ARTÍCULO ORIGINAL
Validación de Escalas de Eventos Adversos en Neurocirugía Infantil
Alejandro Saravia Toledo¹, Mario Sergio Jaikin¹
¹Servicio de Neurocirugía, Hospital de Niños Ricardo Gutiérrez, Buenos Aires, Argentina
RESUMEN
Introducción: Todos los neurocirujanos convivimos con eventos adversos [EA] durante nuestra práctica. Estas situaciones son registradas de manera poco sistematizada, en ocasiones naturalizando su ocurrencia, en otras atribuyendo el evento a factores externos al equipo neuroquirúrgico y también como señalamiento “culposo”. No existen escalas de EA propuestas en Neurocirugía infantil, y las pocas publicaciones hacen referencia a EA en cirugía de craneosinostosis exclusivamente.
Material y métodos: Estudio retrospectivo y descriptivo sobre 290 pacientes operados entre 01/05/20 al 01/05/21 en nuestro servicio. Se evaluó la aparición de EA y se los clasificó utilizando las escalas propuestas por Landriel, modificado de Dindo-Clavien y la de Houkin.
Resultados: De los 290 pacientes, se evidenciaron EA en el 24,8 % (n = 72). 45 % en cirugía oncológica (n = 33), 35 % en hidrocefalia (n = 25), 7 % en malformaciones congénitas (n = 5), 7 % en lesiones vasculares (n = 5) y 6 % en otros procedimientos (n = 4). Se presentaron EA en el 67 % (n = 48) de cirugías programadas y en un 33 % (n = 24) cirugías de urgencia. Utilizando la escala de Houkin se manifestó predominio en el grado 2 con un 59 % (n = 43) y grado 4 con un 18 % (n = 13) de las complicaciones totales. En la escala de Landriel predominaron los EA grado 2B con un 44 % (n = 32) y 1B con 19 % (n = 14). Prevalecieron los EA de tipo neurológico, representando el 76 % (n= 55) del total. Dentro de este grupo, las infecciones (19 %), las disfunciones mecánicas (14 %), el deterioro neurológico (13 %) y la aparición de foco (8 %) fueron los más frecuentes. La mortalidad fue 2,7 % (n = 2).
Conclusión: La incorporación de las clasificaciones de complicaciones propuestas por Landriel y Houkin, aplicando los criterios para los pacientes pediátricos, son válidas y pueden utilizarse en Neurocirugía Pediátrica.
Palabras clave: Efectos Adversos; Complicaciones; Riesgo quirúrgico; Ateneo de morbimortalidad; Neurocirugía infantil.
ABSTRACT
Introduction: The current practice of neurosurgery is associated with adverse events [AE]. There is little record of these events with no systematization, sometimes normalizing it, others attributing the event to others factors than the neurosurgical team or acussing this for the AE . Scales for classification of AE in pediatric neurosurgery are scarce, and most of them only refer to craniosynostosis surgery.
Material and methods: The records of all the patients who underwent surgery at our institution from May 2020 to May 2021 were retrospectively reviewed. We used both Landriel’s (Dindo-Clavien modification) and Houkin’s scales for classification of adverse events.
Results: Seventy-two (24,8 %) events among 290 neurosurgical interventions were recognized as AE. 45 % (n = 33) in oncologic surgery, 35 % (n = 25) in hydrocephalus, 7 % (n = 5) in congenital malformations, 7 % (n = 5) in vascular lesions and 6 % (n = 4) in others. 67 % (n = 48) of elective surgeries and 33 % (n = 24) of emergency surgeries had AE. Using Houkin’s classification, 59 % (n = 43) were grade 2 and 18 % (n = 13) were grade 4. Landriel’s classification showed prevalence of grade 2B and grade 1B (44 % and 19 % respectively). Neurological complications were the most frequent type of AE (76 %), including: infections (19 %), mechanics dysfunctions (14 %), neurologic impairment (13 %) and new deficit (8 %). The mortality was 2,7 % (n = 2)
Conclusion: Landriel’s and Houkin’s scales are useful and reliable for neurosurgery pediatric patients.
Key Words: Adverse events; Complications; Surgical risk; Morbidity and mortality conference; Pediatrics neurosurgery.
Los autores declaran no tener ningún conflicto de interés.
Alejandro Saravia Toledo
alejandrosaravia5@gmail.com
INTRODUCCIÓN
La ocurrencia de complicaciones en Neurocirugía es bien conocida. Utilizamos distintos términos que significan lo mismo: complicaciones, eventos adversos [EA], resultados inesperados, etc. La frecuencia y gravedad de los mismos están asociadas a la patología a tratar, tipo de cirugía, experiencia del equipo tratante y el equipamiento disponible. Black, 2 en 1993, fue el primero en definir complicación en Neurocirugía. Sin embargo, no existe actualmente una definición universalmente aceptada, y en múltiples ocasiones la inclusión de un paciente no deja de ser subjetiva. 8,13,19
El espíritu de perfeccionamiento constante, comparación de experiencias y la revisión minuciosa de los casos con resultados adversos, son las fuentes para mejorar el planeamiento y ejecución de cada tratamiento quirúrgico. El análisis sistemático del mecanismo de producción de estos sucesos permite identificar las causas, y discernir cuáles serán evitables y cuales serán parte del proceso de tratamiento de una patología neuroquirúrgica. Sin embargo, es importante recalcar como bien dice Gilsbach, 8“que si un neurocirujano aprende únicamente de los errores, raramente va a realizar algo bien”. El aprendizaje tiene que ser sobre todo de los casos exitosos. El ateneo de morbimortalidad es un espacio fundamental para el control interno de calidad de un servicio, 3 y mantener un registro actualizado de los EA para hacer una validación externa y poder comparar con otros servicios del mundo. 7,10,15.El objetivo del presente trabajo es presentar el uso de escalas de complicaciones ideadas para Cirugía en el paciente adulto y su aplicación en Neurocirugía infantil.
MATERIAL Y MÉTODOS
Se realizó un estudio retrospectivo observacional sobre 290 historias clínicas de pacientes operados en nuestro Servicio entre 01/05/20 y 01/05/21. Utilizamos las escalas de Houkin 10 (Tabla 1) y Landriel 11 (Tabla 2) para definir y encuadrar los EA. Asimismo clasificamos la complejidad de los procedimientos quirúrgicos acorde al Nomenclador de la Sociedad Argentina de Neurocirugía Pediátrica 18 (Tabla 3). Las categorías A y B se denominaron de complejidad baja, las C y D como intermedias y las E y F como alta complejidad. Se procedió a revisiones trimestrales de los procedimientos quirúrgicos categorizados como EA. El análisis de dichos casos fue realizado por el plantel de cinco neurocirujanos de planta y seis médicos residentes del Servicio durante la presentación de casos en el ateneo de morbimortalidad.
TABLA 1
Clasificación de DINDO-CLAVIEN, modificada por LANDRIEL |
|
Tipo 1 A
Tipo 1 B |
Complicación que prolonga internación y no requiere tratamiento farmacológico Complicación que prolonga internación y requiere tratamiento farmacológico |
Tipo 2 A
Tipo 2 B |
Requiere intervención SIN anestesia general (ya sea cirugía, endoscopía, intervencionismo) Requiere intervención CON anestesia general |
Tipo 3 A Tipo 3 B |
Riesgo de vida, pasa a UTIP, con compromiso de 1 órgano Riesgo de vida, pasa a UTIP, con compromiso de 2 o > órganos |
Tipo 4 |
Muerte |
TABLA 2
Clasificación de HOUKIN |
|
Tipo 1 |
Complicación NO relacionada al procedimiento quirúrgico |
Tipo 2 |
Complicación RELACIONADA al procedimiento quirúrgico |
Tipo 3 |
Complicación PREDECIBLE o ESPERABLE |
Tipo 4 |
Complicación EVITABLE |
Tipo 5 |
Error médico, procedimiento mal realizado, mala indicación |
TABLA 3: Clasificación de complejidad de procedimientos quirúrgicos de acuerdo al Nomenclador de la Sociedad Argentina de Neurocirugía Pediátrica.
Grupo A |
Punción transfontanelar |
Grupo B |
Drenaje externo continuo de LCR y/o colocación de reservorio a ventrículo. |
Grupo C |
Craneoplastia |
Grupo D |
Evacuación de hematomas y/o colecciones intracerebrales |
Grupo E |
Lipomeningocele |
Grupo F |
Tumores de hipófisis y región optoquiasmática |
Definición de evento adverso
La definición más utilizada de evento adverso es la desviación del post operatorio esperable de acuerdo a la cirugía, dentro de los 30 días del procedimiento. Sin embargo, nosotros utilizamos una definición ampliada, al igual que Houkin, 10 quien lo define como: “cualquier evento que alargue el tiempo de internación esperado, requiera realizar algún tratamiento adicional o resulte en un déficit, ya sea transitorio o permanente, luego del procedimiento quirúrgico, aunque sea inevitable por su enfermedad de base”. EA y complicación postquirúrgica se utilizan de manera indistinta. El tratamiento insuficiente es considerado un EA.
Escalas utilizadas
Utilizamos ambas escalas ya que aportan distinta información, la cual se complementa para evaluar la aparición de un evento adverso. La propuesta por Landriel et al. 11 se basa en la descripta por Dindo y Clavien 5, desarrollada para pacientes adultos en cirugía general. En ella, se incluyen todos los pacientes que presentan un desvío del post operatorio esperable, que hayan requerido o no algún tipo de intervención, ya sea farmacológica, invasiva, etc. En esta se valora como la complicación afecta al paciente, generando morbilidad y se clasifica por grado de severidad, desde la colocación de terapia farmacológica hasta el óbito. Tipo 1a: Desviación del post operatorio esperable, que no requiere tratamiento farmacológico. Tipo 1b: Desviación del post operatorio esperable, que requiere tratamiento farmacológico. Tipo 2a: EA que requiere intervención sin anestesia general, ya sea cirugía, endoscopía o intervencionismo. Tipo 2b: EA que requiere intervención con anestesia general, ya sea cirugía, endoscopía o intervencionismo. Tipo 3a: EA que compromete la vida del paciente, y requiere el ingreso a unidad de cuidados intensivos y compromete 1 solo sistema u órgano. Tipo 3b: EA que compromete la vida del paciente, y requiere el ingreso a unidad de cuidados intensivos y compromete más de 1 sistema u órgano. Tipo 4: Óbito del paciente. Mientras que en la clasificación propuesta por Houkin et al. 10 se determina la probabilidad de que el evento adverso sea asociado al procedimiento quirúrgico, y el grado de relación entre ellos (Figura 1). Tipo 1: EA no relacionado al procedimiento quirúrgico, por ejemplo la aparición de infección urinaria luego de una cirugía de colocación de sistema de derivación ventrículo-peritoneal. Tipo 2: EA relacionado al procedimiento quirúrgico, no esperable de acuerdo a la patología y el tratamiento elegido. Por ejemplo, la aparición de un déficit del 6to nervio craneano luego de la cirugía de un tumor hemisférico supratentorial. Tipo 3: EA relacionado al procedimiento quirúrgico, esperable de acuerdo a la patología y el tratamiento elegido, por ejemplo, un déficit braquiocrural contralateral asociado a la exéresis de un tumor en área motora primaria. Tipo 4: EA relacionado al procedimiento quirúrgico evitable, por ejemplo, la lesión del 3er nervio craneano en la cirugía clipado de aneurisma comunicante posterior, habiendo visto y cortado dicho nervio durante el procedimiento. Tipo 5: EA relacionado al procedimiento quirúrgico, por un error médico, ya sea por tratamiento insuficiente, falla en la técnica quirúrgica, indicación inadecuada o enfoque diagnóstico y tratamiento erróneo. Por ejemplo, la colación del sistema distal de una derivación ventrículo-peritoneal en el espacio pre-peritoneal.
Figura 1: Algoritmo para utilización escala de Houkin
Análisis de las complicaciones
Si se presenta más de una complicación en el mismo paciente, se registran todas, pero se clasifica como la de mayor grado.
La causa del evento se clasificó en 6 tipos: 1) Paciente, cuando la patología de base determina la aparición del EA, por ejemplo: paciente con un lipomielomeningocele lumbosacro en el cual se presenta una fístula de LCR. 2) Técnica quirúrgica, por ejemplo: la sección intra quirúrgica de un nervio craneal. 3) Médico, donde el EA se presenta por la intervención de un tratamiento médico. 4) Diagnóstico y estrategia, donde un enfoque diagnóstico erróneo llevó a la aparición de un EA. Por ejemplo un paciente 5) Equipamiento o instrumental, y 6) Sin causa evidente.
Los tipos de EA se dividieron en: locales, sistémicos y neurológicos. Haciendo un apartado para tratamiento insuficiente, complicación intraquirúrgica y muerte. Dentro de neurológicos se incluyó desde fístulas de LCR, convulsiones, nuevo déficit, mutismo, infecciones y mecánicas (para disfunciones en prótesis para el tratamiento de la hidrocefalia).
RESULTADOS
De los 290 pacientes, se evidenciaron EA en el 24,8 % (n = 72). En la Tabla 4 se clasifican de acuerdo al tipo de cirugía: 45 % en pacientes oncológicos (n = 33), 35 % en cirugías del tratamiento de la hidrocefalia (n = 25), 7 % en cirugías de malformaciones congénitas (n = 5), 7 % en el tratamiento de lesiones vasculares (n = 5) y 6 % en otros procedimientos (n = 4), que incluyen 2 en pacientes con hematomas secundarios a coagulopatía en post operatorio de trasplante hepático, 1 cirugía de craneoestenosis y 1 en una cirugía por traumatismo encefalocraneano. Se presentaron EA en el 67 % (n = 48) de cirugías programadas y en un 33 % (n = 24) cirugías de urgencia. De las cirugías programadas que presentaron EA, el 46 % fueron de alta complejidad (n = 33), y el resto correspondió a las de baja e intermedia complejidad (Tabla 5).
Utilizando la escala de Houkin (Tabla 6) se manifestó predominio en el grado 2 con un 59 % (n = 43) y grado 4 con un 18 % (n = 13). En la escala de Landriel (Tabla 7) predominaron los EA grado 2B con un 44 % (n = 32) y 1B con 19 % (n = 14).
Prevalecieron los EA de tipo neurológico, representando el 76 % (n= 55) del total (Tabla 8). Dentro de este grupo, las infecciones (19 %), las disfunciones mecánicas (14 %), el deterioro neurológico (13 %) y la aparición de foco (8 %) fueron los más frecuentes.
La naturaleza del EA se adjudicó al tratamiento médico en un 53 % (n = 38), al paciente en 19 % (n = 14), al diagnóstico y estrategia en 17 % (n = 12) y un 10 % (n = 7) a la técnica quirúrgica.
La mortalidad fue del 2,7 % (n = 2): en un paciente la causa fue la insuficiencia cardíaca por presentar una transposición de grandes vasos no corregida. Y el otro caso fue un paciente al que se le realizó una biopsia por metástasis intracraneales de melanosis cutánea, falleció por progresión de dicha enfermedad.
TABLA 4: EA según tipo de Cirugía
Tipo de Cirugía |
N = |
Porcentaje |
Oncológica |
33 |
45% |
Hidrocefalia |
25 |
35% |
Vascular |
5 |
7% |
Congénita |
5 |
7% |
Otros |
4 |
6% |
TABLA 5: EA según tipo de cirugía por complejidad
Complejidad SANCP |
N = |
Porcentaje |
A |
0 |
0 % |
B |
8 |
10 % |
C |
22 |
31 % |
D |
4 |
6 % |
E |
4 |
6 % |
F |
34 |
47 % |
TABLA 6: EA según escala de Houkin
Houkin |
N = |
Porcentaje |
1 |
5 |
7% |
2 |
42 |
58% |
3 |
6 |
8% |
4 |
14 |
19% |
5 |
5 |
7% |
TABLA 7: EA según escala de Landriel
Landriel |
N = |
Porcentaje |
1A |
11 |
15% |
1B |
14 |
19% |
2A |
8 |
12% |
2B |
32 |
44% |
3A |
4 |
6% |
3B |
0 |
0% |
4 |
3 |
4% |
TABLA 8: EA según tipo de evento adverso.
Tipo de EA |
N = |
Porcentaje |
Local |
7 |
10 % |
Sistémico |
2 |
3 % |
Neurológico |
55 |
76 % |
Tratamiento insuficiente |
5 |
7 % |
Muerte |
3 |
4 % |
DISCUSIÓN
Sistemas de clasificación
La Neurocirugía por sí misma se asocia con mayor morbilidad, ya sea por EA transitorios o permanentes, que otras especialidades quirúrgicas. Esto es debido al tipo de patología al cual nos enfrentamos. Al no haber una definición estandarizada de evento adverso, las tasas de complicaciones reportadas en la literatura incluyen un rango amplio, del 1 al 40 %. 1,3-6,9-13,16,17 Gozal et al 9 informaron un 3,87 % de complicaciones para Neurocirugía en adultos, utilizando una escala propia basada en la causa del EA. Landriel et al. 11 reportaron una tasa de complicaciones del 14 %, para Neurocirugía en adultos, utilizando también una escala propia, adaptada de la escala de Dindo-Clavien. 5 Sarnthein et al. 15 reportaron un 24 % de EA, basándose en la escala de Dindo-Clavien original. Houkin et al.10 reportaron un 28,3 % de EA, utilizando una escala propia basada en la relación del EA y el procedimiento quirúrgico. En lo que se refiere específicamente a Neurocirugía infantil hay publicados distintos trabajos, mayormente en cirugía de craneoestenosis,1,6,12,17 realizada por equipos multidisciplinarios de neurocirujanos, cirujanos plásticos, oftalmólogos y otorrinolaringólogos. Las tasas de complicaciones reportadas son de 9,6 % para Arts et al., 1quienes realizaron el 65 % de sus procedimientos de forma mínimamente invasiva con asistencia endoscópica; 29,2 % en el caso de Jeong et al. 12 para cirugía convencional y, por último, 35,9 % para Shastin et al.17
Aplicación clínica en Neurocirugía Pediátrica
Para clasificar la complejidad de los procedimientos quirúrgicos existen múltiples escalas, la mayoría para cirugía de adultos. La cirugía en el paciente pediátrico agrega por sí misma complejidad por múltiples razones: las estructuras son más pequeñas, la tolerancia al sangrado es menor (ej: un neonato recién nacido cuenta con 250 ml de volemia) y pierden temperatura rápidamente. La volemia es un factor limitante en cirugías oncológicas en pacientes menores de 3 años. 14 El instrumental específico y los implantes adaptados al tamaño del paciente son otros requerimientos que distinguen nuestra práctica.
El sistema nervioso en desarrollo puede dañarse irreversiblemente en el período de mielinización. Sin embargo, debido a la neuroplasticidad, puede recuperar la totalidad del foco en poco tiempo, como podría ser en el caso de un lactante con una secuela motora debido a un tumor hemisférico. Otro ejemplo es el mutismo cerebeloso, en el cual el paciente se encuentra desconectado del medio, irritable y en muchos casos con déficit motor, pero luego de 3 a 6 meses el paciente se recupera y vuelve a su conexión habitual.
Caso ilustrativo n°1: Houkin tipo 1
Paciente de 2 meses de vida, con antecedente de transposición de grandes vasos cardíacos con insuficiencia cardíaca e hidrocefalia congénita. Se realizó cirugía de colocación de sistema de derivación ventrículo peritoneal. A los 14 días postquirúrgicos falleció debido a descompensación de su patología cardiovascular.
Se consideró Houkin tipo 1, por ser un evento adverso sin estar relacionado con el procedimiento neuroquirúrgico.
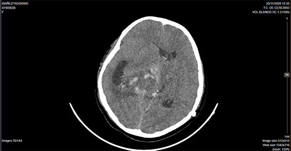
Caso ilustrativo n°2: Houkin tipo 2(Figura 2)
Paciente de 14 años de edad, consultó por deterioro del sensorio, cefalea y vómitos, se realizó tomografía computada de cerebro donde se evidenció lesión ocupante de espacio supratentorial intraventricular. Se programó cirugía, se realizó exéresis parcial. Cursa postoperatorio intubada en terapia intensiva presentado descompensación hemodinámica a las 24 hs, imagen por tomografía computada de cerebro que evidencia sangrado intratumoral, se reexplora la lesión, paciente evoluciona desfavorablemente.
Se consideró Houkin tipo 2, ya que el evento adverso estuvo relacionado con el procedimiento quirúrgico pero no era ni esperable ni evitable.

Figura 2: Imagen por Tomografía Cerebral computada donde se observa lesión ocupante de espacio intraventricular centroencefálica, con sangrado intratumoral y desvío de línea media.
Caso ilustrativo n°3: Houkin tipo 3(Figura 3)
Paciente de 21 meses de vida, con diagnóstico de lipomielomeningocele lumbosacro, pie equinovaro bilateral. Urodinamia alterada con globo vesical asociado a pérdida de orina, cateterismo intermitente 3 veces/día. Potenciales evocados de miembros inferiores con alteración de la vía somestésica. Se realizó cirugía de desanclaje medular. Paciente permaneció en decúbito ventral 12 días con peso en herida. Posteriormente presentó colección de LCR en colgajo a los 7 días. La cual no fistulizó ni requirió punciones. Se manejó con tratamiento conservador y evolucionó favorablemente. Alta a los 14 días de la cirugía.
Se consideró Houkin tipo 3 por ser esperable, ya que la colección de LCR en este tipo de cirugías es muy frecuente, más allá del cierre hermético de la duramadre.

Figura 3: Imagen por Resonancia Magnética de columna lumbosacra donde se evidencia disrafismo lumbar, compatible con lipomielomeningocele.
Caso ilustrativo n°4: Houkin tipo 4(Figura 4)
Paciente de 4 meses de vida, fue llevada a la guardia por vómitos intermitentes, posteriormente agregó sensorio alternante, tendencia al sueño. Al examen físico se evidenció perímetro cefálico aumentado, fontanela llena, estrabismo convergente ojo izquierdo intermitente y retraso de adquisición de pautas madurativas: no sigue objetos y sin sostén cefálico. Se realizaron múltiples punciones transfontanelares en otra institución y se derivó a nuestro centro. Ingresó en la madrugada y se realizó cirugía de colocación de drenaje ventricular al exterior. Posteriormente a las 12 hs presentó descompensación, con deterioro del sensorio. En imagen control por tomografía se evidenció ventrículo ipsilateral a lesión colapsado y herniación subfalcial, por lo que se realizó cirugía de urgencia de exploración y exéresis. Evolucionó favorablemente.
Se consideró Houkin tipo 4, ya que se podría haber evitado dicho deterioro si se operaba directamente el tumor.

Figura 4: Imagen por Tomografía Cerebral computada que muestra catéter en cavidad ventricular, con herniación subfalcial de la misma. Se observa diástasis global de suturas craneanas, edema cerebral y lesión ocupante de espacio sólido-quística intraventricular derecha.
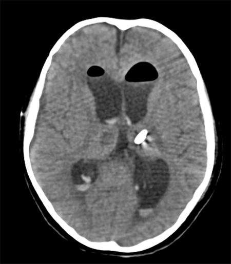
Caso ilustrativo n°5: Houkin tipo 5(Figura 5)
Paciente de 9 años de edad, amaurótica bilateral, con diagnóstico de tumor supraselar hipotálamo-quiasmático, se realizó cirugía de exploración y exéresis de tumor vía transcallosa. Presentó a las 12 hs deterioro del sensorio y crisis convulsiva, con diagnóstico de hidrocefalia aguda se realizó cirugía de colocación de drenaje ventricular al exterior. Paciente no presentó mejoría en post quirúrgico por lo que se realizó imagen control evidenciando catéter fuera de cavidad. Requirió re-operación para re-colocación de catéter.

Figura 5: Imagen por Tomografía Cerebral computada que muestra catéter proximal fuera de cavidad ventricular.
Se considera Houkin tipo 5, ya que fue tratamiento insuficiente de la hidrocefalia debido a un error médico.
Limitaciones
Tanto la escala de Landriel como la de Houkin fueron ideadas para neurocirugía en el paciente adulto. La utilización de dos escalas independientes en forma simultánea puede resultar tediosa. Sin embargo, consideramos que la información que aporta cada una de manera separada es útil y ayuda a la comprensión integral del EA en un paciente dado.
CONCLUSIÓN
Si bien la aparición de un evento adverso es inherente a la práctica quirúrgica, es menester realizar el máximo esfuerzo para disminuir su incidencia. El análisis de las complicaciones no implica una búsqueda de culpabilidad sino que habilita la reflexión y la posibilidad de identificar los factores modificables, con el objetivo de mejorar los resultados. La incorporación de las clasificaciones de complicaciones propuestas por Landriel y Houkin, aplicando los criterios para los pacientes pediátricos, son válidas y pueden utilizarse en Neurocirugía Pediátrica. La realización periódica de ateneos de morbimortalidad favorece el aprendizaje del equipo tratante para tratar de disminuir la aparición de las complicaciones postquirúrgicas evitables y la comprensión de aquellas que no lo son.
BIBLIOGRAFÍA
COMENTARIO
Los autores realizan un estudio retrospectivo y descriptivo de revisión de 290 historias clínicas de pacientes operados en su servicio en el período de un año con el objetivo de evaluar y clasificar las complicaciones o eventos adversos producidos en los procedimientos quirúrgicos.
Para llevar a cabo este análisis se utilizaron la escala de Houkin et.al. y la escala de Landriel et.al., y también su relación con el grado de complejidad de la cirugía, con el propósito de poder validar su aplicación en los pacientes pediátricos.
El estudio de las complicaciones es uno de los temas más complejos y controvertidos de la práctica médica y en particular de la Neurocirugía, dada la alta incidencia independiente del accionar del equipo quirúrgico. El desarrollo en el ámbito pediátrico es también considerado como un factor agravante.
Las escalas utilizadas en el análisis se diferencian en el criterio de definición y clasificación de un evento adverso: la escala de Landriel et.al. (la cual es una modificación de la escala de Clavien y Dindo) considera cualquier alteración del curso previsto como normal del postoperatorio, mientras que la escala de Houkin et.al. se basa en la relación de la complicación con la cirugía sin tener en cuenta si era previsible o esperable. De este modo complementan la información obtenida con los posibles factores que pueden dar origen a la complicación (ya sea el paciente, el acto quirúrgico o médico, el planeamiento, el equipamiento o sin causa evidente).
Este análisis jerarquiza la importancia de una sistemática para determinar la evolución de las distintas patologías y poder establecer qué tipo de eventos pueden ser previsibles por el propio acto quirúrgico y/o la gravedad de la patología, pudiendo ser considerado como un curso propio del proceso y de este modo establecer un equilibrio entre lo esperable y lo que sucede. Para este fin utilizaron una serie de ejemplos que son de utilidad significativa para la comprensión y la aplicación de los criterios de inclusión de las distintas escalas, como también la complejidad que agrega la cirugía en el paciente pediátrico.
Considero que este trabajo es un aporte para estimular la sistematización del registro de los efectos adversos propios de la práctica neuroquirúrgica, para ayudar a disminuir la subjetividad y para resaltar la importancia de la predicción prequirúrgica, teniendo en cuenta todas las complicaciones que son frecuentes en neurocirugía, con especial relevancia en la patología pediátrica, considerando que naturalmente se espera tener el mejor resultado posible en el tratamiento quirúrgico, sin complicaciones ni secuelas, tanto por la familia como por el equipo médico, constituyendo una percepción irreal no considerar la existencia de los riesgos o minimizar los mismos. Así también tiene el valor de permitir la evaluación objetiva de los resultados para su comparación, permitiendo determinar los factores predictores de riesgos en los distintos procedimientos y establecer criterios pronósticos dentro del servicio para el análisis y la detección de los factores modificables, ayudando así a mejor los resultados.
Dr.Héctor Miguel Belziti
Hospital Materno Infantil San Isidro
Provincia de Buenos Aires
COMENTARIO
Con gran sorpresa y admiración he releído varias veces este breve pero interesante artículo publicado por los doctores Toledo y Jaikin. Realmente revela la valentía y seria autocrítica de estos autores al publicar un tema tan “tabú”, dado que la mayoría de los cirujanos somos propensos a exaltar nuestros aciertos y a minisvaler nuestros errores.
Los autores han realizado un detallado análisis de los eventos adversos durante un año en una única Institución, analizados según patología y características de los pacientes.
Todo acto médico, sea clínico o quirúrgico, no está exento de riesgos. Teniendo en cuenta las estadísticas de otros países, dado que no disponemos en el nuestro, en USA por ejemplo, se estiman 440.000 muertes anuales por error médico con un costo aproximado entre 17 y 29 billones de dólares. Ellos reconocen que sólo el 25% de los errores son debidos a causas técnicas y que la mayoría de los errores involucra a todo el equipo médico. 1
Si bien hay una diferencia semántica entre error y evento adverso, en la práctica se consideran sinónimos. Los estudios de bioseguridad de los pacientes diferencian el error del evento adverso interpretando que el error tiene el potencial de causar daño mientras que el evento adverso causa el daño. Si no se advierte a tiempo, el error puede conducir al evento adverso, pero como dijimos, en la práctica se interpretan iguales.
Rolston y Bernstein afirman que la Neurocirugía es la tercera especialidad en operar el lado equivocado o el nivel espinal equivocado, después de Ortopedia y Cirugía General. En USA, el 3% de los pacientes quirúrgicos en general sufren un evento adverso, mientras que en Neurocirugía lo padecen el 14 % de los pacientes. La equivocación de lado o de procedimiento ocurre en 1 caso cada 100.000 operaciones generales, pero en Neurocirugía se dan 2.2 casos cada 10.000 craniotomías y en 1 cada 5.500 casos queda retenido un cuerpo extraño. 1
Estas cifras escalofriantes en un país del primer mundo nos hacen recapacitar y entender que necesitamos hacer una seria y sincera autocrítica, despojada de toda parcialidad, a nivel institucional, como lo hicieron en esta presentación Toledo y Jaikin, cuyo artículo es el primero publicado en lengua hispana y el primero en Neurocirugía Pediátrica de la literatura internacional.
Ellos han aplicado las escalas propuestas por Landriel y por Houkin para cirugía general de adultos con las falencias propias de adaptarlos a Pediatría, dado que el niño no es “un adulto en miniatura” y ellos mismos describen las diferencias tanto en la biología como en las patologías de ambos grupos etáreos. Llama la atención en sus resultados que los eventos adversos se presentaron en el 67% de las cirugías programadas y sólo en el 33 % de las urgencias. Hubiéramos imaginado el resultado inverso, aunque aclaran que el 46 % de las cirugías programadas fueron de alta complejidad.
Evitar o mitigar los eventos adversos requiere múltiplos esfuerzos: definir el evento, coleccionar datos estándares, seleccionar iniciativas de mejoramiento y evaluar sus resultados. El campo de la Neurocirugia ha sido históricamente lento en coleccionar eventos adversos comparados con la Cirugía General y Cardíaca. 2 Pero esto está cambiando ya que han aparecido varios artículos en la literatura internacional sobre eventos adversos en Neurocirugía de carácter institucional, pero ninguno en Neurocirugía Pediátrica.
Coincidimos con los autores que el Ateneo de Morbimortalidad es el ámbito adecuado para analizar estos delicados temas al igual que un registro actualizado de eventos adversos para validación externa y poder comparar con registros de otras instituciones. Sería importante que en todos los Servicios de Neurocirugía de nuestro país se realizaran periódicamente dichos ateneos para lograr así un registro nacional.
El primer paso para evitar errores es reconocerlos y analizarlos entre el grupo de neurocirujanos y un paso más, es la correcta y sincera información al paciente y su familia. Según Rolston y Bernstein hay dos principales aspectos éticos inherentes a la discusión de errores: 1. La falta de aceptar discutir los errores en un esfuerzo para mejorar la seguridad del paciente y 2. La información del error al paciente y su familia. Tanto desde el aspecto ético como legal es imperativo informar al paciente y su familia. El mantener una buena relación médico-paciente, brindándoles toda la información requerida, disminuirá la posibilidad de acciones médico-legales 1
En 2007 la OMS adoptó el checklist y logró una reducción del 4% de las complicaciones quirúrgicas y del 0,7% en las instituciones donde se aplicó. El checklist se impone cada vez más y será parte integral obligatoria de los programas neuroquirúrgicos en el futuro.3
Otro método para disminuir el error es exigir a las instituciones la adquisición de modernas tecnologías y derivar los pacientes a los centros con mayor experiencia en determinadas patologías. Todos los que hemos trabajado en instituciones públicas hemos observado como al aumentar la curva de crecimiento, disminuye dramáticamente la curva de errores.
Finalmente, además de felicitar nuevamente a los autores por su valiente presentación, me gustaría incentivarlos para considerar la creación de un registro de eventos adversos en Neurocirugía Pediátrica a nivel nacional.
Dra.Graciela Zuccaro
Ex Jefa de Neurocirugía Hospital Nacional de Pediatría Juan P. Garraham, C.A.B.A
Personalidad destacada de la neurocirugía- Sociedad Argentina de Neurocirugía Pediátrica
Ex Presidenta ISPN
BIBLIOGRAFÍA