Hidrocefalia secundaria a dilatación de espacios de Virchow-Robin
Darío Morales, Micaela García, Nicolás Demaio, León Zamora, Martín Asem, Pablo Landaburu
Hospital Interzonal General de Agudos (HIGA) Presidente Perón de Avellaneda, Buenos Aires, Argentina
Recibido: 08/03/24. Aceptado: 01/07/2024
Darío Morales
mochodario@hotmail.com
DOI: 10.59156/revista.v38i03.655
ORCID
Darío Morales: 0009-0000-4584-1653
Micaela García: 0009-0009-2616-4410
Nicolás Demaio: 0009-0000-9151-803X
León Zamora: 0000-0002-8243-0519
Martín Asem: 0000-0001-7523-6278
Pablo Landaburu: 0009-0009-5102-2799
EMAILS
Micaela García micaela.garcia1709@gmail.com
Nicolás Demaio nicolasdemaio@hotmail.com
León Zamora leozam92@gmail.com
Martín Asem martinasem@hotmail.com
Pablo Landaburu Landaburu840@gmail.com
Los autores no declaran conflicto de interés
Los autores no declaran financiamiento.
RESUMEN
Introducción: los espacios de Virchow-Robin (EVR) son dilataciones de los espacios perivasculares que contienen líquido cefalorraquídeo y, en ocasiones, pueden producir hidrocefalia.
Objetivo: comunicar un caso infrecuente de una paciente con hidrocefalia obstructiva secundaria a espacios de Virchow-Robin dilatados.
Descripción del caso: paciente de sexo femenino, de 51 años, debuta con cuadro de incontinencia urinaria y fecal, trastornos de la marcha y deterioro cognitivo con un año de evolución. RM de encéfalo evidencia múltiples imágenes quísticas localizadas en ambos tálamos, mesencéfalo y protuberancias hipointensas en T1 y FLAIR e hiperintensas en T2 que no realzan tras la administración de contraste, compatibles con espacios de Virchow-Robin dilatados, que comprimen el acueducto de Silvio provocando hidrocefalia.
Intervención: se decide colocar una válvula de derivación ventriculoperitoneal (VDVP) para remisión de los síntomas. La paciente requirió revisión valvular en dos oportunidades con extracción del dispositivo. Se realizó luego una tercera ventriculostomía endoscópica (TVE) en la que se observó la impronta del espacio de Virchow-Robin en el tálamo posterior y en el piso del tercer ventrículo y membrana de Liliequist ya fenestrada. Finalmente, se efectuó nueva colocación de VDVP contralateral con evolución favorable.
Conclusiones: la dilatación de los espacios de Virchow-Robin puede ser confundida con otras patologías de pronóstico y tratamiento diferentes. En los casos donde genera hidrocefalia sintomática, el tratamiento más eficaz es la derivación de LCR ya sea por colocación de VDVP o por tercera ventriculostomía endoscópica, esta última es dependiente de la configuración anatómica del piso del tercer ventrículo.
Palabras clave: Espacios de Virchow-Robin. Hidrocefalia. Tercera ventriculostomía endoscópica. Válvula de derivación ventriculoperitoneal.
Hydrocephalus due to dilation of Virchow-Robin spaces
ABSTRACT
Background: Virchow-Robin spaces (VRS) are dilations of perivascular spaces that contain cerebrospinal fluid (CSF) and, sometimes, can cause hydrocephalus.
Objectives: to communicate an infrequent case involving a patient afflicted with obstructive hydrocephalus due to dilation of Virchow-Robin spaces.
Case description: a 51-year-old female exhibited symptoms of urinary and fecal incontinence, gait disturbances, and cognitive decline over the course of one year. Brain magnetic resonance imaging (MRI) revealed a midbrain multicystic lesion spanning from both thalamus to the pons, T1 and FLAIR hypointense, T2 hyperintense. No enhancement was detected after contrast injection consistent with Virchow-Robin spaces dilation exerting pressure on the Sylvius aqueduct and causing hydrocephalus.
Surgery: a ventricular-peritoneal (VP) shunt was implanted resulting in symptom remission. However, shunt revision had to be performed in two occasions with device removal. An endoscopic third ventriculostomy (EVT) was then carried out observing VRS imprint on posterior thalamus and third ventricle floor with Liliequist membrane already fenestrated. Finally, a new contralateral VP shunt was inserted with favorable clinical outcome.
Conclusions: dilation of Virchow-Robin spaces may mimic other pathologies with a different prognosis and treatment. When symptomatic, the most effective treatment is CSF diversion either by VP shunt or EVT dependent on the anatomical configuration of third ventricle floor.
Keywords: Endoscopic third ventriculostomy. Hydrocephalus. Ventriculoperitoneal shunt. Virchow-Robin spaces.
INTRODUCCIÓN
Los espacios de Virchow-Robin (EVR) son dilataciones de los espacios perivasculares que contienen líquido intersticial; estos rodean y acompañan a los pequeños vasos cerebrales perforantes desde el parénquima cerebral hasta los ganglios de la base, aunque pueden ser observados en el tronco cerebral (Figura 1).1-6

Figura 1. Relación de las meninges con los espacios perivasculares cerebrales (dibujo original modificado de la publicación de Yu, y cols.; 2022).7
Son normalmente pequeños (alrededor de 1-2 mm de diámetro) y pueden ser identificados en imágenes de resonancia magnética (RM) de forma redondeada, oval o curvilínea, con paredes lisas en pacientes de todos los rangos etarios.1-3,8 Se cree que están involucrados en la inmunomodulación y en la remoción de desechos metabólicos, aunque su función no es aún del todo conocida.1,5,6,9,10
Los EVR suelen ser asintomáticos, sin embargo, en raras ocasiones pueden adquirir un volumen importante y causar efecto de masa local, como también obstruir del pasaje de LCR ocasionando hidrocefalia.1,2,6,11-13
OBJETIVOS
El objetivo de este trabajo es presentar un caso inusual de EVR multiquístico extenso con compromiso pontino, distorsión del acueducto de Silvio y síntomas de hidrocefalia normotensiva.
PRESENTACIÓN DEL CASO
Una paciente de sexo femenino, de 51 años, con antecedentes de tabaquismo consultó por presentar un cuadro de incontinencia urinaria y fecal, trastornos de la marcha y deterioro cognitivo con un año de evolución. Se realizó tomografía computada (TC) de cerebro simple donde se evidenciaron múltiples imágenes hipodensas a nivel talámico bilateral y pontomesencefálico con dilatación del sistema ventricular supratentorial y signos de reabsorción transependimaria. Se efectuó una resonancia magnética (RM) de encéfalo que mostró múltiples imágenes quísticas localizadas en ambos tálamos, mesencéfalo y protuberancia, hipointensas en T1 y FLAIR, e hiperintensas en T2 sin realce tras la administración de contraste endovenoso compatibles con espacios de Virchow-Robin dilatados que causaban compresión del acueducto de Silvio provocando hidrocefalia obstructiva (Figura 2).

Figura 2. A la izquierda: imagen de RM de encéfalo en corte axial ponderada en T2 en la que se observan múltiples imágenes quísticas localizadas en mesencéfalo con dilatación ventricular asociada. A la derecha: imagen de RM de encéfalo en corte coronal ponderada en T1 en la que se observa la distribución mesencéfalo talámica de las lesiones quísticas. Nótese la isointensidad de las imágenes descriptas con el LCR y la ausencia de patrón de refuerzo tras la administración de contraste característico de espacios de Virchow-Robin dilatados.
INTERVENCIÓN
Se decidió realizar una derivación ventriculoperitoneal (VDVP) para remisión total de los síntomas. La paciente estuvo aproximadamente un año libre de enfermedad con control por imágenes satisfactorio (Figura 3). Posteriormente, consultó por reaparición de síntomas. La semiología valvular arrojó pulsor rígido y la TC cerebral de control mostró dilatación ventricular por lo que se efectuó cirugía de revisión en la que se halló disfunción valvular distal secundaria a obstrucción por detritus celulares. Se repermeabilizó el catéter distal y se volvió a colocar en cavidad peritoneal resolviendo la signo-sintomatología que manifestaba. Desafortunadamente presentó una escara cutánea en la herida cefálica con exposición del reservorio valvular que requirió cirugía de toilette y extracción completa del dispositivo más tratamiento antibiótico. Evolucionó con incremento progresivo de los trastornos de la marcha por lo que se programó una tercera ventriculostomía endoscópica (TVE), en la que se observó la impronta del espacio de Virchow-Robin en el tálamo posterior, el piso del tercer ventrículo abierto y la membrana de Liliequist ya fenestrada (Figura 4). Finalmente, se determinó colocar una válvula de derivación ventriculoperitoneal (VDVP) contralateral con evolución favorable.

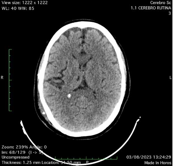
Figura 3. Imagen de tomografía computada de cerebro en corte axial donde se observa correcta colocación de catéter ventricular y resolución de la hidrocefalia.

Figura 4. Imagen intraoperatoria endoscópica de abordaje al ventrículo lateral derecho donde se observa, a la izquierda, la impronta generada por la dilatación del espacio de Virchow-Robin y en la imagen derecha el piso del tercer ventrículo abierto y la membrana de Liliequist ya fenestrada. P: Plexo coroideo. VS: Vena septal. VT: Vena tálamo estriada. QVR: Impronta de quiste de Virchow-Robin. CM: Cuerpos mamilares. AB: Arteria basilar. ACP: Arteria cerebral posterior. ACS: Arteria cerebelosa superior.
DISCUSIÓN
Los espacios de Virchow-Robin (EVR), descriptos por el patólogo alemán Rudolf Virchow (1821-1902) y al anatomista francés Charles Phillipe Robin (1821-1885), son estructuras normales dentro del cerebro. Se definen como espacios perivasculares que se encuentran alrededor de las arterias y arteriolas perforantes del cerebro a las que acompañan; su tamaño suele ser menor a 1-2 mm y su contenido líquido, intersticial.1-6
Si bien están íntimamente relacionados con el espacio subpial, están separados del espacio subaracnoideo por una fina capa de piamadre.1,9 Por otro lado, se encuentran en comunicación con los canales de drenaje linfático de la cabeza y cuello drenando a los ganglios linfáticos cervicales.1
Su función no es completamente conocida: algunas teorías sugieren que podrían facilitar el movimiento de fluidos desde las cisternas basales hacia el espacio intersticial; además estarían involucrados en la respuesta inmunomoduladora, ya que serían una vía de acceso de macrófagos y linfocitos al líquido cefalorraquídeo (LCR).1,5
Se ha postulado que formarían parte del sistema glinfático, concepto conocido como el movimiento de LCR hacia los espacios perivasculares que ingresan al cerebro con eliminación de desechos metabólicos a través de las membranas basales capilares.5,9
Los EVR son considerados dilatados cuando son mayores a 1-2 mm y son frecuentemente observados en edad avanzada, desordenes neuropsiquiátricos, esclerosis múltiple, enfermedad microvascular y traumatismo con injuria cerebral. Cuando su tamaño es mayor a 1.5 cm son considerados gigantes y pueden ser lesiones solitarias o grupo de múltiples quistes contiguos.5,8
El mecanismo de dilatación sigue siendo desconocido. Se han propuesto diferentes hipótesis para explicar el fenómeno, incluidas el drenaje insuficiente del líquido intersticial al espacio subaracnoideo, vasculitis necrosante segmentaria o incremento de la permeabilidad de los vasos cerebrales, fibrosis y obstrucción de los EVR con consecuente drenaje deficiente de líquido y fuga de fluido intersticial desde el compartimento intracelular hacia el espacio perivascular.10
La ectasia vascular y el incremento de las pulsaciones de LCR por trauma mecánico repetitivo podrían favorecer su aparición.1,6
Existen 3 tipos diferentes de EVR: los tipo I están alrededor de las arterias lenticuloestriadas abasteciendo a los ganglios de la base a los cuales llegan atravesando la sustancia perforada anterior; los tipo II se encuentran a lo largo de las arterias perforantes que irrigan la sustancia gris cortical que luego descienden hasta la interfaz sustancia gris-sustancia blanca de la convexidad; y los tipo III se encuentran en la región mesencefálica en los ramos perforantes de las arterias coliculares, accesorias, talamoperforantes, mesencefalotalámicas paramedianas y circunferenciales penetrantes en el tronco cerebral.4,5,9
Las dilataciones de los EVR pueden ser visualizadas en secuencias T2 de resonancia magnética (RM) hasta en un 95% de los pacientes.3,14 Según algunos autores, son parte de un envejecimiento normal ya que ocurren principalmente en personas mayores,1,3 sin embargo, también fueron halladas en un 30% de niños sanos y fueron asociadas con un desarrollo normal. Pequeñas dilataciones de los EVR son consideradas variantes normales y están asociadas a un buen pronóstico, de hecho, pueden ser visualizadas en las imágenes de RM de alto campo actuales (3 Tesla).3
Los EVR dilatados son también conocidos como “Virchomas” y es importante diferenciarlos de otras entidades patológicas.8,11 Su localización característica en los ganglios de la base, sustancia blanca y tronco cerebral siguiendo el camino de las arterias perforantes, su isointensidad con el LCR en todas las secuencias de imagen de RM y la ausencia de patrón anormal de realce tras administración de contraste permiten su correcto diagnóstico.1,3,11,15
Los diagnósticos diferenciales incluyen a los gliomas quísticos, infecciones parasitarias, quistes ependimarios y aracnoideos.4,6,8,13
Las dilataciones de los EVR son usualmente pequeñas y asintomáticas por lo que son consideradas variaciones anatómicas no patológicas. Las que exceden los 2 mm son comunes en pacientes añosos y en general están asociadas a alteraciones de la microcirculación y atrofia subcortical.11,15 Por otro lado, se encontró una asociación frecuente con ciertas entidades como parkinsonismo, hipertensión arterial, demencia y lesiones incidentales de la sustancia blanca como los EVR gigantes.8
Los EVR dilatados pueden causar efecto de masa y generar síntomas neurológicos focales que serán diferentes de acuerdo con su localización, no obstante, la forma de presentación más frecuente es con síntomas no específicos como cefalea y mareos. La pérdida de concentración, pérdida de memoria, demencia, cambios visuales, alteraciones oculomotoras, temblor, síncope, convulsiones, debilidad de las extremidades, síntomas extrapiramidales y ataxia, también fueron reportados.1,10
Los EVR localizados en la región mesencefalotalámica que se expanden más de lo usual pueden comprimir el acueducto de Silvio y ocasionar tanto hidrocefalia obstructiva como compresión de los núcleos troncales.13
Se han reportado pacientes con signo y síntomas de hidrocefalia normotensiva, con trastornos de la marcha progresivos, incontinencia y deterioro cognitivo. Algunos han experimentado cefalea intensa, diplopía progresiva y parestesias en ambos miembros superiores, también trastornos en la memoria (documentados en “Minimental Test”), fenómeno de Parinaud y temblores, síntomas que remiten con el tratamiento de la hidrocefalia.3,9 Cuando esta existe, el tratamiento de elección es la derivación de LCR ya sea mediante una derivación ventriculoperitoneal (DVP) o una tercera ventriculostomía endoscópica (TVE), que en muchos casos es suficiente para el alivio sintomático.1,3,4,6,9,10
Las dilataciones de EVR que producen síntomas focales relacionados con su efecto de masa pueden requerir fenestración y drenaje del quiste, y si hay recurrencias sintomáticas, la colocación de una válvula para derivación del contenido quístico podría ser necesaria.3,8,10
Los EVR asintomáticos no requieren ningún tratamiento, solo seguimiento por RM. Es importante un correcto diagnóstico diferencial a fin de evitar biopsias innecesarias que podrían agregar comorbilidad al paciente.8
CONCLUSIÓN
Los espacios perivasculares de Virchow-Robin (EVR) son estructuras anatómicas normales; las dilataciones marginales de estos pueden ser detectadas en un porcentaje elevado de individuos sanos.1
Cuando adquieren un volumen considerable pueden transformarse en sintomáticos y, por ende, patológicos.
En lo que respecta a la fisiopatología de la dilatación anormal, aún hay controversias y no se encuentra del todo conocida. La dilatación de los EVR puede ser confundida con otras patologías de pronóstico y tratamiento diferentes.
En los casos donde genera hidrocefalia sintomática, el tratamiento más eficaz es la derivación de LCR, ya sea por colocación de VDVP o tercera ventriculostomía, esta última es dependiente de la configuración anatómica del piso del tercer ventrículo.
Este es un artículo de acceso abierto bajo la licencia CC BY-NC https://creativecommons.org/licenses/by-nc/4.0/
BIBLIOGRAFÍA