripciones de formación de novo, en cuyos casos el desarrollo podría relacionarse con la presencia previa de una anomalía del desarrollo venoso. No obstante, hasta en el 14% de los casos se ha identificado algún tipo de predisposición familiar. Se han descripto entidades relacionadas con el desarrollo de múltiples malformaciones cavernosas, dentro de las que se encuentra el síndrome de malformación cavernosa múltiple familiar, con un patrón de herencia autosómica dominante, y con genes descriptos en el desarrollo de esta entidad como lo son el KRIT-1 (CCM-1), CCM-2, y PDCD-10 (CCM-3).2,4
Estas lesiones presentan una prevalencia de 0.4% - 0.9% en la población general, siendo la localización a nivel del tronco cerebral una poco frecuente, representando el 8%-22% de los casos. En el estudio de Day y cols. valorando 1.055 pacientes con malformaciones cavernosas cerebrales, la localización más frecuente fue supratentorial con un 76%, presentándose en el tallo cerebral en el 18% de los casos registrados.2.5
La presencia de un angioma cavernoso en esta región tiene varias consideraciones características, una de ellas es su localización, siendo reportada como la más frecuente la protuberancia (63.8%), seguida por el mesencéfalo (21.5%) y el bulbo (14.7%). También se ha detallado respecto a esta ubicación un mayor riesgo de sangrado, describiéndose tasas que alcanzan los 45% al año.1,3
Su asociación con anomalías del desarrollo venoso ha sido igualmente discutida. Porter y cols. registraron un 100% de coexistencia entre anomalías venosas y cavernomas con identificación intraoperatoria, sin embargo, esta asociación sólo se lograba identificar en estudios de resonancia magnética (RM) prequirúrgica en el 23% de los casos. No obstante, otros autores han registrado esta relación en el 12–13% de los casos. La presencia simultánea de estas dos entidades tiene relevancia fisiopatológica como también quirúrgica, ya que su comportamiento es más agresivo, presentando mayor tendencia a desarrollar hemorragias respecto a la presencia de un cavernoma de forma aislada.4,6
Las anomalías del desarrollo venoso se han descripto como el subtipo de malformaciones vasculares más frecuentes, presentando incidencias del 2.6%. Con el advenimiento de nuevas modalidades de neuroimagen, éstas se han descripto hasta en el 6.4% de la población general. Este tipo de lesiones representan la formación de un sistema de drenaje venoso colateral confluente, secundario a la aplasia, hipoplasia o ausencia de desarrollo del sistema de drenaje venoso convencional. En los pacientes analizados no se encontraron asociaciones entre cavernomas y anomalías venosas.3,6
Los cavernomas del tallo cerebral tienen una distribución similar entre hombres y mujeres, y se describe una afectación en una edad media de 34.8 años. En nuestra serie de casos se identificó una predilección por el compromiso entre hombres. La edad media fue de 33 años, por lo que es importante resaltar que es una entidad que afecta a población joven y económicamente activa.1,3,4
Las manifestaciones clínicas de estas lesiones suelen ser muy variadas, en relación con una alta densidad de vías y núcleos presentes en el tallo encefálico. El déficit generado tiene relación con sangrados intra o extralesionales los cuales, en su mayoría, tienden a mejorar durante la evolución clínica. De igual forma hay patrones clínicos asociados a eventos de resangrado, como también patrones de lenta progresión. En el 5-8% de los casos, el hallazgo de cavernomas del tallo es incidental y se identifica en el abordaje diagnóstico de otras entidades o síntomas no relacionados con esta patología.1,3,7
Respecto a su localización mesencefálica se han descripto déficit en pares craneales oculomotores, síndrome de Parinaud o alteraciones de la convergencia ocular, por lesión de núcleos pretectales o compromiso de la comisura blanca posterior. La localización circunscrita al puente genera parálisis facial central o periférica en el contexto del síndrome de Millar-Gubler. También puede condicionar el desarrollo de parálisis del sexto par craneal, lesión del fascículo longitudinal medial o síndrome del uno y medio. El compromiso bulbar puede tener gran variedad de manifestaciones, desde presentarse parálisis de pares bajos, en relación con trastornos fonatorios o deglutorios, o ser tan severas al presentar paro respiratorio por compromiso de centros de regulación central.1,5,7,8
La tomografía de cerebro simple, como valoración inicial de un síndrome cerebrovascular, identificará lesiones inespecíficas como hemorragia intraxial en el tronco, hemorragia subaracnoidea o hidrocefalia obstructiva.1,7,8
La resonancia y angioresonancia se consideran como los estudios por imágenes de elección para el análisis de estas entidades, las cuales se han descripto como lesiones angiográficamente silentes (o crípticas). Los hallazgos en resonancia cerebral son variados y dependerán de la fase de la enfermedad en la cual se valore. La ponderación en SWI es la de mayor sensibilidad para la identificación de lesiones o sangrados de menor tamaño.1,8,11
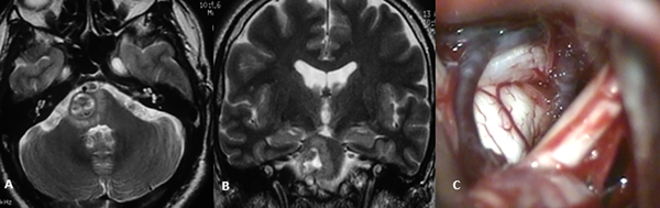
En resonancia magnética (RM) cerebral podemos observar lesiones heterogéneas con intensidades variables en su interior, con zonas hiperintensas secundarias a la metahemoglobina, y un halo hipointenso periférico relacionados con la presencia de hemosiderina. La clasificación por imágenes de Zabramski permite correlacionar los hallazgos en resonancia con el estadio de la enfermedad, desde un tipo I en una hemorragia subaguda, tipo II con hemorragias y trombosis intralesionales en distintas fases de degradación (popcorn sign) hasta una fase III con hemorragia crónica, y un tipo IV relacionada con cavernomas pequeños y telangiectasias. De igual forma, la RM permite valorar la localización detallada de la lesión y su relación con la superficie pial o ventricular, aspecto de importancia en la determinación de la vía de acceso (Figura 1).1,7,11

Figura 1: RM ponderación en T2, proyección coronal (A) y sagital (B) donde se evidencia cavernoma Zabramski II localizado a nivel del bulbo raquídeo. Imagen intraoperatoria de mismo paciente (C) con evidencia de lesión en contacto con superficie pial del tronco cerebral.
Para determinar si un paciente tiene indicación de resección de un cavernoma del tronco cerebral se requiere valorar múltiples aspectos, dentro de los cuales se encuentra evaluar riesgos del procedimiento y la probabilidad de sangrado de esta lesión. Son numerosas las publicaciones que describen la tasa de sangrado propia de un cavernoma del tronco, las cuales pueden ir desde un 2.4% de riesgo de sangrado anual, como en la serie de Kondziolka y cols., hasta un 6.8% en la serie de Sandalcioglu y cols. A su vez, se han descripto tasas de resangrado mucho mayor que las halladas en otras localizaciones, las cuales van desde un 30% de riesgo de resangrado anual en el estudio de Porter y cols. hasta un 60% en el estudio de Cheng y cols.1,7,8,9
Además de lo anterior, debe tenerse presente si las manifestaciones clínicas y los hallazgos por imágenes se relacionan con un primer sangrado o han sido múltiples episodios, como también el riesgo quirúrgico en relación con su localización. En términos generales, pacientes con cavernomas profundos, pequeños, asintomáticos o con síntomas menores tienden a manejarse de forma conservadora, sin embargo, lesiones con múltiples sangrados, déficit neurológico progresivo, hemorragias extralesionales y localización en contacto con la superficie pial o ventricular se consideran candidatos a manejo quirúrgico. No obstante, queda una zona gris, en la cual se encontrarían aquellos pacientes con hemorragias a repetición o ubicaciones profundas, pero con mínimo déficit neurológico, en los cuales el cirujano tratante considerará la pertinencia del abordaje microquirúrgico, individualizando cada caso en particular.1,3,7-10
Aunque se conoce que el abordaje quirúrgico a este tipo de lesiones vasculares puede condicionar alta morbilidad, los resultados clínicos a largo plazo han mostrado peores resultados en los grupos en los cuales se consideró manejo no quirúrgico.1,7-10
Múltiples abordajes quirúrgicos se han propuesto para el manejo de cavernomas de tronco cerebral, dentro de los cuales se encuentra el abordaje orbitocigomático, pterional, infratentorial supracerebeloso, retrosigmoideo, suboccipital de línea media, con o sin disección telo-velo-medular, y abordajes extremo lateral. La elección del abordaje se realiza en base a la localización de la lesión y teniendo varios objetivos, dentro de los cuales está el evitar al máximo el trayecto a través de parénquima del tallo encefálico, un ingreso a través de una zona segura y un abordaje que permita la resección total de la lesión, ya que resecciones parciales pueden condicionar sangrados subyacentes y una persistencia del riesgo de resangrado.1,4,8,9
De igual forma, y ampliamente descriptos, los puntos de ingreso seguros (“safe entry zones”) al tallo encefálico son la zona anterior en el mesencéfalo, delimitada medialmente por el núcleo y trayecto del tercer par craneal, y lateralmente por el tracto corticoespinal, punto de entrada en uno de nuestros abordajes. También puede usarse el surco mesencefálico lateral. El mesencéfalo dorsal puede ser abordado a través de la región intercolicular, punto de acceso utilizado en dos de los casos descriptos en este artículo (Figura 2).12-14

Figura 2: RM ponderación en T2, proyección axial (A) y coronal (B) donde se evidencia cavernoma Zabramski II localizado a nivel del puente, lateralizado hacia la derecha. Imagen intraoperatoria de mismo paciente (C) con evidencia de lesión en contacto con superficie pial del tronco cerebral; abordaje retrosigmoideo.
En el puente, los puntos de acceso descriptos han sido la región peritrigeminal y supratrigeminal. También se plantean descripciones haciendo referencia a un punto medio entre la emergencia del quinto par craneal y la emergencia del complejo VII-VIII. Otros abordajes para el ingreso a lesiones dorsales del puente se hicieron a través del piso del cuarto ventrículo por el punto supracolicular e infracolicular, que toman como referencia el triángulo del facial. También se puede ingresar por línea media del cuarto ventrículo, con el riesgo de lesión al fascículo longitudinal medial por la retracción lateral.12-14
Para el bulbo raquídeo, se han descripto puntos de acceso a través del surco anterolateral, surco medio posterior, zona olivar y zona medular lateral. En nuestro caso, la lesión tenía una exposición pial por lo cual el punto de entrada fue éste, permitiendo una resección intralesional.12-14
Los resultados clínicos dependerán del estado neurológico del paciente previo al procedimiento, de las características de la lesión, la adecuada elección del caso y de la técnica quirúrgica empleada para su realización. En la mayoría de las series se reportan resultados clínicos favorables, describiéndose tasas de mejoría hasta en el 78.6% de los casos y deterioro en el 20%. En la serie de casos descripta, si bien se presentó empeoramiento clínico en el postquirúrgico inmediato, dichos déficits fueron transitorios y se presentó mejoría clínica a lo largo de su seguimiento, considerando un GOSE 1-2 en la mayoría de los pacientes (Tabla 2).
Un punto de continua discusión es el tiempo de intervención de la lesión posterior a su sangrado. La postura descripta en distintas publicaciones y compartida en nuestro abordaje clínico es la intervención en fase subaguda de la enfermedad, 2 a 6 semanas posterior al sangrado, momento en el cual no se cuenta con un coágulo organizado de difícil disección, el edema propio del sangrado se ha mitigado y el paciente se encuentra con un mayor grado de estabilidad clínica y neurológica.1,15
En la revisión bibliográfica realizada se encontró que en la literatura latinoamericana son escasas las publicaciones que hacen referencia al manejo de cavernomas del tallo cerebral, reportándose la experiencia del grupo de cirugía vascular del Instituto Nacional de Neurología y Neurocirugía Manuel Velasco Suárez de México, hasta el año 2006, con 6 casos reportados intervenidos en su institución. En el mismo año la publicación de 2 casos intervenidos en el Servicio de Neurocirugía del Sanatorio Los Arroyos, en Santa Fe, Argentina, y en el 2001 la publicación del Instituto de Neurocirugía Dr. Alfonso Asenjo, Chile, con la publicación de su experiencia en la intervención de 3 casos de cavernomas del tallo.1,18,19
Consideramos por lo anterior pertinente la descripción de la experiencia del grupo de Neurocirugía de la Universidad Nacional de Colombia a fin de compartir los aspectos quirúrgicos y clínicos que pudieran resultar de relevancia en el abordaje de estas complejas patologías.
CONCLUSIONES
De esta serie de pacientes se puede concluir que debido a la elocuencia del tallo cerebral, la hemorragia producida por el sangrado de los cavernomas suele ser sintomática; el déficit neurológico tiende a mejorar espontáneamente cuando se trata de vías largas, pero no cuando hay compromiso de los núcleos de los pares craneanos; la posibilidad de complicaciones post quirúrgicas es alta, pero los déficits ocasionados por la intervención tienden a mejorar siendo el resultado clínico final mejor que el de la historia natural de la enfermedad, razón por la cual se deben operar los pacientes con cavernomas del tronco cerebral con sangrados sintomáticos ubicados cerca de la superficie pial. La planeación y el procedimiento quirúrgico deben ser realizados con todos los recursos tecnológicos disponibles en la actualidad (resonancia con tractografía, monitoreo neurofisiológico y neuronavegación) para minimizar la posibilidad de complicaciones.
Los autores no declaran conflicto de interés
Los autores no declaran financiamiento.
Este es un artículo de acceso abierto bajo la licencia CC BY-NC https://creativecommons.org/licenses/by-nc/4.0/
BIBLIOGRAFÍA