Punción ventricular transorbitaria: Revisión de la técnica y reporte de un caso
Nelson A Picard,1 Gisella E. Gómez.,2 Carlos A. Zanardi1
1. Servicio De Neurocirugía Y Cirugía De Columna.
2.
Unidad De Terapia Intensiva,
Clínica La Pequeña Familia, Junín, Buenos Aires, Argentina
Nelson Picard
nelsonalfredopicard@gmail.com
Recibido: noviembre de 2022. Aceptado: marzo de 2023.
ORCID
Javier Goland: 0000-0002-8091-3920
Gustavo Doroszuk: 0000-0003-1774-5781
Tomás Funes: 0000-0001-9353-7197
Guadalupe Alvarez: 0009-0008-6980-0707
Armando Basso: 009-0008-5468-0247
RESUMEN
La punción ventricular transorbitaria (PTO) es una técnica rápida y sencilla aunque poco utilizada en la actualidad. Como puede realizarse en la cama del paciente, resulta ideal en aquellos con hidrocefalia aguda rápidamente evolutiva o con enclavamiento transtentorial inminente o reciente, en quienes el acceso expeditivo a las cavidades ventriculares puede salvarles la vida. Revisamos aquí el desarrollo histórico de la técnica desde su descripción original en 1933. Por último, presentamos el caso de una paciente con hidrocefalia aguda secundaria a edema cerebeloso, en quien el empleo de la PTO dio tiempo para implementar el tratamiento definitivo. La técnica utilizada por nosotros consistió en un ingreso transpalpebral, por detrás del reborde orbitario superior y a nivel mediopupilar, con una trayectoria dirigida hacia la sutura sagital, dos a tres traveses de dedo por detrás de la sutura coronal.
Palabras claves: Abordaje transorbitario, cirugía, herniación cerebral, hidrocefalia aguda, ventriculostomía.
Transorbital Ventricular Puncture: Review of the technique and report of a case.
ABSTRACT
Transorbital ventricular puncture (TOP) is a fast and simple but poorly understood technique. As it can be performed at the patient's bedside, it is ideal in patients with rapidly evolving acute hydrocephalus or with imminent or recent transtentorial herniation, in whom expeditious access to the ventricular cavities can be life-saving. We review the historical development of the technique since its original description in 1933. Finally we present the case of a patient with acute hydrocephalus secondary to cerebellar edema, in whom the use of TOP allowed time to implement definitive treatments. The technique used by us consisted of an entry point through the upper eyelid, behind the superior orbital rim, and at the midpupillary line, with a trajectory aimed towards the sagittal suture two to three finger widths behind the coronal suture.
Keywords: Acute hydrocephalus, brain herniation, surgery, transorbital approach, ventriculostomy.
INTRODUCCIÓN
Frecuentemente los neurocirujanos son llamados en consulta para evaluar pacientes en coma, algunos de ellos con signos de enclavamiento transtentorial inminente o reciente. En casos de enclavamiento inminente o reciente, y principalmente en pacientes cuyo deterioro es secundario a hidrocefalia aguda rápidamente evolutiva (como puede suceder en algunas lesiones de la fosa posterior o de disfunciones valvulares proximales), el acceso expeditivo a las cavidades ventriculares puede salvar la vida del paciente. Haciendo a un lado los lactantes con fontanela presente, en quienes el acceso es transfontanelar, en adultos se han propuesto varias técnicas para acceder en forma urgente a los ventrículos laterales, aunque en la práctica las mismas se reducen básicamente a dos. Una de ellas es la perforación manual del cráneo girando de modo alternado una aguja gruesa9,12 (actualmente el mandril de una aguja 14G, recto o doblado en “L”). La técnica descripta originalmente empleaba un orificio a nivel frontal (unos 5,5 cm por encima del nasión y 3 cm hacia lateral)12 la que posteriormente fue modificada, realizando la punción a nivel precoronal Parasagital.9 Estas técnicas son bastante rápidas (pueden requerir un mínimo rasurado) y, dependiendo del espesor del cráneo, se utilizan 2 o más agujas, ya que pierden el filo rápidamente. Una vez atravesado el cráneo se puede continuar con la misma aguja, aunque puede ser conveniente cambiarla por otra de punción raquídea. Por lo general, desde la convexidad la aguja accede a las cavidades ventriculares siguiendo una dirección o eje perpendicular al cráneo, principio en el que luego se basó la guía (“trípode”) de Ghajar.4
La otra vía, transorbitaria, es poco utilizada y a veces hasta desconocida, a pesar de ser más sencilla y veloz. Fue descripta por Achille Dogliotti1 en 1933 como una variante para la inyección diagnóstica de aire (neumoventriculografía) (Figura 1).

Figura 1: Descripción original de la neumoventriculografía por vía transorbitaria en un paciente portador de hidrocefalia.1 Se aprecia el ventrículo lateral contrastado por aire y la punta de la aguja en el cuerno frontal.
En 1937, Fiamberti2 se basó en la técnica de Dogliotti para simplificar la leucotomía prefrontal (Figura 2), técnica psicoquirúrgica que acababa de ser descripta (1936) por Egas Moniz,7 y que le iba a valer a este último el Premio Nobel de Medicina en 1949.

Figura 2: Esquema representando el uso de la vía transorbitaria para la lesión de los haces prefrontales basales2 en lugar del abordaje frontal alto descripto en 1936 por Egas Moniz.
La técnica propuesta por Fiamberti sería luego adoptada y difundida en Estados Unidos por Walter Freeman,3 psiquiatra, quien gracias a la sencillez y velocidad del método llegó a realizar personalmente más de 3000 procedimientos, muchos de ellos fuera del quirófano, lo que le generó severas críticas por parte de la comunidad neuroquirúrgica de su tiempo.7 A diferencia de Dogliotti y de Fiamberti, Freeman ingresaba a la órbita ya no a través del párpado superior sino por el fondo de saco conjuntival superior una vez evertido aquel; luego orientaba el leucótomo siguiendo un curso paralelo al dorso nasal (Figura 3) y por último lesionaba los haces prefontales imprimiéndole al leucótomo un movimiento en abanico en el plano coronal. El fundamento de esta variante subpalpebral era mayormente estético, ya que frecuentemente se producían hematomas que obligaban al uso de anteojos oscuros en los días que seguían a la intervención.3

Figura 3: Lobotomía prefrontal según la técnica de Freeman. Para Freeman,3 no era necesario preparar el campo operatorio, ya que consideraba al saco conjuntival como normalmente estéril. En esta figura se aprecian dos leucótomos similares: uno de ellos a una profundidad de 7 cm, orientado ligeramente hacia la línea media y siguiendo un eje paralelo al del dorso nasal. El segundo leucótomo sirve para estimar la posición de la punta del primero a nivel cerebral. La trayectoria, cuya prolongación imaginaria alcanzaría la sutura cononal, pretendía evitar las cavidades ventriculares. Reproducida de Jones y Shankin6 con permiso de American Journal of Psychiatry.
Desconociendo el trabajo original de Dogliotti y siguiendo un razonamiento inverso al que oportunamente hiciera Freeman, Wada y Toyota,14 propusieron una modificación a la técnica de Freeman para la realización, nuevamente, de la neumoventriculografía (Figura 4). A pesar de su sencillez, la vía transorbitaria no alcanzó popularidad más allá del empleo que le dieran Freeman y sus seguidores, y al igual que la psicocirugía cayó en desuso con la aparición de los psicofármacos.7

Figura 4: Mediciones realizadas en neumoencefalogramas de pacientes psicóticos para estimar la trayectoria transorbitaria de la aguja. Reproducida de Wada y Toyota,14 con permiso de Tohoku University Medical Press.
En 1981 Madrazo Navarro y colaboradores8 describieron la PTO, ya no como herramienta diagnóstica sino terapéutica. Siguiendo a Freeman ingresan a la órbita a través del saco conjuntival superior luego de elevar el párpado, perforando el techo orbitario a nivel medio-pupilar y un centímetro posterior al arco superciliar. A partir de aquí los autores van a diferir en cuanto a la dirección que adopta la aguja: Madrazo la orienta hacia la sutura coronal en la línea media, dirección que posteriormente reproducirán Wilson y colaboradores15 para tratar un paciente con presunción de hidrocefalia aguda.
Debe señalarse aquí que la trayectoria de la aguja hacia la sutura coronal,8 siguiendo a Freeman, no tuvo en cuenta que la leucotomía transorbitaria tenía también como objetivo evitar el ingreso al sistema ventricular. Basta observar una ventriculografía (Figura 5) para percibir el error. Es así que salvo la presencia de grandes dilataciones ventriculares convendrá inclinar la aguja hacia la sutura sagital dos a tres traveses de dedo posteriores a la sutura coronal, más posterior cuanto menos dilatación ventricular exista. Entonces, una vez transpuesto con una ligera presión el techo orbitario, se avanza progresivamente la aguja, usualmente unos 3 centímetros o más, hasta observar la salida de LCR.

Figura 5: En esta ventriculografía positiva, iodoventriculografía, es clara la relación entre los cuernos frontales y las referencias óseas. Intentar una trayectoria hacia la sutura coronal puede no alcanzar un sistema ventricular moderadamente dilatado. Orientar la aguja hacia la sutura sagital algunos centímetros posteriores al bregma posibilitará el acceso a mano alzada del cuerno frontal. Como detalle se aprecian los orificios parietales de punción. Imagen ventriculográfica (histórica) cortesía del Dr. Matías Baldoncini.
En 2009 Tubbs y colaboradores13 refinaron los reparos anatómicos en un estudio cadavérico, aunque en el contexto de la emergencia pretender mucha precisión puede resultar engorroso (Tabla).
AUTOR |
TRAYECTORIA |
CONTEXTO |
AÑO |
Dogliotti.1 |
45° arriba y atrás, hacia medial |
Neumoventriculografía |
1933 |
Fiamberti.2 |
Como Dogliotti, pero con menor recorrido |
Leucotomía |
1937 |
Freeman.3 |
Paralelo al dorso nasal |
Lobotomía |
1947 |
Wada.14 |
35-45° hacia arriba y atrás, 20° hacia medial |
Neumoventriculografía |
1951 |
Madrazo Navarro.8 |
Hacia la sutura coronal y medial |
Punción ventricular |
1981 |
Wilson.15 |
Hacia la sutura coronal y medial |
Punción ventricular |
2007 |
Tubbs.13 |
45° hacia arriba y atrás, 15-20° a medial |
Punción ventricular |
2009 |
Tabla comparativa entre las diferentes técnicas descriptas de PTO.
Dentro de los riesgos específicos de la PTO están la lesión del paquete supraorbitario (hematoma orbitario, trastorno sensitivo frontal), y la posibilidad teórica de fístula de LCR hacia la órbita. Una trayectoria intracerebral inadecuada podrá dar origen a otras complicaciones, como cualquier otro abordaje.
PRESENTACIÓN DEL CASO CLÍNICO
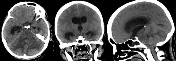
Se trata de una mujer de 47 años, portadora de angeítis de Wegener con compromiso pulmonar severo y otras comorbilidades, que requirió asistencia ventilatoria mecánica (AVM) por insuficiencia ventilatoria y posteriormente traqueostomía. Luego de varios días en AVM desarrolló en el transcurso de pocas horas estupor y deterioro de la respuesta motriz; la TC de encéfalo sin contraste mostró hidrocefalia aguda obstructiva por lesión de fosa posterior (Figura 6).

Figura 6: Tomografía computada del encéfalo donde se aprecia edema cerebeloso con compresión del tronco cerebral e hidrocefalia supratentorial aguda.
Ante la posibilidad de compromiso simultáneo irreversible del tronco cerebral se planteó la necesidad de RMN para definir la conducta a seguir, pero en menos de media hora de realizada la tomografía la paciente desarrolló pupilas intermedias no reactivas a la luz. Se realizó entonces la evacuación inmediata de 25 ml de LCR por vía transorbitaria derecha (Figura 7), recuperándose instantáneamente el reflejo fotomotor.

Figura 7: Punción ventricular transorbitaria derecha. Se aprecia la salida de LCR por la aguja. La profundidad alcanzada por la misma fue de 6 cm. La paciente estaba traqueostomizada por su patología pulmonar.
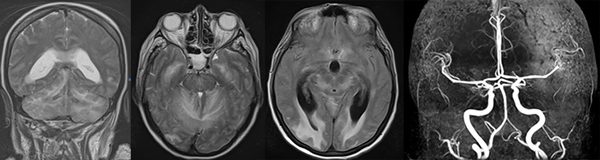
La RMN realizada de inmediato mostró edema cerebeloso y ausencia de compromiso troncal (Figura 8).

Figura 8: RMN y angioRMN: se aprecia edema cerebeloso bilateral, compromiso cerebral a nivel occipital a predominio derecho, balonización del tercer ventrículo y ausencia de oclusiones arteriales.
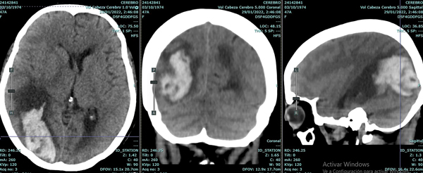
La evacuación de LCR dio tiempo para colocar una derivación ventricular externa en quirófano, la que se retiró a los 10 días, luego de normalizada la presión del LCR y de corroborar tomográficamente la recuperación del acueducto y del cuarto ventrículo. La paciente, sin embargo, presentó nuevas intercurrencias, tanto a nivel pulmonar como cerebral: hemorragia occipital derecha (Figura 9).

Figura 9: Hemorragia occipital derecha que evolucionó favorablemente con tratamiento conservador. La angioTC de encéfalo no mostró lesiones vasculares subyacentes. Se aprecia secuela parenquimatosa contralateral córtico-subcortical.
Finalmente, y luego de 45 días de la PTO inicial, logró derivarse a un centro de rehabilitación. Una RMN de control a los 3 meses mostró secuelas menores a nivel parenquimatoso y ausencia de hidrocefalia (Figura 10). A 8 meses del episodio inicial la paciente es independiente, refiere trastornos mínimos en la memoria anterógrada, y deambula por sus propios medios. Al examen neurológico se constata hemianopsia homónima derecha (Figura 11).

Figura 10: izquierda y centro, RMN de encéfalo control realizada a los 4 meses del episodio de hidrocefalia aguda. Se aprecia la secuela del sangrado a nivel occipital derecho: hipointensidad por hemosiderina y retracción del sector ventricular adyacente. Derecha: secuencia T1 sagital donde se aprecia la normalidad de las estructuras infratentoriales.

Figura 11: La paciente a los 8 meses del episodio agudo (reproducida con su permiso).
DISCUSIÓN
Basándonos en la descripción original de Dogliotti iniciamos la trayectoria a través del párpado superior con una aguja de punción raquídea N° 19, inmediatamente por detrás del reborde superior y a nivel mediopupilar. La resistencia que ofreció el techo orbitario fue escasa y una vez traspuesto el mismo se avanzó la aguja en dirección a la sutura sagital, dos a tres traveses de dedo por detrás de la sutura coronal, profundizándola primero unos 3 cm y luego retirando y recolocando el mandril cada 1 cm, hasta obtener la salida de LCR. Alcanzado el ventrículo lateral, la evacuación de 25 ml nos dio tiempo suficiente para completar el estudio de la paciente y luego colocar una derivación ventricular externa en quirófano. Si bien la dirección hacia línea media resulta útil, debe recordarse que con esta técnica el objetivo no es dejar un catéter a nivel del foramen de Monro sino drenar líquido para descomprimir el cerebro y dar tiempo para llevar a cabo el tratamiento definitivo.
Un detalle hoy anecdótico es que si bien en nuestro caso la paciente se hallaba sedada y en asistencia ventilatoria mecánica, en la descripción original de la técnica el paciente colaborador se manejaba con anestesia local.1
Creemos que el empleo de agujas en lugar de instrumentos de mayor calibre (leucótomos) hace innecesario el abordaje a través del fondo de saco conjuntival superior al modo de Freeman. Uno de los argumentos para explicar el poco uso de la vía transorbitaria es el temor de los neurocirujanos de lesionar el globo ocular.10 Pero es importante notar que el abordaje transpalpebral sólo atraviesa el músculo orbicular; no atraviesa el elevador del párpado superior, como sí sucede necesariamente con el acceso por el saco conjuntival; esto permite acolchar mejor el globo ocular y alejarlo de la trayectoria de la aguja. Parece claro entonces que el abordaje transpalpebral no sólo reduce las dificultades y los riesgos del procedimiento, sino que lo torna aún más expeditivo.
Por último, direccionar la aguja hacia la sutura sagital dos o tres traveses de dedo (más posterior cuanto menor sea la dilatación ventricular) por detrás de la sutura coronal, posibilitará el acceso al ventrículo lateral a unos 6-8 cm desde la piel, sin mayores dificultades.
CONCLUSIÓN
El acceso expeditivo al sistema ventricular puede salvar la vida del paciente. A pesar de ser poco utilizada en la actualidad, la vía transorbitaria transpalpebral es quizás el modo más sencillo de lograrlo.
Agradecimientos
Agradecimientos al Dr. Matteo Baccanelli por los artículos históricos originales en italiano (referencias 1 y 2), y al Dr. Matías Baldoncini por la imagen iodoventriculográfica.
Los autores declaran no tener conflictos de interés ni recibir financiamiento por parte de la industria.
Este es un artículo de acceso abierto bajo la licencia CC BY-NC https://creativecommons.org/licenses/by-nc/4.0/
BIBLIOGRAFÍA