ARTÍCULO ORIGINAL
Ependimomas Intracraneales en Pediatría: enfoque clínico-quirúrgico
Molina Silvina1, Díaz Verónica Alejandra 2Tello Brogiolo Nicolás1, D’ Agustini Marcelo1
Hospital Interzonal de Agudos Especializado en Pediatría (HIAEP) “Superiora Sor María Ludovica” La Plata. Buenos Aires. Argentina
1-Servicio de Neurocirugía
2-Servicio de Oncología
Molina Silvina
silvinamolina_t@hotmail.com
RESUMEN
Introducción:
El ependimoma ocupa el tercer lugar entre los tumores del encéfalo en pediatría siendo más frecuente la localización infratentorial. Los mejores resultados se obtuvieron con resecciones quirúrgicas completas seguidas de radioterapia. En niños pequeños se requieren otras estrategias terapéuticas, como radioterapia de intensidad modulada y las que surgirán de la nueva clasificación de la OMS. Esto ha generado una disminución significativa en el daño neurológico. La nueva clasificación de la OMS basada en localización, histopatología y determinaciones moleculares permitirá estratificar y adecuar tratamientos.
El objetivo de este estudio es identificar factores clínico-quirúrgicos relacionados con el pronóstico.
Materiales y métodos:
Análisis transversal, observacional y retrospectivo teniendo en cuenta la edad, el sexo, el porcentaje de exéresis y la evolución de los pacientes con diagnóstico de Ependimoma intracraneano tratados por los Servicios de Neurocirugía y Oncología del HIAEP “Superiora Sor María Ludovica” entre el año 2011 y el 2020. Los datos fueron obtenidos del análisis de las historias clínicas con consentimiento previo.
Resultados: Se incluye
ron 12 pacientes con media de edad 5,7 años. Localización: 10 infratentoriales, 2 supratentoriales. La media de edad fue de 5,7 años y 10 fueron varones. Los supratentoriales presentaron al diagnóstico: hemiparesia y alteración de la marcha. Se obtuvo exéresis completa en todos los casos (2) Prevaleció el subtipo anaplásico OMS III. Un paciente recibió radioterapia por presencia de fusión RELA. Ambos se encuentran vivos. A nivel infratentorial predominó la HTE. La exéresis fue subtotal en 6 casos. El subtipo predominante fue OMS II. Los menores de 1 año recibieron quimioterapia. Todos recibieron radioterapia local. Fallecieron 4 pacientes, 1 por recidiva metastásica, el resto por complicaciones posquirúrgicas. De los 6 pacientes vivos la media de seguimiento fue de 49.83 meses (r 21- 85), 2 reciben tratamiento por recidiva siendo menores de 1 año al diagnóstico y, presentando subtipo anaplásico OMS III.
Conclusiones:
La menor edad, la localización infratentorial y el subtipo anaplásico se relacionaron con mayor morbimortalidad. El grado de resección tiene influencia decisiva en el pronóstico. Se requiere de intervención multidisciplinaria para diseñar la mejor estrategia terapéutica.
Palabras claves:Tumores del SNC, Ependimoma en niños, Ependimoma infratentorial, Ependimoma supratentorial
ABSTRACT
Introduction:
Ependymoma occupies the third place among brain tumors in Pediatrics, the infratentorial location being the most frequent. The best results were obtained with complete resections followed by radiation therapy. In young children, other therapeutic strategies are needed. The new WHO classification based on location, histopathology and molecular determinations will allow stratifying and adapting treatments.
The objective of this study is to identify clinical-surgical factors related to prognosis.
Materials and methods: Cross-sectional, observational and retrospective analysis, taking into account the age, sex, the percentage of resection and the evolution of patients with a diagnosis of intracranial ependymoma treated by the Neurosurgery and Oncology Departments of the HIAEP “Superiora Sor María Ludovica” between 2011 to 2020 and year 2020. The data were obtained from the analysis of medical records with prior consent.
Results:
Twelve children with Ependymoma were included, 10 infratentorial. The mean age was 5.7 years and 83% were male. The supratentorials presented motor compromise and hemiparesis. They were completely resected in all the cases (2). The WHO III anaplastic subtype prevailed. The patient with the presence of RELA fusion received radiotherapy. They are both alive. At the infratentorial level, HTE predominated. Subtotal resection was achieved in 6 cases. The predominant subtype was WHO II. Those under 1 year of age received chemotherapy. All received local radiation therapy. 4 patients died, 1 due to metastatic recurrence, the rest due to post-surgical complications. Of the 6 living patients, the mean follow-up was 49.83 months, 2 received treatment for recurrence, being less than 1 year old at diagnosis and presenting the WHO III anaplastic subtype.
Conclusions:
Younger age, infratentorial location, and anaplastic subtype are associated with higher morbidity and mortality. The degree of resection has a prognostic influence. Multidisciplinary intervention is required to design the best therapeutic strategy.
Key words: Brain tumors, Childhood Ependymoma, Infratentorial Ependymoma, Supratentorial Ependymoma
INTRODUCCIÓN
Según los datos del Registro Oncopediátrico Hospitalario Argentino-ROHA, en Argentina se diagnostican alrededor de 1400 casos nuevos de cáncer por año en la edad pediátrica.1
Los tumores del sistema nervioso central (SNC) representan el 20 % de la totalidad de las neoplasias en la población pediátrica, ocupando el segundo lugar en frecuencia luego de las leucemias y el primer lugar entre las neoplasias sólidas.1
Dentro de este grupo el Ependimoma ocupa el tercer lugar en frecuencia representando el 9 % del total de los tumores de encéfalo y médula espinal en pediatría. La localización más frecuente es la infratentorial, representando entre el 65 y 75 % de los casos, predominando en varones. Se origina en el piso del IV ventrículo e invade estructuras adyacentes. Puede extenderse a través del acueducto de Silvio, foramen de Luschka y/o Magendie o proyectarse hacia el canal raquídeo a través del foramen magno. Es infrecuente que presente diseminación a nivel del neuroeje, ya que en menos del 10% de los casos se presenta con enfermedad metastásica al momento del diagnóstico 2-4,16
De acuerdo a la edad y la localización tumoral, las manifestaciones clínicas pueden variar desde aumento del perímetro cefálico, pérdida de pautas madurativas, compromiso de pares craneales, convulsiones, déficit motor, alteración de la marcha o signos y síntomas relacionados con la presencia de hipertensión endocraneana (HTE) 2,4.
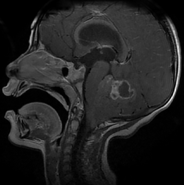
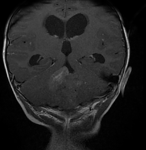
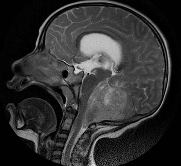
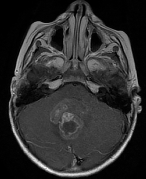
En resonancia magnética (RM) de cerebro se observa tumoración heterogénea sólida o sólido-quística con áreas de hemorragia, quistes y calcificaciones, que capta contraste en forma variable. (Fig. 1, 2, 3, 4). El patrón en espectroscopía se caracteriza por presentar pico de Colina (Cho) y descenso de N-Acetilaspartato (NAA).
Fig 1: RM corte axial, secuencia T1 con contraste. Se observa neoformación medial, solido-quística, heterogénea de bordes irregulares en la topografía del VI ventrículo que ocupa la totalidad del mismo, que realza en forma heterogénea tras la administración del contraste.

Fig 2: RM corte sagital, secuencia T1 con contraste. Se observa neoformación medial, solido-quística, heterogénea de bordes irregulares en la topografía del VI ventrículo que ocupa la totalidad del mismo, que realza en forma heterogénea tras la administración del contraste y se proyecta caudalmente a través del foramen magno. Se evidencia colapso del VI ventrículo, desplazamiento del tronco cerebral hacia anterior y abombamiento del cuerpo calloso debido a la hidrocefalia obstructiva.

Fig 3: RM corte coronal, secuencia T1 con contraste. Se observa neoformación medial, solido-quística, heterogénea de bordes irregulares en la topografía del VI ventrículo que ocupa la totalidad del mismo, que realza en forma heterogénea tras la administración del contraste. Se observa dilatación triventricular

Fig 4: RM corte sagital, secuencia T2. Se observa neoformación, solido-quística, iso-hiperintensa heterogénea de bordes irregulares en la topografía del VI ventrículo que ocupa la totalidad del mismo. Se proyecta caudalmente a través del foramen magno. Se evidencia colapso del VI ventrículo, desplazamiento del tronco cerebral hacia anterior y abombamiento del cuerpo calloso debido a la hidrocefalia obstructiva.
De acuerdo con la revisión de 2016 de la clasificación de tumores del SNC de la Organización Mundial de la Salud (OMS) se reconocen 5 subtipos principales: Subependimoma (grado I de la OMS), Ependimoma Mixopapilar (grado I de la OMS), Ependimoma (grado II de la OMS), Ependimoma positivo para una fusión RELA (grado II y III de la OMS con cambios en el gen RELA) y Ependimoma anaplásico (grado III de la OMS) siendo las últimas tres variantes las que predominan en la infancia. Las fusiones YAP1 y RELA caracterizan 2 subgrupos diferentes de ependimomas supratentoriales teniendo influencia pronostica. Con respecto a los infratentoriales se dividen en Grupo A (PF-EPN-A) y Grupo B (PF-EPN-B). Se diferencian en relación al patrón imagenológico, alteraciones cromosómicas, edad de presentación y capacidad de recidiva, siendo el grupo A de peor pronóstico.5
Según la reciente publicación de la clasificación de tumores del SNC de la OMS el ependimoma mixopapilar se reclasifica como grado II debido a su tasa de recurrencia local. A nivel supratentorial el gen de fusión ZFTA reemplaza al gen de fusión RELA. La amplificación del MYCN se suma a clasificación de ependimomas espinales. El término "anaplásico" no forma parte siendo definido como grado II o III de la OMS de acuerdo a los hallazgos histopatológicos 6
El tratamiento más efectivo es la resección quirúrgica completa, siendo el factor pronóstico más relevante. Posteriormente a la cirugía se utiliza radioterapia adyuvante en pacientes con diagnóstico de ependimoma infratentorial y en recidivas de ependimomas supratentoriales. Varios estudios han demostrado que el tratamiento radiante es la terapia adyuvante con la que se obtienen mejores resultados. Si bien existen dudas sobre el beneficio de la quimioterapia, se indica en lactantes o pacientes con tumor residual a fin de favorecer la cirugía de “second look” y/o el uso de radioterapia con el menor residuo tumoral posible. Los pacientes pediátricos presentan mayor morbilidad y mortalidad que los adultos. Se requieren más estudios para poder adaptar terapéuticas de acuerdo a los hallazgos moleculares 1-7.
MATERIALES Y MÉTODOS
Se realizó un estudio retrospectivo teniendo en cuenta la edad, el sexo, el porcentaje de exéresis y la evolución de los pacientes con diagnóstico de Ependimoma intracraneano tratados por los Servicios de Neurocirugía y Oncología del HIAEP “Superiora Sor María Ludovica” entre el año 2011 y el 2020. Los datos fueron obtenidos del análisis de las historias clínicas con consentimiento previo.
RESULTADOS
En un período comprendido entre el mes de enero de 2011 y el mes de diciembre de 2020 fueron tratados 12 pacientes con diagnóstico de ependimoma, 2 localizados a nivel supratentorial y 10 a nivel infratentorial. Con franco predominio de sexo masculino (10 M/2 F), la media de edad fue 5,7 años (r 10 meses-14 años).
Los pacientes con enfermedad a nivel supratentorial presentaron compromiso motor en cambio a nivel infratentorial predominó la signo sintomatología relacionada a HTE. En edades más tempranas se destaca el retraso en la adquisición o la pérdida de las pautas madurativas.
La resección fue completa en los casos de Ependimoma supratentorial a diferencia de los casos de localización infratentorial en los que la exéresis fue subtotal. Sin embargo, la edad de los pacientes con ependimoma de fosa posterior fue inferior teniendo la mayoría de los niños menos de 36 meses de vida al diagnóstico.
Desde el punto de vista histológico los Ependimomas supratentoriales fueron anaplásicos OMS III, siendo uno de los casos positivo para el gen de fusión RELA por lo que recibió tratamiento radiante adyuvante. Este paciente presentó recidiva, pero fue tratado en otro centro. Ambos pacientes se encuentran vivos.
A nivel infratentorial predominó el subtipo ependimoma OMS II. En los pacientes menores de 1 año de edad se indicó quimioterapia posteriormente al tratamiento quirúrgico y luego del “second look”, radioterapia local. Todos los pacientes mayores de 1 año de edad recibieron radioterapia luego de la resección. Se encuentran vivos sin enfermedad 3 pacientes, con enfermedad estable 1 paciente y en tratamiento 2 pacientes que presentaron recidiva local. En ambos se identificó el subtipo anaplásico. Se registraron 4 fallecimientos. En dos pacientes la causa de muerte estuvo relacionada con complicaciones infecciosas y secuela neurológica postoperatoria. Ambos pacientes eran menores de 3 años de vida. Un paciente falleció por sepsis luego de la intervención quirúrgica realizada con el fin de controlar la recaída por enfermedad y otro paciente presentó recidiva metastásica con deterioro neurológico severo, no pasible de tratamiento de rescate. (Tabla 1)
Tabla 1. Resultados.
PACIENTE |
SEXO |
EDAD |
LOCALIZACIÓN |
SIGNOS Y SÍNTOMAS AL DIAGNÓSTICO |
RESECCIÓN |
SUBTIPO HISTOLÓGICO |
TRATAMIENTO ADYUVANTE |
STATUS |
DETALLE |
1 |
M |
10 |
Supratentorial |
HTE, alteración en la marcha |
Total |
OMS III |
RT |
Vivo |
Recidiva, tratado en otro centro |
2 |
M |
14 |
Supratentorial |
Paresia BC derecha |
Total |
OMS III |
Ninguno |
Vivo |
SEE |
3 |
M |
6 |
Infratentorial |
HTE, tortícolis,ataxia, dismetría, nistagmus |
Total |
OMS II |
RT |
Vivo |
SEE |
4 |
F |
5 |
Infratentorial |
HTE,ataxia,dismetría, nistagmus |
Subtotal |
OMS II |
RT |
Vivo |
EE |
5 |
F |
9 |
Infratentorial |
HTE |
Total |
OMS II |
RT |
Vivo |
SEE |
6 |
M |
6 |
Infratentorial |
HTE, ataxia |
Subtotal |
OMS II |
RT + QMT |
Fallecido |
Sepsis POP ( Cirugía 5ta recidiva) |
7 |
M |
1 |
Infratentorial |
Cefalea y vómitos |
Subtotal |
OMS II |
QMT |
Fallecido |
Secuela neurológica POP |
8 |
M |
10 |
Infratentorial |
HTE, ataxia |
Total |
OMS II |
RT |
Vivo |
SEE |
9 |
M |
<1 |
Infratentorial |
Vómitos, pérdida de pautas madurativas |
Subtotal |
OMS III |
QMT +RT |
Vivo |
En tratamiento (recidiva) |
10 |
M |
<1 |
Infratentorial |
Irritabilidad, vómitos, paresia VI par craneal |
Subtotal |
OMS II |
QMT + RT |
Vivo |
En tratamiento (recidiva OMS III) |
11 |
M |
3 |
Infratentorial |
HTE |
Total |
OMS II |
RT |
Fallecido |
Recidiva metastásica (recidiva OMS III) |
12 |
M |
3 |
Infratentorial |
Pérdida de pautas madurativas, paresia, tortícolis,nistagmus |
Subtotal |
OMS II |
Ninguno |
Fallecido |
Meningoencefalitis POP |
DISCUSIÓN
El Ependimoma es la segunda neoplasia maligna más frecuente en niños. En los últimos años se ha tratado de conformar una clasificación según la localización, los hallazgos histopatológicos y moleculares para adecuar tratamientos con los que se alcancen mejores resultados con menor grado de secuelas.
De acuerdo a lo observado en nuestra serie, todos los pacientes pudieron acceder al tratamiento quirúrgico. En concordancia con lo descripto en la bibliografía, la localización más frecuente fue a nivel de fosa posterior.2,4
La exéresis completa de los Ependimomas infratentoriales fue difícil de lograr debido a que el tumor tiende a invadir estructuras vecinas que causan elevada morbimortalidad en caso de ser lesionadas durante el acto quirúrgico. En los pacientes menores de 1 año, posteriormente a la resección quirúrgica subtotal, se indicó quimioterapia con el objetivo de disminuir la morbimortalidad relacionada con la reintervención inmediata y el daño neurocognitivo generado por el tratamiento radiante11. Luego de superada esta instancia, fueron reoperados y recibieron radioterapia local al igual que los pacientes de mayor edad debido al beneficio comprobado de la misma en cuanto a la sobrevida, aún con resecciones tumorales máximas12.
En los niños que experimentaron recidiva local o metastásica se destaca la edad menor a 3 años de vida al diagnóstico, resecciones incompletas y prevalencia del subtipo histológico anaplásico, OMS III.
En los últimos años se han modificado las técnicas de radioterapia utilizadas. Esto ha generado una disminución significativa en el daño neurológico, particularmente en niños pequeños que recibieron radioterapia de intensidad modulada13. Los últimos datos parecen indicar que la re-irradiación podría beneficiar a los pacientes que presentan recidiva de la enfermedad. Sin embargo, se requiere mayor tiempo de seguimiento para evaluar el impacto a largo plazo12,14.
Con los recientes avances en el campo de la biología molecular se ha logrado identificar 9 subtipos de Ependimomas distribuidos en los tres compartimentos. Se requiere ampliar la población de estudio para caracterizar aquellos con comportamiento agresivo e intensificar los tratamientos. Hasta el momento a nivel supratentorial se destaca la fusión RELA y a nivel infratentorial, íntimamente relacionado con los niños de menor edad, el Grupo 14,15
Es necesario el trabajo multidisciplinario entre neurocirujanos, oncólogos, radioterapeutas, pediatras y especialistas en medicina paliativa, para poder brindar una atención integral y de calidad que permita mejorar los resultados.
CONCLUSIONES
La presentación a temprana edad, la localización infratentorial y el subtipo anaplásico se relacionaron con mayor morbimortalidad.
El grado de resección se encuentra condicionado por la invasión tumoral de estructuras vecinas y esto se relaciona directamente con el pronóstico y la evolución de los pacientes.
Se requiere de intervención multidisciplinaria para diseñar la mejor estrategia terapéutica.
BIBLIOGRAFÍA
1-Florencia Moreno, María Agustina Chaplin. Registro Oncopediátrico Hospitalario Argentino, ROHA. Resultados 2000-2019. 7a ed. Ciudad Autónoma de Buenos Aires: Instituto Nacional del Cáncer 2021.
2-Nicholas A. Vitanza, Sonia Partap. Pediatric Ependymoma. J Child Neurol 2016; 31(12):1354-66.
3-Noah D. Sabin, Thomas E. Merchant, Xingyu Li, Yimei Li, Paul Klimo, Frederick A. Boop, David W. Ellison. Quantitative Imaging Analysis of Posterior Fossa Ependymoma Location in Children. Childs Nerv Syst 2016; 32(8): 1441–47.
4-Stephanie T. Jünger, Felipe Andreiuol, Martin Mynarek, Evelyn Dörner, Anja zur Mühlen, Stefan Rutkowsky, et al.: Ependymomas in infancy: underlying genetic alterations,histological features, and clinical outcome. Child's Nervous System 2020; 36:2693–00.
5-Louis DN, Ohgaki H, Wiestler OD, Cavenee WK: WHO Classification of Tumours of the Central Nervous System. 4th rev.ed. IARC Press; 2016.
6-David N. Louis, Arie Perry, Pieter Wesseling , Daniel J. Brat , Ian A. Cree, Dominique Figarella-Branger, et al.: The 2021 WHO Classification of Tumors of the Central Nervous System: a summary. Neuro-Oncology Junio 2021; XX(XX): 1–21.
7-Pajtler K., Witt H., Sill M., Korshunov A., Kool M., Pfister S. Molecular Classification of Ependymal Tumors across All CNS Compartments, Histopathological Grades, and Age Groups. Cancer Cell Mayo 2015; 27(5): 728-43.
8-Ramaswamy V, Hielscher T, Mack SC, Lassaletta A, Tong Lin, Pajtler K, et al.: Therapeutic Impact of Cytoreductive Surgery and Irradiation of Posterior Fossa Ependymoma in the Molecular Era: A Retrospective Multicohort Analysis. J Clin Oncol. 2016; 34 (21): 2468-77.
9-Pajtler K., Mack S., Ramaswamy V., Smith C., Witt H., Smith A. et al. The Current Consensus on the Clinical Management of Intracranial Ependymoma and its Distinct Molecular Variants. Acta Neuropathol 2017; 133: 5-12.
10-Thomas E. Merchant, Anne E. Bendel, Noah D. Sabin, Peter C. Burger, Dennis W. Shaw, Eric Chang, et al. Conformal Radiation Therapy for Pediatric Ependymoma, Chemotherapy for Incompletely, Resected Ependymoma, and Observation for Completely Resected, Supratentorial Ependymoma. J Clinic Oncology 2019; 37 (12): 974-83.
11-Children’s Oncology Group. ACNS0121 A phase II Trial of Conformal Radiation Therapy for Pediatric Patients with Localized Ependymoma, Chemotherapy Prior to Second Surgery for Incompletely Resected Ependymoma and Observation for Completely Resected, Differentiate, Supratentorial Ependymoma.
12-Anthony Pak-Yin Liu, Matthew Ming-Kong Shing, Hui-Leung Yuen, Chak-Ho Li, Siu-Cheung Ling, Chung-Wing Luk et al. Timing of Adjuvant Radiotherapy and Treatment Outcome in Childhood Ependymoma. Pediatr Blood Cancer 2014; 61:606–11.
13-Joongyo Lee, Seung Yeun Chung, Jung Woo Han, Dong-Seok Kim, Jina Kim, Jin Young Moon et al. Treatment outcome of anaplastic ependymoma under the age of 3 treated by intensity-modulated radiotherapy. Radiation Oncology Journal 2020; 38 (1) :26-34.
14-Soumen Khatua, Ross Magnum, Kelsey C. Bertrand, Watik Zaky, David McCall, Stephen C Mack. Pediatric ependymoma: current treatment and newer therapeutic insights. Future Oncology 2018; 14 (30): 3175-86.
15-Jens-Martin Hübner, Marcel Kool, Stefan M. Pfister, Kristian W. Pajtler. Epidemiology, molecular classification and WHO grading of ependymoma. Journal of Neurosurgical Sciences 2018; 62 (1): 46-50.
16- Seo, S.-H.; Paul, S.K. An Insight into Pathophysiological Features and Therapeutic Advances on Ependymoma. Cancers 2021; 13 (13): 3221.
COMENTARIO
El artículo de Molina y cols. nos presenta una breve y exhaustivamente analizada cohorte (acorde con la frecuencia de los Ependimomas). Nos encontramos en una etapa en la que la biología molecular modifica constantemente la identificación de los tumores del sistema nervioso y por ende aporta mayor comprensión sobre las evoluciones a mediano y largo plazo 1. Una vez más, se ratifica, que la exéresis total es el imperativo para el neurocirujano 2,3. La anatomía, en el caso de los infratentoriales constituye un impedimento cuando la implantación en el piso del IV ventrículo anticipa secuelas. También el gran volumen que alcanzan los Ependimomas es causa de limitación del acto quirúrgico debido a la Volemia que manejan los menores de 36 meses, la mayoría de la población tratada 3. Los autores puntualizan que, en caso de no lograrse la resección completa, es conveniente combinar quimioterapia para retrasar el crecimiento del residuo y aplicar Radioterapia focalizada para intentar el control de las recidivas. Comprometo a los autores para que incorporen más número de casos a esta cohorte y en un tiempo prudencial vuelvan a compartir su experiencia.
Dr. Mario S. Jaikin
Hospital de Niños Ricardo Gutiérrez
Ciudad de Buenos Aires, Argentina