“Este caso me desorientó”

Delgado Zerbola Juan M., Boemo Diego F., Cilenzo Anahi A., Jurich Juan C., Nallino Jose
Servicio de Neurocirugía; Hospital de Emergencias Dr. Clemente Alvarez


Se presenta a la consulta un paciente de sexo masculino de 60 años oriundo de una localidad rural de la provincia de Santa Fe y es derivado por presentar paresia facial izquierda, diplopía e inestabilidad en la marcha de una semana de evolución. Al examen neurológico se encontraba vigil, reactivo, orientado. GCS 15/15, fuerza y sensibilidad en los cuatro miembros conservada. ROT ++ bilateral. Se constata paresia del 6° y 7° par izquierdo y marcha atáxica.
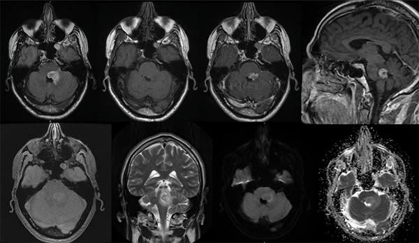
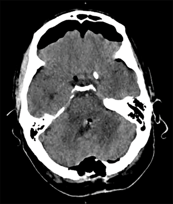
La tomografía computada (TC) de encéfalo reveló una imagen hipodensa a nivel protuberancial (Fig. 1) caracterizada mejor en resonancia magnética (RM) donde se observó en topografía tronco encefálica a nivel protuberancial medial y paramedial izquierda la presencia de una lesión expansiva que deforma el contorno anterior del cuarto ventrículo y se proyecta sobre el pedúnculo cerebeloso medio (Fig. 2). La lesión genera efecto de masa del sector, presenta naturaleza sólida, señal de resonancia heterogénea en su interior, contornos parcialmente definidos con un diámetro longitudinal de 14 mm, diámetro transversal de 17 mm y diámetro anteroposterior de 16 mm. La lesión es hiperintensa y heterogénea en secuencia T2 y FLAIR e hipointensa en T1, con edema perilesional tal cual son puestos de manifiesto en la imagen T2 coronal, que involucran la protuberancia y el mesencéfalo izquierdo. La lesión ocupante de espacio no mostró netarestricción en las secuencias moleculares de Difusión y ADC. No mostró cambios en la señal en la secuencia T2-GRE (Fig. 2).

Fig. 1. Tomografía preoperatoria; A: sin contraste. B: con contraste

Fig. 2. A: Axial-FLAIR. B: Axial-T1 sin gadolinio. C: Axial-T1 con gadolinio. D: Sagital-T1 con gadolinio. E: T2*- GRE F: Coronal-T2 G: Difusión. H: ADC


Se realizó una tomografía de tórax-abdomen-pelvis con contraste y no se observaron lesiones agregadas. Las serologías para VIH, VHC, VHB y VDRL fueron negativas.
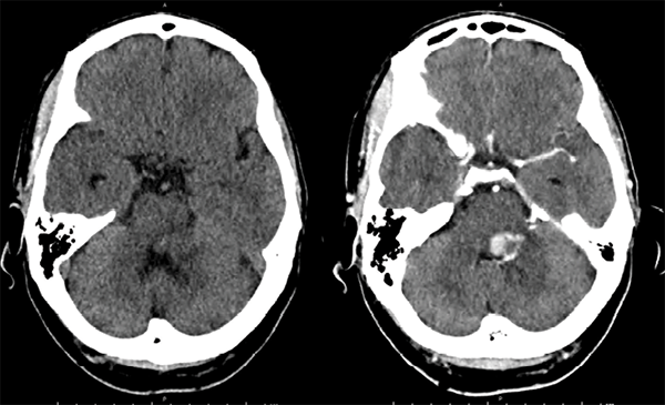
Basándonos en las características clínicas e imagenológicas disponibles la primera sospecha fue una lesión primaria de tronco de alto grado. Por la naturaleza focal de la lesión y su componente exofítico con proyección al piso del cuarto ventrículo se planteó un abordaje quirúrgico con el objetivo de obtener diagnóstico histológico, así como mejorar la sobrevida libre de progresión a través de una resección máxima segura. Dada la localización en proyección del cuarto ventrículo en su porción superior izquierda se optó por un abordaje telovelar con el paciente semisentado bajo monitoreo electrofisiológico intraoperatorio. En el intraoperatorio la poca diferenciación tumoral con respecto al tejido normal no permitió la exéresis completa. Se realizó tomografía de control postoperatoria que no evidenció hemorragia o hidrocefalia asociada (Fig. 3). La anatomía patológica reveló linfoma no Hodgkin de células B con alto índice de proliferación.
El paciente evolucionó en forma favorable en el postoperatorio inmediato y fue externado a los doce días postoperatorios a su domicilio sin foco agregado. Posteriormente progresó con alteración de los pares bajos y falleció a los 3 meses del postoperatorio debido a una neumonía bronco aspirativa.

Fig. 3. Tomografía de control postoperatoria.

DISCUSIÓN
Los tumores de tronco encefálico representan el 1,5 - 2,5% de los tumores intracraneanos en adultos, siendo más frecuentes en la población pediátrica. Dentro de este grupo de tumores de tronco, el linfoma es aún más infrecuente.
1-3
El desarrollo de las neuroimágenes en los últimos años ha permitido caracterizar estas lesiones con mayor precisión. La RMI es el principal estudio complementario. Dentro de los diagnósticos diferenciales de esta entidad se deben considerar los tumores metastásicos, gliomas, cavernomas, hemangioblastomas, procesos infecciosos y enfermedad desmielinizante.1
Existen diversas clasificaciones de tumores tronco encefálicos de acuerdo con sus características en RM y TC.4-7 Se basan en la presencia de crecimiento focal o difuso, la topografía, presencia de componente exofítico, presencia de hidrocefalia y hemorragia con el objetivo de predecir el comportamiento tumoral. En general estos autores concluyen en que aquellos difusos no se benefician con el tratamiento quirúrgico. Sin embargo el manejo sigue siendo controversial.8-9
Las imágenes de PET pueden ayudar a diferenciar lesiones de alto y bajo grado en población pediátrica aunque no hay estudios concluyentes en adultos.1 La espectroscopia puede generar información adicional en el estudio de los tumores de tronco, sin embargo, más estudios que correlacionen las neuroimágenes y la anatomía patológica son necesarios. A pesar de todos estos avances, el diagnóstico final de linfoma del sistema nervioso central (SNC) así como de los tumores tronco encefálicos se realiza mediante anatomía patológica.1-2
La biopsia se indica cuando está en duda el diagnóstico y la lesión no es resecable quirúrgicamente. Es el procedimiento de elección ante la sospecha de linfoma del SNC.1-2
La cirugía con objetivo de exéresis máxima y segura se indica en aquellos pacientes con tumores focales cuando la relación riesgo/beneficio es aceptable. Los abordajes dependen de la localización del tumor siendo el abordaje suboccipital medial-telovelar el más utilizado para localizaciones con extensión al cuarto ventrículo.11 La morbimortalidad de estos procedimientos sigue siendo elevada.1-2-8-9
El pronóstico del Linfoma de SNC no es favorable, sin embargo ha mejorado con los avances del tratamiento oncológico logrando duplicar el promedio de sobrevida de 12,5 meses a 26 meses en menores de 70 años.10

CONCLUSIÓN
Las características clínicas e imagenológicas no fueron suficientes para arribar al diagnóstico. El diagnóstico histológico de linfoma cambia drásticamente el tratamiento oncológico así como el pronóstico de este paciente. El desenlace del paciente a los 3 meses de operado con progresión de los síntomas constituye un ejemplo del mal pronóstico de las lesiones de tronco, en este caso del linfoma. Los estudios de esta entidad deben continuar para poder seleccionar con mayor precisión quiénes se beneficiarán de una cirugía oncológica.


BIBLIOGRAFÍA

  1. Schmidek & sweet operative neurosurgical techniques: Indications, methods and results, ISBN: 978-1-4160-6839-6. Sixth edition.
  2. Grommes, C., & DeAngelis, L. M. (2017). Primary CNS Lymphoma. Journal of Clinical Oncology, 35(21), 2410–2418. doi:10.1200/jco.2017.72.7602
  3. Sato S, Shibahara I, Inoue Y, Hide T, Kumabe T, New Radiological Findings Of Hypertrophic Olivary Degeneration in Two Patients with Brainstem Lymphoma, World Neurosurgery(2018), doi: https://doi.org/10.1016/j.wneu.2018.11.161.
  4. Bataille B, Delwail V, Menet E, et al: Primary intracerebral malignant lymphoma: Report of 248 cases. J Neurosurg 92:261-266, 2000
  5. EpsteinF,McClearyEL: Intrinsic brain-stem tumors of childhood: Surgical indications. JNeurosurg64:11-15,1986.
  6. ChouxM,LenaG,DoL:Brainstemtumors.In:ChouxM, DiRoccoC, HockleyA(eds): Pediatric Neurosurgery. NewYork: ChurchillLiving- stone,471-491,2000
  7. IsamatF: Brainstem gliomas. Neurochirurgia21:11-15,1995
  8. MehtaVS, ChandraPS, SinghPK,et al: Surgical considerations for ‘intrinsic’ brainstem gliomas: Proposal of a modification classification. NeurolIndia 57(3): 274-281,2009
  9. LevivierM, MassagerN, BrotchiJ: Management of mass lesions of the brainstem. CritRevNeurosurg8:338-345,1998
  10. Mendez JS, Ostrom QT, Gittleman H, et al. The elderly left behind changes in survival trends of primary central nervous system lymphoma over the past 4 decades. Neuro Oncol. 2018;20(5):687–694.
  11. Alvaro Campero, Pablo Ajler. Neuroanatomía Quirúrgica. Cap 8. Tronco Cerebral. ISBN 978-987-4922-24-3.