Manejo quirúrgico de los meningiomas de la región petroclival: resultados y elección de una vía de abordaje
Nadin J. Abdala-Vargas MD1, Juan F. Villalonga2, Matías Baldocini3, Álvaro Campero3,4
1. Departamento de Cirugía Neurológica, Fundación Universitaria de Ciencias de la Salud (FUCS), Hospital de San José, Bogotá, Colombia
2. LINT, Facultad de Medicina, Universidad Nacional de Tucumán, Tucumán, Argentina.
3. Servicio de Neurocirugía, Hospital San Fernando, Buenos Aires, Argentina
4. Servicio de Neurocirugía, Hospital Padilla, Tucumán, Argentina
Matias Baldoncini
drbaldoncinimatias@gmail.com
Recibido: febrero de 2023. Aceptado: febrero de 2023
DOI: 10.59156/revista.v37i01.496
ORCID
Nadín J. Abdala-Vargas: 0000-0002-6942-5387
Juan F. Villalonga: 0000-0002-1544-6334
Matías Baldoncini: 0000-0001-9323-8306
Álvaro Campero: 0000-0001-5184-5052
RESUMEN
Introducción: Los Meningiomas de la Región Petroclival (MRPC) son tumores benignos que crecen circunscritos en una región anatómica de difícil acceso quirúrgico comprendida entre el clivus superior y medio, y la cara posterior del hueso petroso, medial al conducto auditivo interno. El manejo quirúrgico de estos tumores representa un desafío en la neurocirugía moderna. El objetivo del presente trabajo es describir los resultados quirúrgicos en una serie de casos y orientar al lector a la selección del abordaje quirúrgico adecuado desde nuestra experiencia.
Materiales y Métodos: Se analizaron las historias clínicas de 30 pacientes intervenidos con MRPC desde junio del 2005 hasta septiembre del 2022.
Resultados: De los 30 MRPC tratados, la edad promedio fue 52,7 años y el sexo predominante fue el femenino en un 83,3% de los casos. La zona de implantación más común fue la fisura petroclival en un 66% de los casos. El abordaje quirúrgico más utilizado fue el retrosigmoideo en un 44% de las veces seguido del presigmoideo en un 23%. Se consiguió una resección superior o igual al 95% en el 73% de los casos intervenidos. Finalmente presentamos nueve casos clínicos relevantes.
Conclusiones: Los resultados de esta serie coinciden con la percepción de la literatura sobre el manejo de esta patología. La elección de una vía de abordaje es un factor determinante para lograr un resultado quirúrgico prometedor.
Palabras Claves: Meningiomas, Región Petroclival, Retrosigmoideo, Transpetroso Anterior, Transpetroso posterior.
Surgical Management of Petroclival Meningiomas: Results and choice of an approach
ABSTRACT
Background. Meningiomas of the Petroclival Region (MRPC) are benign tumors that arise circumscribed in an anatomical region of difficult surgical access comprised, between the superior and middle clivus, and the posterior aspect of the petrous bone medial to the internal auditory canal. The surgical management of these tumors represents a challenge in modern neurosurgery. The object of the present work is describing the surgical results in a series of cases and to guide the reader in the selection of the appropriate surgical approach based on our experience.
Methods: We included 30 patients operated on with MRPC from June 2005 to September 2022.
Results: Of the 30 MRPC treated, the average age was 52.7 years, and the predominant sex was female in 83.3% of the cases. The most common implantation site was the petroclival fissure in 66% of cases. The most used surgical approach was the retrosigmoid in 44% of the cases followed by the presigmoid in 23%. A resection of 95% or more was achieved in 73% of the cases. Finally, we present nine relevant clinical cases.
Conclusions: The results of this series coincide with the perception of the literature on the management of this pathology. The choice of an approach is a determining factor in achieving a promising surgical outcome.
Key words: Anterior Transpetrosal, Meningiomas, Petroclival region, Posterior Transpetrosal, Retrosigmoid.
Abreviaciones, Nomenclatura y Símbolos:
CAI: Conducto auditivo interno
MRPC: Meningiomas de la región petroclival
NC: Nervio craneal
INTRODUCCIÓN
Los MRPC son tumores ubicados alrededor de la fisura petroclival, en la región anatómica comprendida entre el clivus, medialmente y la cara posterior del ápex petroso, lateralmente. En algunas oportunidades estos tumores se extienden hacia arriba, por encima del tentorio, hacia adelante invadiendo la fosa media (cavum de Meckel o seno cavernoso), hacia abajo a la región del foramen magno o hacia atrás por detrás del conducto auditivo interno. De acuerdo a la zona de implantación, pueden dividirse en clivales, petroclivales o petrosos anteriores. Crecen en relación con estructuras neurovasculares vitales como el tronco encefálico, la mayoría de los nervios craneales (NC) y la arteria basilar y pueden llegar a ser sorprendentemente grandes, causando desde síntomas mínimos hasta la muerte.
El manejo ideal de estos tumores es la resección quirúrgica máxima con preservación de la función neurológica, representando un desafío para cualquier cirujano de base de cráneo. A pesar de décadas de experiencia y la evolución de la microcirugía, aún existe una alta tasa de resección subtotal en este tipo de lesiones.1 Muchos reportes recientes sugieren que, en algunos casos, una resección agresiva se encuentra asociada a mayor morbilidad y que una resección subtotal seguida o no de radioterapia puede ofrecer mejores resultados neurológicos.2,3 La elección de una vía de abordaje o la combinación de varias aun es tema de discusión.4
El objetivo de este estudio es presentar los resultados clínicos y quirúrgicos de una cohorte retrospectiva de pacientes con MRPC tratados por un mismo cirujano y discutir los abordajes quirúrgicos utilizados.
MÉTODOS
Población
Se incluyeron 30 pacientes intervenidos con MRPC desde junio del 2005 hasta septiembre del 2022. Todos los casos fueron operados por el autor senior (AC). De cada paciente se adquirió los datos demográficos, y se registró el déficit neurológico al ingreso y posterior al procedimiento quirúrgico.
Evaluación Radiológica
Los pacientes incluidos contaban con estudios por resonancia magnética (RM) pre y post quirúrgica. En cada resonancia se determinó: su relación con el clivus (superior, medio o inferior), compromiso del seno cavernoso o extensión a la fosa media, el volumen tumoral (pequeño <2 cm, mediano 2-3 cm y grandes > 3 cm), la existencia o no de edema del tronco cerebral, la zona de implantación (clival, petroclival o petroso anterior) y el compromiso de la arteria basilar. Finalmente se evaluó el grado de resección quirúrgica: >100%: Total, >95%: Casi total, <95% : Sub-total.
Evaluación Quirúrgica y Postoperatoria
Los abordajes quirúrgicos utilizados fueron: 1) Retrosigmoideo , 2) Transpetroso anterior, 3) Presigmoideo y 4) Combinado (La combinación de 2 o más abordajes). Se clasificó la consistencia del tumor en Duro: no aspirable, Blando: fácilmente aspirable, Intermedio: difícilmente aspirable. Se considero un sangrado abundante por encima del 700 ml de sangre. Se determino si existía o no un plano aracnoideo visible. En el postoperatorio se evaluaron las complicaciones, la recurrencia y si requirió manejo adicional con radioterapia. La evolución neurológica se realizó asignando un número correspondiente a un status de la siguiente forma: Muerto por esta patología1 - Muerto por otra causa2 - Clínicamente peor3 - Clínicamente sin cambios4 - Clínicamente con mejoría5.
RESULTADOS
De los 30 MRPC tratados durante el periodo de estudio, la edad promedio fue de 52,7 años con un rango de edad de 31-77 años. El sexo predominante fue el femenino con el 83,3%. Al examen físico de ingreso se determinó que el síntoma predominante fue la cefalea en el 53% de los pacientes y los NC mayormente afectados fueron el nervio trigémino en el 67% de las veces, seguido por el complejo VII-VIII en un 40% (Tabla 1). Las zona de implantación más común fue la fisura petroclival en un 66,6% de la veces, seguida por el sector petroso anterior en un 20% de los casos. La zona del clivus mayormente afectada fue el clivus superior en el 81% de los casos y el clivus medio en el 63,3%. El 56,6% de los tumores tuvieron extensión a la fosa media, siendo el 76,6% de gran tamaño. Se observo edema de tronco en el 23,3% de los casos, el cual no estuvo asociado al grado de deterioro neurológico postoperatorio. La arteria basilar se encontraba englobada por la lesión tumoral en el 53,3% de los casos en alguna de sus porciones (Tabla 2). Durante el procedimiento quirúrgico se determinó que el 73,3% de los pacientes intervenidos tenía un buen plano aracnoideo. Casi la totalidad de los tumores no se encontraron calcificados y su consistencia fue intermedia en un 63,3% de los casos. El sangrado fue abundante solo en el 16% de los pacientes. Evaluamos el grado de resección quirúrgica, consiguiendo una resección superior o igual al 95% en el 73% de los casos intervenidos (Tabla 3). En cuanto a la elección de la ruta quirúrgica, el 44% de las veces se eligió un abordaje retrosigmoideo, en un 23 % un abordaje presigmoideo y en un 20% un abordaje transpetroso anterior; fue necesaria la combinación de varios abordajes solo en el 13% de los casos (Figura 1). En el postoperatorio inmediato la mitad de los pacientes tuvo un empeoramiento en la funcionalidad de los NC previamente afectados, con una recuperación en la mayoría de los casos durante los 6 meses posteriores a la cirugía. No existió fistula de líquido cefalorraquídeo en ninguno de los casos (Tabla 4). Se observó recurrencia a dos años de vigilancia en uno de los casos y fue necesario enviar a manejo complementario con radioterapia a dos pacientes. Posterior a una observación neurológica de al menos seis meses, el 86% de los pacientes tenían una mejoría en su calidad de vida o se encontraban igual que previo a la cirugía (Figura 2). Un paciente falleció en el postoperatorio tardío por causa infecciosa. Finalmente presentamos algunos casos ilustrativos (Figura 3) (Figura 4) (Figura 5) (Figura 6) (Figura 7) (Figura 8) (Figura 9)(Figura 10)(Figura 11).
Tabla 1. Datos clínicos. Se describen de forma detallada los datos clínicos recolectados en la historia clínica de ingreso, incluyendo el déficit neurológico de nervios craneales y los síntomas predominantes. NC: nervios craneales.
DATOS CLÍNICOS |
||
Edad, años, |
n(%) |
|
Años |
52,7 |
|
Rango |
31 - 77 |
|
Sexo, n (%) |
||
Masculino |
5 (16,7) |
|
Femenino |
25 (83,3) |
|
Déficit de NC, n (%) |
||
NC III |
8 (26,6) |
|
NC IV |
8 (26,6) |
|
NC V |
20(67) |
|
NC VI |
13(43) |
|
NC VII |
11(37) |
|
NC VIII |
12 (40) |
|
NC IX |
11(40,7) |
|
NC X,XI,XII |
11(37) |
|
Sin Compromiso |
3 (10) |
|
Síntomas, n (%) |
||
Cefalea |
16(53,3) |
|
Vias largas |
12 (40) |
|
Sdx.Cerebeloso |
10(33,3) |
|
Parestesias |
9(30) |
|
Tabla 2. Características imagenológicas. Se describen los hallazgos imagenológicas y características del tumor así como algunas características intraoperatorias.
CARACTERÍSTICAS IMAGENOLÓGICAS |
||
Zona de Implantacion, n(%) |
||
PC |
20(66,6) |
|
PA |
6(20) |
|
C |
4(13,3) |
|
Region del clivus afectada, n (%) |
||
Superior |
27(81) |
|
Medio |
19(63,3) |
|
Inferior |
5(16,6) |
|
Extension al SC, n (%) |
||
Si |
17(56,6) |
|
No |
13(43,3) |
|
Tamaño, n (%) |
||
Grande |
23 (76,6) |
|
Mediano |
5(16,6)) |
|
Pequeño |
3(10) |
|
Edema de Tronco, n (%) |
||
Si |
8 (26,6) |
|
No |
22(73,3) |
|
Compromiso A.Basilar, n (%) |
||
Si |
16 (53,3) |
|
No |
14(46,6) |
|
Tabla 3. Características quirúrgicas. Se describen algunas características macroscópicas del meningioma y así como el desenlace quirúrgico.
CARACTERÍSTICAS QUIRÚRGICAS |
||
Calcificado, n (%) |
||
Si |
2 (6,6) |
|
No |
28 (93,3) |
|
Plano aracnoideo visible, n (%) |
||
Si |
22 (73,3) |
|
No |
8 (26,6) |
|
Consistencia, n (%) |
||
Intermedio |
19 (63,3) |
|
Duro |
9 (30) |
|
Blando |
2 (6,6) |
|
Sangrado abundante, n (%) |
||
Si |
5 (16,6) |
|
No |
25 (83,3) |
|
Grado de resección, n (%) |
||
Total |
13 (43,3) |
|
Casi total |
9 (30) |
|
Sub total |
8 (26,6) |
|
Tabla 4. Complicaciones postoperatorias. Las complicaciones posoperatorias fueron divididas en transitorias, hallazgos postoperatorios que resolvieron durante la observación y definitivas aquellas que permanecen con los pacientes.
COMPLICACIONES POSTOPERATORIAS |
|||
Nuevo déficit de NC, n (%) |
Transitorio |
Definitivo |
|
NC III |
1(3,3) |
- |
|
NC IV |
- |
- |
|
NC V |
3(10) |
- |
|
NC VI |
5(16,6) |
1(3,3) |
|
NC VII |
8(26,6) |
2(6,66) |
|
NC VIII |
- |
- |
|
NC IX |
3(10) |
- |
|
NC X, XI, XII |
3(10) |
- |
|
Nuevo déficit de vías largas, n (%) |
|||
Si |
5(16,6) |
1(3,3) |
|
No |
25 (83,3) |
- |
|

Figura 1. Tipos de abordajes vs grado de resección. Se muestra en el grafico el porcentaje de pacientes que en cada tipo de abordaje se les realizo una resección total (T), casi total (CT) o subtotal (ST).

Figura 2. Status Postoperatorio. Se clasificaron los pacientes en cinco grupos distintos en el postoperatorio: (1) - Muerto por otra causa (2) - Clínicamente peor (3) - Clínicamente sin cambios (4) - Clínicamente con mejoría (5). Se presenta el porcentaje de pacientes y número de pacientes por grupos.

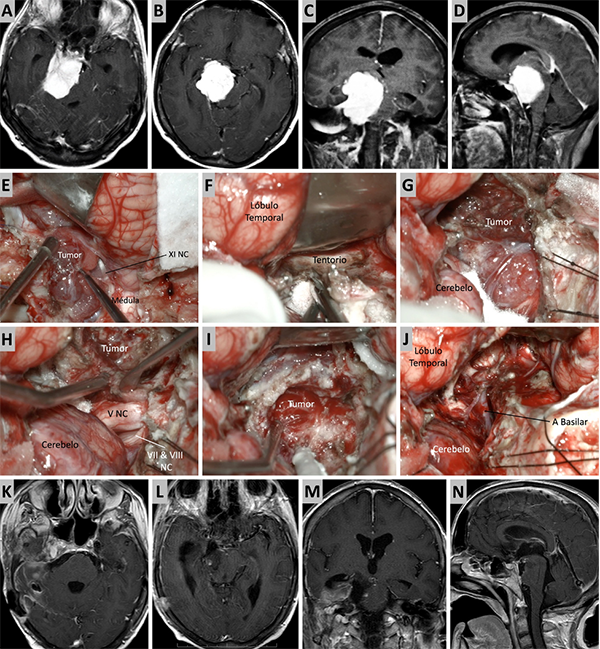
Figura 3. Caso ilustrativo #1. MRPC con implantación petroclival, extensión a la fosa media y compromiso de la incisura tentorial. Paciente con audición conservada. A. Corte axial sobre la región clival media. B. Corte axial sobre la región clival superior. Corte Coronal. D. Corte sagital donde se observa el efecto compresivo sobre el tallo cerebral. E-J. Se realizo un abordaje retrosigmoideo. K-N. Se muestra las imágenes en distintos cortes con el resultado quirúrgico. Residuo tumoral incipiente sobre la incisura tentorial.

Figura 4. Caso ilustrativo #2. MRPC con implantación petroclival, extensión a la fosa media y compromiso de la incisura tentorial. Paciente con audición conservada. A. Corte axial sobre la región clival media. B. Corte axial sobre la región clival superior. Corte Coronal. D. Corte sagital donde se observa el efecto compresivo sobre el tallo cerebral. E-J. Se realizo un abordaje retrosigmoideo. K-N. Se muestra las imágenes en distintos cortes con resección quirúrgica completa.

Figura 5. Caso ilustrativo #3. A-D. Resonancia que muestra MRPC con implantación clival. E-J. Se realiza un abordaje retrosigmoideo, consiguiendo la liberación del complejo VII-VIII del tumor y su resección completa. K-M. Resultado imagenológico postquirúrgico.

Figura 6. Caso ilustrativo #4. Meningioma de la MRPC con implantación petrosa anterior. El paciente presentaba neuralgia del trigémino atípica derecha. A-D. Imágenes por RMN pre operatorias. E-J. Se realiza un abordaje retrosigmoideo consiguiendo la resección total del tumor. K-M. Con ayuda de endoscopio y lente con angulación de 30º se inspecciona el área sin encontrar remanente tumoral. Se observa liberación del nervio trigémino. K-M. RMN postoperatoria que muestra resección total.

Figura 7. Caso ilustrativo #5. Resonancia que muestra MRPC con implantación petroclival y extensión a la fosa media. Paciente con audición conservada. A-D. Se presentan las imágenes prequirúrgicas, corte axial, coronal y sagital. E. Se realizo un abordaje presigmoideo combinado con un abordaje subtemporal. Se logro una visión directa del tumor, desde la región del clivus medio hasta la fosa media. F. Se observa una resección tumoral del clivus medio y fosa media casi total. G. Lesion tumoral en clivus medio. H-J. Resección casi total del tumor. La retracción del lóbulo temporal fue necesaria para tener mayor visibilidad de la incisura tentorial. K-N. RMN posquirúrgica donde se observa una resección quirúrgica casi total.

Figura 8. Caso ilustrativo #6. Resonancia que muestra MRPC con implantación petroclival y extensión a la fosa media. A-D. Se presentan las imágenes prequirúrgicas, corte axial, coronal y sagital. E-J. Se realizo un abordaje presigmoideo combinado con un abordaje subtemporal, logrando una exposición del seno sigmoideo y una visión directa del tumor consiguiendo una resección total. K-M. RMN posquirúrgica donde se observa una resección quirúrgica total.

Figura 9. Caso ilustrativo #7. A-B. Meningioma de la MRPC con implantación petrosa anterior. C-F. Se realiza un abordaje subtemporal y petrosectomia anterior. G-H. Imagen por RMN. Resección completa.

Figura 10. Caso ilustrativo #8. MRPC con implantación petroclival con invasión con extensión a la fosa media, clivus inferior, agujero magno y región premedula. Paciente con anacusia izquierda. A. Se observa un corte axial. MPC con extensión al ángulo pontocerebeloso y compromiso del CAI. B. Se observa extensión del tumor a la fosa media, seno cavernoso y ala mayor del esfenoides. C. Se observa extensión del tumor a ala menor del esfenoide, cisterna silviana y optocarotidea.D-E. Extensión del tumor a la fosa media, al clivus inferior y a la región premedular. Se realizo un abordaje presigmoideo acompañado de un abordaje far-lateral y un abordaje retrosigmoideo. F. Se observa la porción tumoral ubicada en el foramen magno y la región premedular, fue necesario un abordaje far-lateral. G. Resección completa de la porción ubicada en foramen magno y región premedular. H. Porción tumoral que se extiende desde clivus inferior a clivus medio. I-J. Resección de tumor de clivus medio e inferior. K. Porción tumoral en clivus superior con extensión a fosa media. Se realizo un abordaje transpetroso anterior para esta región. L-M. Resección casi total. N-R. Imágenes postquirúrgica que muestran una resección casi total.

Figura 11. Caso ilustrativo #9. A-D. Imagen por RMN que muestran MRPC con implantación petroclival, extensión a la fosa craneal media y clinoides anterior. F-L. Se realizo un abordaje combinado con clinoidectomia anterior extradural y petrosectomia anterior. N-Q. Se consiguió una resección casi total. Imágenes postquirúrgica por RMN.
DISCUSIÓN
Los MRPC representan entre en el 5 y el 11% de los meningiomas localizados en la fosa posterior.5 Se ubican en una región anatómica comprendida entre los dos tercios superiores del clivus y la cara posterior del hueso petroso, en su porción más anterior, medial al conducto auditivo interno (CAI), pudiéndose extender a regiones vecinas. Durante mucho tiempo, estos tumores fueron considerados “tierra de nadie”, teniendo en cuenta que crecen en un estrecho corredor de difícil acceso, que involucra el tronco cerebral, un gran número de NC, y estructuras vasculares vitales.6 Estas características representan un verdadero desafío para cualquier neurocirujano, incluido un cirujano de base de cráneo. Los avances en la técnica microquirúrgica y el uso de herramientas tecnológicas como el monitoreo neurofisiológico intraoperatorio han permitido una reducción significativa en la morbilidad y mortalidad postquirúrgica; sin embargo aun continúa siendo significativa, por lo que algunos autores han decidido alejarse de una resección radical con el objetivo de preservar una mejor calidad de vida.7,8,9,10 El concepto actual es lograr una máxima resección con una mínima morbilidad. Los autores del presente trabajo consideran que la estrategia quirúrgica debe ser individualizada en cada caso, teniendo en cuenta en primer lugar el estado funcional y clínico del paciente, seguido por las características imagenológicas de la lesión incluyendo las estructuras involucradas y su extensión, permitiendo crear un enfoque quirúrgico seguro. La resección total siempre será el resultado esperado pero primara la integridad clínica del paciente, por lo que la resección casi total puede ser una opción razonable de tratamiento.
En nuestra serie, se logró realizar una resección total en el 43,3% de los casos; un tercio de estos pacientes sufrieron un déficit neurológico en el postoperatorio inmediato que se resolvió en la gran mayoría de los casos luego de una rehabilitación adecuada. Por otro lado, del 30% de los pacientes a los que se le realizó una resección casi total, la gran mayoría no sufrió un déficit mayor al establecido previo a la intervención. La disponibilidad de radiocirugía se ha asociado con resultados prometedores a largo plazo pero no ayuda a resolver el efecto de masa de lesiones de gran tamaño, donde la única opción posible es la cirugía.11 Luego del análisis hecho de nuestra serie, solo dos de los paciente requirieron manejo coadyuvante con radiocirugía. En la gran mayoría de los casos, no se observó crecimiento posterior a la intervención quirúrgica; esto podría estar en relación con la población femenina que en nuestro caso representó el 83,3% de los pacientes, teniendo en cuenta que se ha mencionado en la literatura por Van Havenbergh12,13 que en esta patología se describe un retraso del crecimiento tumoral luego de la menopausia. La principal indicación de la radioterapia en los MRPC es el tratamiento de residuos o recidivas posterior a una intervención quirúrgica. Sekhar y Schramm recomendaron por primera vez la radioterapia coadyuvante en 198714; desde entonces la controversia se centra en el momento adecuado para indicar esta terapia pudiendo ser temporizada solo en casos en que se observa una recidiva real temprana por RM.15,16
Teniendo en cuenta la región anatómica afectada y la capacidad de extensión de estos tumores, las manifestaciones clínicas son variables y suelen aparecer luego del efecto de masa, generando desde trastornos cerebelosos, motores y sensitivos hasta el deterioro progresivo de la función de los NC involucrados. En algunos casos puntuales, pequeños tumores en la zona de paso del nervio trigémino desde la fosa posterior hacia el cavum de Meckel, generan en forma temprana síntomas sensitivos. En nuestra serie la cefalea fue el síntoma predominante en el 53,3% de los casos, seguido por los trastornos cerebelosos en el 33,3% de los casos. Además, se vieron afectados todos los NC desde el III hasta el XII, siendo el nervio trigémino y el complejo VII-VIII de los más afectados.
Elección de un Abordaje
Actualmente, no existe un consenso en la elección de un abordaje quirúrgico ideal para acceder a la región petroclival; sin embargo, la extensión del tumor, la relación con el tentorio y el compromiso neurológico pueden inclinar la balanza hacia algún tipo de abordaje. Muchos cirujanos han propuesto herramientas para la elección de un abordaje específico, pero éstas pueden perder valor cuando se individualiza cada caso en particular. Recientemente Guinto et al. propusieron un sistema de medición que evalúa las bondades del abordaje retrosigmoideo en el manejo de los meningiomas petroclivales puros dependiente del grado de desplazamiento y posición del pedúnculo cerebeloso medio en relación al tumor. Los autores del presente trabajo consideran que el abordaje debe estar basado principalmente en la zona de implantación de tumor, que puede ser clival, petroclival o petrosa anterior, en la relación que existe entre la lesión y el tentorio, y en la extensión o no a la fosa media (Figura 12). Para las zonas clival y petroclival, el abordaje retrosigmoideo es preferido cuando el tumor se ubica por debajo del nivel del tentorio. En caso de una extensión tumoral alta, por arriba del tentorio, el abordaje presigmoideo es de mayor utilidad. Para los tumores con implantación en la zona petrosa anterior sin extensión a la fosa media una buena opción es el abordaje retrosigmoideo, en general utilizando el fresado del tubérculo suprameatal. Si existe extensión a la fosa media el abordaje indicado es el transpetroso anterior En algunas situaciones muy puntuales es necesario combinar abordajes para resolver de mejor manera el caso (Figura 13).

Figura 12. Tipos de Abordajes para MRPC. Presentamos los distintos tipos de abordajes típicamente utilizados para tratar los MRPC. Señalamos de cada abordaje sus bondades y limitaciones.

Figura 13. Algoritmo de elección de una ruta de abordaje quirúrgica en MRPC. Para la elección de un abordaje quirúrgico los MRPC pueden agruparse en petrosos anterior o clivales y petroclivales por su cercanía anatomíca. En el caso de los meningiomas petrosos anterior se debe evaluar si tienen o no extensión a la fosa media para decidir entre un abordaje retrosigmoideo (R) o un abordaje transpetroso anterior (TPA). Para los meningiomas clivales y petroclivales se debe tener en cuenta su relación con el tentorio, en caso de sobrepasarlo un abordaje presigmoideo (PS) sería la elección.
Abordaje Retrosignoideo: Pese a las constantes publicaciones que implican un cambio en la filosofía del manejo de este tipo de tumores, el abordaje retrosigmoideo sigue siendo el caballo de batalla de la mayoría de los neurocirujanos debido a su facilidad, versatilidad y capacidad de exposición de las estructuras neurovasculares contenidas en el ángulo pontocerebeloso. Un estudio reciente menciona la importancia de esta vía en el manejo de los MRPC, mostrando una resección extensa en gran parte de los pacientes y una evolución favorable en el caso de una resección subtotal combinada con radiocirugía.17 Este fue el abordaje quirúrgico más utilizado en nuestra serie; fue utilizado en el 44% de los casos, logrando una resección adecuada en el 71,43% de los pacientes intervenidos (Figura 1). Creemos que este abordaje es el ideal para los tumores con un crecimiento hacia el clivus inferior, que presentan una extensión lateral al CAI y/o que han desplazado posterolateralmente el pedúnculo cerebeloso medio.18
Abordaje Transpetroso Anterior : Este abordaje implica el fresado extradural del apex petroso, y es la primera elección a nuestro entender, para tumores de pequeño o mediano tamaño, que nacen en el sector petroso anterior y que se extienden hacia la fosa media; es importante que la lesión no se extienda por abajo del nivel del CAI.19,20,21 Desde un punto de vista quirúrgico este abordaje limita la visualización de tumores por debajo del clivus medio; sin embargo permite un adecuado acceso hasta la línea media clival. Además, es el único abordaje que ofrece una liberación de 360 grados del nervio trigémino. En nuestro estudio, representó el 20% de los abordajes realizados, y fue escogido en general cuando las lesiones comprometían el clivus superior y/o medio con extensión hacia la fosa media. Se consiguió una resección superior al 95% en la mitad de los casos (Figura 1).
Abordaje Presigmoideo: Ofrece una visión lateral de las lesiones con implantación en el clivus superior y medio. Este abordaje puede recibir distintas denominaciones siendo algo confuso en la literatura; también se lo conoce como abordaje transpetroso posterior. Sus variaciones dependen del grado de fresado de las estructuras óticas circunscritas al interior del hueso petroso y que deben ser preservadas o no de acuerdo al estatus neurológico preoperatorio; es dividido en 3 variantes: retrolaberíntica, translaberíntica y transcoclear.19,22,23,24 La variante retrolaberíntica implica un menor grado de fresado y pretende preservar la funcionalidad del nervio coclear.20 Si un paciente tiene poca o ninguna audición, es preferible la utilización de la variante translaberíntica; el fresado de los canales semicirculares en este abordaje permite mayor visualización y una mejor ventana de trabajo.24 En la presente serie, el 23,3% de los casos fueron realizados por esta vía; en todos los casos fue agregado como accesorio un abordaje subtemporal, con el objeto de ligar y cortar el seno petroso superior y luego seccionar el tentorio. La gran ventaja de esta vía es precisamente la sección del tentorio, que permite al cirujano tener un mayor y mejor ángulo de ataque del tumor; además, al utilizar el acceso subtemporal, permite la resección del tumor que se ubica por arriba del nivel del tentorio. Más del 70% de los pacientes en los que fue realizado el abordaje se consiguió una resección superior al 95% (Figura 7). La elaboración de este abordaje requiere de un entrenamiento microquirúrgico exigente que permita identificar y preservar las estructuras neurológicas a su paso.
Abordaje Combinado: Una acceso combinado, en nuestro estudio, fue definido como la utilización de más de una vía de abordaje (ejemplo: vía presigmoidea más vía retrosigmoidea; vía transpetrosa anterior más vía presigmoidea). La elección de la ruta quirúrgica transpetrosa combinada (transpetroso anterior más presigmoideo) es probablemente la combinación más utilizada. No obstante su utilización es controvertida, teniendo en cuenta que su elaboración implica un extenso fresado del hueso temporal, algunos autores sugieren que es la mejor elección para los MRPC de mediano o gran tamaño con extenso compromiso neurovascular pero con preservación de la audición.25 Al-Mefty et al1 informaron en su serie de 64 pacientes que la utilización de esta vía permitió una mejoría en la morbimortalidad y en la conservación de los NCVII y NCVIII. En el 13,3% de los casos fue necesario utilizar la combinación de varios abordajes (Figura 7).
Este trabajo pretende mostrar los resultados en una serie de casos teniendo en cuenta la población argentina. Se presentan algunos casos representativos de nuestra experiencia quirúrgica. Consideramos que el entrenamiento quirúrgico en laboratorios de microcirugía debe ser constante y que un conocimiento extenso de la anatomía es la mejor herramienta para comprender este tipo de lesiones; cada nuevo caso debe ser afrontado con compromiso y voluntad para lograr conseguir un gran resultado.
Limitaciones
Este estudio está limitado por la población de pacientes, que no permite un análisis estadístico significativo. La recolección de los datos fue realizada por distintas personas lo que pudo influir en una interpretación errónea de los resultados.
CONCLUSIÓN
Los MRPC representan un gran reto para cualquier neurocirujano independiente del grado de experticia. Los resultados de esta serie coinciden con la percepción de la literatura sobre el manejo de esta patología. La elección de una vía de abordaje es un factor determinante para lograr un resultado quirúrgico adecuado. A pesar del debate académico replicamos un algoritmo de manejo de los MRPC de acuerdo a su localización y compromiso neurológico. El manejo ideal de estos tumores es una resección radical con preservación neurológica; una resección subtotal con buena función neurológica postoperatoria es una buena opción terapéutica.
Los autores no declaran conflicto de interés
Los autores no declaran financiamiento.
Este es un artículo de acceso abierto bajo la licencia CC BY-NC https://creativecommons.org/licenses/by-nc/4.0/
BIBLIOGRAFÍA
COMENTARIO
Los autores describieron los resultados quirúrgicos en una serie de 30 casos de meningiomas petroclivales, operados entre los años 2005 y 2022. Todos fueron adultos con una predominancia neta del sexo femenino. Los abordajes quirúrgicos empleados fueron, en su mayoría, el retrosigmoideo y el presigmoideo, y la resección del 95% o mayor del tumor se vio en el 73% de los casos. En el postoperatorio observaron un empeoramiento de los síntomas en el 50% de los casos con recuperación a los 6 meses de seguimiento. Sólo un paciente falleció por causas infecciosas sin especificarlas.
Como bien relatan los autores en la discusión, los meningiomas petroclivales representan uno de los desafíos más demandantes a los cuales se puede enfrentar un neurocirujano. El empleo de la microcirugía y el monitoreo neurofisiológico intraoperatorio han sido una ayuda invalorable en la concreción de los buenos resultados postoperatorios. Cabe destacar que, siguiendo criterios actuales, los autores privilegiaron la calidad de vida por encima de lograr una resección completa. La discusión sobre las diferentes vías de abordaje fue completa y rigurosa reflejando que, probablemente, por una sola vía no pueda realizarse una resección completa.
A pesar de las limitaciones manifestada por los autores, los resultados obtenidos reflejaron pericia en la resolución de estos tumores y un conocimiento completo de su problemática.
Dr. Juan José María Mezzadri
Servicio de Neurocirugía, Instituto de Neurociencias, Hospital Universitario Fundación Favaloro, Ciudad Autónoma de Buenos Aires, Argentina.
COMENTARIO
Los meningiomas petroclivales (PCM) representan aproximadamente el 2 % de meningiomas intracraneales y menos del 0,15% de todos los tumores primarios intracraneales.1,2 Es decir que son tumores infrecuentes y muy complejos debido a su localización, rodeados de nervios craneanos, elementos vasculares y el tronco cerebral. Esta complejidad se refleja en la gran cantidad de abordajes quirúrgicos utilizados para su tratamiento, así como el uso de terapéuticas no quirúrgicas.3
Resulta importante la zona donde se implanta el tumor, lo que es bien aclarado por los autores; ya que muchos tumores que se asumen como petroclivales en la literatura, son en realidad meningiomas petrosos anteriores o inclusive petrosos posteriores y esto cambia radicalmente la complejidad y la morbimortalidad del tratamiento quirúrgico.
Los autores presentan una serie importante de 30 pacientes intervenidos en 17 años en donde se obtienen conclusiones interesantes en especial en relación con la selección de la vía de abordaje, con excelentes resultados funcionales y de control de la enfermedad.
Este trabajo demuestra que un entrenamiento adecuado en el laboratorio, sumado al estudio y conocimiento de la anatomía en 3 dimensiones, se traduce directamente en mejores resultados para nuestros pacientes.
Pablo M Ajler
Jefe del Servicio de Neurocirugía
Hospital Italiano de Buenos Aires
BIBLIOGRAFÍA