REV ARGENT NEUROC. VOL. 34, N° 3: 224-232 | 2020
REPORTE DE CASO
Epilepsia lesional de origen cerebeloso
Marcelo Bartuluchi1, Juan Liñares1, Agustín Ruiz Johnson1, Beatriz Mantese1,
Fabiana Lubieniecki3, Nadia Stefanoff4, Gabriela Reyes2, Roberto Caraballo2
1Servicio de Neurocirugía, Hospital de Pediatría Garrahan. C.A.B.A., Argentina.
2Servicio de Neurología, Hospital de Pediatría Garrahan. C.A.B.A., Argentina.
3Servicio de Patología, Hospital de Pediatría Garrahan. C.A.B.A., Argentina.
4Departamento de Imágenes, Fleni. C.A.B.A., Argentina.
Marcelo Bartuluchi
mbartuluchi@hotmail.com
Recibido: Julio de 2019. Aceptado: Mayo de 2020.
RESUMEN
El origen subcortical de la epilepsia ha sido tema de profundo debate durante muchísimo tiempo y solo se le otorgaba a las estructural subcorticales un rol en la distribución, modulación y alteración de la actividad cortical. Sin embargo, los estudios neurofisiológicos y de neuroimágenes de las últimas décadas han provisto de la información suficiente como para confirmar que algunas crisis epilépticas pueden iniciarse en estructuras subcorticales. Presentamos 4 pacientes pediátricos con lesiones cerebelosas y epilepsia refractaria, revisamos la bibliografía, analizamos las formas de presentación, los hallazgos neurofisiológicos y resultados a largo plazo con cirugía.
Palabras clave: Epilepsia Cerebelosa; Epilepsia Refractaria; Espasmos Hemifasciales; Tumor Cerebeloso
ABSTRACT
The subcortical origin of epilepsy has been a subject of debate and only the subcortical structures were given a role in the distribution, modulation and alteration of cortical activity. However, neurophysiological and neuroimaging studies of recent decades have provided enough information to confirm the onset of some epileptic seizures in subcortical structures. We present 4 pediatric patients with cerebellar lesions and refractory epilepsy, we reviewed the literature, analyzed the forms of presentation, the neurophysiological findings and long-term results with surgery.
Key words: Cerebellar Epilepsy; Epilepsy Surgery; Hemifacial Spasms; Cerebellar Tumor
INTRODUCCIÓN
Las lesiones ocupantes de espacio ubicadas en el cerebelo generalmente se presentan con clínica de hipertensión endocraneana o trastornos relacionados con las funciones cerebelosas, tales como ataxia, hipotonía o trastornos del lenguaje.
En el año 1940, Webster y Weinberger describieron por primera vez un paciente con hemiclonías fasciales de tipo convulsivas asociadas a una lesión cerebelosa, y a partir de esa publicación, varios autores han reportado casos de similares características.53
Originalmente se especulaba que solo la corteza cerebral era capaz de producir actividad epileptogénica y que las estructuras subcorticales solo cumplían un rol secundario en la distribución, modulación y alteración de la actividad cortical.
En los últimos años el enorme conocimiento adquirido en la fisiología de la epileptogénesis humana ha permitido entender la importancia de las interacciones entre las extensas conexiones de la corteza cerebral y las estructuras subcorticales, demostrando que independientemente del rol modulador que estas estructuras generan, las estructuras subcorticales pueden ser generadoras por sí mismas de crisis convulsivas. Uno de los ejemplos mejores documentados han sido los hamartomas hipotalámicos, que a través de la utilización de registros intracraneanos con estereoencefalografía (SEEG), ha permitido identificar el área epiloptogénica primaria en la misma lesión hipotalámica, sin necesidad de que la corteza cerebral participe en la génesis de las crisis.21,44,48,18
Harvey et al. en 1996 presentó el primer reporte de una lesión cerebelosa identificada como intrínsecamente epileptogénica. Reportó un ganglioglioma cerebeloso con crisis hemifaciales estudiado con registros intracraneanos que permitió, por primera vez, establecer el origen de las crisis dentro de la lesión cerebelosa.21
Concomitantemente a estos hallazgos, estudios en animales han permitido reproducir crisis convulsivas a través de estimulación eléctrica cerebelosa sin la participación directa de la corteza cerebral, lo que explicaría, al menos en parte, el origen cerebeloso de algunas crisis convulsivas, sobre todo en lesiones de tipo displásicas o tumores glioneuronales localizadas en esa región.28,57
Presentamos nuestra experiencia de 4 pacientes con crisis convulsivas de aparente origen cerebeloso, que fueron estudiadas y 3 de ellos tratadas en nuestro servicio en forma exitosa con la resección quirúrgica de la lesión.
PRESENTACIÓN DE CASOS
Paciente 1
Paciente sexo femenino que desde el nacimiento presentó mioclonías palpebrales de corta duración, frecuentemente bilaterales o limitadas al ojo izquierdo con una frecuencia de varias crisis por día sin pérdida de la conciencia.
Comenzó medicación anticonvulsivante a los 8 meses, probó varios esquemas terapéuticos sin lograr control de las crisis.
EEG de scalp era globalmente organizado sin focos ni paroxismos.
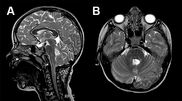
La RMN de encéfalo evidenció una lesión expansiva cerebelosa en contacto con el IV ventrículo y los pedúnculos cerebelosos superior y medio izquierdo, con leve efecto de masa que no realza con contraste (fig. 1).
Figura 1: Caso 1 imágenes prequirúrgicas.
A los 3 años de vida se realizó un abordaje suboccipital telovelar con una exéresis macroscópicamente total de la lesión con buena evolución post operatoria (fig. 2).

Figura 2: Caso 1 Imágenes postquirúrgicas.
La paciente presento una debilidad muscular derecha leve a predominio crural que recupero por completo a los 3 meses de operada.
Permaneció un año sin crisis en el periodo postoperatorio, sin cambios en la medicación anticonvulsivantes, posteriormente comenzó con crisis aisladas de similares características, en un número muy inferior al prequirúrgico con mejora evidente en sus funciones neurocognitivas. Actualmente la paciente se encuentra en estadio IB de la clasificación de Engel.
Se realizó un video EEG a los 18 meses de la cirugía donde se evidencian algunos parpadeos sutiles sin trastornos en el EEG.
Continua con la misma medicación que en el periodo pre-quirúgico.
Paciente 2
Paciente sin antecedentes perinatológicos de importancia que a los 16 meses de vida comienza con parpadeo bilateral y desviación cefálica brusca a derecha sin pérdida de la conciencia, en ocasiones presentaba caídas cefálicas, en un contexto de maduración normal.
Estos episodios se repetían hasta 20 veces por día siempre en vigilia.
EEG de scalp normal. La RMN de encéfalo mostró una lesión expansiva en la profundidad del hemisferio cerebeloso derecho, en contacto con el pedúnculo cerebeloso superior, con mínimo efecto de masa y sin realce con el contraste (fig. 3).

Figura 3: Caso 2. Imágenes preoperatorias.
La paciente recibió diferentes esquemas terapéuticos anticonvulsivantes sin lograr control de crisis.
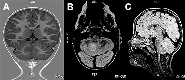
A los 29 meses de edad se realizó una exéresis subtotal de la lesión a través de un abordaje suboccipital telovelar (fig. 4). Durante el procedimiento se realizó elecrocorticografía (ECoG), con un electrodo profundo colocado bajo guía ecográfica intraoperatoria que no mostró patrones patológicos. La experiencia en ECoG cerebelosa es escala o nula, por lo tanto se hace muy difícil su interpretación(fig. 5).

Figura 4: Caso 2. Ecografia intraoperatoria.

Figura 5: Caso 2. Imágenes postoperatorias.
El paciente persiste sin crisis desde la cirugía con gran mejoría neurocognitiva. Continua con medicación. Estadio IA de la clasificación de Engel.
Paciente 3
Paciente de 4 meses de edad sin antecedentes perinatológicos de importancia, que desde el primer día de vida presentó crisis parciales simples caracterizadas por movimientos clónicos rítmicos en el músculo orbicularis del ojo derecho, seguido de clonías de la mitad derecha de la boca. Algunas crisis se acompañaban de movimientos clónicos del hemicuerpo derecho, ocasionalmente con nistagmus, siempre en un contexto de un niño vigil, alerta e interactuando con el medio.
Los episodios duraban entre 5 a 20 segundos, en forma casi constante, lo que imposibilitaba una buena alimentación y obligo a la utilización de una sonda nasogástrica para su alimentación.
La paciente recibió varios esquemas terapéuticos con diferentes esquemas antiepilépticas sin lograr nunca control de las crisis.
Examen neurológico presentaba una mínima hipotonía axial.
EEG de scalp fue normal, el VEEG evidenció actividad de ritmo theta rítmica y paroxística en la región fronto temporal izquierda que en ocasiones se propagaba hacia el hemisferio contralateral.
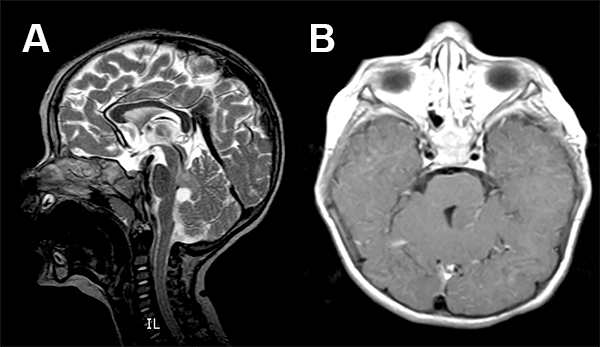
La RMN mostró una lesión tumoral en el hemisferio cerebelos derecho en intimo contacto con los pedúnculos cerebelos medio y superior derecho (fig. 6).

Figura 6: Caso 3. Imágenes prequirúrgicas.
El tumor fue resecado en su totalidad por una vía suboccipital medial. Los hallazgos patológicos encontrados fueron compatibles con un ganglioneurocitoma.
En el post operatorio inmediato la paciente no presentó crisis convulsivas.
Al 8vo día postoperatorio la paciente presento una severa hemorragia duodenal que le produjo una falla multisistémica y muerte.
Paciente 4
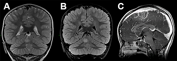
Paciente de 4 años de edad sin antecedentes perinatológicos de importancia que a los 3 años de edad comienza con movimientos clónicos de comisura labial a derecha que fueron asumidos como normales. Ocho meses después del inicio de los movimientos clónicas de la comisura labial, la niña presenta fijeza de la mirada con posterior desviación de la comisura labial a derecha y posteriores movimientos tónicos clónicos generalizados que se repitieron varias veces (fig. 7).

Figura 7: Caso 4: Imágenes preoperatorias
El EEG de scalp mostró una base desorganizada, con espigas centro temporales izquierdas de moderada frecuencia de descarga.
El paciente no repitió crisis desde la última internación y permanece medicado con drogas antiepilépticas.
Hallazgos patológicos
Los 3 casos estudiados (caso 1, 2 y 3) presentaron semejanza al estar conformados por lesiones de relativa baja densidad celular, identificándose células ganglionares en variable proporción y escaso componente glial entremezclado. En el caso 1 las neuronas aparecieron en forma desordenada, dispersas y agrupadas, algunas grandes de aspecto displásico acompañadas de otras de menor tamaño. El diagnostico fue de ganglioglioma/gangliocitoma. El caso 2 presento menor componente glial y áreas de neuronas de aspecto displásico, en su mayoría de gran tamaño, planteándose una lesión displásica versus neoplásica. El caso 3 evidencio ares de disposición multinodular, con predominio de células con halo claro “oligo-like” o neurocítico, con escasa células de aspecto ganglionar entremezcladas. En este caso, la astroglia fue más evidente entre los nódulos. La inmunomarcacion efectuada para synaptofisina y neurofilamento destaca el componente de fibrillas y focalmente en las células ganglionares, o neurociticas (caso 3), con positividad en los citoplasmas de las células ganglionares con la cromogranina (casos 1 y 2). La GFAP fue positiva en forma difusa, resaltando la astroglia entremezclada. El índice de proliferación fue muy bajo, solo positivo en muy aislados núcleos en los 3 casos
En la Tabla 1 podemos ver las carácteristicas de los pacientes y sus comparaciones.
Tabla 1
| Paciente 1 | Paciente 2 | Paciente 3 | Paciente 4 | |
| Inicio | 1 día | 16 meses | 1 día | 36 meses |
| Clínica | Mioclonías palpebrales simples | Parpadeo bilateral, | ||
| desviación brusca de | ||||
| la cabeza a derecha | Clonías hemifasciales. Clonías hemicorporales (menos frecuentes | Mioclonías de la comisura labial. Fijeza de la mirada, movimientos de la comisura a derecha y generalización secundaria | ||
| EEG | Desorganizado, sin foco ni paroxismos | Normal | Actividad theta paroxística en el hemisferio | |
| izquierdo con propagación contralateral | Espigas centro temporales derechas | |||
| Monitoreo | No | ECoG con electrodo | ||
| profundo | ECoG con electrodo profundo | No | ||
| Edad cirugía | 36 meses | 29 meses | 4 meses | Sin cirugía |
| Exéresis | Subtotal | Completa | Completa | No |
| Complicaciones | No | No | Hemorragia digestiva y muerte al 4 día post-op | No |
| Evolución | 1 año sin crisis, actualmente crisis aisladas | Sin crisis | Muerte | Sin crisis |
| Medicación | Igual | Sin | Con | |
DISCUSIÓN
Tradicionalmente se le había otorgado a la corteza cerebral la exclusividad para la generación de actividad epileptogénica, otorgándole a las estructuras subcorticales un rol solo en la modulación, distribución y modificación de la actividad cortical.
En las últimas décadas los conocimientos sobre la epileptogénesis humana han permitido entender mucho mejor el rol de las estructuras subcorticales y las funciones que estas tienen en la génesis de las crisis convulsivas, estudios clínicos y en animales han logrado reproducir crisis convulsivas solo con estimulación de estructuras subcorticales.4,12,41
El aporte de los estudios funcionales como el SPECT y el PET y la utilización de SEEG como método diagnóstico, permiten asegurar que existen estructuras subcorticales generadoras de actividad epiléptica, un claro ejemplo de esto han sido los hamartomas hipotalámicos, lesiones hamartomatosas que asientan en la región hipotalámica y que involucran áreas subcorticales, con crisis gelásticas como las más características de esta patología, y donde la utilización de electrodos profundos ha demostrado la capacidad epileptogénenica de la propia lesión.44 Estas lesiones son resueltas con la resección o desconexión de la lesión, sin necesidad de realizar resecciones corticales suplementarias.13,26,18,44
El rol de las estructuras cerebelosas en la generación de crisis convulsivas ha sido motivo de estudio de varios autores en las últimas décadas, estudios previos han logrado reproducir crisis convulsivas en animales con estimulación cerebelosa profunda mientras que la estimulación cerebelosa como tratamiento anti epiléptico ha sido reportado varias veces con resultados variados.28,57
En la realización de una búsqueda bibliográfica encontramos 29 reportes, con 32 pacientes que presentaron tumores cerebelosos con epilepsia, siendo nuestra serie la más grande publicada con 4 pacientes.2,17
A diferencia de otros síndromes mejor estudiados, como el síndrome de epilepsia mesial temporal, el síndrome de epilepsia cerebelosa no ha sido completamente caracterizado, lo que lleva muchas veces a retrasar, o lo que puede ser peor, a equivocar el diagnóstico, demorando el tratamiento quirúrgico temprano, que, en caso que la epilepsia sea refractaria, es la mejor opción terapéutica que se puede ofrecer actualmente.52
En relación a la presentación clínica, la mayoría de los pacientes tienen inicio de sus crisis convulsivas a muy corta edad, generalmente antes de los 6 meses con una importante refractariedad con el tratamiento anticonvulsivante. La forma de inicio temprano, el alto número de eventos y la refractariedad de las crisis, asemejan este síndrome a las características clínicas encontradas en las displásicas corticales, lo que reforzaría la teoría que en aquellas lesiones de origen tumoral o hamartomatoso el componente displásico asociado a estas lesiones podría jugar un rol muy importante en la génesis de las crisis convulsivas.
Hay básicamente 3 tipos de crisis descriptas en estos pacientes.17
Hemiespasmos faciales, encontrado en el 60% de los pacientes publicados, estas crisis suelen ser de inicio muy temprano y son caracterizadas por movimientos paroxísticos, estereotipados de tipo tónico o clónicos de los músculos inervados por el nervio facial. Esto puede acompañarse de signos autosómicos, como taquipnea, sudoración, midriasis, nauseas versión cefálica u ocular contralateral o movimientos hipsilaterales inespecíficos. Estas crisis sueles ser sin pérdida de la conciencia, aunque pueden progresar a status focales o incluso generalizarse. Las crisis sueles ser cortas, menos de 1 minuto de duración, generalmente varias por días e inclusive en cluster.
Crisis mioclónicas, encontrado en el 25% de los reportes, pueden en ocasiones asociarse a hemiespasmos faciales. Esta sacudida mioclónica sueles localizarse en las extremidades, pero pueden ser segmentarias o progresar a crisis mioclónicas generalizadas. Strazzer postuló por primera vez que las mioclonías son la consecuencia de la propagación de las crisis fuera del cerebelo, lo que fue demostrado por SEEG.
Crisis parciales complejas/crisis generalizadas muy raras con reportes aislados.
Existen varias teorías para explicar la fisiopatología del tipo de crisis convulsivas observadas en las lesiones de origen cerebelo. La localización de las lesiones cerebelosas suele ser constante y están ubicadas principalmente en contacto con los pedúnculos cerebelosos superior y medio, esta localización jugaría un importante rol en la fisiopatología de la expresión clínica de los espasmos hemifaciales, ya que esta forma de presentación tiene mucha similitud a las ocurridas por compresión directa del núcleo facial homolateral, lo que indujo a varios autores a desestimar las hemiclonias fasciales como de origen epiléptico y asumir esto como movimientos paroxísticos de origen no epiléptico. El origen epiléptico de los movimientos faciales fue corroborado por Harvey y Delalande, que demostraron el origen epiléptogénico de las lesiones utilizando electrodos profundos de registro, y a partir de estos hallazgos varios grupos replicaron la misma experiencia. Por otro lado, en muchas lesiones de localizaciones similares con espasmos hemifaciales no se ha podido demostrar que la lesión produzca algún tipo de compresión por efecto de masa o por edema perilesional, del núcleo del facial.12,22,27
La evidencia actual nos permite afirmar el importante rol que tienen las neuronas displásicas encontradas en los diferentes tipos de displasias corticales en la generación de crisis, por otro lado, los tumores glio-neuronales pueden contener un número variable de neuronas anormales o displásicas, responsable, en muchos casos, de las crisis convulsivas en este tipo de patología.15,43,47
Los hallazgos anatomopatológicos es otro tema interesante que podría explicar la fisiopatología de estas lesiones, los tumores glioneuronales y los hamartomas están reportados en más del 60% del total de todas las publicaciones, el resto está formado por gliomas de bajo grado o gliosis inespecíficas. El inicio precoz de las crisis, el alto número de crisis y la refractariedad precoz son características que usualmente están asociadas a las displasias corticales y debe ser estudiado como parte de los hallazgos patológicos. En nuestros pacientes el componente glio-neuronal apareció en todas las muestras y se hallaron células ganglionares displasias asociadas en dos de ellos.44
Es bien conocido la asociación de tumores glio-neuronales, como el DNT o el ganglioglioma, con displasias corticales, a pesar de esto, la última clasificación de tumores de la WHO no contempla a las displasias corticales asociadas a los tumores glioneuronales como parte del diagnóstico, sin embargo, la última clasificación de la ILAE sobre Displasias Corticales Focales ha incluido un subgrupo diagnóstico como FCD tipo IIIb, las cuales se encuentran asociadas a tumores de bajo grado, esencialmente, tumores glioneuronales.7,51
La asociación de displasias corticales en un contexto de tumores glio-neuronales podría explicar el fracaso en el control de las crisis convulsivas en cirugías de este tipo de tumores, sobre todo cuando no se tiene en cuenta la posibilidad de que coexistan displasias más allá de los márgenes visibles de la lesión. La utilización de la ECoG, o el registro con electrodos intracraneanos como un método posible para el diagnóstico de áreas epileptogénicas fuera del área de resección original, podría mejorar los resultados relacionados al control de las crisis convulsivas.
Los hallazgos de células hamartomatosas en las lesiones cerebelosas podrían comportarse del mismo modo que lo hacen en los hamartomas hipotalámicos, donde las neuronas gabaérgicas halladas en los HH serían las generadoras y facilitadores de las redes encargadas de iniciar las crisis convulsivas a pesar de su localización subcortical.55
En la mayoría de los casos publicados de epilepsia lesional de origen cerebeloso los EEG de scalp han sido normales o incapaces de demostrar localización en el origen de las crisis convulsivas, solo 7 de los 29 casos reportados presentaron algún tipo de alteración en el EEG, y ninguno de ellos presento un patrón especifico que pudiera relacionarlo con la lesión cerebelosa. Todos nuestros pacientes, con excepción de uno, mostraron patrones de EEG normales, incluido el paciente al que se le realizó ECoG intraoperatorio, donde no se encontraron descargas patológicas durante el registro interictal. Palmini A et al. describió diferentes patrones hallados en estudios de ECoG dependiendo de la patología, y encontró que solo el 2,5 % de los gliomas, sin displasia cortical asociada, tenían un patrón característico y que este, cuando se encontraba, dependía de la existencia de displasias corticales asociadas y no del propio tumor, esto podría explicar los hallazgos en la ECoG de nuestro paciente.43
Sin embargo, todos aquellos pacientes que fueron estudiados con SEEG presentaron actividad rítmica hipersincrónica en los registros y en los casos de registro ictal, fue posible establecer el origen de las crisis en la lesión cerebelosa.17
La exéresis total de la lesión cerebelosa suele ser suficiente para controlar las crisis convulsivas en la mayoría de los casos, a diferencia de lesiones epileptogénicas ubicadas en otros sectores del encéfalo, no hay definiciones sobre la necesidad, o no, de ampliar el área resecada más allá de la lesión y muchos casos reportados con exéresis subtotales han permanecido libres de crisis.17
La localización de la mayoría de las lesiones reportadas muestran una estrecha relación con los pedículos cerebelosos superior o medio, esta situación anatómica, asociado a la dificultad de diferenciar claramente los límites precisos de la lesión hace que la exéresis total de la lesión sea un verdadero desafío, aunque hay muchos casos reportados de exéresis subtotales con buen control de las crisis, la exéresis total ha demostrado ser un importante factor pronóstico ya que la mayoría de los casos reportados con exéresis total han permanecido libres de crisis después de la cirugía.
Conocidas son las amplias conexiones del cerebelo con la corteza cerebral, tálamo, núcleos basales y tronco cerebral. La corteza cerebelosa está compuesta por tres capas bien diferenciadas, la capa granular, con funciones excitatorias, las células de Purkinje, con funciones inhibitorias, y una capa molecular. La capa granular recibe aferencias de áreas extracerebelosas y modula a las células de Purkinje que provee la única salida hacia la corteza a través de sinapsis inhibitorias gabaérgicas con los núcleos del cerebelo, desde ahí las neuronas enviarían estímulos excitatorios a diferentes partes del cerebro, que a su vez volverían al cerebelo a través de vías núcleo corticales remodelando los estímulos a los núcleos cerebelosos y completando un circuito; este circuito es el que podría verse afectado con algunas lesiones cerebelosa, y explicar el sustrato para las epilepsia subcorticales de origen cerebeloso.10,24
CONCLUSIONES
El origen de las epilepsias de origen subcortical ha sido durante mucho tiempo, un verdadero desafío diagnóstico. El implante crónico de electrodos, sobre todo, la estereoencefalografía (SEEG), ha sido el gold - estándar para definir área epilepótogénica en estos pacientes.
La gran experiencia acumulada con los hamartomas hipotalámicos39-46 y los pocos, pero bien documentados, casos de epilepsia lesional de origen cerebeloso, nos permitirían afirmar que ante un niño con hemiclonias faciales de origen epiléptico, que comience a temprana edad y que sea refractario al tratamiento médico, se debe investigar la posibilidad de que la causa de su epilepsia sea una lesión cerebelosa, y que el tratamiento quirúrgico temprano es la mejor opción de tratamiento.18,44
BIBLIOGRAFÍA
COMENTARIO
El artículo describe 4 casos de pacientes pediátricos con epilepsia de posible origen cerebeloso y realizan una revisión de la bibliografia. Como describen los autores, el enorme conocimiento adquirido en la fisiología de la epileptogénesis humana ha logrado demostrar que las estructuras subcorticales pueden ser generadoras de crisis convulsivas, sin necesidad de intervención cortical, como es el caso por ejemplo del hamartoma hipotalámico.
En el artículo los autores plantean el posible origen cerebeloso de las crisis de estos 4 pacientes por presentar lesiones relacionadas anatómicamente. A pesar de que 1 de los pacientes respondió a la medicación, por lo general refieren refractariedad a los anticonvulsivantes y plantean que en todo paciente con hemiclonias faciales de origen epiléptico, que comience a temprana edad y que sea refractario al tratamiento médico, se debe investigar la posibilidad de que la causa de su epilepsia sea una lesión cerebelosa, y que el tratamiento quirúrgico temprano es la mejor opción de tratamiento con un alto control de crisis.
Felicito a los autores por este interesante artículo, que deja en evidencia la amplia experiencia en el tratamiento de pacientes con epilepsia.
Romina Argañaraz
Hospital de Pediatría Juan P. Garrahan. C.A.B.A., Buenos Aires, Argentina.
COMENTARIO
Los autores describen 4 interesantes casos de epilepsias refractarias de origen, según su hipótesis, cerebeloso. Si bien en la inmensa mayoría de los casos de epilepsia refractaria, nos enfrentamos a un origen supratentorial, no debe descartarse la alternativa de un origen infratentorial o inclusive supratentorial subcortical (p.ej. hamartomas hipotalámicos), situaciones que han sido descriptas en la literatura en múltiples publicaciones. Debe tenerse en cuenta que antes de dar el diagnóstico definitivo de epilepsia de origen cerebeloso, el paciente debe ser evaluado por epileptólogos, neurorradiólogos y neurocirujanos con experiencia en el estudio y manejo de pacientes refractarios, ya que existe la posibilidad de tener concurrentemente una epilepsia de origen supratentorial con una RM no lesional, y demostrarse una lesión a nivel cerebeloso. Por lo tanto, otorgar la responsabilidad del área epileptógena a esta última, simplemente porque a nivel supratentorial vemos una RM normal, sería incurrir en una hipótesis incorrecta. Consideraríamos adecuado tratar de demostrar la hipótesis sostenida, recurriendo a la realización de imágenes complementarias como el PET interictal y el SPECT ictal, así como realizando electrocorticografía de la lesión o eventualmente el implante de electrodos profundos. Si estas metodologías no estuvieran disponibles en el centro donde trabajamos, debemos ser muy cuidadosos con afirmar que la epilepsia tenía un único origen cerebeloso, especialmente a los fines de explicar correctamente a los familiares el pronóstico posoperatorio de la enfermedad. Por otro lado, cuando la lesión cerebelosa tiene indicación de tratamiento quirúrgico per se, la evolución postoperatoria podrá confirmar o no nuestra hipótesis. La presencia de un EEG o VideoEEG sin alteraciones significativas en el trazado eléctrico supratentorial, con semiología ictal característica (descripta en el texto) y una lesión en cerebelo debería hacernos pensar en un origen infratentorial, y actuar en consecuencia.
Federico Sánchez González
Hospital de Clínicas “José de San Martín” U.B.A. C.A.B.A. Buenos Aires, Argentina.