Inusual caso de migración de un catéter atrial a las arterias pulmonares
Facundo Villamil, Guido Caffaratti, Mauro Ruella, Lucila Domecq-Laplace, Rubén Mormandi
FLENI
INTRODUCCIÓN
La migración cardíaca del catéter distal del Shunt Ventrículo Atrial es una complicación poco frecuente y potencialmente grave.
Se presenta el caso de un paciente femenino con antecedente de enfermedad de Dandy-Walker valvulo dependiente, con 2 recambios valvulares previos, que se presentó por guardia con náuseas, dolor y franca distensión abdominal secundaria a ascitis de LCR complicado con peritonitis. Su cuadro fue resuelto mediante la colocación de Shunt Ventrículo Atrial.
Seis meses más tarde, intercurre con hidrocefalia aguda evidenciándose en la TC de cerebro la desconexión del catéter distal a la válvula. El estudio radiográfico reveló migración caudal del segmento distal del catéter al corazón.
El segmento migrado fue rescatado mediante un abordaje endovascular transfemoral en conjunto con un cirujano cardiovascular. Una vez retirado el catéter migrado, se recolocó el catéter distal al atrio y los síntomas de hidrocefalia cesaron.
Se discute el tratamiento de esta complicación inusual y su manejo interdisciplinario.
Palabras clave: hidrocefalia, disfunción valvular, derivación ventrículo-atrial, migración cardíaca.
ABSTRACT
In this article we present a case of a female patient with history of Dandy Walker malformation with requirement of CSF shunting and three replacements, that consulted at our institution with abdominal pain, anorexia and nausea secondary to CSF ascites and peritonitis. Therefore ventriculoatrial shunt was the treatment of choice.
Six months later, the patient presented with clinical manifestations of acute hydrocephalus. Brain CT was performed demonstrating distal catheter disconnection from the valve and chest Rx displayed distal cardiac migration.
Surgical treatment was decided together with a cardiovascular surgeon and the catheter was removed by an endovascular transfemoral approach. After removal, a new valve was positioned and a new distal catheter was introduced into the atrium with improvement of symptoms.
Treatment of this unusual complication and its interdisciplinary management are discussed.
Key words: hydrocephalus, ventriculoatrial shunt, shunt malfunction, cardiac migration
INTRODUCCIÓN
El manejo de la hidrocefalia siempre ha presentado un gran desafío para el Neurocirujano. El uso de shunt ventrículo-peritoneal (SVP) suele ser el tratamiento de elección para esta patología. Sin embargo, cuando el SVP no es una opción debido a complicaciones abdominales, como ascitis por líquido cefalorraquídeo (LCR) y peritonitis, entre otras, el uso de shunt ventrículo atrial (SVA) se presenta como una segunda opción. Las complicaciones más graves de los SVA son la infección, la obstrucción, los hematomas cervicales y la migración del segmento distal 1, 2. La migración del segmento distal es una complicación extremadamente rara y fue reportada por Akhtar et al. 1 con una incidencia del 1,56% de los casos. Hay dos técnicas descritas para retirar el catéter distal migrado del corazón, la clásica vía por toracotomía 3 o por vía endovascular 2, 4, 5, 6.
El objetivo de este trabajo es presentar un caso de migración cardíaca de shunt ventrículo atrial y discutir su pronóstico y tratamiento.
Reporte de caso
Paciente femenino de 32 años con antecedente de enfermedad de Dandy-Walker con requerimiento de colocación a los 2 meses de vida de shunt ventrículo-peritoneal con dos catéteres cerebrales, uno parietal derecho y el segundo a la cisterna magna aislada, unidos por un conector en Y previo a la válvula. Dicho sistema requirió recambio a los 3 años.
A los 31 años, en contexto de disfunción valvular diagnosticada por cefalea refractaria al tratamiento, se realizó exploración quirúrgica de sistema de derivación evidenciándose disfunción distal al conector en Y por lo que se realizó recambio valvular y de catéter distal, utilizando los catéteres proximales y el conector ya presentes en la paciente.
Luego de 6 meses, la paciente se presentó nuevamente en guardia por dolor y franca distensión abdominal. El estudio imagenológico del recorrido valvular incluyendo radiografías seriadas, tomografía computada (TC) y ecografía abdominal revelaron líquido libre en abdomen compatible con ascitis y sistema de SVP intacto. Se tomaron cultivos de LCR y líquido ascítico con aislamiento de Propionibacterium Acnes y posteriormente Staphylococcus Epidermidis. Por esta razón, se colocó un drenaje ventricular externo y se realizó el tratamiento ATB pertinente. Luego de 2 semanas, para evitar la misma complicación, se decidió colocar un shunt ventrículo-atrial. El procedimiento fue bien tolerado y la paciente fue dada de alta 10 días después sin ninguna intercurrencia clínica.
Tras 2 meses, la paciente volvió a consultar en guardia por náuseas, cefalea bifrontal con irradiación holocraneana de intensidad moderada y vómitos. Al examen físico se constató limitación de la mirada superior y colección líquida sobre herida craneal de derivación. Se realizó TC de cerebro con evidencia de ventriculomegalia y desconexión de catéter distal a la válvula (Figura 1). El estudio radiográfico reveló migración caudal del segmento distal del catéter al corazón (Figura 2). El segmento migrado fue rescatado mediante un abordaje endovascular transfemoral, en el cual se enroscó el catéter migrado con un catéter pigtail y se lo desplazó hasta la vena ilíaca primitiva izquierda para luego ser capturado a nivel ilíaco con un lazo trilobulado (Figura 3).
Figura 1. A y B. Corte axial y sagital de TC de cerebro evidenciando marcada hidrocefalia supratentorial. C. Reconstrucción 3D de dicha tomografía, se observa desconexión del catéter distal (flecha verde). Aclaración: sobre mastoides izquierda se evidencia catéter calcificado de válvula previa abandonada. D. Imagen intraquirúrgica con evidencia de desconexión de segmento distal.

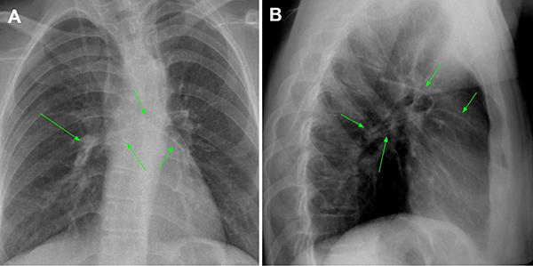
Figura 2. A y B. Radiografías de frente y perfil respectivamente realizadas previo a la intervención endovascular en donde se evidencia migración del catéter distal a la cavidad cardíaca (flechas verdes).

Figura 3. A. y B. Imágenes radioscópicas del procedimiento endovascular efectuado en el cuál se recupera y exterioriza el catéter distal migrado. C. Fotografía del catéter una vez retirado.
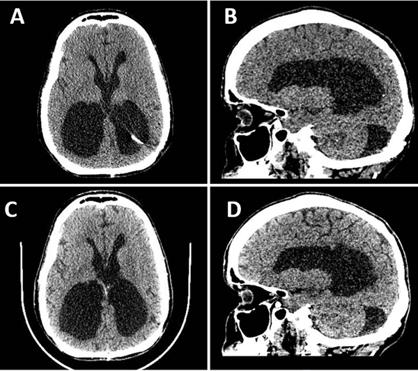
Una vez retirado el segmento migrado, se colocó un nuevo catéter distal en el atrio. Luego del procedimiento, la paciente presentó franca mejoría sintomática con resolución del cuadro de cefalea y Parinaud. Se realizó una tomografía de control a los dos días en donde se corroboró la disminución del volumen del sistema ventricular y fue dada de alta deambulando por sus propios medios. En el control ambulatorio, al mes de la cirugía, se mantuvo asintomática, sin nuevos signos de hidrocefalia ni complicaciones asociadas, con un control imagenológico estable (Figura 4).

Figura 4. A y B. Corte axial y sagital de TC de cerebro en segundo día postoperatorio, evidenciándose franca disminución del volumen del sistema ventricular. C y D. Corte axial y sagital de TC de cerebro control al mes de la cirugía, sin cambios.
DISCUSIÓN
Se presentó el caso de una paciente shunt dependiente, con peritoneo dificultoso, que requirió un SVA, presentando una complicación poco frecuente del mismo como es la migración intracardiaca del catéter distal.
Habitualmente, la colocación de un SVA es una buena alternativa a la hora de resolver la hidrocefalia en pacientes con peritoneo dificultoso. Sin embargo, una complicación inusual pero potencialmente grave de este procedimiento es la migración del catéter distal al atrio 2, 4-7. La resolución de esta complicación excede el área de competencia del neurocirujano general, siendo la misma llevada a cabo por radiólogos intervencionistas o cardiocirujanos. No obstante, es importante conocer la posibilidad de esta complicación, teniendo presente que es el Neurocirujano quien realiza seguimiento de los pacientes con hidrocefalia.
Son dos los objetivos que se buscan al tratar la disfunción distal del SVA con segmento migrado intracardíaco. El primero, restablecer el SVA para aliviar los síntomas de la hidrocefalia; y el segundo, prevenir las complicaciones propias de la ubicación cardíaca del catéter, como tromboembolismo, septicemia, y complicaciones cardíacas como arritmias y taponamiento cardiaco 4. El abordaje de elección hoy en día es el endovascular endovenoso 1, 4, 9. En caso de fallar, puede ser necesaria una toracotomía 3.
Por otra parte, la necesidad de tratar el segmento migrado intracardíaco tiene también sus controversias. Debido a la escasa literatura disponible sobre este tópico, nos hemos basado en bibliografía que abarca tanto SVA como otros tipos de catéteres cardíacos, entre ellos, marcapasos 10-12.
Previo a la extracción, se recomienda realizar una ventriculografía derecha del corazón a fin de definir la ubicación exacta del catéter y su riesgo de migración durante el procedimiento 4, 5.
Es importante considerar que si el catéter se encuentra adherido al miocardio, luego de la extracción pueden ocurrir serias complicaciones como un taponamiento cardíaco o una arritmia severa. Por esta razón, en caso de existir dicha adherencia, se podría considerar no retirarlo. De ser así, estaría indicada la anticoagulación profiláctica 11.
En caso contrario, cuando el catéter no se encuentra adherido, se debería intentar el retiro del mismo, considerando que de no hacerlo habría un alto riesgo de embolismo pulmonar. La extracción del catéter de forma percutánea debe ser realizada lo antes posible para evitar la previamente mencionada adherencia al miocardio.
Siempre se recomienda que el procedimiento percutáneo sea realizado por un profesional experimentado 12.
CONCLUSIÓN
El manejo de esta complicación poco usual debe ser abordada de manera interdisciplinaria entre el neurocirujano tratante y un cardiólogo o radiólogo intervencionista. Un tratamiento oportuno del catéter migrado disminuye el riesgo de complicaciones severas. El abordaje endovascular es, hoy en día, el tratamiento de elección para retirar el segmento migrado, aunque una toracotomía abierta puede ser necesaria en caso de fracaso de la primera.
COMENTARIO
Los autores presentan en forma detallada el caso de un paciente de sexo femenino de 32 años con antecedente de enfermedad de Dandy Walker, en el contexto de una disfunción de sistema ventriculoatrial por migración de catéter distal.
Se describen correctamente los pasos realizados para el diagnóstico y la resolución quirúrgica, complementado con excelentes fotos de estudios y del acto neuroquirúrgico.
Como explican los autores, se trata de una complicación muy poco frecuente y, además, resalta la utilidad de las radiografías como así también su interpretación.
Analizando el caso, queda en evidencia la necesidad y la gran utilidad de disponer en nuestras instituciones de un servicio de radiología intervencionista en forma permanente, ya que en estos casos el cuadro clínico debe ser solucionado en un tiempo breve.
Al tratarse de una paciente con antecedente de Dandy Walker, adulta, y con el dato expresado en el trabajo de que el cultivo de LCR resultó negativo, propondría como alternativa la posibilidad de realizar una tercer ventriculostomía endoscópica (quizás ayudado con RMI preoperatoria y análisis imagenológico) como tratamiento de su hidrocefalia, lo cual no cambiaría la necesidad de retirar el catéter migrado por vía endovascular, pero sí evitaría las complicaciones inherentes a los shunts.
Gastón Dech
Hospital de Niños Ricardo Gutiérrez. C.A.B.A., Argentina
BIBLIOGRAFÍA
COMENTARIO
Cuando se trata de complicaciones asociadas a las válvulas, no es infrecuente encontrar diversidad de formas de presentación. En este caso, la migración del catéter a las arterias pulmonares es una complicación sumamente inusual, aunque descripta y que, en mi experiencia, no he tenido la oportunidad de tratar.
Aunque las desconexiones por defectos en la ligadura del extremo proximal del catéter distal al reservorio valvular deberían ser la causa más probable de migración del catéter al sistema circulatorio, en este caso se observó que se debió a una ruptura del mismo en su punto de unión al reservorio valvular. Esto podría deberse al debilitamiento de la silicona al manipular los elementos durante la ligadura o al estrés que sufre el catéter contra el conector rígido del reservorio valvular luego de colocado el sistema por los diferentes movimientos cefálicos.
Esta complicación grave fue perfectamente resuelta de forma multidisciplinaria por técnica endovascular, aunque podría haber sido seguramente mortal en caso de no haberse diagnosticado a tiempo. Por este tipo de complicaciones es que las derivaciones ventrículo peritoneales, siempre que sea posible, deben ser de elección al elegir una derivación interna de líquido cefalorraquídeo.
Felicito a los autores por la resolución del caso y por compartir su experiencia con la comunidad microquirúrgica.
Dra. Romina Argañaraz
Jefa de clínica servicio neurocirugía
Hospital de pediatría Juan P Garrahan