Experiencia en la aplicación de realidad mixta para la planificación quirúrgica de un meningioma gigante: revisión y reporte de caso
Sebastián Alberto Ochoa Guzmán,1 Penélope Mantilla,1,2,3 José Valerio1,2,3
1. Fundación Latinoamericana Valerio, Miami, Florida, Estados Unidos de América
2. Departamento de Neurocirugía, Palmetto General Hospital, Hialeah, Florida, Estados Unidos de América
3. Neurocirugía oncológica, Miami Neuroscience Center, Larkin Community Hospital, Florida, Estados Unidos de América
Recibido: 01/03/24. Aceptado: 25/06/2024.
Sebastián Alberto Ochoa Guzmán
sebastian8aguz@gmail.com
DOI: 10.59156/revista.v38i03.656
ORCID
Sebastián Alberto Ochoa Guzmán: 0000-0002-2940-5082
Penélope Mantilla: 0000-0001-5968-1363
José Valerio: 0000-0001-7283-5988
EMAILS
Penélope Mantilla penelopemantilla@gmail.com
José Valerio jevalerio@me.com
Los autores no declaran conflicto de interés
Los autores no declaran financiamiento.
RESUMEN
Introducción: las tecnologías de computación espacial se aplican cada vez más en el sistema de salud. Se utilizan como herramientas para la educación médica, la información del paciente, la planificación de cirugías y como asistentes durante los procedimientos quirúrgicos. La realidad mixta permite interactuar entre el mundo virtual y el real y sus funciones aumentan rápidamente.
Objetivos: comunicar la utilidad de la realidad mixta en la planificación quirúrgica de los tumores cerebrales.
Descripción del caso: paciente de sexo masculino, de 67 años, portador de un meningioma agresivo tratado con varias cirugías previas. Fue internado tras una historia clínica de trastornos cognitivos, alteración de la conducta y empeoramiento progresivo de los déficits neurológicos focales con un mes de evolución. La resonancia magnética mostró un tumor parasagital frontoparieto-temporal (FPT) izquierdo con regiones necróticas y efecto de masa. Se utilizó el visualizador de realidad mixta Brainlab® para la planificación preoperatoria.
Intervención: se realizó una resección estereotáctica del tumor cerebral sin marco. La longitud holográfica de los bordes del tumor se comparó con los bordes reales de este, tal como se observa después de la extirpación.
Conclusión: la aplicación de realidad mixta en neurocirugía muestra buenos resultados. Aunque los estudios han encontrado una mejora en la experiencia del cirujano en el área prequirúrgica, el uso de esta tecnología en el área intraoperatoria está generando grandes expectativas. Aún es necesario demostrar de manera concreta los beneficios que su empleo le otorga al paciente, lo que representa un aspecto clave a estudiar.
Palabras clave: Neurocirugía. Realidad aumentada. Realidad mixta. Tumor cerebral.
Experience in the application of mixed reality for surgical planning of a giant meningioma: review and case report
ABSTRACT
Background: spatial computing technologies are increasingly applied in the healthcare system. They are used as tools for medical education, patient information, surgery planning, and as assistants during surgical procedures. Mixed reality allows interaction between the virtual and real world and its applications are rapidly increasing.
Objective: communicate the usefulness of mixed reality in the surgical planning of brain tumors.
Case description: a 67-year-old male patient with an aggressive meningioma treated with several previous surgeries was admitted due to a one-month history of cognitive disorders, behavioral disturbance, and progressive worsening of focal neurological deficits. MRI showed a left parasagittal frontoparietal-temporal (FPT) tumor with necrotic regions and mass effect. The Brainlab® mixed reality viewer was used for preoperative planning.
Surgery: a frameless stereotactic resection of the brain tumor was performed. The holographic length of the tumor edges was compared to the actual tumor edges as seen after removal.
Conclusion: the application of mixed reality technology in neurosurgery shows good results. Although studies have found an improvement in the surgeon's experience in the presurgical area, the use of this technology in the intraoperative area is generating great expectations. It is still necessary to concretely demonstrate the benefits that the use of mixed reality provides to the patient, and this is still the most important task to study.
Keywords: Augmented reality. Brain tumor. Mixed reality. Neurosurgery.
INTRODUCCIÓN
Las tecnologías de computación espacial tienen una aplicación cada vez mayor en el sistema de salud. Se utilizan como herramientas desde la educación médica y la información del paciente, hasta la planificación como asistentes para los procedimientos quirúrgicos,1 pero su uso durante la cirugía es limitado. Con todo, los términos pueden ser confusos y es importante poder diferenciarlos para conocer los usos que se le pueden dar a cada uno.
La realidad virtual (RV) permite simular una experiencia sensorial dentro de un espacio artificial generado por computadora. La realidad aumentada (RA) se refiere a la superposición de objetos digitales dentro del mundo real. Su uso principal es para la cirugía asistida, ya que se pueden ver estructuras digitales sobre el paciente real. La realidad mixta (RM) nos faculta a interactuar con los objetos virtuales proyectados en el mundo real a través de gafas y hardware especial.2 Con estos objetivos, las aplicaciones de estas tecnologías en el campo de la medicina aumentan rápidamente.
Así, gracias a la RA y la RM se están desarrollando nuevas formas de educación, especialmente en el campo de la cirugía donde los médicos pueden mejorar sus habilidades y practicar procedimientos desconocidos, disminuyendo los riesgos mórbidos del paciente,2,3 por ejemplo, se ha implementado el uso de un simulador de ventriculostomía para la enseñanza de los residentes de neurocirugía con el objetivo de optimizar su desempeño en la práctica futura,4 se desarrolló un método de navegación de realidad aumentada para la cirugía endoscópica nasal y de la base del cráneo que demuestra una mejoría del tiempo quirúrgico y fatiga mental en comparación con la navegación estándar.5 También se ha implementado en cirugía de columna.6,7
El uso de la RV ha demostrado ser útil para los pacientes en la comprensión de su estado de salud,8 también, que la tecnología de RM beneficia la relación cirujano-paciente en fracturas de columna; en efecto, la visión preoperatoria de la lesión permite al paciente observar la estructura anatómica afectada y tener una comprensión más profunda del riesgo y del plan quirúrgico.7 Seguramente, su aplicación podría extenderse no solo a la cirugía de columna para convertirse en un estándar de atención y reducir la brecha de entendimiento entre médicos y pacientes.
Desde la creación de las imágenes diagnósticas, estas han sido esenciales para la formulación adecuada del plan quirúrgico. La limitación es que la comprensión de la imagen es a veces incompleta y, en la mayoría de los casos, la cirugía depende enteramente de la familiaridad del cirujano con las estructuras y variaciones anatómicas, así como de la capacidad intraoperatoria para manejar emergencias. La RM permite la comunicación entre varios expertos al mismo tiempo (incluso con médicos en diferentes ubicaciones) mientras se observa una imagen generada en 3D por computadora y se la manipula, lo que mejora la comprensión de los detalles anatómicos de las lesiones y las posibles complicaciones.9 Su utilidad se ha reportado en cirugía ortopédica y abdominal, con buenos resultados y perspectivas.7,10
OBJETIVOS
Comunicar la utilidad de la realidad mixta en la planificación quirúrgica de los tumores cerebrales.
DESCRIPCIÓN DEL CASO
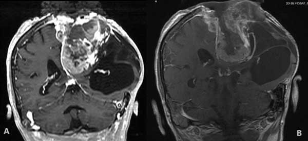
Paciente masculino, de 67 años, con antecedentes médicos de meningioma extremadamente agresivo y cirugías cerebrales previas. Fue ingresado con una historia de cambios cognitivos y del comportamiento con, aproximadamente, un mes de evolución, sumado a un empeoramiento progresivo del déficit motor del miembro superior izquierdo. La resonancia magnética mostró un tumor parasagital frontoparieto-temporal (FPT) derecho con regiones necróticas y efecto de masa (Figura 1).

Figura 1. Meningioma FPT parasagital izquierdo antes y después de cirugía. A) Resonancia magnética antes de cirugía, T1 con contraste. B) Resonancia magnética después de cirugía, T1.
INTERVENCIÓN
Se utilizó Brainlab® Mixed Reality Viewer (Brainlab® AG, Alemania) para la planificación preoperatoria (Figura 2). Todas las imágenes consideradas necesarias (alta resolución, reconstrucción 3D, con contraste, resonancia magnética ponderada en T1, etc.) para la correcta localización y medición del volumen del tumor se transmitieron al software Element Viewer (Brainlab® AG, Alemania) y las proyecciones de los objetos 3D se observaron a través de gafas Magic Leap (Brainlab® AG, Alemania) (Figura 3). Estas se estudiaron en el consultorio, se midieron los bordes del tumor y se analizaron los diferentes abordajes para su resección (Figura 4). El día de la cirugía, momentos antes de iniciar el procedimiento, se realizó una observación final del tumor a través de realidad mixta para confirmar su tamaño, el abordaje y otros aspectos de la cirugía.
Se efectuó una resección estereotáctica del tumor cerebral sin marco, sin complicaciones, y se utilizó un cierre asistido por vacío (CAV) para cubrir el defecto. El patólogo reportó un meningioma atípico (grado II de la OMS) con necrosis extensa. Para obtener datos sobre la precisión de la proyección del tumor en RM, se comparó la longitud holográfica de sus bordes con los bordes verdaderos del tumor tal como se observan después de la resección, coincidiendo exactamente.

Figura 2. Visor de realidad mixta. Este consiste en una pantalla táctil similar a la de un televisor con el software Element Viewer (en la parte posterior), y Magic Leap Goggles and Control que le permiten ver e interactuar con las proyecciones 3D creadas por el software.

Figura 3. Reconstrucciones 3D reproducidas por Element Viewer Software. A) Foto del paciente real. B y C) Reconstrucción 3D antes de la cirugía, meningioma parasagital FPT izquierdo. D) Reconstrucción 3D después de la cirugía.

Figura 4. Proyecciones 3D observadas a través de las gafas Magic Leap. A) Planificación quirúrgica en el consultorio.* B) Observación de la proyección 3D en el quirófano, minutos antes de iniciar el procedimiento.* *Las imágenes fueron modificadas para una mejor comprensión de lo que se observa a través de las gafas.
DISCUSIÓN
El paciente plantea un caso complejo ya que presenta un tumor muy agresivo que requiere, para su tratamiento, una reintervención quirúrgica. De esta manera, el uso de la RM para la planificación preoperatoria tuvo un beneficio adicional, ya que los cirujanos pudieron tener una mejor comprensión de las relaciones anatómicas del tumor, debido a que se obtuvo una representación holográfica 3D directa, que permitió una manipulación más adecuada del tamaño y perspectiva del tumor. Esta forma de planificación sirvió, además, para una mejor comprensión de los riesgos y complicaciones que podrían aparecer durante la cirugía. Aunque estos son resultados subjetivos, han sido reportados con frecuencia por otros estudios.7,10,11
Después de la cirugía, la medida de los bordes del tumor evidenció concordancia con lo calculado previamente en la RM (13.5 cm versus 13.43 cm). El resultado puede estar un poco sesgado al ser un tumor fácilmente visible desde fuera del cráneo, pero creemos que estos podrían ser los mismos en tumores totalmente intracraneales.
Una de las limitaciones es que, al requerir otros equipos, como monitor y computadora, por el momento no ha sido posible utilizarlo durante la cirugía. Sin embargo, el uso de la RM intraoperatoria se ha estudiado con resultados alentadores. Los dispositivos de RM se han empleado para la planificación quirúrgica de tumores cerebrales en el quirófano, sin mostrar diferencias significativas en la localización del tumor en comparación con la neuronavegación estándar, pero ofrecen una prueba de concepto de su viabilidad clínica con medidas de resultados cuantitativos.11
CONCLUSIÓN
La aplicación de la tecnología de realidad mixta en neurocirugía muestra buenos resultados. Aunque los estudios han reportado una mejora en la experiencia del cirujano en el área prequirúrgica, el empleo de esta tecnología en el área intraoperatoria aún está por verse con grandes expectativas. Además, todavía es necesario demostrar de manera concreta los beneficios que el uso de la realidad mixta le da al paciente, este es –aún– el aspecto más importante a estudiar.
Este es un artículo de acceso abierto bajo la licencia CC BY-NC https://creativecommons.org/licenses/by-nc/4.0/
BIBLIOGRAFÍA