Paquimeningitis crónica hipertrófica en paciente portadora de válvula ventrículo peritoneal ¿Causa o coincidencia?

Chronic hypertrophic pachymeningitis in a shunted patient. Cause or coincidence?

M. Ortega Martínez, M.D., I. Gestoso Ríos, M.D., M. Rico Cotelo, M.D., A. Rubio Fernández, M.D., M. Gómez Gutiérrez, M.D., R.J. Rinnhoffer, M.D.

Servicio de Neurocirugía del Complejo Hospitalario Universitario de Cáceres (CHUC). Avda de la Universidad S/N. Cáceres. España.


Correspondencia:

M. Ortega Martínez, M.D
Servicio de Neurocirugía del Complejo Hospitalario Universitario de Cáceres (CHUC). Avda de la Universidad S/N. Cáceres. España.


RESUMEN

Introducción: la paquimeningitis crónica hipertrófica (PCH) se caracteriza por un engrosamiento difuso de origen inflamatorio de la duramadre craneal o espinal. Su forma idiopática, cuyo diagnóstico es de exclusión, se ha relacionado con las enfermedades por depósito de IgG4. Se manifiesta con una cefalea rebelde con afectación de pares craneales y, ocasionalmente, aumento de la presión intracraneal, hiperproteinorraquia y pleocitosis. Su diagnóstico diferencial se realiza con numerosas enfermedades granulomatosas y autoinmunes, y precisa una biopsia meníngea con hallazgos compatibles. En pacientes con derivación de líquido cefalorraquídeo (LCR) el diagnóstico es difícil pues comparte neuroimagen con el síndrome de hipotensión licuoral. Caso clínico: mujer de 46 años que presenta cefalea rebelde de varios días de evolución asociada a hipertensión intracraneal, papiledema y pérdida visual. Antecedente de hipertensión intracraneal benigna tratada mediante derivación ventrículo peritoneal 15 años antes. La sospecha inicial fue de malfunción valvular, pero la paciente solo respondía a tratamiento con esteroides y las revisiones valvulares no fueron efectivas. La resonancia magnética cerebral mostró engrosamiento dural con captación de contraste. La biopsia meningea mostró infiltrado linfoplasmocitario y fibrosis. Tras el diagnóstico de PCH se instauró tratamiento crónico con metilprednisolona. Actualmente se mantiene estable, con déficits neurológicos en pares craneales y cefalea diaria. Conclusiones: la PCH presenta neuroimagen similar al síndrome de hipotensión licuoral, por lo que en un paciente con antecedente de derivación de LCR el diagnóstico puede ser un reto. No podemos descartar un origen secundario de la PCH.

Palabras clave: depósito de IgG4; engrosamiento meníngeo; hipertensión intracraneal benigna; hipotensión licuoral; paquimeningitis crónica; válvula ventrículo peritoneal.


ABSTRACT

Introduction: chronic hypertrophic pachymeningitis (HCP) is an inflammatory disease characterized by diffuse thickening of the cranial or spinal dura mater. It is related to various inflammatory, autoimmune or infectious conditions. The diagnosis of the idiopathic pachymeningitis is usually made by exclusion, even though recently it has been related to the IgG4 deposition disease. This condition produces a refractory headache, occasionally associated with cranial nerves involvement, increased intracranial pressure (ICP), high cerebrospinal fluid (CSF) protein concentration or pleocytosis. To confirm the diagnosis of HCP, granulomatous and autoimmune diseases have to be discarded and a meningeal biopsy with compatible findings is required. In patients with a history of ventricle peritoneal shunt the diagnosis can be challenging because the findings in neuroimaging are similar to the intracranial hypotension syndrome.
Case report: we present a 46 years old woman shunted due to a benign intracranial hypertension who presented years later a refractory headache, raised ICP and neurological deficit in cranial nerves. Despite several surgeries to check the shunt, the patient only responded to corticosteroids. The MRI showed lineal meningeal enhancement and the meningeal biopsy lymphoplasmacytic cell infiltration and fibrous tissue hyperplasia. After the diagnosis of HCP, she was treated with daily metilprednisolone. Currently she is stable, with cranial nerves deficits and daily headache.
Conclusions: HCP and intracranial hypotension syndrome have similar neuroimaging so in a patient with a ventricle peritoneal shunt, the diagnosis can be challenging. A secondary HCP can´t be ruled out.

Key words: benign intracranial hypertension; chronic pachymeningitis; CSF hypotension; IgG4 deposit; meningeal thickening; ventricle peritoneal shunt.


INTRODUCCIÓN 

La paquimeningitis crónica hipertrófica (PCH) es una entidad clínica caracterizada por un engrosamiento difuso de origen inflamatorio de la duramadre craneal o espinal. Se han descrito casos relacionados con procesos autoinmunes, inflamatorios y neoplásicos. Cuando no tiene causa conocida, se cataloga como idiopática, siendo un diagnóstico de exclusión. Dada la variabilidad de sus manifestaciones clínicas, su diagnóstico es difícil y precisa un estudio dirigido que incluye una valoración por imagen, una biopsia meníngea y un amplio proceso de descarte de enfermedades granulomatosas, autoinmunes, infecciosas y neoplásicas. (1) El síndrome de hiperdrenaje de líquido cefalorraquídeo (LCR) se da en pacientes portadores de válvulas, que suelen ser de baja presión, colocadas en la infancia y sin sistemas antigravitatorios. Generalmente cursa con clínica de hipotensión endocraneal, aunque no siempre, y asocia un engrosamiento meníngeo que remeda una PCH. Presentamos un caso de una mujer portadora de derivación de LCR que desarrolló años después una PCH, quizás secundaria a dicha derivación.

CASO CLÍNICO

Mujer de 46 años que acudió a urgencias por presentar, en la semana previa, aumento de su cefalea habitual, a la que se asociaron las últimas 24 horas diplopia, visión borrosa con pérdida de visión en ojo izquierdo, acúfenos y vómitos. La cefalea no tenía relación con cambios posturales y se focalizaba en región retroocular. Presentaba un papiledema bilateral.

Tenía como antecedente relevante un diagnóstico de hipertensión intracraneal benigna que se trató, a la edad de 31 años, con una derivación lumboperitoneal; dicha derivación desencadenó un pseudo-chiari con siringomielia cervical, por lo que se retiró y se sustituyó por un sistema de derivación ventrículo peritoneal (SDVP) tipo unishunt, de presión media y sin antisifón, que se mantuvo hasta su ingreso actual. El pseudochiari y la siringomielia respondieron a la retirada de la derivación lumboperitoneal sin precisar descompresión de fosa posterior. Durante 15 años, tras el implante del SDVP, se mantuvo con buena agudeza visual y sin papiledema, aunque con cefaleas constantes no relacionadas con ortostatismo que se trataban con AINEs y acetazolamida (250 mg cada 8 horas). Debido a la persistencia de las cefaleas se había monitorizado la presión intracraneal (PIC), descartando alteraciones tanto por hiper como por hipotensión.

En el ingreso actual se le realizó una TC de cráneo urgente que mostró el catéter proximal del SDVP normoposicionado en ventrículos de muy pequeño tamaño (Figura 1). Se obtuvo LCR mediante punción lumbar, detectándose 25 leucocitos de predominio mononuclear, con glucosa normal y una hiperproteinorraquia de 325 mg/dl (20-50). El cultivo fue negativo. Se procedió a monitorización de la PIC mediante un sistema parenquimatoso tipo Camino, detectándose ondas sostenidas de presión elevada, entre 40 y 50 mmHg, durante varias horas (Figura 2). Mientras se completaban los estudios y para controlar la PIC se añadió tratamiento empírico con dexametasona a dosis de 4 mg cada 6 horas, normalizándose la presión intracraneal (Figura 2) y mejorando subjetivamente la visión, los acúfenos y la cefalea. La sospecha inicial fue la de malfunción valvular por un síndrome de ventrículos en hendidura, definida como “cefalea severa en un paciente con válvula y ventrículos pequeños”, (2) y como causa más probable, una obstrucción intermitente por un síndrome de hiperdrenaje. El tratamiento indicado en este caso es recambio por una válvula a mayor presión y con sistema antigravitatorio.(2) Esta intervención se realizó a las 48 horas del ingreso, pero al suspender los corticoides tras la cirugía la clínica se recrudeció. Se decidió entonces asociar una derivación lumboperitoneal para aumentar la extracción de LCR, pero ante el antecedente de pseudo-chiari se realizó previamente una descompresión de fosa posterior con duroplastia, extrayendo duramadre en el mismo acto quirúrgico para su análisis histológico. Tras el implante de la derivación lumboperitoneal se volvieron a suspender los corticoides y, de nuevo, se recrudeció la sintomatología, lo que motivó una nueva cirugía para comprobar el funcionamiento de las derivaciones que era correcto.

El análisis histológico de la duramadre mostró fibrosis, calcificaciones finas e infiltrado inflamatorio con linfocitos, histiocitos, células plasmáticas y neutrófilos (Figura 3). Asociaba un estroma fibroso con un infiltrado inflamatorio de patrón perivascular y difuso. No se identificaron signos de flebitis obliterante. Se contaron de media menos de 10 células IgG4 por campo de gran aumento (CGA), no cumpliendo criterios de enfermedad por depósito de IgG4.

La resonancia magnética (RM) de cráneo y columna cervical mostró ventrículos de muy pequeño tamaño y un engrosamiento de la duramadre craneal que afectaba a la hoz cerebral y al tentorio, así como un engrosamiento del ligamento amarillo mayor a nivel C7-D1 (Figura 1). La fosa posterior, de pequeño tamaño, mostraba una adecuada descompresión, con imagen de hiperintensidad central a nivel de C2 como secuela de una siringomielia ya parcialmente resuelta. El engrosamiento dural era lineal y realzaba con gadolinio, dejando un centro hipocaptante, especialmente a nivel de la hoz. El ligamento amarillo engrosado no captaba contraste.

En estos momentos, dada la dependencia de los corticoides, la ausencia de la respuesta a las revisiones valvulares, la neuroimagen y el resultado de la biopsia meníngea se realizó el diagnóstico de PCH. El estudio de autoinmunidad no mostró alteraciones, la enzima convertidora de angiotensina (ECA) se encontraba en límites normales, el Mantoux fue negativo y no existían datos que sugirieran neoplasias. Los niveles séricos de IgG4 no estaban elevados. Se mantuvo el tratamiento con metilprednisolona a dosis iniciales de 40 mg/día, mejorando la clínica. Posteriormente se asoció metrotexato para reducir los corticoides, manteniéndose finalmente con metilprednisolona a dosis de 6 mg/día. Actualmente persiste una cefalea crónica diaria no limitante y no hay papiledema, pero mantiene secuelas visuales y auditivas, así como ataxia de la marcha y distonía en miembro superior derecho por la afectación espinal.

DISCUSIÓN

La PCH se definió por Charcot y Joffroy en 1869, en relación con la forma espinal, como “un proceso en que las leptomeninges se vuelven engrosadas y opacas, y en última instancia adheridas a la duramadre y la médula”.(3) La forma craneal, que se describió poco después, es la más frecuente ( 80% frente a un 15% de la variante espinal, y un 5% de la craneoespinal).(1) Relacionada con infecciones, traumatismos, neoplasias o enfermedades autoinmunes,(3) cuando no se encuentra causa subyacente se diagnostica como idiopática. La primera descripción de una PCH idiopática data de 1940, por Naffziger y Stern,(1) y desde entonces la mayoría de las formas descritas corresponden a esta variedad. Tanto las formas idiopáticas como las secundarias cursan con cefalea crónica severa debida al proceso inflamatorio que afecta a la duramadre y alteraciones de pares craneales, especialmente del VIII, del II y de los oculomotores. La cefalea, presente en más del 95% de las personas afectadas, puede preceder durante años a otra sintomatología.(1) Las alteraciones en pares craneales se achacan a un engrosamiento dural alrededor de los propios nervios o de los orificios craneales por los que transcurren los mismos. En un 32% de los casos se describen alteraciones de tipo cerebeloso, especialmente marcha atáxica, debido al efecto compresivo que produce la duramadre engrosada en la fosa posterior.(1) Se han descrito hemiparesia, pérdida de memoria y crisis comiciales, aunque son raras,(3) y se explican por el edema cerebral multifocal que se ve en algunos pacientes.(4) En un 25% hay aumento de la PIC, ya sea por bloqueo de la reabsorción de LCR en las granulaciones de Paccioni, o por compromiso del retorno en los senos venosos.(3) A veces hay aumento de proteínas y pleocitosis en el LCR,(5) confirmando una situación de inflamación crónica. Cuando está afectada la duramadre espinal, la manifestación más frecuente es la paraparesia progresiva.(4) 

Desde el punto de vista etiológico, destaca la similitud de esta enfermedad con otras enfermedades fibrosantes inflamatorias, cuya etiología podría ser autoinmune, y que tienen una respuesta a la corticoterapia similar a la de la PCH, como la enfermedad de Tolossa-Hunt, el pseudotumor orbitario, la polineuritis craneal y la fibroesclerosis multifocal.(1) 

Actualmente la PCH se relaciona con las enfermedades por depósito de IgG4, entidad caracterizada por lesiones esclerosantes en órganos con infiltrado de células inflamatorias productoras de IgG4 y asociado a niveles séricos aumentados de dicha inmunoglobulina. La primera descripción fue en 2001 en relación con una pancreatitis autoinmune,(6) y posteriormente se ha encontrado similar relación en otros órganos como vías biliares, glándulas salivares, tiroides o piel.(7) En 2009 se comunicó un caso que relacionaba la PCH en el canal medular con las enfermedades relacionadas con la IgG4 (8) y, posteriormente, se han comunicado otros casos con afectación tanto espinal como cerebral, sugiriéndose que muchos casos antes considerados idiopáticos pertenecen al grupo de las enfermedades por depósito de IgG4.(7) 

En la RM es característico un engrosamiento dural que puede ser difuso, nodular o ambos, estando más frecuentemente afectados el tentorio, la hoz cerebral y la base del cráneo.(5) Cuando afecta a la columna, la región más frecuentemente implicada es la cérvicodorsal. Este engrosamiento se ve hipointenso en T1 y en T2, y realza intensamente con gadolinio, aunque persiste en muchos casos un centro hipointenso. Las zonas que realzan con el gadolinio corresponden a las zonas con inflamación, mientras que la zona de hipointensidad corresponde a la zona de fibrosis.(4) En ocasiones, el engrosamiento dural y la captación de contraste remedan un meningioma.(9) 

El estudio histológico muestra un engrosamiento fibroso de la duramadre asociado a un infiltrado crónico de linfocitos y células plasmáticas. Las formas relacionadas con la IgG4 requieren unos criterios anatomopatológicos para su diagnóstico, recogidos en el documento de consenso de 2012.(10) Los hallazgos característicos son tres: denso infiltrado linfoplasmocitario con centros germinales; fibrosis con patrón arremolinado; y flebitis obliterante. Para tener un diagnóstico “altamente sugestivo” deben estar presentes al menos dos de dichas características. Si solo está presente una de ellos se da el diagnóstico de “probable”, siempre que haya al menos 10 células IgG4+ /CGA.

La PCH generalmente progresa si no recibe tratamiento. El tratamiento es etiológico y, en las formas idiopáticas, incluyendo las relacionadas con la IgG4, suele combinarse el corticoideo con el inmunosupresor. Los corticoides, efectivos en la mayoría de los pacientes, producen un beneficio temporal y parcial, y los síntomas reaparecen tras el cese de la terapia. En algunos casos, como en el que presentamos, se precisan dosis altas de corticoides para controlar la sintomatología, con la consiguiente yatrogenia. En estos casos, los inmunosupresores como metrotexato, ciclofosfamida o azatioprina se han utilizado con éxito, permitiendo retirar o al menos reducir la dosis de esteroides. En casos de buena respuesta clínica algunos autores han comunicado mejoría radiológica, con disminución del engrosamiento y la inflamación dural.(3) En las formas espinales, si existen compresión y síntomas neurológicos, se recomienda la descompresión del canal, aunque puede haber importantes adherencias a la duramadre y se han descrito casos de deterioro tras la cirugía.(11) 

El síndrome de hipotensión intracraneal, descrito en 1938 por Schaltenbrand, se caracteriza por ataques recurrentes de cefalea y dolor cerviconucal que se desencadenan con el ortostatismo y mejoran con el decúbito, asociado a náuseas y acúfenos.(12) En el LCR, al igual que con la PCH, puede existir ligera pleocitosis e hiperproteinorraquia,(12,13) indicativo de un proceso inflamatorio crónico. En la RM los hallazgos también son similares a los de la PCH, aunque el engrosamiento dural es más lineal y sin nódulos.(13) A veces existen colecciones subdurales bilaterales y dilatación del plexo venoso epidural. Suele existir antecedentes de punción o drenaje lumbar, traumatismos, divertículos radiculares o fistulas de LCR al espacio epidural.(12) La presión de apertura del LCR está por debajo de 40 mmHg sólo en la mitad de los pacientes,(13) sugiriéndose que el nombre adecuado sería síndrome de hipovolemia de LCR mejor que síndrome de hipotensión intracraneal.(12) Su fisiopatología se explica por la doctrina de Monro-Kellie(12): en el interior del cráneo la suma del parénquima cerebral, el LCR y la sangre es constante. Si uno de ellos disminuye se produce un incremento compensador de los otros componentes. En este caso, al disminuir el LCR se produce una congestión venosa, lo que se manifiesta en forma de realce dural con gadolinio y aumento del plexo venoso epidural vertebral. El tratamiento mediante reposo con decúbito a cero grados, hidratación IV y analgésicos suele ser curativo en pocas semanas. Una variante se produce en pacientes con SDVP, el “síndrome de hiperdrenaje de LCR”, una situación en la cual el drenaje excesivo y persistente de LCR a través de la válvula origina una depleción de LCR con disminución del tamaño ventricular. Esto puede manifestarse en forma de cefaleas ortostáticas o, a la inversa, en forma de hipertensión intracraneal intermitente cuando el ventrículo, prácticamente colapsado, se obstruye temporalmente (“slit ventricle syndrome”).(2) 

El caso que presentamos supuso un reto diagnóstico. La cefalea, los signos y síntomas de hipertensión intracraneal en un paciente con SDVP y ventrículos en hendidura hacen pensar en una malfunción valvular por “slit ventricle”. La pleocitosis leve del LCR y el aumento de proteínas eran igualmente congruentes con el síndrome de hiperdrenaje de LCR/hipotensión licuoral, la neuroimagen con el engrosamiento dural y la captación de gadolinio, compatible. El tratamiento propuesto es inicialmente el recambio de la válvula, aumentando la presión de salida de LCR y asociando un sistema antigravitatorio. Ante el fracaso de este tratamiento, la ampliación de la fosa posterior y el implante de la derivación lumboperitoneal fueron los siguientes pasos. La paciente únicamente respondió al tratamiento esteroideo e inmunosupresor, por lo que junto a la imagen de la RM y la biopsia han dado lugar al diagnóstico de PCH. No hemos encontrado en nuestra búsqueda de la literatura ningún trabajo que considere el síndrome de hiperdrenaje valvular como el causante de la PCH, de modo que no podemos determinar si esta asociación es una mera coincidencia o si la depleción crónica de LCR puede ser considerada la causa de la PCH.

CONCLUSIÓN
La PCH es una entidad clínica poco frecuente que cursa con manifestaciones abigarradas en las que la cefalea es constante. Es secundaria a múltiples enfermedades granulomatosas, infecciosas, autoinmunes o neoplásicas. Si no hay causa conocida se denomina idiopática. En el caso que presentamos coincide una PCH con una SDVP de larga evolución, sin poder determinarse si se trata de una coincidencia, o la depleción crónica de LCR puede ser considerada la causa de la PCH.

 


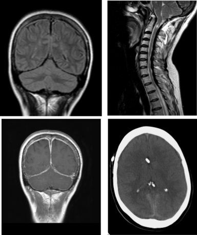
Figura 1. RM cráneo y columna cervical. Arriba a la izquierda, imagen en T2 donde se ve el tentorio y la hoz hipointenso y engrosado. A la derecha, RM de columna cervical sagital que muestra el engrosamiento del ligamento amarillo a nivel cérvicodorsal y los restos de siringomielia cervical tras la descompresión de fosa posterior. Abajo, izquierda, cortes coronales en T1 con gadolinio, observándose la captación de la duramadre de la convexidad, del tentorio y de la hoz, con una zona hipointensa en el interior, sobre todo en la hoz cerebral. A la derecha, TC de cráneo con catéter proximal normoposicionado y ventrículos en hendidura.

 


Figura 2. A la izquierda, monitorización de la PIC al inicio del cuadro. Se puede ver una presión intracraneal muy elevada, manteniéndose durante varias horas entre 20 y 50 mmHg. A la derecha, la monitorización de la PIC tras 24 horas del inicio de la toma de corticoides, con desaparición de las ondas de elevación patológica y PIC normal-baja.

 


Figura 3. Biopsia meningea. A la izquierda, HE a 40x que muestra infiltrado inflamatorio con linfocitos, histiocitos, células plasmáticas y algún eosinófilo. En el centro, HE a 4x que muestra el estroma fibroso, sin signos de flebitis obliterante. A la derecha, inmunohistoquímica IgG4 a 40x, con menos de 10 células IgG4 por campo de gran aumento (9 en la imagen).


BIBLIOGRAFÍA

  1. Arismendi-Morillo GJ, González M, Molina-Viloria OM, Cardozo JJ. Paquimeningitis hipertrófica idiopática: un dilema diagnóstico. Rev Neurol. 2004; 39: 830-4.
  2. Rekate HL. Shunt-related headaches: the slit ventricle syndromes. Childs Nerve Syst. 2008; 24: 423-30.
  3. Kupersmith MJ, Martin V, Heller G, Shah A, Mitnik HJ. Idiopathic hypertrophic pachymeningitis. Neurology. 2004; 62: 686-94.
  4. Jiménez-Caballero PE, Diamantopoulos-Fernández J, Camacho-Castañeda I. Paquimeningitis hipertrófica craneal y espinal. Descripción de cuatro casos nuevos y revisión de la bibliografía. Rev Neurol. 2006; 43: 470-5.
  5. Vargas-Bellina V, Saavedra-Pastor H, Alvarado-Rosales M, Porras-Carrión M, Cjuno-Pinto R, Gonzáles-Quispe I, et al. Paquimeningitis hipertrófica idiopática: a propósito de un caso. Rev Neurol. 2009; 48: 300-3.
  6. Hamano H, Kawa S, Horiuchi A, Unno H, Furuya N, Akamatsu T, et al. High serum IgG4 concentrations in patients with sclerosing pancreatitis. N Engl J Med. 2001; 344: 732-8.
  7. Rodríguez-Castro E, Fernández-Lebrero A, López-Dequidt IA, Rodríguez-Osorio X, López-González FJ, Suárez-Peñaranda JM, et al. Paquimeningitis hipertrófica secundaria a enfermedad relacionada con IgG4: descripción de un caso y revisión de la bibliografía. Rev Neurol. 2015; 61: 308-12.
  8. Chan SK, Cheuk W, Chan KT, Chan JKC. IgG4-related sclerosing pachymeningitis: a previously unrecognized form of central nervous system involvement in IgG4-related sclerosing disease. Am J Surg Pathol. 2009; 33: 1249-52.
  9. Sánchez Medina Y, Triana Pérez A, Domínguez Báez J, Gómez Perals LF, Pérez del Rosario PA. Paquimeningitis hipertrófica crónica: presentación de dos casos. Neurocirugía. 2013; 24: 82-7.
  10. Deshpande V, Zen Y, Chan JK, Yi EE, Sato Y, Yoshino T, et al. Consensus statement on the pathology of IgG4 related-disease. Mod Pathol. 2012; 25:1181-92.
  11. Park JY, Choi I, Khil EK, Kim WJ, Shin IY. Idiopathic Hypertrophic spinal pachymeningitis with spinal cord lesion: a case report. Korean J Neurotrauma. 2020; 16: 367-73.
  12. Miyazawa K, Shiga Y, Hasegawa T, Endoh M, Okita N, Higano S, et al. CSF hypovolemia vs intracranial hypotension in “spontaneous intracranial hypotension syndrome”. Neurology. 2003; 60: 941-7.

Mockri B, Piepgras DG, Miller GM. Syndrome of orthostatic headaches and diffuse pachymeningeal gadolinium enhancement. Mayo Clin Proc. 1997; 72: 400-13.


COMENTARIO

Los autores presentan un interesante caso de modo detallado y llaman a la reflexión.

En 1869, Charcot and Joffroy publicaron un escrito donde señalan "la leptomeninge vecina siempre sufre, volviéndose opaca y espesa, y firmemente unida a la duramadre”. [1] Desde que ellos describieron esta enfermedad hasta el presente se plantean diversos interrogantes respecto a su patogenia y tratamiento.

En 1993, se desarrolló un estudio en California sobre casos quirúrgicos de paquimeningitis crónica hipertrófica idiopática (PCHI), el más citado en el ámbito de la Neurocirugía. El mismo presenta 3 nuevos casos y revisa 9 casos previos de la literatura. [4] En ninguno de los 12 casos se enfatizó respecto a la presencia previa de shunt. En este sentido, el planteo de los autores del presente trabajo es osado, al proponer un posible nuevo factor en la patogenia de la enfermedad: el hiper-drenaje de LCR ante la presencia de un shunt previo.

En 2004, Kupersmith et al. presentaron un artículo que se constituye como la primera serie de pacientes diagnosticados con biopsia de meninges y RM con seguimiento clínico-radiológico a largo plazo. [3] Estas dos herramientas diagnósticas, utilizadas de forma asociada, trajeron algo de luz al oscuro terreno de la PCHI. Actualmente es el artículo más citado en el ámbito de la Neurología.

Un artículo más actualizado sobre el tema (2020), de Charleston y Cooper, [2] sostiene que muchos casos de PCHI estarían estrechamente relacionados con trastornos inflamatorios. De este modo, casos de paquimeningitis hipertrófica que fueron anteriormente considerados como idiopáticos, actualmente podrían explicarse por un trastorno de la IgG4.

  1. Charcot JM, Joffroy A. Deux cas d’atrophie musculaire progressive avec lésions de la substance gris et des faisceaux antériolatéraux de la melle épinière. Arch Physiol Norm Pathol. 1869;2:354–367.
  2. Charleston L, Cooper W. An Update on Idiopathic Hypertrophic Cranial Pachymeningitis for the Headache Practitioner. Curr Pain Headache Rep. 2020;24(10):57.
  3. Kupersmith MJ, Martin V, Heller G, Shah A, Mitnick HJ. Idiopathic hypertrophic pachymeningitis. Neurology. 2004;62(5):686-94.
  4. Mamelak AN, Kelly WM, Davis RL, Rosenblum ML. Idiopathic hypertrophic cranial pachymeningitis. Report of three cases. J Neurosurg. 1993;79(2):270-6.

 

José I. Pailler
Juan F. Villalonga
Servicio de Neurocirugía, Hospital Padilla, Tucumán.

 


COMENTARIO
Los autores presentan un caso de una paciente con un diagnóstico final de paquimeningitis crónica hipertrófica (PCH) con antecedente de colocación de una derivación ventrículo peritoneal. Se aprecia una excelente descripción del cuadro clínico, antecedentes múltiples y conductas terapéuticas realizadas en este complicado caso.
Como bien resaltan los autores, la PCH es un diagnóstico de exclusión y, en gran porcentaje, se asume como idiopática ya que no se encuentra factor causal. De la misma manera, resaltan lo difícil y la temporalidad de la respuesta a las diferentes modalidades terapéuticas que se aplican.
En cuanto a la asociación con la derivación ventrículo peritoneal, considero muy útil que este dato sirva como “el inicio” de un seguimiento más dirigido en estos pacientes logrando una mayor casuística y, de esa manera, evaluar de manera más correcta la probable asociación.
Como dato agregado, es importante sumar el hecho de que hay reportados algunos casos de trombosis/oclusión de senos venosos craneanos secundarios a la presencia de esta patología (PCH), lo que podría llevar a un cuadro de hipertensión endocraneana e incluso el desarrollo de hidrocefalia evolutiva con probable necesidad de colocar un shunt. Por lo dicho anteriormente, considero tener en cuenta la probabilidad de que el orden de la asociación postulada en este trabajo sea a la inversa (PCH desarrolló hidrocefalia con necesidad de shunt), lo que será confirmado o no en el futuro con el reporte de más casos, como lo hizo este grupo de autores.

 

                                                                   Gastón Dech

Hospital de Niños Ricardo Gutiérrez. C.A.B.A., Argentina

 

 

Kaiyuan Huang, Qingsheng Xu, Yuankun Ma et al. Cerebral venous sinus thrombosis secondary to idiopathic hypertrophic cranial pachymeningitis: A case report and review of the literature. World Neurosurg, 2017, Oct;106:1052.e13-1052.e21.