Manejo de lesiones incidentales de la glándula pineal
Dr Muggeri A., Dra Calabrese B. Dra Yorio F., Dr Cerrato S, Dra Diez B.
Departamento de Neurooncología, FLENI


Introducción
La glándula pineal es un órgano derivado del techo del diencéfalo que se desarrolla durante el segundo mes de gestación. Esta glándula funciona como un transductor neuroendocrino que sincroniza la liberación hormonal con las fases de luz-oscuridad. Está situada en la zona central del cerebro y mide entre 4 y 8 mm. La región pineal incluye, además de la glándula, estructuras encefálicas, durales y vasculares. Se encuentra delimitada dorsalmente por el esplenio del cuerpo calloso y la tela coroidea, medialmente por la lámina cuadrigémina y el tectum mesencefálico, a nivel anterior por la pared posterior del III ventrículo, y caudalmente por el vermis cerebeloso. Es una estructura sin barrera hematoencefálica, por tanto en estudios con contraste endovenoso la glándula realza de forma intensa y homogénea. Las calcificaciones están presentes en el 50% de los casos y suelen aparecer luego de los 10 años de edad y no experimentan crecimiento a lo largo de la vida. Deberían ser consideradas patológicas las que aparecen antes de los 5 años de edad. La presencia de calcificaciones no se correlaciona con la actividad funcional de la glándula.

Manifestaciones clínicas
Los síntomas más frecuentes son provocados por hidrocefalia secundaria a obstrucción del acueducto o síndrome de Parinaud por compresión del mesencéfalo y área pretectal. Otros síntomas se encuentran en relación a la compresión del tronco encefálico, disfunción hipotalámica y más raramente se han descripto hipogonadismo y pubertad precoz en la infancia.

Clasificación de las lesiones de la región pineal
Se pueden dividir en lesiones no neoplásicas y neoplásicas.

Quiste pineal
Es la lesión más frecuente. La disponibilidad de resonancia magnética (RM) de alta resolución posiblemente sea la causa del aumento en la identificación de los quistes pineales. Los quistes pineales pueden verse en el 5% de las RM de cerebro en forma incidental y entre un 20-40% en autopsias. Suelen presentarse entre los 20 y 30 años de edad, son más frecuentes en mujeres y en general son asintomáticos y menores a 1 cm.
Los quistes pueden ser una entidad en sí misma o puede ser la forma de ver otras patologías como por ejemplo ciertos tumores, eso genera un desafío en relación al diagnóstico y seguimiento.
Para definir un quiste pineal como incidental deberíamos estar seguros que los síntomas que generaron el pedido de la RNM no estén categóricamente relacionados con el mismo.
Los quistes pineales son más frecuentes en mujeres 1,7-3:1. Podría estar asociado su crecimiento a cambios hormonales por eso podrían aumentar para luego involucionar con la menopausia. En hombres permanecen estables.
Fisiopatología: se postula que podría deberse a diversos mecanismos como el crecimiento de un remanente embrionario del divertículo pineal, formación de un quiste revestido por tejido glial, degeneración o necrosis de células del parénquima pineal
Histología: en la evaluación histológica de los quistes pineales resecados pueden verse tres capas. Una interna, compuesta por tejido fibrilar glial (puede contener hemosiderina), una media con tejido glandular pineal con o sin calcificaciones y una externa compuesta por tejido conectivo fino.
Hallazgos en RNM de cerebro: en general son uniloculados de señal homogénea. Pueden verse iso o hipointensos en T1 en relación al parénquima cerebral y levemente hiperintensos en T1 en relación al LCR con un borde liso y fino de realce. Septos finos, quistes internos pequeños pueden estar presentes. Se pueden ver calcificaciones en un 25%. El 60% de los quistes pueden realzar con el gadolinio usualmente fino menos de 2 mm, liso y confinado al anillo que puede ser completo o incompleto. Los hallazgos atípicos pueden ser la presencia de sangre, múltiples septos, multiloculados y realce nodular.
Diagnósticos diferenciales: deberían diferenciarse de otras lesiones quísticas benignas menos frecuentes que pueden asentar en la región pineal, como es el caso del quiste epidermoide, dermoide, quiste aracnoideo y aneurisma de la vena de Galeno. Los quistes aracnoides son en general posteriores a la glándula pineal. Las metástasis en pineal son raras pero pueden ser quísticas. En ocasiones los quistes presentan contenido denso que, unido a cierto realce periférico, nos puede conducir a pensar que se trata de una lesión sólida o tumoral. Recordar que el quiste pineal es fácilmente diferenciable del tectum del mesencéfalo, mientras que tumores con apariencia quística y de este origen presentan un margen no bien definidocon el mismo.

Seguimiento:

Tumores de la región pineal
Representan el 1% de todas las neoplasias intracraneales y son un grupo heterogéneo en cuanto a su edad de presentación, comportamiento por imagen, radiosensibilidad, quimiosensibilidad y pronóstico.
Se pueden clasificar en cuatro grupos: origen germinal, derivados del parénquima pineal, gliomas y otros menos frecuentes (Tabla 1).
Todos ellos tienen en común dos características: su clínica de presentación y su capacidad de diseminación subependimaria.

1. Tumores pineales de células germinales
Los germinomas son globalmente las neoplasias más frecuentes de la región pineal (45-50%), y constituyen el 75% de todos los tumores derivados de células germinales. La mayoría de los pacientes se diagnostica en la tercera década de vida, con un pico de incidencia alrededor de los 20 años, y su incidencia es mayor en el sexo masculino (13 a 1).
La localización pineal es más frecuente en el sexo masculino, mientras que los germinomas ectópicos supraselares son habitualmente diagnosticados en niñas. Dado que estos tumores carecen de cápsula, pueden invadir estructuras adyacentes y diseminarse fácilmente a través del líquido cefalorraquídeo (LCR) a nivel subependimario y espinal. Por ese motivo, la RM de todo el neuroeje es mandatoria.
Hallazgos en RM: existen características que pueden orientar a su diagnóstico, como es la presencia de calcificaciones que engloban la glándula pineal en el germinoma, el sangrado del coriocarcinoma o la presencia de grasa, hueso y quistes del teratoma. Su comportamiento puede solaparse. La presencia de lesiones sincrónicas en región selar y pineal, sobre todo en mujeres jóvenes, debería aumentar la sospecha diagnóstica de tumor germinal. Clínicamente puede acompañarse de diabetes insípida.
Marcadores tumorales: algunos tumores de células germinales pueden secretar alfafetoproteína (AFP), gonadotrofina coriónica humana subunidad beta (βhCG) y fosfatasa alcalina placentaria like que pueden detectarse en suero y líquido cefalorraquídeo. En estos casos la biopsia podría evitarse.
La AFP puede elevarse en tumores del saco vitelino, carcinoma embrionario y teratomas inmaduros, mientras que la βhCG puede ser secretada por coriocarcinomas, algunos carcinomas embrionarios y un subgrupo de germinomas con componente sinciotrofoblastico.
Elevaciones en suero o LCR de AFP > 10 ng/ml y/o βhCG > 50 mIU/ml es considerado patológico. Es necesario obtener dosaje de estos marcadores en LCR si en suero no esdiagnóstico o dudoso sobre todo para la βhCG.

Tabla 1: Clasificación de tumores de la región pineal.

Tumores de células Germinales Tumores del
parénquima Pineal
Gliomas Poco comunes
Germinomas
Germinoma con componente
sinciotrfoblastico
Pineocitomas Astrocitomas Meningiomas
No Germinomatosos
Tumores del seno
endodérmico/embrionario
carcinomaembrionario
coriocarcinoma
Tumores de células germinales mixtos malignos
Pineoblastomas Ependimomas
Hemangioblastomas
Teratomas
Tumor de Parénquima pineal de diferenciación intermedia
Linfomas
Maduro
Inmaduro
Con transformación maligna
Tumor papilar de la región pineal
Tumor rabdoide teratoide atipico


2. Tumores derivados del parénquima pineal
Son menos frecuentes. Se describen cuatro tipos de tumores con distinto grado de agresividad y prevalencia según la edad:
Pineocitomas: son tumores de crecimiento lento, más frecuentes en adultos jóvenes.
Pineoblastomas: tienen un comportamiento más agresivo, con tendencia a invadir estructuras vecinas y diseminar precozmente por LCR. Su presentación suele ser en edad pediátrica
Tumores neuroectodérmicos primitivos de la región pineal pueden formar parte del síndrome de retinoblastoma trilateral.
Tumores de diferenciación intermedia (PPTID): son tumores de grado 2 o 3 en los que existe escasa evidencia de los factores biológicos o moleculares que colaboren a estimar su pronóstico y mejor manejo terapéutico.
Tumor papilar de la región pineal (PTPR): son tumores neuroepiteliales con componente sólido y papilar. Son raros y su tratamiento no está estandarizado.

3. Gliomas
Los gliomas representan el tercer grupo de tumores que pueden asentarse en la región pineal y que no son originados en la glándula.
Entre ellos se encuentran los gliomas del rodete del cuerpo calloso, tálamo, pared posterior del III ventrículo, lámina cuadrigémina y tronco. Son tumores con un comportamiento de imagen, tratamiento y pronóstico variable.

4. Otros tipos de tumores
Engloban un grupo de tumores mucho menos frecuentes y comprenden: hemangiomas, hemangioblastomas, lipomas, meningiomas, linfomas, tumor rabdoide teratoide atípico y metástasis.

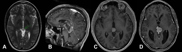
Figura 1. RM de lesiones pineales
Referencias: A. T2, quiste pineal tabicado B. T1 con contraste, Tumor germinal. C. T1 con contraste,
Tumor papilar de región pineal. D. T1 con contraste, Tumor pineal de diferenciación intermedia.

Manejo
El manejo correcto de las lesiones tumorales o quistes atípicos de la región pineal requiere abordaje quirúrgico para diagnóstico histológico.
El estudio preoperatorio debe incluir RM craneoespinal con y sin contraste, citología de LCR y valoración de marcadores tumorales en suero y LCR.
Además siempre deberá valorarse la necesidad y urgencia de intervenciones para el tratamiento de la hidrocefalia, considerando los síntomas manifestados por el paciente y el tiempo de instalación de los mismos.
La introducción de la neuroendoscopia ha ayudado a disminuir la morbimortalidad de la cirugía convencional. En pacientes con hidrocefalia obstructiva, el manejo inicial siempre que sea posible debería ser la tercer ventriculostomía con inspección del sistema ventricular para descartar diseminación, biopsia y/o resección del tumor, y análisis del LCR. En casos que lo ameriten y de realizarse en el mismo acto, primero debería hacerse la tercer ventriculostomía y luego la biopsia para evitar obstrucción por sangrado. En caso de no poder realizarse la neuroendoscopia, la colocación de una válvula de derivación del LCR es lo recomendado. La diseminación del tumor hacia el peritoneo a través de la válvula es una complicación posible pero poco frecuente.
En casos de tumores diferentes a germinoma y de no poder ser resecados con procedimiento neuro endoscópico la cirugía a cielo abierto estaría indicada para lograr una máxima resección.
En cuanto al tratamiento postoperatorio, debe basarse en la histología y la extensión de la lesión. Los procesos benignos deben tratarse únicamente con cirugía mientras que los tumores con lesiones con histología compatible con neoplasia se sugiere la evaluación por un equipo multidisciplinaria para la elección del mejor esquema de radio y /o quimioterapia. Esto se basará en los resultados obtenidos de la evaluación de RM de cerebro y columna, líquido cefalorraquídeo, estudios sistémicos y marcadores tumorales, teniendo en cuenta la extensión del remanente tumoral, la diseminación meníngea y metástasis extraneural.

Figura 2. Manejo de las lesiones pineales
Referencias: 1. La RM siempre deberá ser con contraste si no existe contraindicación. 2. Además de las características de la lesión deberá evaluarse la presencia de hidrocefalia y su correlato clínico para seleccionar el abordaje quirúrgico adecuado y la urgencia del mismo. 3. Deberán dosarse AFP, BHCG y LDH en suero y LCR.

Conclusión
Las lesiones de la región pineal pueden ser hallazgos incidentales o debutar con síntomas neurológicos severos. Las lesiones más frecuentes son los quistes pineales y en general solamente requieren seguimiento imagenológico. Los tumores pineales son lesiones menos frecuentes y son un grupo heterogéneo que requieren ser evaluados cuidadosamente dado que con frecuencia son susceptibles de realizar tratamientos que mejoran la sobrevida de manera significativa, inclusive siendo en algunos casos lesiones curables.


BIBLIOGRAFÍA

  1. 1. Al-Holou WN, Terman SW, Kilburg C , et al Prevalence and natural history of pineal cysts in adults. J Neurosurg 2011;115:1106–14
  2. Barboriak DP, Lee L, Provenzale JM. Serial MR imaging of pineal cysts: implications for natural history and follow-up. AJR Am J Roentgenol. 2001;176 (3): 737-43.
  3. Dähnert W. Radiology Review Manual. (2011)
  4. Gokce E, Beyhan M Evaluation of pineal cysts with magnetic resonance imaging. World J Radiol 2018;10:65–77.
  5. Kennedy BC, Bruce JN (2011) Surgical approaches to the pineal region. Neurosurg Clin N Am 22:367–380, viii
  6. Morgenstern PF, Osbun N, Schwartz TH, Greenfield JP, Tsiouris AJ, Souweidane MM (2011) Pineal region tumors: an optimal approach for simultaneous endoscopic third ventriculostomy and biopsy. Neurosurg Focus 30:E3
  7. Mottolese C, Szathamari A, Beuriat PA, Grassiot B, Simon E (2015) Neuroendoscopy and pineal tumors: a review of the literature and our considerations regarding its utility. Neurochirurgie 61:155–159
  8. Nevins EJ, Das K, Bhojak M , et al Incidental pineal cysts: is surveillance necessary? World Neurosurg 2016;90:96–102. Pastel DA, Mamourian AC, Duhaime AC. Internal structure in pineal cysts on high-resolution magnetic resonance imaging: not a sign of malignancy. (2009) Journal of neurosurgery. Pediatrics. 4 (1): 81-4.
  9. Pu Y, Mahankali S, Hou J et-al. High prevalence of pineal cysts in healthy adults demonstrated by high-resolution, noncontrast brain MR imaging. AJNR Am J Neuroradiol. 2007;28 (9): 1706-9.9 Sawamura Y, Ikeda J, Ozawa M, et al Magnetic resonance images reveal a high incidence of asymptomatic pineal cysts in young women. Neurosurgery 1995;37:11-16.
  10. Souweidane MM, Krieger MD, Weiner HL, Finlay JL (2010) Surgical management of primary central nervous system germ cell tumors: proceedings from the Second International Symposium on Central Nervous System Germ Cell Tumors. J Neurosurg Pediatr 6:125–130
  11. Whitehead MT, Oh CC, Choudhri AF Incidental pineal cysts in children who undergo 3-T MRI. Pediatr Radiol 2013;43:1577–83