Hematoma Subdural Agudo Espontáneo asociado a Fístula Arteriovenosa Cortical Cerebral: presentación de un caso y revisión bibliográfica.
Felipe Cabrera1, Pablo Villanueva1, Yanina Andino2
1. Departamento de Neurocirugía. Hospital Regional de Ushuaia, Tierra del Fuego, Argentina.
2. Departamento de Anestesia. Hospital Regional de Ushuaia, Tierra del Fuego, Argentina.
Recibido: octubre 2023. Aceptado: enero 2024.
pvillanuevach@gmail.com
DOI:10.59156/revista.v38i01.308
ORCID:
Felipe Cabrera 0000-0002-6015-1957
Pablo Villanueva 0000-0001-7227-4164
Yanina Andino: 0009-0002-0387-5163
RESUMEN
Introducción. Las hemorragias subdurales de aparición espontánea son poco frecuentes. Entre ellas, las debidas a fístulas vasculares cerebrales representan un segmento aún menor y un reto para el equipo tratante.
Objetivos. Describir un caso con un hematoma subdural agudo espontáneo por fístula arteriovenosa cortical cerebral y revisar la bibliografía del tema.
Descripción del caso. Paciente masculino de 68 años que ingresa por guardia por trauma de cráneo leve y posterior deterioro súbito del nivel de conciencia. Tomografía axial (TC) con hematoma subdural agudo. AngioTC con fístula arteriovenosa cerebral.
Intervención. Se realiza craniectomía, evacuación de colección subdural aguda y posterior clipado de la aferencia de la fístula.
Conclusión. La fístula arteriovenosa cerebral debe ser tenida en cuenta como causa de hematoma subdural espontáneo.
Palabras Clave. Fístula arteriovenosa cerebral. Hematoma subdural espontáneo. Malformación vascular cerebral. Malformación arteriovenosa cerebral
Spontaneous Acute Subdural Hematoma Associated with Cerebral Cortical Arteriovenous Fístula: Case Report and Literature Review.
ABSTRACT
Background. Spontaneous subdural hemorrhages are rare. Among them, those due to cerebral vascular fístulas represent an even smaller segment and a challenge for the treating team.
Objectives. To describe a case with a spontaneous acute subdural hematoma due to cerebral cortical arteriovenous fístula and to review the bibliography associated.
Case description. A 68-year-old male patient was admitted due to sudden GCS deterioration. CT scan with acute subdural hematoma. CT angiography with cerebral arteriovenous fistula.
Surgery. Craniectomy, evacuation of acute subdural collection and further clipping of the fistula afferent was performed.
Conclusion. Cerebral arteriovenous fistula should be considered as a cause of spontaneous subdural hematoma.
Keywords. Cerebral arteriovenous fistula. Cerebral arteriovenous malformation. Cerebral vascular malformation. Spontaneous subdural hematoma.
Introducción
Los hematomas subdurales son una patología frecuente en la urgencia neuroquirúrgica y su clasificación apropiada requiere diferenciarlos entre traumáticos y espontáneos debido a su diferente manejo diagnóstico y terapéutico. Esta disquisición puede ser difícil al ingreso, ya que el evento traumático (en especial en personas de edad avanzada) puede ser menor o pasar inadvertido.
En casos traumáticos, el mecanismo de origen es mayormente la rotura de venas puente entre la duramadre y el parénquima, aunque en ocasiones pueden identificarse pequeños vasos arteriales corticales sangrantes luego de evacuar un hematoma.1,2,3
Cuando no existe la causa traumática, es decir, en los casos donde se presume hemorragia espontánea, otras lesiones de base deben ser sospechadas. Estos casos de sangrado espontáneo son de baja frecuencia y engloban varias patologías.4,5,6 Se citan algunas de estas causas en la Tabla 1.4,12 El objetivo de este trabajo es describir un caso con un hematoma subdural agudo espontáneo por fístula arteriovenosa cortical cerebral y revisar la bibliografía del tema.
Presentación del caso
Paciente masculino de 68 años con antecedentes de hipertensión arterial y diabetes tipo II (mal controladas); obesidad grado III, dislipemia; ACV isquémico en 2005 y 2016 con secuela moderada en hemicuerpo izquierdo, Rankin II. Actualmente con doble antiagregación (ácido acetil salicílico + clopidogrel) y con medicación por sus patologías de base.
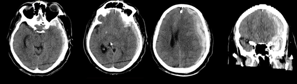
Ingresa por guardia por caída de propia altura, de la cual no se obtienen detalles por no haber estado acompañado en ese momento y no poder el paciente describir el evento con precisión. Se constatan signos menores de trauma (ligero cefalohematoma), lúcido y sin foco agregado. Seis horas después presenta rápido deterioro del sensorio, con Glasgow 12/15; se realiza TC que evidencia Hematoma Subdural Agudo mayor de 20 mm de espesor con desviación de línea media de 16mm y signos de herniación. El contenido heterogéneo del hematoma con signos de “jet” confirman la actividad del mismo. No se evidencian otras lesiones a nivel de parénquima (Figura 1). En su retorno a la sala de urgencias presentó evento convulsivo tónico-clónico asociado a anisocoria izquierda.

Figura 1. TC sin contraste al momento de su primer deterioro neurológico.
Intervención
Se decide la entrada inmediata a quirófano en donde se realiza craniectomía y evacuación de hematoma subdural (de aspecto fresco, rutilante y de volumen y extensión muy importantes). El mismo ocupa toda la convexidad y se extiende a la base y al polo temporal izquierdo. Luego de realizada la evacuación completa y lavado profuso se observan vasos corticales tortuosos muy llamativos sobre el valle silviano. Por inestabilidad hemodinámica durante el procedimiento, se procede a corroborar hemostasia y cerrar por planos dejando drenaje subdural a la altura del conducto auditivo externo. Catéter de medición de presión subdural con registro de apertura de 2 mmHg.
A las 72 horas postoperatorias y con el paciente estable hemodinámicamente, se reconsidera el hallazgo intraoperatorio de los vasos corticales anómalos junto con lo llamativo del volumen del hematoma y se presume un posible sangrado espontáneo. Se decide realizar imagen de control que incluya estudio de los vasos intracraneanos (a tales fines en nuestra institución solo se cuenta con la posibilidad de realizar AngioTC, Fig. 2).

Figura 2. TC y AngioTC a las 72 horas de evacuación del hematoma.
La AngioTC revela craniectomía extensa, retorno a la línea media de estructuras centrales, una nueva área hipodensa que corresponde al territorio vascular de la arteria cerebral posterior izquierda, higroma hemisférico derecho laminar y un hallazgo vascular a nivel del extremo superficial de la cisura silviana, que se observa como un vaso de gran calibre en tiempo venoso del contraste, con un trayecto proximal que termina en contacto con ramas de M3 y un trayecto distal voluminoso que se dirige hacia el polo temporal y se pierde en la base del mismo a nivel del tercio medio de esa misma fosa temporal.
Con los datos obtenidos de este estudio se diagnostica fístula arteriovenosa cerebral, identificando su afluente principal en la cara profunda y superior del trayecto varicoso central, proviniendo aparentemente de ramas de M3 en la profundidad de la cisura silviana. El trayecto varicoso central se extiende sobre la superficie de la cisura homónima y se dirige al polo temporal sin aparente comunicación a los senos durales normales. Se grafican imágenes clave en la Figura 3.

Figura 3. Gráfica de la interpretación de la lesión vascular. En la última imagen de reconstrucción 3D se puede observar la disposición de la várice venosa central que se continúa con un tramo intradural de trayecto sui generis (verde).
Tratamiento de la fístula arteriovenosa
Con la premisa de actuar en forma urgente para evitar resangrado y luego de superado un evento infeccioso de origen respiratorio, se decide realizar una nueva cirugía a los 5 días de su ingreso con el objetivo de tratar la lesión vascular de alto flujo. En quirófano se pudieron constatar con precisión los datos obtenidos por imágenes de la angioarquitectura patológica. Se inició por la disección microscópica del valle silviano, exposición de los vasos comprometidos y control proximal vascular de la malformación. Se identificó un trayecto fistuloso de entre 5 y 7 mm de largo que provenía de una rama M3 que drenaba en el trayecto varicoso central. Se realizó clipado transitorio en la base de este trayecto y coagulación de 2 pequeñas aferencias fistulosas a la várice.
Luego de comprobar disminución notable del flujo y el volumen de la várice venosa, se colocó clip definitivo. La várice venosa en su tramo distal presentaba afluentes venosos de caracteres normales que provenían de la corteza, por lo cual no se realizó ningún otro gesto sobre la misma. Se realizó cierre por planos y craneoplastia con polimetil-meta-acrilato (PMMA). Se dejó un catéter subdural para control de la presión intracraneana.
Detalles anestésicos de importancia del caso
Durante el procedimiento quirúrgico, la disección del valle silviano y la identificación de su contenido vascular es fundamental. Para lograr este fin, la compliance cerebral debe ser óptima, minimizando el requerimiento de retracción del parénquima y disminuyendo los riesgos de lesión accidental de los vasos en cuestión. En este contexto, el plan anestésico incluyó un cuidadoso estudio de los antecedentes del paciente y la evolución clínica luego de la primera intervención de urgencia para mejor selección de los agentes inductores.27,28,29
Acto seguido se propusieron objetivos específicos a procurar durante la intervención, tales como mantener siempre la normoventilación, evitar las soluciones que contengan glucosa, evitar aumentos de la presión transmural, optimizar la perfusión cerebral, protección contra la isquemia y medidas anti edema cerebral.
Con particular importancia se manipuló la presión arterial en forma activa, al igual que la profundidad anestésica para mantener niveles óptimos de estabilidad hemodinámica.
La monitorización multiparamétrica resultó imprescindible para alcanzar los objetivos propuestos, por lo cual se llevó registro de:
La inducción se realizó con fentanilo (1-2 mcg/kg), propofol (0.5 mg/kg) lidocaína (1.5 mg/kg) y rocuronio (0.7-1 mg/kg). El mantenimiento fue con inhalatorios (sevofluorano) y remifentanilo en infusión mediante bomba.
Cuidados neurocríticos postoperatorios
En forma inmediata se tomaron medidas de control de la presión arterial para disminuir los riesgos de sangrado. Al cabo de 24 horas se reinició también la terapia antitrombótica. A las 48h de registro de presión intracraneal normal y sin cambios significativos en el examen físico (paciente sedado en ARM) se realiza imagen de control (TC y AngioTC) en la cual puede observarse ausencia de nuevas lesiones hipodensas, presencia de clip vascular en cisura silviana, permeabilidad de vasos silvianos distales al clipado, disminución significativa del volumen original de la várice venosa, desaparición del higroma contralateral, surcos y cisuras presentes en el hemisferio derecho y ligero edema regional fronto temporal izquierdo (Figura 4).

Figura 4. TC y AngioTC de control postoperatorio y fotografía quirúrgica esquematizada.
Al sexto día postoperatorio de clipado del trayecto fistuloso, el paciente se encuentra desvinculado del respirador, con apertura ocular espontánea, respondiendo a estímulos con contacto visual y obedece órdenes de un comando con movimientos leves y voluntarios del miembro superior derecho. El hemicuerpo izquierdo presenta movimientos de sacudida eventual en contexto de su secuela hipertónica previa. Se progresa hacia la fase activa de su rehabilitación.
Discusión
El hematoma subdural agudo tiene como causa más prevalente el trauma.18 Cuando el sangrado es primario o espontáneo debe pensarse en otras posibles causas como las que ya se han presentado en la Tabla 1. Existe un punto intermedio entre el trauma versus no-trauma, representado por aquellos factores de riesgo que pueden generar un sangrado subdural ante traumatismos mínimos o imperceptibles, tales como edad avanzada, anticoagulación, discrasias sanguíneas, enolismo, etc.18
Tabla 1. Causas posibles de hemorragia subdural espontánea.
| Causas de sangrado espontáneo subdural |
| Sangrado arterial cortical superficial |
| Sangrado contiguo de hemorragia espontánea más profunda (subaracnoidea, parenquimatosa) |
| Fístulas durales |
| Lesiones no vasculares con expresión cortical |
| Lesiones vasculares con expresión a la convexidad |
| Lesiones vasculares de localización o trayecto subdural |
En una primera aproximación a nuestro caso, entre las causas espontáneas encontramos a las fístulas arteriovenosas. Éstas se clasifican de acuerdo a su origen y disposición anatómica.19, 20, 21 Las más frecuentes son también aquellas relacionadas al trauma y en su gran mayoría se ubican entre la carótida intracraneana y el seno cavernoso (fístulas carótido-cavernosas). Las fístulas que ocurren en ausencia de trauma directo pueden tomar otras disposiciones, representando a este grupo las fístulas durales.16 Menos frecuentes aún, también como causa de sangrados espontáneos, aparecen las fístulas cerebrales o piales.
Las fístulas arteriovenosas cerebrales se describen como entidades singulares ya que presentan características propias:9,13,14,15,22,23
Deben diferenciarse particularmente de las fístulas durales,9,16 que también pueden presentarse como sangrados agudos del espacio subdural; así como de aquellas que por su nombre y características pueden confundirse, como lo son las fístulas de la vena de Galeno.17
En cuanto a su incidencia, la literatura revisada coincide en informar que existen cerca de 150 casos de adultos publicados a nivel mundial (uno solo de ellos en Argentina),7 correspondiendo al 1,6- 4,7% de los casos diagnosticados de lesiones vasculares cerebrales en general.8,9,10,11,14 En la población pediátrica se diagnostican más frecuentemente y se cuenta con una población estudiada más significativa.23 De estos estudios proviene gran parte de lo conocido de esta patología y sus resultados terapéuticos, por lo que la interpretación de los datos debe contemplar esta salvedad.
La clínica asociada a su presentación es variable, dependiendo básicamente si se trata de un hallazgo accidental o no. En las primeras, suelen predominar los síntomas de focalidad y de hipertensión endocraneana, que pueden emular un cuadro de rotura aneurismática en su inicio (cefalea súbita, trastorno del sensorio y focalidad que comienzan de forma abrupta). En las últimas, el diagnóstico es un hallazgo de una consulta por cefalea, convulsión o focalidad (dicha focalidad puede deberse a fenómenos trombóticos asociados a la lesión vascular, como también a cambios de flujo y su repercusión en el parénquima dependiente). Cabe recordar que es mucho más frecuente encontrarse con pacientes de edad pediátrica, especialmente en menores de 5 años,8,23 en los cuales la presentación por fallo cardíaco o macrocrania es lo más común.
Muchos de los registros están representados por casos o series de casos que datan de un período extenso de tiempo, por lo cual los métodos diagnósticos y terapéuticos requisados han sido muy variables. Los que corresponden a los últimos 20 años, mencionan diagnósticos por AngioRM y AngioTC, además de la Angiografía digital, método de preferencia. Todos ellos han demostrado ser suficientes para identificar características de la fístula y planificar el método terapéutico, ya sea en forma única o combinada de uno y otro método. El requerimiento diagnóstico indispensable es caracterizar la lesión de acuerdo a su/s aferencia/s y eferencia/s principales, al igual que sus relaciones anatómicas al parénquima.8
El tratamiento se divide básicamente en cirugía versus intervención endovascular.7,8,9,14 En todos los casos se las considera lesiones de flujo alto, por lo cual la mortalidad es elevada incluso en asintomáticos.8,9,14 Esto determina que la conducta terapéutica deba ser a la brevedad una vez realizado el diagnóstico.10, 14 Este parámetro debe ser tenido en cuenta para realizar la intervención más segura disponible en el menor tiempo posible. Debe recordarse que no todos los centros de recepción de pacientes neuro-críticos cuentan con servicio de neurointervencionismo endovascular, o bien, con equipo quirúrgico experimentado en el abordaje abierto. Todo esto influye a la hora de elegir el procedimiento y equipo tratante.
Cuando se opta por cirugía abierta, el objetivo es la obliteración mecánica del vaso arterial aferente y/o del trayecto fistuloso que drena hacia el componente varicoso central (este último suele estar siempre presente).7,15,17,23 Esta várice central frecuentemente presenta un trayecto serpinginoso (fruto del flujo que excede su capacidad de estabilidad elástica) en búsqueda de algún efluente de mayor capacitancia. En los adultos, estas lesiones suelen presentarse cercanas a la superficie cortical.23 Cuando la obliteración mecánica se logra eficientemente sobre el vaso principal debe constatarse la casi inmediata disminución significativa del flujo/volumen varicoso. Otras aferencias a la várice pueden estar presentes y coagularse en el caso de que su calibre lo permita. A estos fines, la ayuda de microscopios con la capacidad de visión fluoroscópica ha sido reportada de utilidad.17,23 La cirugía abierta resulta segura y sin complicaciones directas cuando se respeta la permeabilidad del vaso arterial de origen.17 Cuando la lesión es fácilmente accesible por craneotomía, la cirugía abierta presenta beneficios añadidos y existen al respecto algunos casos que orientan hacia su preferencia.23,24
El tratamiento endovascular es de evidente menor invasividad y su efectividad es similar a la del abordaje quirúrgico.9,11,14,17 El objetivo también es identificar el afluente principal para obliterar su ingreso a la várice venosa mediante coils o agentes embolizantes inyectables. Los artículos de series de casos más recientes han tratado sus pacientes mayormente por este método endovascular.23 Varios agentes embolizantes han sido utilizados con tasas de éxito similar: coils han sido preferidos cuando el trayecto fistuloso tiene un orificio pequeño; n-butyl cyanocrylate y Onix se utilizaron cuando la anatomía tortuosa de la várice o trayecto fistuloso impedían una canalización segura para el ingreso con coils.9,17 El riesgo más temido es la migración del material utilizado hacia la circulación arterial del vaso aferente, siendo esto posible debido al alto flujo que presentan estas lesiones.
No existe un protocolo estándar para los cuidados postoperatorios inmediatos debido a que la baja frecuencia de la patología ha impedido contar con poblaciones significativas. Sin embargo, algunas opiniones apuntan a iniciar en forma precoz el retorno a la prevención antitrombótica luego de la cirugía.17 Una propuesta formal es la de administrar heparina EV 100mg/día durante al menos 5 días con el objetivo de disminuir eventos trombóticos en la várice.8,9,17 Esta indicación merece un estudio discriminado y específico para corroborar su validez y seguridad, pero se anota aquí en respuesta a la preocupación de prevenir un evento trombótico intra-várice. El control minucioso de la presión arterial es mandatorio, evitando los picos, las irregularidades y las cifras de riesgo, requiriéndose también estudios al respecto para establecer un paradigma de tratamiento consensuado.
En cuanto al pronóstico y a los resultados terapéuticos expuestos, se han obtenido buenos resultados (resolución de síntomas, disminución de frecuencia o desaparición de crisis comiciales, mejoría significativa en el análisis imagenológico, etc.) utilizando ambas técnicas.9,10,17,23,24 Nuevamente los números estadísticos requieren de mayores estudios, pero en forma orientativa puede mencionarse una mortalidad global del 5,6% y una morbilidad permanente neurológica del 3 al 7%. Las várices venosas de tipo “single hole” (aquellas en las que se puede identificar un único gran afluente predominante) presentan un ligero mejor pronóstico. En una de las series con más cantidad de pacientes, tratados por método endovascular con seguimiento prolongado (18 meses) pudieron observarse fenómenos de recanalización, angiogénesis periférica o nuevos trayectos fistulosos en aproximadamente 38% de los casos; siendo todos ellos pacientes pediátricos.14 En los pocos casos documentados sobre adultos, las varices embolizadas han requerido también en algunos casos el tratamiento quirúrgico posterior.26
Conclusión
Los hematomas subdurales agudos espontáneos son una entidad poco frecuente. Las fístulas arteriovenosas piales o cerebrales son una de sus causas más raras en frecuencia, pero su oportuno diagnóstico y abordaje terapéutico permite alcanzar muy buenos resultados con métodos diversos. Su carácter de urgencia es indiscutido y la necesidad de mayores estudios para generar protocolos sigue estando vigente.
Los autores no declaran conflicto de interés
Los autores no declaran financiamiento.
Este es un artículo de acceso abierto bajo la licencia CC BY-NC https://creativecommons.org/licenses/by-nc/4.0/
BIBLIOGRAFÍA