Adherencias intraventriculares e inflamación del epéndimo causada por Tuberculosis visualizada vía neuro endoscópica: Reporte de caso
Luis Felipe Macha Quillama, William Julio Martínez Díaz y Juan Luis Cam Paucar
RESUMEN
Introducción: La Organización Mundial de la Salud (OMS) refiere que la Tuberculosis es la segunda causa de muerte infecciosa más común en adultos a nivel mundial. La “Estrategia Fin a la Tuberculosis” de la OMS consiste en reducir la mortalidad de la Tuberculosis en un 90% y su incidencia en un 80% de aquí al 2030.
Objetivos: Reportar los hallazgos intraventriculares mediante neuro endoscopía en un paciente con Tuberculosis en el Sistema Nervioso Central.
Descripción del caso: Paciente diagnosticado de Tuberculosis en el Sistema Nervioso Central. Cursó con Hipertensión endocraneana e hidrocefalia, motivo por el cual fue sometido a múltiples cirugías (incluyendo craniectomía descompresiva y Drenaje ventricular externo). Presentó hidrocefalia asimétrica, luego se planteó una neuro endoscopia para fenestrar el septum pellucidum.
Intervención: Mediante endoscopía ventricular se evidenciaron adherencias intraventriculares difusas producto de la infección además de obstrucción parcial del Foramen de Monro.
Conclusión: En la Tuberculosis en el Sistema Nervioso Central se puede evidenciar adherencias intraventriculares.
Palabras clave: Tuberculosis, cerebro, endoscopía, hidrocefalia
Intraventricular adhesions and ependymal inflammation caused by Tuberculosis visualized via neuro-endoscopy: Case report
SUMMARY
Introduction: The World Health Organization (WHO) reports that Tuberculosis is the second most common cause of infectious death in adults worldwide. The WHO "End TB Strategy" is to reduce TB mortality by 90% and its incidence by 80% by 2030.
Objectives: To report the intraventricular findings by neuro endoscopy in a patient with Tuberculosis in the Central Nervous System.
Case description: Patient diagnosed with Central Nervous System Tuberculosis. He cursed with endocranial hypertension and hydrocephalus, which is why he underwent multiple surgeries (including decompressive craniectomy and external ventricular drainage). He presented asymmetric hydrocephalus, then a neuro endoscopy was considered to fenestrate the septum pellucidum.
Intervention: Ventricular endoscopy revealed diffuse intraventricular adhesions as a result of the infection as well as partial obstruction of the Foramen of Monro.
Conclusion: In Tuberculosis in the Central Nervous System, intraventricular adhesions can be evidenced.
Key Words: Tuberculosis, brain, endoscopy, hydrocephalus
INTRODUCCIÓN
Desde que Robert Koch descubrió el bacilo de la Tuberculosis (TBC) en 1882, numerosos estudios han descrito a la TBC como una de las enfermedades con alta morbilidad y mortalidad, incluso la Organización Mundial de la Salud en su reporte de 2014 refiere que la TBC es la segunda causa de muerte infecciosa más común en adultos a nivel mundial debido a que muchas personas con síntomas leves no acuden a una detección temprana. (1)
Dentro de las infecciones de la TBC existen diferentes formas de presentación. En el Sistema Nervioso Central (SNC) está descrito que las proteínas del bacilo de Koch provocan una reacción inflamatoria en el espacio sub aracnoideo, produciendo cambios inflamatorios especialmente en la base de cráneo pudiendo generar aracnoiditis proliferativa (más marcada en la base de cráneo que incluso puede recubrir los nervios craneales adyacentes y vasos penetrantes), (2) vasculitis cerebral (con posible formación de aneurismas, trombosis o infartos (3) hidrocefalia (debido a la disminución en la reabsorción de Líquido Céfalo Raquídeo [LCR] y el proceso inflamatorio de las cisternas basales).
Debido a la alta morbi – mortalidad, la OMS tiene como “Estrategia Fin a la Tuberculosis” que consiste en reducir la mortalidad de la TBC en un 90%, y su incidencia en un 80% de aquí al 2030. (4)
El objetivo principal es reportar la inflamación formada en el espacio interventricular en un paciente con diagnóstico de TBC en el SNC, demostrada por endoscopía siendo la justificación de este reporte de caso conocer una complicación de la infección por TBC en el SNC.
El presente reporte de caso contó con la aprobación del Comité Institucional de Ética en Investigación del Instituto Nacional de Ciencias Neurológicas – Perú.
No existen conflictos de intereses para el presente Caso Clínico.
PRESENTACIÓN DEL CASO
Se trata de un paciente varón de 32 años, estudiante universitario, con antecedente previo de diarrea crónica (7 meses antes del ingreso) con resultados para VIH negativos.
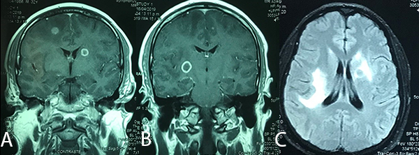
Paciente refiere que aproximadamente un mes y medio antes del ingreso inició cefalea holocraneana punzante de intensidad 2/10 que fue progresando hasta intensidad 6/10 que duraba 3 horas aproximadamente y cedía con el descanso (paciente asoció dicha cefalea a estrés). Al persistir los síntomas, el paciente se auto medica con analgésicos (no recuerda el nombre) pero no hubo mejoría clínica. Una semana antes del ingreso refiere que la cefalea se incrementa al realizar esfuerzo físico llegando hasta 9/10 de intensidad. Dos días antes del ingreso, el paciente presenta vómitos matutinos en dos oportunidades, además de visión borrosa con aparente adormecimiento de la mano derecha, con un episodio de afasia de 10 segundos de duración sin compromiso de conciencia. Es llevado a clínica particular donde realizan una Resonancia Magnética (RMN) contrastada (Imagen 1) e indican que sea referido a un establecimiento especializado por lo que acude al Instituto Nacional de Ciencias Neurológicas.
Imagen 1: RMN de cerebro: (A) y (B): cortes coronales en secuencia T1 con contraste donde se observan imágenes múltiples con captación de contraste en anillo. (C): corte axial en secuencia Flair que muestra edema peri lesional.
En el examen físico de ingreso, el paciente se encontraba en buen estado general, buen estado de hidratación, ventilando espontáneamente, Glasgow 15/15, pupilas isocóricas, fotorreactivas, sin déficit motor ni sensitivo, agudeza visual disminuida en ojo izquierdo. Inicialmente por la Resonancia Magnética (imagen 1), se sospechó de toxoplasmosis, recibiendo tratamiento médico, pero al no haber mejoría clínica es programado a biopsia por estereotaxia.
Un día antes de la biopsia, el paciente presenta somnolencia. Se realiza una Tomografía Espiral Multicorte (TEM) sin mayor alteración, se decide realizar la biopsia estereotáxica donde se incluye estudio de Reacción en Cadena de Polimerasa (PCR por sus siglas en inglés) para Toxoplasmosis y TBC.
Posterior a la biopsia, el paciente presentó mayor alteración del sensorio, con TEM control evidenciándose hidrocefalia. Se decide la colocación de una Derivación Ventricular Externa (DVE) con medición de la Presión Intra Craneana (PIC) (Imagen 2).

Imagen 2: (A), (B) y (C) TEM cerebral sin contraste en corte axial muestra leve dilatación ventricular con catéter de DVE, además de ligera asimetría entre hemisferios cerebrales.
El paciente no presentó mejoría del estado de conciencia, ingresando a Unidad de Cuidados Intensivos donde se evidencia hipertensión endocraneana refractaria, con mediciones de PIC mayores de 20 mmHg sostenida más de 30 minutos pese a tratamiento neurointensivo. Debido a ligera asimetría interhemisférica (Imagen 2) con hipo densidades sugerentes de edema cerebral frontal derecho es sometido a una Craniectomía Descompresiva.
La biopsia fue no concluyente histopatológicamente, además el resultado de PCR para toxplasmosis fue negativo y el PCR para TBC de la muestra resultó positivo.
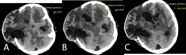
Posteriormente, el paciente persiste con deterioro clínico llegando a una escala de Vellore de IV(5) (en el examen físico presentaba signos de decorticación y pupilas anisocóricas); por falla de DVE se decide colocar un nuevo sistema de DVE, evidenciándose en la TEM control asimetría en los ventrículos (Imagen 3), motivo por el cual el paciente es sometido a una endoscopía para fenestración de septum pellucidum.

Imagen 3: (A), (B), (C) TEM cerebral sin contraste cortes axiales previa a la fenestración endoscópica, se evidencia hidrocefalia asimétrica post colocación de DVE en el cuerno frontal izquierdo.
Se realizó la neuroendoscopía utilizando una óptica de 0 grados, de 30 cm. ingresando por el lóbulo frontal derecho. Inmediatamente al ingreso de la óptica se evidenciaron múltiples adherencias intra ventriculares. El foramen de Monro se encontraba parcialmente obstruido por una adherencia, además el epéndimo presentaba coloración amarillenta y las adherencias se encontraban difusamente en los ventrículos. Se intentó realizar una extracción de las membranas, pero se encontraban adheridas firmemente a las paredes ventriculares. (Imagen 4). Se realizó la fenestración del Septum Pellúcidum, con colocación de una nueva DVE, por lo que el paciente presentó mejoría clínica e imagenológica (Imagen 5).

Imagen 4: Fotografías intraoperatorias endoscópicas del ventrículo derecho. (A).Múltiples adherencias intraventriculares con epéndimo ligeramente amarillento. (B) Se evidencia obstrucción parcial del foramen de Monro. (C) Se realiza la extracción parcial de membranas intraventriculares. (D) Realización de la fenestración del Septum Pellucidum. Se evidencia ligero punteado en el epéndimo. SP: Septum Pellucidum; VSA: Vena septal anterior; FM: foramen de Monro; FO: fórnix.

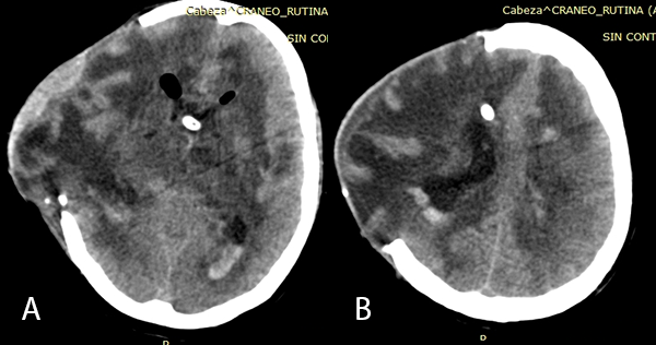
Imagen 5: (A) y (B) TEM cerebral sin contraste en cortes axiales post fenestración y colocación de nuevo DVE: se evidencia disminución de la asimetría ventricular y disminución de protrusión por defecto óseo craneal.
DISCUSIÓN
La TBC en el SNC es un tipo de TBC secundaria. Luego de la infección primaria, los bacilos se diseminan vía hematógena y linfática hacia diferentes sistemas, entre ellos el SNC. Es sabido que la presencia de un tuberculoma sub ependimario puede progresar hacia el espacio sub aracnoideo, desarrollando una infección meníngea por Tuberculosis.(6) En el adulto, se sabe que la TBC en el SNC es debido a una reactivación crónica (generalmente con inmunodeficiencia) pero en el caso del paciente que presentamos no se encontró causa aparente de inmunodeficiencia. Hawn et al. refieren que la susceptibilidad del huésped en la TBC podría estar influenciada a la asociación de la vía del receptor tipo Toll - 1 (proteína del sistema inmune innato que estimula la respuesta inflamatoria) con un Odds Ratio de 3.02 (p<0.001) para la TBC meníngea. (7)
La escala de Vellore(5) está basada en criterios clínicos. Grado I: cefalea, vómitos, fiebre, sin déficit neurológico y sensorio normal; Grado II: sensorio normal con déficit neurológico presente; Grado III sensorio alterado ligeramente y déficit neurológico severo puede o no estar presente; Grado IV: profundamente comatoso y con postura de descerebración o decorticación. El paciente presentó un valor de la escala Vellore IV. Las causas para el déficit del sensorio en pacientes con TBC en el SNC son múltiples, en el caso de la hidrocefalia persistente se decidió la cirugía. El pronóstico de los pacientes con escala de Vellore III y IV es pobre.(8)
Las imágenes iniciales del paciente mostraron lesiones difusas. La secuencia T1 con contraste de la RMN mostró múltiples tuberculomas supra e infra tentoriales con un anillo que realza el contraste. Además en la secuencia Flair se evidenció edema perilesional de los tuberculomas. Sanei et al.(9) refieren que imagenológicamente la TBC en el SNC puede simular diferentes afecciones neurológicas (infecciosas y no infecciosas).
En la TBC del SNC se evidencia que se produce una reacción inflamatoria afectando las cisternas basales con obliteración de las mismas, evidenciándose en la TEM cerebral como exudados isodensos o hiperdensos tal como indica Bathla et al.(10) En la TEM cerebral (Imagen 3) del paciente se evidenció que las cisternas basales se encontraban obliteradas por imágenes ligeramente hiperdensas.
La hidrocefalia en pacientes con TBC meníngea es más común de tipo comunicante (aproximadamente el 80%).(11) En el caso del paciente, probablemente las adherencias intraventriculares y la obliteración parcial del foramen de Monro hayan causado una hidrocefalia asimétrica y obstructiva.
Torrez-Corzo et al.(12) realizaron 24 endoscopías ventriculares a pacientes con meningitis, reportando que dichos pacientes presentaron aracnoiditis adhesiva, que incluso cubrían nervios craneales. Los hallazgos endoscópicos en nuestro paciente fueron similares, ya que se evidenciaron múltiples adherencias.
CONCLUSIÓN
La TBC es una enfermedad que debe ser estudiada y conocida, ya que presenta alta agresividad en el Sistema Nervioso Central, incluso con formación de membranas intra ventriculares que podrían causar hidrocefalia asimétrica en los pacientes, por lo que la prevención de la TBC, su diagnóstico precoz e inicio temprano del tratamiento son factores claves para cumplir la estrategia “Fin de la Tuberculosis” de la OMS.
REFERENCIAS
COMENTARIO
El presente trabajo describe una de las posibles formas de presentación que lamentablemente estamos acostumbrados a ver en pacientes con formas extrapulmonares de la tuberculosis (TBC).
Las formas clínicas de TBC en el SNC dependen de la localización original de los tuberculomas.
Cuando están localizados en la superficie del cerebro o el epéndimo pueden romperse en el espacio subaracnoideo o en el sistema ventricular y causar meningitis. Es característica la presencia inicial de un grueso exudado subaracnoideo, en forma difusa y particularmente prominente en la base del cerebro. Otra característica de la meningoencefalitis TBC es la hidrocefalia que resulta de los disturbios que se producen en la circulación del líquido cefalorraquídeo secundarios a la aracnoiditis como se evidencia en el caso clínico descrito en el presente trabajo. Más frecuente en niños que en adultos, es producida por el exudado tuberculoso que bloquea las cisternas de la base y el consecuente impedimento de la reabsorción del LCR (comunicante) o el acueducto o el foramen de Luschka y Magendie (obstructiva).
Acompañando al exudado tuberculoso se produce el proceso inflamatorio en los vasos sanguíneos, siendo los más afectados los vasos pequeños y medianos por lo cual puede asociar áreas de isquemia secundarias a vasculitis que por lo general provocan un severo daño neurológico con secuelas permanentes.
La visualización mediante imágenes endoscópicas de este proceso inflamatorio a nivel intraventricular es muy interesante y permite comprender más la dificultad en la resolución de las hidrocefalias multitabicadas, y múltiples cirugías que en algunos casos deben realizarse.
Felicito a los autores y agradezco por compartir su experiencia.
Dra Romina Argañaraz
Jefa de Clínica. Servicio de Neurocirugía
Hospital Nacional De Pediatría Juan P Garrahan
COMENTARIO
La referencia del autor en lo que respecta al receptor similar a Toll (Toll like receptor- TLR) es un importante aporte para entender la fisiopatología molecular de la enfemedad: son una familia de receptores con participación en la inmunidad innata y funcionan como receptores de membrana presente en las células epiteliales respiratorias y en los macrófagos. Los receptores TLR 2 y 4 detectan ligandos micobacterianos como son lipoarabinomanano, lipomanano, fodfatidilinositol manosido y la lipoproteína de 19kDa, activando cascadas proinflamatorias que definen mejor clearence bacteriano pulmonar y respuesta a la infección. Su ausencia (o algunos polimorfismos menos funcionantes) definen individuos con menor capacidad de defensa ante este tipo de infecciones y más predisposición a variantes más graves de la enfermedad.
Tomas Funes
Sanatorio Anchorena. Ciudad Autónoma de Buenos Aires