Este caso me desorientó
Dr. Espil, Pablo Ezequiel; Dra. Ayala Vázquez, Natalia; Dra. Agras Menghi, Giuliana; Dr. Petre, Cesar
Hospital de Niños Ricardo Gutiérrez
Caso Clínico
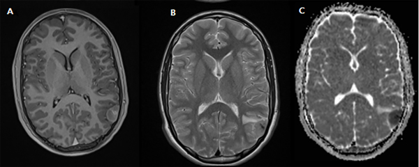
Paciente de 14 años, previamente sano, consulta en guardia externa de hospital de cercanía por episodio de afasia de expresión seguido por convulsión tónico clónica generalizada con periodo postictal que requiere intubación orotraqueal y derivación a UTIP de Hospital de Niños Ricardo Gutiérrez para complementar estudios. Se realiza tomografía computada (TC) de cerebro simple y en el informe preliminar no se evidencian alteraciones significativas. Se procede a la extubación electiva y posterior pase a sala de Clínica Médica. Se realiza resonancia magnética (IRM) de cerebro con y sin contraste donde se observa lesión extraaxial de bordes definidos a nivel parietal izquierdo que contacta con el giro angular, de 29 mm. de diámetro anteroposterior, 15 mm de diámetro transverso y 20 mm de desarrollo cefalocaudal. La lesión restringe en la técnica de difusión. En el T2 se evidencian imágenes con vacío de flujo evidenciando estructuras vasculares. El examen no demuestra lesión ósea. El refuerzo postcontraste es franco aunque heterogéneo y no presenta realce dural adyacente a la lesión. (Fig. 1). En la TC simple de cerebro, en ventana ósea, no se evidencia reacción periostica perilesional.
Con los hallazgos previamente mencionados, impresiona una lesión neoplásica. Se plantean diagnósticos diferenciales de lesiones extraaxiales tales como meningioma y tumor fibroso solitario. Se decide realizar tratamiento quirúrgico de la misma.
Durante el procedimiento, se coloca al paciente en decúbito dorsal con la cabeza lateralizada hacia la derecha. Se realiza abordaje parietal izquierdo y, luego de extraer la plaqueta ósea, se evidencia la duramadre también intacta. Se decide por una ecografía intraoperatoria para localizar la lesión. En la misma se observa una imagen hiperecoica sin bordes definidos en el centro del campo. Luego de la apertura dural, se localiza la lesión intraaxial con expresión cortical, de bordes no definidos, infiltrante, sin plano de clivaje (Fig. 2). Esto no era compatible con lo que esperábamos encontrar acorde a los estudios prequirúrgicos. Se lleva a cabo la resección en bloque con márgenes libres y control por anatomía patológica.
Paciente cursa posoperatorio inmediato con afasia nominal, la cual revierte completamente a los 7 días. En la IRM de cerebro sin y con contraste de control no se evidencia lesión residual.
Se recibe Anatomía patológica que informa lesión compatible con desorden de estirpe histiocítico. Se replantean diagnósticos diferenciales muy distintos a los que con las imágenes prequirúrgicas habíamos planteado. Entre éstos debatimos: enfermedad de Erdhein Chester, enfermedad de Rosai Dorfman y Xantogranuloma juvenil. Con dicha anatomía patológica se buscan otros focos de lesión los cuales no se evidencian. Se realiza entonces el diagnóstico de Xantogranuloma juvenil extracutáneo intracraneal. El paciente es dado de alta y actualmente está en seguimiento hace tres años, aún no se evidencia recidiva lesional, y no presentó episodios convulsivos.
Figura 1: IRM de cerebro con y sin contraste, A) T1 C + Axial. Lesión extra axial a nivel del giro angular, se observa refuerzo tras la administración de gadolinio B) T2 Axial. Se evidencia edema perilesional vasogénico C) DWI ADC Axial. Tumor que restringe a la técnica de difusión.

Figura 2: Imagen intraquirúrgica. Se evidencia lesión cortical infiltrativa de bordes no definidos con centro necrótico.
Discusión
La Enfermedad de Erdhein Chester (EEC), Enfermedad de Rosai Dorfman (ERD) y Xantogranuloma juvenil (XGJ) son trastornos benignos poco frecuentes pertenecientes al grupo de histiocitosis de células no Langerhans derivadas de células dendritcas o marcrofagos.1,3,20 El xantogranuloma juvenil (XGJ) es el más frecuente de este tipo de histiocitosis y suele presentarse en edad pediátrica, con el 85% de los pacientes que debutan antes del año, e incluso con formas congénitas de la enfermedad, con predominancia en el sexo masculino1,15. Se expresa frecuentemente en forma mucocutánea (con pápulas o nódulos bien definidos) generalmente asintomáticos y únicos, de localización predominante en cabeza y cuello. Este tipo de lesiones generalmente no requieren tratamiento y son autolimitadas en un plazo de 3 a 6 años.1,13
Las formas extracutánea de la enfermedad son más raras y pueden presentarse de forma aislada o en varios órganos, siendo la presentación típica extracutánea la ocular unilateral 1; cuando se encuentra en sistema nervioso central (1-2% de los casos)3 puede ser en forma aislada con foco único o múltiple, o ser parte de una XGJ sistémica (<5% de los casos)15 que implica el compromiso cutáneo múltiple asociado a afectación de dos o más órganos. Nuestro paciente se encuadra dentro de la forma extracutánea aislada con foco único a nivel intracraneal. Al ser una patología rara, se encuentran pocos reportes de casos en la bibliografía. Dehner ² en su serie de 174 casos de XGJ reporta sólo nueve pacientes con compromiso extracutáneo aislado, de los cuales cinco casos poseían compromiso del sistema nervioso central, tanto a nivel intracraneal (2 casos), como orbitario (2 casos) y a nivel vertebral (1 caso), todos ellos con compromiso lítico del hueso adyacente, a diferencia de nuestro caso con compromiso supratentorial que respetaba los tejidos óseos. Asimismo, de los 8 casos con afectación sistémica que presenta el autor, sólo dos pacientes tuvieron compromiso cerebral y orbitario.
Las lesiones típicamente se evidencian circunscritas con edema perilesional, refuerza tras la inyección de gadolinio endovenoso y restringen a la técnica de difusión6. El tratamiento es la exéresis quirúrgica cuando son tumoraciones únicas y de localización superficial,9 en cambio cuando hay múltiples lesiones o un único foco profundo el diagnóstico y tratamiento de esta patología es complejo.5 En estos casos la toma de biopsia por estereotaxia es de elección. Como tratamiento se han probado varias drogas sistémicas como la cladribina y vinblastine con buena respuesta; como último recurso se puede usar la radioterapia, la cual en niños se prefiere evitar.13,15,19
Como diagnóstico diferencial debe tenerse en consideración la ERD, que suele presentarse en paciente entre 20 y 40 años, con lesiones cutáneas sistémicas y linfadenopatías cervicales, fiebre, sudoración nocturna, compromiso óseo y dural. Suele ser autolimitada, con períodos de exacerbaciones y remisión. En cambio, la EEC se presenta entre los 7 y 84 años, generalmente en la adultez, con lesiones cutáneas sistémicas, xantelasmas, xantomas, acompañado de fiebre, esclerosis de huesos largos, compromiso de SNC, pulmones y riñón, de carácter progresivo y con riesgo de vida en su evolución.14,20
Conclusión
Cuando un paciente pediátrico consulta por síntomas neurológicos es primordial completar los estudios diagnósticos con una IRM de cerebro con contraste y ante la presencia de lesiones típicas siempre ponderar que en la población pediátrica puede no encontrarse correlación clínica-radiológica.
Además, aunque se evidencian lesiones presuntivas típicas en los estudios prequirúrgicos siempre tener en cuenta dentro de los diagnósticos diferenciales un amplio abanico de patologías frecuentes e infrecuentes. Esto nos ayuda a definir el tipo de conducta y el plan quirúrgico. Ante un hallazgo intraquirúrgico diferente, procurar la exéresis completa quirúrgica siempre que la lesión sea accesible.
Bibliografía