Aneurismas gigantes complejos del tip carotideo, distintos abordajes terapéuticos. A propósito de un caso.
Altamirano Brasca Belia,1 Prieto Danae,2 Quaglia Matías,3
1. Hospital San Roque, Córdoba, Argentina
2. Hospital San Roque, Córdoba, Argentina. Sanatorio del Salvador, Córdoba Argentina. Instituto Modelo de Cardiología, Córdoba, Argentina
3. Hospital San Roque, Córdoba, Argentina. Hospital Italiano, Córdoba Argentina.
RESUMEN
Introducción: Los aneurismas localizados en la bifurcación de la arteria carótida interna (ACI) representan el 2- 5% de los aneurismas intracraneales y el 15% de los aneurismas de la ACI. Son más frecuentes en pacientes jóvenes, localizados en una región de gran estrés hemodinámico, con tendencia al crecimiento y sangrado.
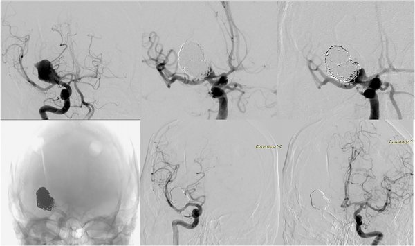
Caso clínico: Paciente sexo masculino de 44 años, consulta por debilidad en hemicuerpo izquierdo acompañada de cefalea. Examen físico: hemiparesia braquiocrural izquierda 4/5. TC DE CEREBRO: imagen espontáneamente hiperdensa en territorio de ACI con edema perilesional, desplazamiento de línea media e hidrocefalia. ANGIOGRAFÍA CEREBRAL: aneurisma sacular disecante gigante parcialmente trombosado dirigido hacia arriba de 27 x 20 mm con cuello ancho de 8 mm que involucra tip carotídeo derecho. Se procede con clipado microquirúrgico, no obstante durante la cirugía se observa origen de arteria cerebral media involucrado en parte del saco. Posteriormente paciente presenta ruptura aneurismática, se planifica tratamiento endovascular: embolización con coils en agudo y dispositivo diversor de flujo en diferido.

Discusión: Las opciones terapéuticas son: clipado microquirúrgico, complejo debido a la presencia de múltiples arterias perforantes en relación al saco aneurismático; tratamiento con coils como única técnica, muestra altas tasas de recanalización y retratamiento; embolización con coils asistida por stent no diversor de flujo y el uso del dispositivo WEB con tasas de oclusión del 61% y 76% respectivamente. El uso de dispositivos diversores de flujo presenta mejores tasas de oclusión y bajas tasas de retratamiento. Su uso en etapa aguda es limitado por el riesgo de resangrado (4%). Un paradigma de tratamiento para aneurismas accidentados, es la embolización con coils en la etapa aguda para prevenir el resangrado temprano, seguida de la colocación planificada de un dispositivo diversor de flujo.
Conclusión: La introducción de dispositivos diversores de flujo ha revolucionado el manejo neurointervencionista de aneurismas gigantes, complejos, con relación cuello-domo desfavorable.
BIBLIOGRAFÍA
- Mahmoud M, Farag A, Farid M, Elserwi A, Abdelsamad A, Guergues W, Hassan F. Application of flow diverters in the treatment of aneurysms in the internal carotid artery bifurcation region. Neuroradiol J. 2020 Aug;33(4):297-305. doi: 10.1177/1971400920924840. Epub 2020 May 18. PMID: 32419609; PMCID: PMC7416353.
- Jorman H. Tejada MD et al., “Uso dispositivo diversor de flujo pipeline® para tratamiento endovascular de aneurisma intracraneal distal gigante ,” Revista Argentina de Neurocirugía, consulta 29 de agosto de 2021, https://aanc.org.ar/ranc/items/show/134
- Brinjikji W, Piano M, Fang S, Pero G, Kallmes DF, Quilici L, Valvassori L, Lozupone E, Cloft HJ, Boccardi E, Lanzino G. Treatment of ruptured complex and large/giant ruptured cerebral aneurysms by acute coiling followed by staged flow diversion. J Neurosurg. 2016 Jul;125(1):120-7. doi: 10.3171/2015.6.JNS151038. Epub 2015 Dec 11. PMID: 26654182.
- Feng Z, Zuo Q, Yang P, Li Q, Zhao R, Hong B, Xu Y, Huang Q, Liu J. Staged Stenting with or without Additional Coils after Conventional Initial Coiling of Acute Ruptured Wide-Neck Intracranial Aneurysms. World Neurosurg. 2017 Dec;108:506-512. doi: 10.1016/j.wneu.2017.09.040. Epub 2017 Sep 18. PMID: 28923428.
- Cagnazzo F, di Carlo DT, Cappucci M, Lefevre PH, Costalat V, Perrini P. Acutely Ruptured Intracranial Aneurysms Treated with Flow-Diverter Stents: A Systematic Review and Meta-Analysis. AJNR Am J Neuroradiol. 2018 Sep;39(9):1669-1675. doi: 10.3174/ajnr.A5730. Epub 2018 Jul 26. PMID: 30049721; PMCID: PMC7655299.
- Bae HJ, Park YK, Cho DY, Choi JH, Kim BS, Shin YS. Predictors of the Effects of Flow Diversion in Very Large and Giant Aneurysms. AJNR Am J Neuroradiol. 2021 Jun;42(6):1099-1103. doi: 10.3174/ajnr.A7085. Epub 2021 Apr 29. PMID: 33926897; PMCID: PMC8191680.
- Dutta G, Singh D, Jagetia A, Srivastava AK, Singh H, Kumar A. Endovascular management of large and giant intracranial aneurysms: Experience from a tertiary care neurosurgery institute in India. J Cerebrovasc Endovasc Neurosurg. 2021 Jun;23(2):99-107. doi: 10.7461/jcen.2021.E2020.08.008. Epub 2021 May 17. PMID: 33993689; PMCID: PMC8256021.
- Sakamoto S, Ohba S, Shibukawa M, Kiura Y, Okazaki T, Arita K, Kurisu K. Characteristics of aneurysms of the internal carotid artery bifurcation. Acta Neurochir (Wien). 2006 Feb;148(2):139-43; discussion 143. doi: 10.1007/s00701-005-0682-4. Epub 2005 Nov 30. PMID: 16322905.
- Cagnazzo F, Derraz I, Dargazanli C, Lefevre PH, Coelho Ferreira I, Gascou G, Riquelme C, Fanti A, Ahmed R, Frandon J, Bonafe A, Costalat V. Flow-Diversion Treatment for Unruptured ICA Bifurcation Aneurysms with Unfavorable Morphology for Coiling. AJNR Am J Neuroradiol. 2021 Jun;42(6):1087-1092. doi: 10.3174/ajnr.A7125. Epub 2021 Apr 15. PMID: 33858823; PMCID: PMC8191670.
- Ban SP, Hwang G, Kim CH, Byoun HS, Lee SU, Kim T, Bang JS, Oh CW, Kwon OK. Risk factor analysis of recanalization and retreatment for patients with endovascular treatment of internal carotid artery bifurcation aneurysms. Neuroradiology. 2018 May;60(5):535-544. doi: 10.1007/s00234-018-2013-5. Epub 2018 Mar 23. PMID: 29572603.
- Konczalla J, Platz J, Brawanski N, Güresir E, Lescher S, Senft C, du Mesnil de Rochemont R, Berkefeld J, Seifert V. Endovascular and surgical treatment of internal carotid bifurcation aneurysms: comparison of results, outcome, and mid-term follow-up. Neurosurgery. 2015 May;76(5):540-50; discussion 550-1. doi: 10.1227/NEU.0000000000000672. PMID: 25635884.
- Lee WJ, Cho YD, Kang HS, Kim JE, Cho WS, Kim KM, Han MH. Endovascular coil embolization in internal carotid artery bifurcation aneurysms. Clin Radiol. 2014 Jun;69(6):e273-9. doi: 10.1016/j.crad.2014.01.017. Epub 2014 Mar 11. PMID: 24625690.
- Oishi H, Yamamoto M, Nonaka S, Arai H. Endovascular therapy of internal carotid artery bifurcation aneurysms. J Neurointerv Surg. 2013 Sep 1;5(5):400-4. doi: 10.1136/neurintsurg-2012-010414. Epub 2012 Jul 4. PMID: 22764202.
- González-Darder J.M., González-López P., Botella-Maciá L.. Tratamiento microquirúrgico de los aneurismas de la bifurcación de la carótida interna. Neurocirugía [Internet]. 2010 Jun [citado 2021 Ago 29] ; 21( 3 ): 205-210.
- Zhou Y, Yang PF, Hong B, Zhao WY, Huang QH, Li Q, Fang YB, Zhao R, Xu Y, Liu JM. Stent placement for the treatment of complex internal carotid bifurcation aneurysms: a review of 16 cases. Turk Neurosurg. 2013;23(2):232-40. doi: 10.5137/1019-5149.JTN.7123-12.0. PMID: 23546910.
- Peschillo S, Caporlingua A, Resta MC, Peluso JPP, Burdi N, Sourour N, Diana F, Guidetti G, Clarençon F, Bloemsma GC, Di Maria F, Donatelli M, Resta M. Endovascular Treatment of Large and Giant Carotid Aneurysms with Flow-Diverter Stents Alone or in Combination with Coils: A Multicenter Experience and Long-Term Follow-up. Oper Neurosurg (Hagerstown). 2017 Aug 1;13(4):492-502. doi: 10.1093/ons/opx032. PMID: 28838114.
- Van Rooij WJ, Sluzewski M, Beute GN. Internal carotid bifurcation aneurysms: frequency, angiographic anatomy and results of coiling in 50 aneurysms. Neuroradiology. 2008 Jul;50(7):583-7. doi: 10.1007/s00234-008-0375-9. Epub 2008 May 6. PMID: 18458897.