Microcirugía de las fístulas durales arteriovenosas espinales, más un repaso de la anatomía vascular vertebromedular
Rubén Mormandi, Mauro E. Ruella, Facundo Villamil, Andres E. Cervio, Santiago G. Condomi Alcorta, Jorge M. Salvat
Departamento de Neurocirugía del Instituto Fleni. Ciudad Autónoma Buenos Aires, Argentina.
Ruben Mormandi
rmormandi@fleni.org.ar
Ninguno de los autores presenta conflictos de interés.
Recibido: julio de 2020.
Aceptado: septiembre de 2020.
RESUMEN
Introducción: la fístula dural arteriovenosa espinal (FDAVE) es una enfermedad vascular rara, de etiología desconocida y frecuentemente subdiagnosticada. El tratamiento puede ser microquirúrgico o endovascular.
Material y Método: Análisis retrospectivo de una serie de 8 pacientes consecutivos con FDAVE tratados por microcirugía entre 2010 y 2020. Fueron evaluados parámetros como edad, sexo, cuadro clínico pre y postoperatorio medido con las escalas de Aminoff-Logue y Rankin modificada. Los estudios diagnósticos con RMN (Resonancia Magnética Nuclear), ARM (Angio Resonancia Magnética) y ADM (Angiografía Digital Medular) se utilizaron para determinar nivel lesional y resultados quirúrgicos.
Resultados: Fueron operados 8 pacientes (7 masculinos y 1 femenino) con un promedio de edad de 58 años. El tiempo de evolución del cuadro clínico al diagnóstico fue menor a 12 meses salvo un caso de 32 meses. Las FDAVE fueron localizadas en: 6 a nivel dorsal entre D6 y D12, una en L2 y la última en S1 (5 derechas y 3 izquierdas). La arteria de Adamkiewicz se identificó en: 4 casos en L1, 2 en D12, 1 en D10 y un caso en D7 (6 izquierdas y 2 derechas). De los 8 pacientes operados, 3 fueron embolizados previamente. La evolución postoperatoria del cuadro neurológico fue: 2 de 8 permanecieron estables y 6 de 8 mejoraron uno o más puntos en la escala de Rankin modificada; no hubo complicaciones en el postoperatorio. Todos los pacientes mejoraron las imágenes en RMN diferida y la ADM luego de los 6 meses fue negativa. El seguimiento promedio fue de 48 meses con un rango de 11 a 116 meses, ningún paciente presentó recidiva de la FDAVE.
Conclusiones: El tratamiento quirúrgico de las FDAVE es un método muy eficaz, de baja morbilidad y menor tasa de recurrencia comparado con el tratamiento endovascular.
Palabras clave: Fístula Dural Arteriovenosa Espinal; Microcirugía; Angiografía Medular; Mielopatía; FDAVE
SUMMARY
Introduction: Spinal dural arteriovenous fistula (SDAVF) is a rare vascular disease, of unknown etiology and frequently underdiagnosed. Treatment can be microsurgical or endovascular.
Material and Method: Retrospective analysis of a series of 8 SDAVF patients treated by microsurgery between 2010 and 2020. Parameters including age, sex, pre and postoperative clinical condition were analyzed according to modified Aminoff-Logue and modified Rankin scales. Diagnostic studies such as MRI (Magnetic Resonance Imaging), MRA (Magnetic Resonance Angiogram) and spinal DSA (Digital Subtraction Angiography), were evaluated for lesion level, as were surgical results.
Results: Eight patients (7 male and 1 female), average age of 58 years were operated. The interval from symptom onset to diagnosis was less than 12 months in all cases except one (32 months). SDAVF locations were thoracic in 6 cases between T6 and T12, at L2 in one and at S1 in one case (5 on the right and 3 on the left). The Adamkiewicz artery was identified in: 4 cases at L1, 2 at D12, 1 at D10 and in one case at D7 (6 left-sided and 2 right-sided). Three of the 8 patients operated had undergone prior embolization. Postoperative neurological outcomes showed: 2 patients remained stable and 6 had improved one or more points on the modified Rankin scale; no postoperative complications were observed. Follow-up MRI images improved in all cases and spinal DSA was negative at six months. Average follow-up was 48 months (range 11 to 116 months), no patient presented recurrence.
Conclusions: Microsurgical treatment of SDAVF proved to be efficient, with low morbidity and lower recurrence rates compared to endovascular results.
Key words: Spinal Dural Arteriovenous Fistula; Microsurgery; Spinal Angiography; Myelopathy; SDAVF
INTRODUCCIÓN
Las fístulas durales arteriovenosas espinales (FDAVE) son de baja incidencia, sin embargo, son las malformaciones vasculares (MVE) más frecuentes de la médula espinal y representan el 5 al 10% de las malformaciones vasculares de todo el SNC. Dentro de las MVE, las FDAVE tienen una frecuencia del 50 al 85%, las malformaciones arteriovenosas espinales (MAVE) un 20 a 30% y le siguen como entidades muy poco frecuentes la fístula dural AV perimedular y la fístula AV epidural.1
La etiología de las FDAVE es desconocida y se consideran lesiones adquiridas en general. Los primeros en hablar de una mielopatía congestiva secundaria a una malformación vascular fueron Aminoff y Logue en 1974, quienes además aportaron su escala de valoración clínica basada en los trastornos de la marcha y esfinterianos.2 La evolución de los conocimientos de las MVE tuvo un gran avance a partir de la década del 60 y 70 gracias a Neurocirujanos y Neuroradiólogos prominentes como Yasargil, Malis, y la llamada conexión americana (Doppman, Di Chiro, Ommaya y Oldfield), inglesa (Aminoff, Logue y Kendall) y francesa (Djindjian) quienes comenzaron a develar el enigma de las MVE tratando de comprender la fisiopatología, angioarquitectura y tratamiento. Mas recientemente hicieron sus aportes Berenstein, Lasjaunias, Cognard y Spetzler.3 A medida que iban aumentando los conocimientos de anatomía vascular, fisiopatología, diagnóstico por imágenes (RMN y ADM) y tratamiento, fueron apareciendo múltiples clasificaciones que se han publicado a lo largo de estos años. Una de las más utilizadas es la de Anson y Spetzler de 1992,4 que dividía a las MVE en 4 tipos: Tipo I o fístulas durales, Tipo II o verdaderas MAVs glomerulares, Tipo III o MAVs Juveniles y Tipo IV o fístulas piales perimedulares. Luego Spetzler modificó la clasificación en 2002 y 2006,5,6 en donde finalmente habla de lesiones vasculares neoplásicas (hemangioblastoma), cavernomas, aneurismas de la arteria espinal y las MAVE. Estas últimas fueron categorizadas de la siguiente manera: fístula AV extradurales (raras); fístula AV intradural subdividida en dorsal (la más frecuente y anteriormente llamada Tipo I) y ventral; MAVs extra-intradural (anteriormente Juvenil o Tipo III); MAVs intramedular (anteriormente Tipo II o glomerular) y la recientemente agregada MAV del cono medular. Asimismo, subdividió las fístulas AV intradurales dorsales en tipo I (un solo pedículo aferente) y tipo II (varios aferentes). El diagnóstico de las FDAVE es siempre tardío debido a sus síntomas oscilantes, intermitentes y lentamente evolutivos (generalmente más de un año del comienzo de los síntomas); y se sospecha cuando se observa en la RMN una hiperintensidad en T2 centromedular de varios niveles asociado a la presencia de imágenes serpiginosas de vacío de flujo perimedular. El gold standard diagnóstico es la angiografía digital medular (ADM). Las opciones terapéuticas son dos: microcirugía y endovascular ya que la oclusión espontánea de una FDAVE es extremadamente rara.
El objetivo de esta comunicación es presentar una revisión retrospectiva del tratamiento microquirúrgico de 8 pacientes portadores de FDAVE en 10 años analizando los resultados operatorios, repasar la anatomía vascular vertebro-medular, mostrar la técnica quirúrgica y revisar la bibliografía sobre los resultados de los tratamientos actuales.
Anatomía vascular vertebromedular
Para entender la anatomía vascular vertebromedular es necesario verlo como una unidad de irrigación a un bloque formado por todas las vértebras (cervical a sacro), músculos paravertebrales y la médula espinal. Tomando en cuenta el sentido de circulación arterial desde la arteria Aorta hasta el capilar medular, lo vamos a dividir en 3 ejes desde un punto de vista didáctico: externo (extravertebral), intermedio (yuxtadural) e interno (subaracnoideo-medular). La irrigación en el eje externo a nivel cervical está dada por las arterias vertebrales, cervical ascendente, cervical profunda, faríngea ascendente y occipital; a nivel dorsal por las arterias intercostales, a nivel lumbar por las lumbares e iliolumbares, por último, a nivel sacro por las arterias sacra media y lateral.
En el eje intermedio está la irrigación segmentaria (Fig. 1), es decir en cada segmento vertebral hay una arteria segmentaria que se divide muy cerca del foramen intervertebral en anterior (por ejemplo las intercostales a nivel dorsal) y posterior (para el bloque vertebro-musculo-medular), este ramo posterior se va a dividir en un ramo para el cuerpo vertebral, un ramo muscular (músculos paravertebrales y tegumentos) y un ramo radicular que perfora la duramadre para irrigar la duramadre (de estos ramos se originan las fístulas durales arteriovenosas), la raíz y la médula llamándose en este caso arteria radiculomedular. De las 62 arterias radiculares (31 segmentos derechos e izquierdos) solo algunas pocas arriban a la médula como arterias radiculomedulares, por lo tanto, la gran mayoría serán arterias radiculares solamente (regresión embriológica). En los adultos se calculan en total para la irrigación de toda la médula de 6 a 10 arterias radiculomedulares anteriores y de 10 a 28 radiculomedulares posteriores (las anteriores son menos numerosas, pero de mayor calibre). Las arterias radiculomedulares se dividen en anterior y posterior siguiendo a cada raíz hacia la médula, al llegar a la línea media sobre la médula se dividen en una rama descendente prominente que da la imagen de “horquilla de cabello” en la angiografía digital y una rama pequeña ascendente, ambas ramas se anastomosan con las arterias espinales. Las arterias radiculomedulares son asimétricas en general, abordan la médula desde la izquierda o la derecha (es raro que sea bilateral dentro del mismo segmento). La mayor densidad de arterias radiculomedulares están en los engrosamientos de la médula, es decir C5 a T2 y T8 a L1. La más emblemática y prominente de las arterias radiculomedulares es la arteria radicular magna de Adamkiewicz o del engrosamiento medular lumbar, en el 75% se la encuentra entre T9 y T12, más frecuente en el lado izquierdo. En la angiografía digital se la observa ascendiendo uno o dos niveles y al llegar a línea media anterior se incurva bruscamente hacia abajo haciendo una gran horquilla para finalmente terminar anastomosándose con la arteria espinal anterior. Cuando se origina por arriba de T8 o por debajo de L2 puede haber una segunda arteria radicular magna complementaria.
Figura 1: Irrigación segmentaria. (1) arterias segmentarias; (2) ramo anterior o ventral; (3) ramo posterior o dorsal; (4) ramo muscular; (5) tronco de la arteria radiculomedular con su ramo posterior (6) y anterior (7) haciendo la horquilla; (8) arteria espinal anterior; (9) arterias espinales posteriores y (10) ramo para el cuerpo vertebral.
El eje interno está circunscripto a la médula (Fig. 2) y conforma una unidad anastomótica formada por la arteria espinal anterior y las 2 arterias espinales posteriores, a lo largo de sus recorridos las mismas reciben aportes segmentarios de las arterias radiculomedulares mencionado anteriormente. La arteria espinal anterior se origina a nivel rostral como colateral de cada arteria vertebral a nivel del foramen magno, se anastomosan y desciende sobre el surco medular anterior hasta la punta del cono medular donde se bifurca y se anastomosa con cada arteria espinal posterior caudal a la 5º raíz sacra formando el “conus basket”. La arteria espinal anterior es muy constante y sus diámetros mayores se encuentran a la altura de los engrosamientos cervical y lumbar (el menor diámetro es a nivel medio torácico). Las arterias espinales posteriores son menos constantes y más delgadas que la espinal anterior, a veces se discontinúan en forma asimétrica en algún tramo medular. Se originan también de la arteria vertebral cerca del origen de la PICA o menos frecuente de la misma PICA, descienden en la superficie posterolateral de la médula hasta el cono medular. En toda la superficie de la médula las 3 arterias espinales se anastomosan mediante la vasocorona o plexo pial arterial, de esta vasocorona emergen arteriolas perforantes que penetran la médula en forma perpendicular y la irrigan en forma centrípeta. La arteria espinal anterior da origen a la arteria central o del surco medio anterior que llega casi al centro de la médula y da numerosas colaterales que irrigan la médula en forma centrífuga. En general la arteria espinal anterior irriga los 2/3 anteriores de la médula.

Figura 2: Irrigación medular arterial y venosa. (1) arteria espinal anterior; (2) arteria del surco medio anterior dando la irrigación centrífuga; (3) vasocorona arterial con su irrigación centrípeta; (4) arteria espinal posterior; (5) vena espinal anterior; (6) vasocorona venosa recibiendo las vénulas en forma centrífuga; (7) vena espinal posterior.
El drenaje venoso del bloque médula-vértebra-músculo paravertebral se divide en intradural, extradural intravertebral y extravertebral (entre estos dos últimos conforman y se interconectan a través del plexo venoso de Batson). El intradural (Fig. 2) se origina en la médula a partir de un sistema radial centrífugo de vénulas hacia la vasocorona venosa perimedular interconectada a través de una vena espinal anterior y otra vena espinal posterior (ambas en la línea media). De las venas espinales salen las venas radiculomedulares anterior y posterior que son variables y asimétricas, hay 2 o 3 cervicales, una torácica superior, una torácica media, dos venas cerca del cono medular y una lumbar que corre sobre el filum terminale. A nivel del foramen intervertebral y de cada raíz emerge una vena radicular que se va a anastomosar con venas musculares y del cuerpo vertebral drenando en plexos intra y extravertebrales. Cabe destacar que a nivel dural funciona un sistema valvular unidireccional para evitar el reflujo hacia la médula.7-11
La fístula dural arteriovenosa es una comunicación anómala entre una arteria y vena dural, la vena de drenaje originada en la duramadre sobrecarga e invierte el flujo de la vena radiculomedular (más frecuente la posterior) generando la congestión venosa medular.
MATERIAL Y MÉTODO
Se realizó una revisión retrospectiva de todas las historias clínicas, estudios por imágenes y videos operatorios de los pacientes portadores de fístula dural arteriovenosa espinal (FDAVE) del tipo dorsal intervenidos quirúrgicamente en nuestra Institución durante el período comprendido entre junio de 2010 y junio de 2020. Se recolectaron y analizaron los datos demográficos, antecedentes personales, tiempo al diagnóstico, presentación clínica, evolución postoperatoria y seguimiento clínico diferido (Tabla 1). La evaluación radiológica en todos los casos incluyó resonancia magnética nuclear con secuencias T1, T2, SWI, Difusión, Flair, Gre, y con contraste; Angio resonancia magnética (ARM) y la Angiografía digital medular (ADM) pre y postoperatoria.
La evolución funcional postoperatoria se comparó con la clínica preoperatoria mediante las escalas de Aminoff-Logue (preoperatoria) y de Rankin modificada (pre y postoperatoria). La escala de Aminoff-Logue (Tabla 2) valora los trastornos en la marcha y la disfunción urinaria-fecal. La escala modificada de Rankin (Tabla 3) con valores de 0-1 fueron considerados como buena evolución, resultados de 2-3 como regulares y los de 4-5 y 6 como malos. El seguimiento promedio fue de 48 meses con un rango de 11 a 116 meses, todos los pacientes fueron seguidos inicialmente en forma semestral con RMN y ARM. En todos los casos se realizó la ADM postoperatoria confirmando la ausencia de FDAVE. Se considera caso exitoso cuando hay estabilización o mejora del cuadro neurológico preoperatorio, reducción del edema-congestión centromedular y de las imágenes vasculares perimedulares en RMN; por último, una ADM con ausencia de la FDAVE.
TABLA 2: ESCALA DE AMINOFF LOGUE
MARCHA (G) |
MICCION (M) |
DEFECACION (B) |
G0: sin déficit motor |
M0: normal |
B0: normal |
G1: debilidad sin restricción de la actividad física |
M1: urgencia o dificultad para iniciar la micción, pero continente |
B1: incontinencia ocasional o estreñimiento persistente |
G2: debilidad con restricción de la actividad física |
M2: incontinencia o retención ocasionales |
B2: incontinencia persistente |
G3: necesidad de un apoyo para la deambulación |
M3: totalmente incontinente o retención persistente |
|
G4: necesidad de 2 apoyos para la deambulación |
|
|
G5: dependencia de silla de ruedas |
|
|
TABLA 3: ESCALA MODIFICADA DE RANKIN
0 |
Asintomático |
1 |
Sin discapacidad significativa a pesar de los síntomas. Es capaz de llevar a cabo todas las tareas y actividades habituales |
2 |
Discapacidad leve. Es incapaz de llevar a cabo todas las actividades habituales, pero es auto válido |
3 |
Discapacidad moderada. Requiere ayuda, pero puede caminar por motus propio |
4 |
Discapacidad moderadamente a severa. No puede caminar sin ayuda, no puede atender sus necesidades fisiológicas sin ayuda |
5 |
Discapacidad severa. Postrado en la cama, incontinente. Requiere atención de enfermería permanente |
6 |
Muerte |
RESULTADOS
Durante el periodo comprendido entre junio de 2010 y junio de 2020, fueron operados 8 pacientes portadores de una FDAVE de tipo dorsal en nuestra Institución. La muestra incluyó 7 pacientes masculinos (87.5 %) y 1 paciente femenina (12.5 %). La edad media fue de 58 años con un rango de 29 a 75 al momento de la cirugía (Tabla 1). Todos los pacientes tenían algún grado de trastorno en la marcha o esfinteriano de varios meses de evolución, pero menor a 12 meses salvo un caso con 32 meses. El diagnóstico se realizó en todos los casos con RMN y ARM de 1.5 y 3 Tesla seguido de ADM, es fundamental identificar exactamente nivel vertebral y lado del pedículo fistuloso, el origen de la arteria de Adamkiewicz y, además, se debe hacer la proyección de perfil para saber si la FDAVE es dorsal o ventral. Las FDAVE fueron localizadas en: 6 a nivel dorsal entre D6 y D12, una en L2 y la última en S1 (5 derechas y 3 izquierdas). La arteria de Adamkiewicz se identificó en: 4 casos en L1, 2 en D12, 1 en D10 y un caso en D7 (6 izquierdas y 2 derechas). Cabe destacar que en un caso el punto fistuloso era el mismo nivel del origen de la arteria de Adamkiewicz en D7 izquierda.
De los 8 pacientes operados, 3 fueron embolizados previamente. En 2 casos lograron oclusión completa y debido a la recurrencia de los síntomas se comprobó recidiva de la FDAVE a los 21 y 15 meses postembolización. En el tercer paciente solo se logró una embolización parcial y se completó con microcirugía a los 2 días. No hubo complicaciones postoperatorias en ninguno de los 8 pacientes operados. La evaluación clínica alejada mostró mejoría en uno o más puntos en la escala de Rankin modificada en 6 pacientes y 2 permanecieron estables, no observándose empeoramiento del cuadro neurológico en ninguno de los 8 pacientes. Todos los pacientes fueron controlados semestralmente con RMN y ARM comprobando la reducción de la congestión-edema medular y ausencia de los vasos perimedulares. A todos se le realizó una ADM luego de los 6 meses de postoperatorio comprobando la ausencia de FDAVE. Ningún paciente recurrió o recidivó la fístula arteriovenosa operada.
Casos ilustrativos
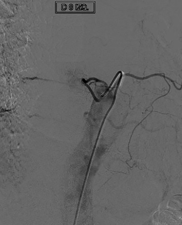
CASO #1. Paciente masculino de 52 años con una historia de 6 meses de evolución de disestesias en ambos miembros inferiores, inestabilidad en la marcha, hiperreflexia y urgencia miccional. Se estudió con RMN (Fig. 3), ARM (Fig. 4) y ADM seguida de embolización con oclusión total de una FDAVE D8 izq. (Fig. 5). Evolucionó sin déficit y a los 11 meses comenzó con la misma sintomatología previa a la embolización. Se estudió nuevamente y la ADM (Fig. 6) mostraba la recidiva de la FDAVE y fue derivada para microcirugía (Fig. 7). Luego de la cirugía evolucionó sin déficit, se realizó una ADM diferida (Fig. 8) y lleva 116 meses libres de enfermedad.
CASO #2. Paciente masculino de 72 años con una historia de 12 meses de parestesias progresivas y ascendentes en ambos miembros inferiores, sin compromiso esfinteriano. Se estudió con RMN (Fig. 9) y una ADM (Fig.10) que muestra una FDAVE en D7 izq. en coincidencia con el origen de la arteria de Adamkiewicz. Fue derivado para microcirugía (Fig. 11). La evolución postoperatoria fue sin déficit neurológico llevando 108 meses libres de enfermedad.

Figura 3: Caso #1. RMN sagital T2 que evidencia la hiperintensidad centromedular entre los segmentos D8-9-10 y la presencia de vasos dilatados perimedulares dorsales (flechas blancas).

Figura 4: Caso #1. ARM de alto campo en tiempo arterial que muestra a la arteria Aorta con sus vasos segmentarios y la presencia de una vena serpiginosa longitudinal (flechas blancas).

Figura 5: Caso #1. ADM mostrando la FDAVE en D8 izq. antes y después de la embolización. En la imagen de la izquierda (pre-embolización) las flechas blancas muestran la vena de drenaje de la FDAVE desde el punto fistuloso (más lateral) hacia medial en forma descendente y llegando a la línea media en donde se anastomosa con la vena espinal posterior y continúa hacia abajo en forma serpiginosa. La foto de la derecha (post-embolización) dejó de observarse la vena de drenaje y la vena espinal posterior (oclusión total de la FDAVE).

Figura 6: Caso #1. FDAVE recanalizada a los 15 meses post-embolización. ADM de frente (izquierda) y de perfil (derecha) las flechas blancas muestran el trayecto ascendente de la vena de drenaje. En el perfil se observa además que la vena de drenaje es dorsal.

Figura 7: Caso #1. Vista intraoperatoria. A la izquierda: se observa la vena de drenaje (flecha) emerger de la cara lateral de la duramadre, llega a la línea media posterior de la médula y continúa hacia abajo en forma serpiginosa. En el centro: la coagulación de la vena de drenaje. A la derecha: se observa la vena seccionada.

Figura 8: Caso #1. ADM postoperatoria alejada que demuestra la ausencia de la FDAVE en D8 izq.

Figura 9: Caso #2. RMN preoperatoria en secuencia T2, a la izquierda se observa en el corte sagital el característico edema centromedular multisegmentario. A la derecha se aprecia, en el corte axial, los múltiples vasos perimedulares y el edema centromedular.
Figura 10: Caso #2. ADM preoperatoria en AP y OAI. La misma arteria radiculomedular D 7 izq. (1) da origen a la arteria de Adamkiewicz (4) y a la FDAVE (2); pie de vena de drenaje (3); horquilla de la arteria de Adamkiewicz (5); arteria espinal anterior (6) y vena espinal posterior (7).

Figura 11: Caso #2. Vista final intraoperatoria. En este caso se coaguló la vena de drenaje y se adicionaron 2 haemoclips.
DISCUSIÓN
Las FDAVE son una rara patología vascular, generalmente aceptado como una enfermedad adquirida y de etiología desconocida. Se estima una incidencia anual de 5 a 10 casos por millón de habitantes.12 Afecta predominantemente a hombres adultos y adultos mayores (relación hombre: mujer de 6:1) y la localización más frecuente de las FDAVE es entre los niveles torácicos medios y lumbar alto.13,14 En nuestra pequeña serie de pacientes hay coincidencia con la literatura internacional en relación con datos epidemiológicos tales como edad, sexo y localización de la FDAVE.
La conexión fistulosa arteriovenosa se encuentra en el espesor de la duramadre nutrida por una o varias ramas arteriales durales que son colaterales de la arteria radicular (lo más frecuente es una sola rama aferente) y un drenaje venoso de tipo dorsal. La vena de drenaje emerge de la duramadre próxima a la raíz e invierte el flujo en la vena radiculomedular originada en la médula generando hipertensión venosa y congestión medular.15,16 En la exposición quirúrgica de nuestros pacientes hemos observado emerger la vena de drenaje en la duramadre entre 2 raíces en la gran mayoría de los casos, luego la vena continúa su recorrido hasta la superficie posterior de la médula anastomosándose con la vena espinal posterior. Esta vena arteriolizada, invierte el flujo del drenaje venoso medular provocando una congestión, edema e isquemia crónica; además produce el aumento del tamaño de las venas perimedulares haciéndose visibles en RMN como imágenes serpiginosas de vacío de flujo. Al estar afectado con más frecuencia los niveles torácicos medios hasta el cono medular la clínica predominante serán los trastornos de la marcha, mono o paraparesia, signos de liberación piramidal, afectación esfinteriana y sexual, parestesias, hipoestesias, irritación radicular y dolores tipo calambres musculares. En la gran mayoría de los casos la FDAVE es una patología subdiagnosticada y de diagnóstico tardío, habiendo recorrido muchos especialistas en pos de una radiculopatía o polineuropatía.17
Los estudios por imágenes iniciales son la RMN y ARM, el gold standard diagnóstico es la ADM. En RMN existe una triada clásica para las FDAVE: 1) Hiperintensidad centromedular en T2 presente en el 90% de los casos; 14,15 2) Imágenes serpiginosas de vacío de flujo en cara dorsal perimedular también en T2 y secuencia FIESTA, presente en el 80% de los casos14,18 y 3) realce con contraste a nivel intramedular, atribuible a la presencia de venas dilatadas intramedulares y rotura de la barrera hematoencefálica.19 La suma de las imágenes de edema centromedular y la presencia de vasos serpiginosos perimedulares tiene una altísima sensibilidad y un 97% de especificidad para diagnóstico de FDAVE.18 El diagnóstico de FDAVE se hace difícil cuando la RMN está contraindicada, las alternativas diagnósticas obviamente de menor sensibilidad/especificidad son la mielografía, mieloTAC y angioTAC, pudiendo identificarse en algunos casos el vaso aferente que nutre a la FDAVE.15 La ARM es el complemento a la RMN y se la puede sensibilizar utilizando gadolinio, es fundamental hacerlo en equipos de alta resolución de 1.5 o 3T. Algunos autores postulan que la asociación RMN y ARM con gadolinio y de alta resolución tienen una sensibilidad y especificidad cercana al 100% para el diagnóstico de FDAVE.20 A pesar de que en muchos casos se puede hacer el diagnóstico de FDAVE por RMN y ARM, nosotros preferimos indicar además la ADM para confirmar el diagnóstico. La ADM es un estudio invasivo que requiere por parte del Neuroradiólogo Intervencionista pericia y experiencia, siempre debe ser completa (se deben estudiar todos los pedículos vasculares a la médula). Además, como Neurocirujanos debemos conocer el punto exacto (nivel y lado) de origen de la arteria aferente (saber si es única o múltiple), reconocer el punto fistuloso y el origen de la vena de drenaje precoz. En referencia a esto es fundamental tener una vista de perfil para saber si la vena es ventral o dorsal, es habitual ver la vena precoz dilatada con un trayecto algo serpentino hacia la línea media en donde se incurva en forma ascendente o descendente y continúa como vena espinal; por último, saber el origen (nivel y lado) de la arteria radicular magna de Adamkiewicz. De acuerdo con los estudios de ADM alrededor del 80% de las FDAVE se encuentran entre T6 y L2, 4% son sacras y 2% cervical altas-foramen magno.15,21 En nuestra serie las 8 FDAVE estaban localizadas en: 6 a nivel dorsal entre D6 y D12, una en L2 y la última en S1 (5 derechas y 3 izquierdas). La arteria de Adamkiewicz se identificó en: 4 casos en L1, 2 en D12, 1 en D10 y una en D7 (6 izquierdas y 2 derechas). Todas las venas de drenaje eran del tipo dorsal. Un solo caso coincidió el nivel de la FDAVE con el origen de la arteria de Adamkiewicz, en estos casos y en general los mismos Neuroradiólogos Intervencionistas prefieren derivar el paciente a microcirugía debido a que en la embolización puede haber reflujo del material embolizante hacia la arteria de Adamkiewicz y provocar un infarto medular.
La evolución clínica de las FDAVE es progresiva y discapacitante por lo tanto todas deben tratarse, aunque sean de bajo flujo o asintomáticas por vía microquirúrgica o endovascular. El tratamiento endovascular, según referido por muchos autores, está asociado a menores tasas de éxito inicial y altas tasas de recurrencia comparado con la microcirugía.22-26 Steinmetz y col., en 2004,27 presentaron su serie de casos y un metaanálisis afirmando que la microcirugía es claramente superior en la obliteración de una FDAVE en un 98% de los casos comparado con solo un 46% en el tratamiento endovascular. Sin embargo, reportes posteriores al de Steinmetz y col.27 observaron una mejora de los resultados del tratamiento endovascular con un porcentaje de éxito del 70-80%.21,26
Técnica quirúrgica
La cirugía se hace bajo anestesia general y monitoreo neurofisiológico. El paciente se coloca en decúbito ventral y se marca la incisión guiado por Radioscopía. Luego de la disección muscular se confirma nivel con una nueva Radioscopía y se realiza una o eventualmente dos laminectomías bilaterales. Luego de abrir la duramadre y bajo la magnificación del microscopio se busca la vena de drenaje de la FDAVE cerca del foramen o en la duramadre lateral entre 2 raíces, generalmente emerge como una vena puente y busca la superficie posterior de la médula; algunas veces se la puede ver serpenteante, turgente y algo arterializada. Se la diseca y libera de la aracnoides, nosotros colocamos un miniclip transitorio (los de menor gramos de presión) durante 10 minutos y el Neurólogo verifica si hay cambios en el monitoreo neurofisiológico. Luego se procede a la coagulación, retiro del miniclip y sección de la vena (Fig. 7); si es de gran calibre se pueden colocar 2 haemoclips previo a la sección de la vena coagulada (Fig. 10). Si la vena en el origen dural está algo alejada de la raíz o de cualquier otro vaso se puede hacer una coagulación dural circunferencial alrededor de la vena ya que la fístula AV está próxima al pie de la vena. El cierre se realiza de la forma habitual. La cirugía es simple, rápida, segura, de bajo costo y baja morbilidad. En nuestra serie no tuvimos complicaciones en el postoperatorio.
La recuperación postoperatoria dependerá de la severidad del cuadro neurológico, tiempo de evolución y las imágenes preoperatorias; en general la mejora (motor y sensitivo) es de grado variable y ocurre en el 80% de los pacientes, los dolores y los trastornos esfinterianos son más aleatorios.14,15 En nuestra serie 2 de 8 pacientes permanecieron estables y 6 de 8 mejoraron uno o más puntos en la escala de Rankin modificada, los pacientes que no mejoraron son los que tenían mayor compromiso preoperatorio y además uno de ellos llevaba 32 meses de evolución. En todos los casos se verificó la mejora en las imágenes de RMN y ARM (reducción del edema centromedular y ausencia de los vasos serpiginosos perimedulares) como así también en todos los casos se comprobó la ausencia de la FDAVE en la ADM postoperatoria diferida (Tabla 4). Hasta el momento de esta publicación no hemos tenidos recurrencias con un seguimiento promedio de 48 meses y con un rango de 11 a 116 meses.
TABLA 4: TASA DE RESULTADOS DE MICROCIRUGÍA Y EMBOLIZACIÓN
Autores |
Período |
n |
Éxito |
Van Dijk et al. (22) |
1986–2001 |
Embolización 44 |
25 % |
Ruiz-Jureschke et al. (25) |
1995–2007 |
Embolización 9 |
55.6 % |
Gokhale et al. (26) |
1993–2013 |
Embolización 10 |
70 % |
Mormandi et al. (esta presentación) |
2010-2020 |
Microcirugía 8 |
100 % |
CONCLUSIONES
La FDAVE es una patología vascular infrecuente de causa desconocida con un cuadro neurológico variado que se puede confundir con otras patologías más frecuentes, estos factores asociados hacen que el diagnóstico sea tardío generalmente. A pesar del tamaño de nuestra serie creemos que la mejor opción terapéutica de las FDAVE es la microcirugía debido a que es simple, de baja morbilidad, con alta tasa de éxito y escasa recurrencia.
BIBLIOGRAFIA
COMENTARIO
Este interesante artículo presenta una serie retrospectiva de 8 pacientes consecutivos operados por una fistula dural arteriovenosa espinal dorsal, entre 2010 y 2020, en la misma institución. De los pacientes se analizaron y discutieron las variables demográficas, la clínica y cronología de presentación mediante la aplicación de la escala de Aminoff-Logue, las características imagenológicas, la topografía de las fístulas y los resultados postoperatorios mediante la escala de Rankin modificada. Acompañando la evaluación prequirúrgica topográfica y estructural de las fístulas se presenta una revisión de la anatomía vascular vertebro muscular. Cinco de los 8 pacientes recibieron de entrada un tratamiento microquirúrgico logrando un cierre completo y definitivo luego de un promedio de 48 meses de seguimiento. Los 3 pacientes restantes recibieron inicialmente un tratamiento endovascular. De estos, dos presentaron un cierre completo de la fístula, pero entre 15 y 21 meses después presentaron una recidiva que requirió un tratamiento microquirúrgico. En el último paciente no fue posible cerrar completamente la fístula por vía endovascular por lo que el tratamiento fue completado por vía microquirúrgica 48 horas después. El análisis definitivo de los pacientes no mostró complicaciones, 6 pacientes mejoraron en uno o más puntos la escala de Rankin modificada y dos permanecieron estables.
El trabajo está realizado prolija y ordenadamente y aporta una interesante revisión de los puntos salientes del manejo de esta patología. Los casos clínicos son presentados de manera exhaustiva y los datos relativos al proceso de diagnóstico y tratamiento están acompañados por información valiosa tanto anatómica como terapéutica.
Coincido con la decisión de pedir un estudio de AngioRMN o AngioTAC para guiar la realización del estudio de angiografía digital. La angiografía espinal puede ser un procedimiento de diagnóstico difícil en este contexto, ya que a menudo requiere múltiples inyecciones de arterias segmentarias para identificar la arteria de alimentación. Un estudio previo puede ayudar a identificar la topografía de la fístula y limitar la cantidad de segmentos medulares que merecen ser estudiados.1
En cuanto al tratamiento, coincido plenamente con los autores cuando definen que la mejor opción terapéutica de las FDAVE es la microcirugía debido a que es simple, de baja morbilidad, con alta tasa de éxito y escasa recurrencia.
En un trabajo publicado por Michael Lawton, en 2018,2 la microcirugía aportó en 41 pacientes operados, una mejoría postoperatoria en el 78% de los casos, muy cercano al 75% reportado por esta serie. La misma conclusión es reportada por otro trabajo del mismo año, publicado por el grupo de Giuseppe Lanzino en la Mayo Clinic de Rochester, EE. UU.3 en el que se concluye que la laminectomía con cierre microquirúrgico de la fístula arteriovenosa es un método seguro y confiable para el tratamiento de las fistulas durales espinales dorsales.
Matteo Baccanelli
Hospital Italiano de Buenos Aires. Ciudad Autónoma de Buenos Aires, Argentina.
BIBLIOGRAFÍA
1.- Chen J, Gailloud P. Safety of spinal angiography (2011). Complication rate analysis in 302 diagnostic angiograms. Neurology 2011;77(13):1235. Epub 2011 Sep 14.
2.- Safaee MM, Clark AJ, Burkhardt JK, Winkler EA, Lawton MT. (2018). Timing, severity of deficits, and clinical improvement after surgery for spinal dural arteriovenous fistulas. J Neurosurg Spine Jul;29 (1): 85-91.
3.- Sorenson T, Giordan E, Cannizzaro D, Lanzino G. (2018) Surgical ligation of spinal dural arteriovenous fistula. Acta Neurochir (Wien) Jan;160 (1): 191-194.
COMENTARIO
En el presente artículo, Rubén Mormandi y cols. realizan un completo repaso de la anatomía vascular espinal y el reporte de una serie de casos de fístulas durales AV espinales, tratadas en una institución entre 2010 y 2020.
Hace casi 100 años, dos neurólogos franceses describieron un síndrome desconocido hasta ese momento, al que denominaron mielitis subaguda necrotizante.1 En forma retrospectiva, analizaron la historia natural de una enfermedad que no conocían y realizaron estudios de anatomía patológica en dos casos. Como refieren los autores, 50 años después se reconoce a la fístula dural AV espinal como probable etiología del cuadro clínico conocido como sindrome de Foix-Alajouanine. Actualmente contamos con grandes avances tecnológicos que permiten el diagnóstico precoz y tratamiento efectivo de esta enfermedad como se presenta en el texto.
Con respecto a la anatomía vascular y la fisiopatología, los autores realizan una didáctica descripción de la irrigación vertebro medular dividiéndola en 3 topografías: extravertebral, yuxtadural y subaracnoidea. Como describen en el artículo, la presencia de una comunicación anómala entre un vaso de la topografía yuxtadural y una vena subaracnoidea, impide que actúe el mecanismo valvular de la constricción dural sobre las venas radiculares y de esa manera se transmite la presión arterial al plexo venoso y se genera la hipertensión venosa con los síntomas que ese fenómeno determina.2
Con respecto al tratamiento propuesto, concuerdo con los autores que la primera elección es la ligadura quirúrgica dado que, como muestran los excelentes resultados de esta serie y el resto de la bibliografía, la cirugía genera una tasa de curación significativamente superior respecto al tratamiento endovascular. La embolización debería quedar relegada a aquellos pacientes con contraindicación de cirugía.
Javier Goland
Hospital de Clínicas “José de San Martín”. Ciudad Autónoma de Buenos Aires, Argentina.
BIBLIOGRAFÍA