“Este caso me desorientó”
Devoto, Pablo Raul; Yasuda, Marcos Ezequiel; Iglesias, Brenda; Minghinelli, Federico; Bourguet, Martín; Recalde Rodolfo.
Servicio de Neurocirugía, Hospital de Clínicas “Jose de San Martin”, Universidad de Buenos Aires.
Nos consultó una mujer de 62 años con hipertensión arterial como único antecedente. Había comenzado con cefalea, diplopía y ptosis en el ojo izquierdo 6 meses previos a la consulta. Al examen físico se encontraba vigil y orientada en tres esferas. En ojo izquierdo presentaba proptosis asociada a visión luz, midriasis, ptosis palpebral y parálisis de todos los músculos extraoculares, conservando parcialmente sólo el recto lateral. El resto del examen neurológico no presentaba particularidades.
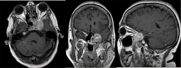
La resonancia magnética nuclear (RMN) evidenció una lesión a nivel del seno cavernoso izquierdo, la cual impresionaba proyectarse sobre el cavum, la fisura orbitaria y sector lateral izquierdo de la silla turca. Presentaba realce heterogéneo posterior a la inyección de contraste endovenoso, tenía un aspecto polilobulado y un diámetro máximo de 49x32x30 mm (CCxTxAP). (Fig 1.)

En base al cuadro clínico y los estudios complementarios, se decidió la resolución del cuadro por vía quirúrgica con presunto diagnóstico de un meningioma del seno cavernoso.
Se utilizó un abordaje fronto-orbitario izquierdo con un peeling de fosa media. El tumor presentaba íntimas adherencias a los pares craneales III, IV y VI, por lo cual se realizó la exéresis parcial de la lesión que afectaba la pared lateral del seno cavernoso y la fosa media. Se decidió el tratamiento del remanente tumoral con radiocirugía. En el postoperatorio inmediato se encontraba vigil con una afasia transcortical y sin otro foco agregado. Fue dada de alta a los 9 días de la cirugía con mejoría de la afasia, la proptosis y los movimientos oculares externos.
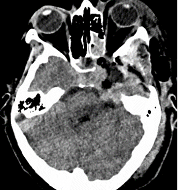
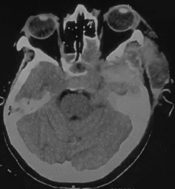
Treinta días luego de la cirugía nos volvió a consultar por presentar un síndrome febril y una colección en el sitio quirúrgico. Al examen físico, respecto al post-operatorio al momento del alta, se evidenció un aumento notable de la proptosis. Se realizó una tomografía computada (TC) que evidenció una colección epidural con realce luego de la inyección de contraste endovenoso y una lesión en seno cavernoso izquierdo de mayor tamaño al encontrado en la TC post-operatoria previa (Fig 2-Fig 3). Ante el aumento de volumen de la lesión previa se sospechó que el remanente tumoral se había abscedado. Se decidió realizar una toilette del sitio quirúrgico y una resección de la lesión. El hecho llamativo fue que el crecimiento del remanente tumoral no fue a expensas de un proceso infeccioso sino a expensas de proliferación neoplásica. La anatomía patológica evidenció que se trataba de un tumor maligno de la vaina de nervio periférico (TMVNP). Durante su estadía en la unidad de terapia intensiva (UTI), y como protocolo de nuestra institución, se realizó un hisopado para el SARS-COV-2 el cual resultó positivo. Como resultado de ello, su cuadro clínico fue empeorando progresivamente, evolucionando hacia una insuficiencia respiratoria que requirió asistencia respiratoria mecánica. La paciente falleció diez días después de la última intervención quirúrgica.
Figura 3:Tomografía Computada de encéfalo simple axial postquirúrgica al día 30 de la cirugía. Se evidencia aumento del tamaño tumoral, una colección epidural y un aumento de la proptosis.
DISCUSIÓN
Los TMVNP son tumores poco frecuentes pero altamente agresivos que se originan a partir de células de la vaina nerviosa. Pueden surgir de novo o a partir de la transformación maligna de un schwannoma o neurofibroma ya conocidos.1-3 En nuestro caso, se sospecha un origen de novo por la edad y por la ausencia de TMVNP previamente conocido.
Nuestra paciente se encontraba en la sexta década de vida. Sin embargo, la edad promedio global es cercana a los 37 años con una relación hombre-mujer de 1.4:11. La edad de presentación oscila entre la quinta y sexta década de vida en los secundarios y entre la primera a la cuarta década en los primarios.1
La sintomatología depende de la localización y del par craneal afectado. Entre el 64% y el 77% son supratentoriales, según fueren secundarios o primarios respectivamente.1 Con respecto a los pares craneanos, los tres más comúnmente afectados son el V, el VII y el VIII, siendo este último el más frecuente.2 En nuestro caso, sospechamos que se trató del III par craneano basándonos en la ubicación y la clínica.
El estudio imagenológico recomendado es la RMN, que característicamente presenta realce homogéneo, aunque en algunos casos puede ser heterogéneo con bordes bien definidos.7 La forma tumoral es irregular con lobulaciones y sin adherencia dural (como en nuestro caso), lo cual lo diferencia de los meningiomas.8 Los factores pronósticos de supervivencia son el tamaño tumoral, la localización, la historia de exposición a radiación, presentar NF-1, lograr márgenes quirúrgicos negativos y el grado histológico.5,10-12
Nuestro caso presentó un Ki67 de 45%: este hecho explicaría la tórpida y rápida evolución negativa de nuestra paciente. El tumor fue también positivo para S-100, siendo éste el marcador tumoral más encontrado, presentándose entre el 50 al 90% de los casos.2
El tratamiento de elección es la exéresis de la totalidad de la lesión cuando sea posible, dependiendo de la localización y la extensión del tumor.13,14 .La sobrevida en los TMVNP primarios es de aproximadamente 11 meses, mientras que en los metastásicos es de sólo 5 meses.1
CONCLUSIONES
Los TMVNP intracraneales son tumores extremadamente infrecuentes pero altamente agresivos. En nuestro caso, la paciente no presentaba antecedentes de NF-1 ni de radioterapia previa. Por la edad de nuestra paciente pensamos que se pudo tratar de un caso de TMVP secundario. Sospechamos que se trató de un TMVP del III par craneano izquierdo. El tratamiento más eficaz es la resección completa de la lesión pero, en nuestro caso, no fue posible debido a su relación con las estructuras neurovasculares del seno cavernoso.
REFERENCIAS