Tumor de células germinales mixto supraselar. Un reporte de caso.
Facundo Bourilhon, Agustín Battafarano, Maximiliano Calatroni, Ezequiel Pedrazas, Maximiliano Quintana Corvalán y Anibal Romano
Hospital San Martín de La Plata
RESUMEN
Los tumores intracraneales de células germinales (TCG) pertenecen a un grupo heterogéneo del cual se desconoce con certeza su origen.1 La incidencia es variable según las regiones geográficas estudiadas: mientras que en occidente se describe de 0,4% a 3,4% en paciente con tumores de sistema nervioso central primarios, en oriente su número es cinco a ocho veces superior.2–4
El siguiente trabajo tiene como objetivos el comunicar un caso infrecuente de un paciente tratado quirúrgicamente en nuestra institución, y contribuir con bibliografía adicional a la escasa información existente sobre esta patología de baja incidencia y prevalencia.
Se presenta el caso de un paciente de 23 años que ingresa por disminución de la agudeza visual al cual se le realiza resonancia (RM) donde se evidencia lesión selar-supraselar. Se realiza exéresis de la lesión tumoral mediante un abordaje pterional (AP). Presentando una buena resección, sin presentar signos de isquemia o sangrado en los controles de imágenes posteriores (TC y RM). El paciente fallece aproximadamente 5 meses luego del procedimiento quirúrgico debido a progresión tumoral.
El pronóstico de este tipo de tumores se correlaciona directamente con su subtipo histológico, y aunque la resección total pareciera mejorarlo (a pesar de no encontrarse ampliamente validada), algunos subtipos no presentan un tratamiento definido.
Palabras clave: Células germinales; Región selar; Supraselar; Tumor.
ABSTRACT
Intracranial germ cell tumors (GCT) belong to a heterogeneous group whose origin is unknown with certainty.1 The incidence varies according to the geographical regions studied: while in the western region of the world it is described from 0.4% to 3, 4% in patients with primary central nervous system tumors, in the eastern their number is five to eight times higher.2–4
The following case presentation aims to communicate an infrequent case of a patient treated surgically in our institution, and to contribute with additional bibliography to the scarce existing information on this pathology of low incidence and prevalence.
We present a case of a 23-year-old patient who was admitted due to decreased visual acuity, and underwent magnetic resonance imaging (MRI) showing a sellar-suprasellar lesion. Exeresis of the lesion is performed through a pterional approach (AP). A good resection was performed, without signs of ischemia or bleeding in subsequent imaging controls (CT and MRI). The patient died approximately 5 months after the surgical procedure due to tumor progression.
The prognosis of this type of tumor correlates directly with its histological subtype, and although total resection seems to improve it (despite not being widely validated), some subtypes do not have a defined treatment.
Key words: Germ cells; Sellar region; Suprasellar; Tumor.
INTRODUCCIÓN
Los TCG intracraneales pertenecen a un grupo heterogéneo del cual se desconoce con certeza su origen.1 La incidencia es variable según las regiones geográficas estudiadas: mientras que en Occidente se describe de 0,4% a 3,4% en pacientes con tumores de sistema nervioso central primarios, en Oriente su número es superior de cinco a ocho veces.2–4 Esta gran diferencia es análoga a la de los tumores testiculares de la misma estirpe. Los TCG son dos veces más frecuentes en varones en la región pineal.1,3,5 Los sitios más frecuentes de crecimiento son: en primer lugar, región pineal y en segundo lugar, la región supraselar. A su vez de un 5 a 10% se pueden encontrar de forma sincrónica.1,4,6
Estos tumores se clasifican histológicamente en germinomatoso (germinoma), no-germinomatosos (saco vitelino, carcinoma embrionario, coriocarcinoma, teratoma) y mixtos.4
Es importante destacar que su pronóstico se encuentra estrechamente ligado a su tipo histológico y no a su ubicación.7–9
OBJETIVOS
Este trabajo tiene dos objetivos: el primero es comunicar un caso infrecuente de este tipo de lesiones tanto como su tratamiento mediante un abordaje pterional. Y el segundo objetivo es contribuir con bibliografía adicional a la escasa información existente sobre esta patología de baja incidencia y prevalencia.
DESCRIPCIÓN DEL CASO
Se presenta el caso de un paciente de sexo masculino, de 23 años de edad, que es admitido en nuestro centro debido a disminución progresiva de la agudeza visual a predominio del ojo izquierdo, panhipopituitarismo y diabetes insípida de origen central.
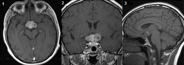
Se realiza RM de encéfalo en la cual se evidencia lesión supraselar de aproximadamente 2,5 cm de diámetro superior y 3,5 cm de diámetro anteroposterior con realce heterogéneo tras la administración de contraste endovenoso. A su vez, se evidencia compromiso del quiasma y nervios ópticos (Figura 1 – 3). Se presentan detalles del campo visual (Figura 4).
Una vez ingresado al centro hospitalario, se lleva a cabo el reemplazo hormonal correspondiente a cargo del servicio de endocrinología. Concomitantemente se realiza perfil de marcadores tumorales en suero resultando negativos. Acto seguido, se planifica exéresis tumoral microquirúrgica, la cual se realizó en forma transcraneal utilizando un AP.
En el intraoperatorio se aprecia lesión con invasión del quiasma y nervios ópticos, de consistencia heterogénea, con componentes óseos en su interior (Figura 5-7).
El paciente cursa postoperatorio inmediato en Unidad de Cuidados Intensivos. Durante dicha internación intercurre con hipertermia de origen hipotalámico y mantiene activa su diabetes insípida.
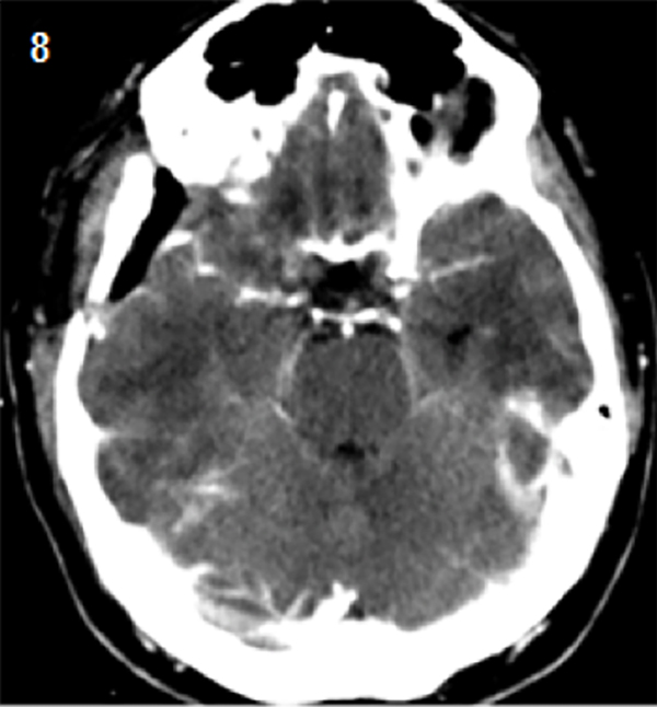
Tomografía computada de encéfalo con contraste, realizada 24 horas después del procedimiento quirúrgico (Figura 8).
Paciente es admitido a sala de clínica médica para luego ser dado de alta a ciudad de origen. A su egreso, se encuentra lúcido y sin déficit neurológico agregado.
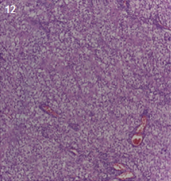
Para el análisis anátomo-patológico, se enviaron múltiples fragmentos irregulares de tejido que medían de entre 3,8 cm y 0,5 cm de diámetro máximo, los cuales revelaron al examen microscópico una proliferación de células neoplásicas de estirpe germinativo constituida por dos componentes: uno de ellos caracterizado por células con núcleos redondos, hipercromáticos, ligeramente irregulares con citoplasmas claros y amplios dispuestos en nidos sólidos, surcados por finos ejes fibroconectivos vascularizados con presencia de acúmulos linfocitarios; el segundo componente presentaba elementos teratomatosos maduros, en sectores inmaduros, derivados principalmente de la capa mesodérmica y endodérmica. A nivel de esta última se destacaban características atípicas y áreas necrohemorrágicas.
En base a los hallazgos antes descriptos se arribó al diagnóstico de Neoplasia de células germinales mixtas: Germinoma (35%) y Teratoma con áreas Inmaduras y transformación carcinomatosa (65%),(Figura 11 y 12).
A los 3 meses el paciente reingresa debido a estado confusional. Se realiza nueva RM mostrándose recidiva tumoral en resonancia magnética (Figuras 9 y 10). El paciente fallece aproximadamente 5 meses luego del procedimiento quirúrgico debido a progresión tumoral.

Figura 1, 2, 3. Resonancia Prequirúrgica.

Figura 4. Campo Visual.

Figura 5, 6, 7. Imágenes intra-cirugía.

Figura 8. Tomografía 24 hs.

Figura 9 y 10. Resonancia 3 meses

Figura 11: Teratoma con características atípico.

Figura 12: Germinoma
DISCUSIÓNMarcadores tumorales
Un concepto conocido y común dentro de este tipo de tumores son los marcadores tumorales, los cuales son secreciones de proteínas sintetizadas por determinadas estirpes celulares.4 Niveles elevados pueden ser detectados tanto en sangre como en líquido cefalorraquídeo (LCR).6 Actualmente son estudios de rutina. Los patrones usuales de estos marcadores se encuentran detallados en la TABLA 1.4,6 Si bien se pueden encontrar en forma conjunta, los patrones típicos consisten en una alfa-fetoproteína elevada en tumores de saco vitelino y de seno endodérmico; subunidad b-coriónica humana (b-HCG) y lactógeno placentario en coriocarcinomas; y todas ellas en tumores mixtos. La interpretación de estos patrones a veces no es sencilla y su solapamiento en tumores mixtos los vuelve aún más complejos.4,6
Clasificación
La clasificación de estos tumores ha ido evolucionando con el paso del tiempo, desde Teilium y col. que propone que todos provienen de una célula primordial que se diferenciaría en células germinales, y/o células pluripotenciales con su consiguiente diferenciación a otras estirpes.
Takei y Pearl sugieren que células del saco vitelino fetal son el origen de células primordiales.10
Actualmente la clasificación en vigencia más reciente es de la Organización Mundial de la Salud y se encuentra resumida en la TABLA 2.4
Tabla 1. Marcadores tumorales.
|
B-HCG |
Alpha-Fetop |
PLAT |
Teratoma |
- |
- |
-+ |
Germinoma (puro) |
+ (débil) |
- |
-+ |
Germinoma (synciotrofoblasto) |
+ |
- |
-+ |
Coriocarcinoma |
++ |
- |
-+ |
Germinoma Mixto |
++ |
++ |
-+ |
Seno endodérmico |
-+ |
++ |
-+ |
Carcinoma Embriogénico |
-+ |
-+ |
-+ |
Clínica
Pronóstico
El pronóstico de estos tumores, como señalamos previamente, es independiente de su localización, pero muy dependiente del subtipo histológico.7–9 En general los germinomas poseen un pronóstico favorable llegando a los 5 años libres de enfermedad y supervivencia en más de un 90%. En contraste, los tumores no germinales y mixtos, poseen un pronóstico menos favorable que los germinomas puros con reportes de supervivencia a 5 años del 40 al 70%.7–9,12,13
Tratamiento
Para los tumores no germinales y mixtos no se dispone de un tratamiento definido. Hay estudios que sostienen que la resección total mejora el pronóstico, pero no se encuentra extensamente validado.14 El tratamiento adyuvante, consistente en la combinación de quimioterapia y radioterapia, es casi mandatorio en este tipo de tumores. Los agentes quimioterápicos que se utilizan habitualmente son cisplatino, carboplatino y etopósido. La terapia radiante es controversial en el caso de pacientes jóvenes debido a sus efectos adversos.
CONCLUSIÓN
Los tumores de células germinales son una patología poco frecuente en el sistema nervioso central, siendo aún más raros en región supraselar. Esto se traduce en una escasa disponibilidad de evidencia científica que sustente la toma de decisiones en relación a la mejor estrategia para el manejo de dicha patología.
En estos casos, la resección total no se encuentra unánimemente respaldada; y a pesar de ser una herramienta que debe ser tenida en cuenta, en nuestra experiencia, no ha cambiado el pronóstico por encima de su grado histológico.
Considerando lo antes mencionado, cada caso debe ser analizado en forma particular y abordado desde un enfoque multidisciplinario.
Tabla 2. Clasificación Histológica.

COMENTARIO
Los autores presentan un caso de un tumor mixto de células germinales supraselar. Es de gran utilidad por su orden enfocado en el pronóstico y tratamiento la clasificación de Matsutani, que los divide en tres categorías:
En el 2014, Wang y col. encontraron la cascada de señales KIT/RAS mutada en la mitad de los tumores de células germinales intracraneales estudiados en una serie de 62 pacientes. El gen AKT1 también presentó un aumento en el número de copias en el locus 14q32.33 en un 19% de los casos, estimulando el funcionamiento de la vía AKT/mTOR. Ambas rutas de señales se proponen como diana de futuras terapias dirigidas.
Tomas Funes
Sanatorio Anchorena. Ciudad Autónoma de Buenos Aires