Meningiomas incidentales de la base de cráneo en la consulta
José C.Nallino
Hospital Clemente Alvarez. Rosario
La cirugía de los tumores y, en especial, la de los meningiomas está vinculada directamente a la historia de la neurocirugía y a su evolución técnica. En el año 1922 Cushing propone el término “meningioma” para aquellos tumores en relación directa con las meninges cerebrales, mostrando su experiencia en 85 casos y los llamó “fungating tumors”. Además, los clasificó de acuerdo a su localización, la cual sigue vigente 1.
Los meningiomas constituyen globalmente el 13-25 % de los tumores primarios. Se consideran como meningiomas de la base de cráneo aquellos que comprometen las siguientes estructuras: el Surco olfatorio, Planum Esfenoidal, Seno Cavernoso, Ala menor del esfenoides, Apófisis Clinoideas, Tuberculum selar, Clivus y Peñasco. Como se puede observar, son un grupo heterogéneo tanto en su forma de presentación como en la morbimortalidad quirúrgica sólo atribuida a la estrategia en el abordaje.
A partir de la incorporación de técnicas modernas de diagnóstico por imágenes, ha surgido una nueva entidad denominada meningioma incidental (MI). Los MI son aquellos procesos expansivos implantados en las meninges con toma de contraste homogénea y la típica “cola dural”, que son diagnosticados por tomografía axial computada (TAC) o Resonancia Magnética (RMN), o por síntomas no relacionados a la implantación. La proliferación de consultas debidas a esta entidad es un desafío en la práctica diaria y significa, en muchas oportunidades, el origen de las malas decisiones.
En la evaluación de un paciente con un MI de la base de cráneo es importante establecer en primer lugar que sus síntomas y signos no estén relacionados con la localización anatómica de la lesión. En segundo término, es relevante realizar un abordaje interdisciplinar con el equipo de neurorradiología a fin de descartar patologías que simulan ser meningiomas 2,3. Este proceso puede llevar más de una consulta e implica casi siempre nuevas imágenes complementarias o de control.
Para realizar un adecuado razonamiento y eventual tratamiento de los MI de la base de cráneo debemos tomar una conducta basada en múltiples factores (Tabla 1) que condicionan tanto al pronóstico oncológico como a la morbilidad de esta patología.
La historia natural de los meningiomas se ha estudiado a través de la tasa de crecimiento tumoral evaluada por imágenes seriadas mostrando una progresión dispar e inconstante pero, en general, con crecimiento lento 4. A su vez, Hashimoto y col. han demostrado que aquellos meningiomas que asientan en la base del cráneo tienen una menor tasa de crecimiento 5.
La edad es una variable fundamental para considerar al momento de definir nuestro accionar médico en los MI. En pacientes mayores de 70 años, los riesgos de complicaciones quirúrgicas aumentan significativamente con respecto a aquellos más jóvenes. Más aún, en pacientes de bajo nivel socioeconómico o con factores de riesgo mal tratados, la edad de corte baja a 60 años 6,7.
Si se tienen en cuenta el tamaño y la localización de los MI, aquellos tumores vecinos al nervio óptico y con riesgo quirúrgico aceptable, una conducta quirúrgica de inicio es de elección, aún en los de menor tamaño. Por el contrario, los meningiomas esfeno-petroclivales y cavernosos pueden ser controlados secuencialmente para establecer su tasa de crecimiento y definir conducta 8.
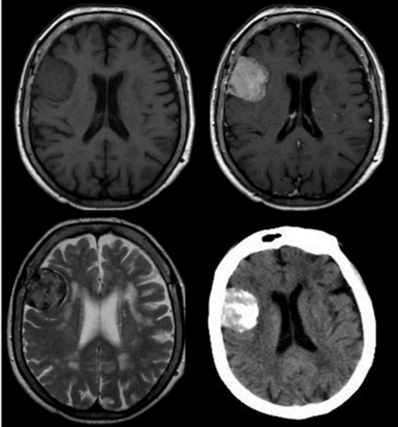
En cuanto a las características de estos tumores en RMI es ampliamente aceptado que las calcificaciones y un comportamiento iso-hipointenso en secuencia T2 está asociado a nulo o muy lento crecimiento (fig 1). El edema peritumoral ponderado en secuencia T2 es un factor para indicación quirúrgica de inicio o un seguimiento estrecho ya que implica mayor tasa de crecimiento 2,3. Para el seguimiento por imágenes es importante un protocolo de control basado en volumetría tumoral y un registro de las curvas de crecimiento. Las medidas lineales, sobre todo en fosa posterior, y la apreciación subjetiva del especialista en diagnóstico por imágenes puede llevar a confusión 4,5,9.
Por último, pero no de menor importancia, se debe sumar en esta ecuación el deseo del paciente y el impacto psicológico que implica el padecimiento de un tumor cerebral 5, 10.
En conclusión, en la práctica diaria debemos ser sistemáticos en el interrogatorio, examen físico y evaluación de las imágenes. Las decisiones clínicas deben ser tomadas
basándonos en la evidencia publicada. Ésta es la mejor forma de darles un tratamiento adecuado a nuestros pacientes y ofrecerles la seguridad que necesitan.
Tabla 1. Factores que condicionan la conducta en el tratamiento de los MI de la base de cráneo.
Factores Clínicos / Imágenes |
Edad |
Co-morbilidades |
Localización |
Tamaño |
Calcificaciones |
Edema peritumoral expresado en T2 |
Preferencia del paciente |
Figura 1: RMN y TAC de paciente de 82 años con imágenes compatible con MI, Isointenso en T1 y realce con gadolinio e Hipointenso en T2, tumor calcificado confirmado por la TAC. La paciente fue seguida durante 8 años sin cambios clínicos ni imagenológicos.
BIBLIOGRAFÍA
1. Meningiomas: Their Classification, Regional Behaviour, Life History, and Surgical End Results [Internet]. Vol. 112, Journal of the American Medical Association. 1939. p. 175. Available from: http://dx.doi.org/10.1001/jama.1939.02800020081030
2. Ahmed M, Lee JH, Masaryk TJ. Meningiomas: Imaging Mimics [Internet]. Meningiomas. 2009. p. 67–87. Available from: http://dx.doi.org/10.1007/978-1-84628-784-8_8
3. Starr CJ, Cha S. Meningioma mimics: five key imaging features to differentiate them from meningiomas. Clin Radiol. 2017 Sep;72(9):722–8.
4. Nakamura M, Roser F, Michel J, Jacobs C, Samii M. The natural history of incidental meningiomas. Neurosurgery. 2003 Jul;53(1):62–70; discussion 70–1.
5. Hashimoto N, Rabo CS, Okita Y, Kinoshita M, Kagawa N, Fujimoto Y, et al. Slower growth of skull base meningiomas compared with non-skull base meningiomas based on volumetric and biological studies. J Neurosurg. 2012 Mar;116(3):574–80.
6. Yano S, Kuratsu J-I, Kumamoto Brain Tumor Research Group. Indications for surgery in patients with asymptomatic meningiomas based on an extensive experience. J Neurosurg. 2006 Oct;105(4):538–43.
7. Kuratsu J, Kochi M, Ushio Y. Incidence and clinical features of asymptomatic meningiomas. J Neurosurg. 2000 May;92(5):766–70.
8. Meling TR, Da Broi M, Scheie D, Helseth E. Meningiomas: skull base versus non-skull base. Neurosurg Rev. 2019 Mar;42(1):163–73.
9. Nakasu S, Fukami T, Nakajima M, Watanabe K, Ichikawa M, Matsuda M. Growth pattern changes of meningiomas: long-term analysis. Neurosurgery. 2005 May;56(5):946–55; discussion 946–55.
10. Jagadeesh H, Bernstein M. Patients’ anxiety around incidental brain tumors: a qualitative study. Acta Neurochir . 2014 Feb;156(2):375–81.