Encefalitis amebiana granulomatosa por Amebas de Vida Libreen un paciente pediátrico.
Tello Brogiolo N1; Molina S1; Esposto S2; Magistrello P3; Bustamante J1; D´Agustini M1
1) Servicio de Neurocirugía. Hospital de Niños Sor María Ludovica de La Plata. Buenos Aires, Argentina.
2) Servicio de Infectología. Hospital de Niños Sor María Ludovica de La Plata. Buenos Aires, Argentina.
3) Setor Parasitología. Sala Bioquímica Especializada. Laboratorio Central. Hospital de Niños Sor María Ludovica de La Plata. Buenos Aires, Argentina.
Luciano Grissoto
lucianogrisottonqn@gmail.com
RESUMEN
Introducción: Las amebas de vida libre (AVL) Naegleria fowleri, Acanthamoeba spp., Balamuthia mandrillaris, son protozoos ampliamente distribuidos en la naturaleza. Son microorganismos oportunistas, que afectan preferentemente al sistema nervioso central causando cuadros de meningoencefalitis amebiana primaria o de encefalitis granulomatosa amebiana (EGA), ambas patologías de alta mortalidad.
Descripsión del Caso: Paciente femenina de 10 años, que ingresa a nuestro hospital por presentar hemiparesia braquiocrural izquierda, vómitos y cefalea de 72 horas de evolución. Se realiza tomografía computada y Resonancia Magnética en la que se identifica una lesión expansiva, sólido-quística ubicada en la región fronto derecha. Se realiza exéresis completa de la misma y se implementa tratamiento farmacológico lográndose la restitución ad-integrum de la función motora y la resolución de la EGA a 30 meses de seguimiento.
Discusión: La encefalitis granulomatosa amebiana es una patología causada por amebas de vida libre. Su presentacíon clínica puede ser indistinguible de otras causas de leptomeningitis o encefalitis, como las de origen bacteriano, viral o por micobacterias lo que impide conocer su real incidencia. Su tratamiento antiparasitario es muy complejo y su evolución es habitualmente fatal.
Conclusión: Reportamos un caso de Encefalitis Amebiana Granulomatosa en una paciente pediátrica inmunocompetente, con excelente evolución.
Palabras Clave: Encefalitis Granulomatosa Amebiana; Amebas de Vida Libre; Acanthamoeba spp.; Pediatría; Tumor Cerebral
ABSTRACT
Introduction: Free-living amoebas (FLA) Naegleria fowleri, Acanthamoeba spp., and Balamuthia mandrillaris, are protist widely distributed in nature. Are opportunistic microorganisms, preferentially affect the central nervous system causing primary amoebic meningoencephalitis or amoebic granulomatous encephalitis (AGE), both with high mortality.
Case report: A 10 year-old female patient was admitted with a three-day history of left hemiparesis accompanied with headaches and vomiting. Computed tomography and magnetic resonance were performed, in which an expansive solid cystic mass was observed in the right fronto-parietal region. Complete resection was performed and pharmacological treatment was started, achieving complete restitution of motor function and resolution of AGE after 30 months of follow-up.
Discussion: AGE is a desease caused by free-living amoebas. Its clinical presentation is similar to other leptomeningitis or encephalitis of different etiology such as bacterial, viral or by mycobacterial, which cannot know its real incidence. Its pharmacological treatment is complex and its evolution is usually fatal.
Conclusion: We report a case of Amoebic Granulomatous Encephalitis in an immunocompetent pediatric patient with good outcome.
Key Words: Amoebic Granulomatous Encephalitis; Free-living Amoebas; Acanthamoeba spp.; Pediatrics; Brain Tumor
INTRODUCCIÓN
Las amebas de vida libre (AVL) Naegleria fowleri, Acanthamoeba spp., y Balamuthia mandrillaris son protozoos ampliamente distribuidos en la naturaleza y se los encuentra en la tierra, agua (salada fría, lagunas, aguas termales, piscinas), polvo del ambiente y zonas húmedas en hogares.1, 2 Son microorganismos oportunistas que se comportan como parásitos tanto en humanos como en otros mamíferos, con capacidad de afectar al sistema nervioso central causando cuadros de meningoencefalitis amebiana primaria (asociado a N. fowleri) o de encefalitis granulomatosa amebiana (EGA, relacionado a Acanthamoeba spp o Balamuthia mandrillaris), con una alta mortalidad.1,2 La primer sugerencia de que el protozoo Acanthamoeba podía causar infección en humanos, surgió en 1958 durante los estudios de investigación referidos a la seguridad de la vacuna contra la poliomielitis.1,2 No obstante, fue a principios de la década del ´70 cuando se reportó con claridad la asociación entre este microorganismo y enfermedades como encefalitis, queratitis e infecciones de piel. La EGA es una infección crónica de evolución prolongada y lentamente progresiva del sistema nervioso central (SNC). Si bien ocurre con mayor frecuencia en hospedadores inmunocomprometidos, se han reportado casos en niños y adultos inmunocompetentes.1,2
Se desconoce su incidencia a nivel mundial, aunque se la considera ampliamente extendida y subdiagnosticada debido a que sus manifestaciones clínicas son inespecíficas (cefalea, depresión del sensorio, cambios de la personalidad, convulsiones, parálisis de nervios craneales, alucinaciones, diplopía, ataxia) y, se solapan con las de otras formas de encefalitis o meningoencefalitis, ya sea por bacterias, virus, micobacterias o neoplasias y la sospecha diagnóstica es baja.2,3
Nuestro objetivo es reportar un caso de encefalitis granulomatosa amebiana en una paciente pediátrica inmunocompetente, cuya lesión fue resecada en su totalidad y presentó una excelente evolución, siendo esto último muy poco habitual en esta patología.
DESCRIPCIÓN DEL CASO
Se presenta un paciente femenino de 10 años que ingresa a nuestro hospital por presentar hemiparesia braquiocrural izquierda, vómitos y cefalea de 72 horas de evolución. Se constatan ambas papilas opticas sobreelevadas en el fondo de ojos. Se decide realizar tomografia computada (TC) (fig. 1) y resonania magnética nuclear (RMN) de encéfalo (fig. 2).
Se realiza ateneo interdisciplinario en el que se plantean como diagnosticos dierenciales: Astrocitoma quístico, quiste hidatídico, neurocisticercosis, toxoplasmosis y encefalitis amebiana granulomatosa (EAG) por Amebas de Vida Libre (AVL). Presenta como antecedente epidemiológico de relevancia estadía en complejos de aguas termales de la provincia de Entre Rios y de Uruguay 7 meses previos a su admisión.
Se solicitan exámenes complemenarios de laboratorio, siendo los estudios analíticos de rutina normales. Se solicitan estudios serológicos para Toxoplasmosis, VDRL, Chagas, CMV, EBV, Hidatidosis, HIV y VVZ que resultaron negativos.
Se programa la exéresis completa de la lesión, previa interconsulta con el Servicio de Parasitología de nuestra institución a fin de lograr una adecuada extracción y posterior procesamiento de la muestra. Se procede a relizar la extracción de la lesión mediante craneotomía parietal derecha (figs. 3, 4 y 5), se realiza apertura dural arciforme con base hacia la línea media observandose, inmediatamente, la distensión de las áreas pre y postcentral tras lo cual se procede al mapeo neurofisiológico del área motora derecha mediante estimulación bipolar (fig. 6). Una vez identificada el área motora por encima y por delante de la misma se pratica corticotomía de 2cm, se expone cápsula friable que se incide dando lugar a la salida de líquido verde-amarronado espeso, para luego extraer una formación de aspecto hemorrágico, de consistencia renitente de 2cm por 2cm aproximadamente (fig.7). Se completa exéresis de ambas estructuras. Se envian fragmentos del material obtenido a estudio anatomopatológico, infectológico para germenes comunes y parasitológico.
Se lleva a cabo la siembra en esterilidad de fragmentos del material obtenido en placa de Petri con agar no nutritivo cubierto con Escherichia coli en crecimiento exponencial,a25ºC, aislándose trofozoítos y quistes de Acanthamoeba spp. Posteriormente se tipifica medianteReacción en Cadena de la Polimerasa (PCR) con primers JDP1 Y JDP2, correspondiendo la secuenciación al genotipo T4 de Acanthamoeba.
La paciente evoluciona favorablemente con una rápida y evidente mejoría de la función motora en el postoperatorio inmediato, logrando restitución ad-integrum de la misma al momento del alta hospitalaria.
Recibe un tratamiento complejo que es consensuado con especialistas en AVL del Instituto de Medicina Tropical «Alexander von Humboldt», Universidad Peruana Cayetano Heredia San Martín de Porres, Lima, Perú. Es dada de alta tras 45 días de internación, habiendo recibido durante la misma Anfotericina Liposomal 250mg/día y Voriconazol 600mg/día por vía endovenosa, Albedazol 800mg/día, Azitromicina 500mg/día, Miltefosine 150mg/día por vía oral.
Continuando luego en tratamiento ambulatorio con Voriconazol 600mg/día por vía oral durante 5 meses y Miltefosine 100mg/día por vía oral durante 7 meses.
Se descarta inmunodeficiencia congénita tras evaluación por especialistas en Inmunología pediátrica. Sus dosajes de inmunogobulinas fueron normales al igual que las poblaciones linfocitarias y el test de la 1,2,3 Dihidrorodamina.
Se realizó control clínico e imagenológico con RMN (fig. 8) cada tres meses el primer año y cada 6 meses el segundo año. Todos los estudios de imágenes realizados mostraron idéntico resultado.
Actualmente con un seguimiento de 30 meses se encuentra con función motora nomal y en plan de control imagenologico anual.
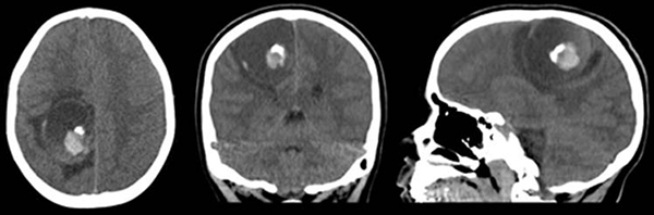
Figura 1: TC. A) corte axial; B) corte coronal; C) corte sagital. Lesión expansiva esferoidea, sólido-quística que contiene una foración endofitica de densidad heterogénea, ubicada en la región fronto-parietal derecha. Se observa halo hipodenso perilesional, compresión del cuerpo del ventrículo lateral derecho y del cuerpo calloso, con ligero deslazamiento de la línea media.

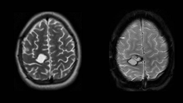
Figura 2: RM. A) corte axial; B) corte sagital; ambos ponderados en secuencia T1. Se aprecian bordes bien definidos, iso a hiperintenso, respecto del parénquima. El contenido se observa predominante iso a hipointenso con formación redondeada excéntrica de intensidad heterogénea. C) corte axial; D) corte coronal; ambos ponderados en secuencia T2. Se observa el contenido predominantemente hiperintenso de la lesión con la formación redondeada excéntrica rodeada de estructuras trabeculares y tabiques. Halo hiperintenso perilesional que se corresponde con edema.
Figura 3: Planificación de la incición tomano como referencia las suturas sagital y coronal.
Figura 4: Exposición ósea.
Figura 5: Exposición cortical. Circunvolución precentral expandida y ligero aumento de la tensión localizada. Corticotomía de 2cm en línea de puntos.
Figura 6: Identificación del área motora mediante estimulación cortical.

Figura 7: Tumoración renitente de aspecto hemorrágico de 2 cm por 2 cm.

Figura 8: RMN. A) Corte axial ponderado en T2. Se observa imagen redondeada en topografía del área precentral derecha compatible con lodge quirúrgica conteniendo LCR. B) Corte axial ponderado en GRE. Se observa halo hipointenso correspondiente a restos de hemosiderina.
DISCUSIÓN
La presentación clínica de la encefalitis granulomatosa amebiana por Acanthamoeba spp. puede ser indistiguible de otras causas de leptomenigitis o encefalitis, como las de origen bacteriano, viral o por micobacterias. Esto, sumado a su frecuente evolución fatal en el 90% de los casos reportados, impide conocer su real incidencia, auque se sabe que las amebas de vida libre de encuentran ampliamente distribuidas en el ambiente.1-3
En cuanto al diagnóstico, puede realizarse a partir de muestras de LCR o tejido cerebral por observación microscópica directa o previo cultivo en agar no nutritivo cubierto por una capa de E. coli o Enterobacter aerogenes en crecimiento exponencial a 25 ºC.No es habitual la obtención de una muestra de LCR, ya que que con frecuencia los pacientes se presentan con síndrome de hipertensión endocraneana en cuyo caso la realización de una punción lumbar se convierte en un procedimiento riesgoso. El estudio anatomopatológico del tejido cerebral permite observar, como rasgo más característico, la formación de granulomas en hospedadores inmunocompetentes (en hospedadores inmumocomprometidos estos estan habitualmente ausentes) y trofozoítos invadiendo las paredes de los vasos sanguíneos y rodeados de abundante cantidad de células inflamatorias.2,3,6,10 En cuanto a las neuroimágenes obtenidas, ya sea por TC o por RMN, las lesiones muestran predilección topográfica por el compartimiento supratentorial, ubicándose más habitualmente en los lóbulos frontal, parietal y temporal, pudiendo ser unifocales o multifocales, unilaterales o biltaterales, con edema y efecto de masa perilesional variable. Características que hacen a estas lesiones muy variables y sugestivas de otras patologías como tumores o abscesos piógenos.2,4,5
Los mecanismos de patogenicidad y los factores de virulencia de Acanthamoeba spp, aún no son comprendidos con certeza. No obstante, cabe mencionar que han sido tipificados 19 genotipos de Acanthamoeba ( designados de T1 a T19), siendo el genotipo T4 el que se asocia con mayor frecuencia a la EGA coincidentemente con el genotipo encontrado en la lesión resecada del cerebro de nuestra paciente.7,8
En cuanto al tratamiento farmacológico, se han documentado reportes de casos con múltiples esquemas integrados por diferentes combinaciones de Pentamidina, Claritromicina, Azitromicina, Fluconazol, Voriconazo, Flucitosina, Albendazol, Itraconazol, Miltefosine. Se sugiere que Miltefosine y Voriconazol constituyen fármacos de primera línea debido a su adecuada penetrancia en al parenquima encefálico y a su demostrados efecto microbicida in vitro.11
CONCLUSIÓN
Reportamos un caso de Encefalitis Granulomatosa Amebiana, una entidad infrecuente y de descenlace habitualmente fatal por lo que consideramos que la excelente evolución presentada por nuestra paciente, tras 30 meses de seguimiento, se relaciona con la sospecha etiológica y diagnóstico oportuno, la rápida instauración del tratamiento farmacológico antiamebiano, la resección quirúrgica completa de la lesión y la inmunocompetencia de la paciente.
BIBLIOGRAFÍA
1) Mannan Baig A. Pathogenesis of amoebic encephalitis: Are the amoebae being credited to an ‘inside job’ done by the host immune response? Acta Tropica. 2015; 148 72–6
2) Marciano-Cabral F, Cabral G. Acanthamoeba spp. as Agents of Disease in Humans. Clin. Microbiol. Rev. 2003; 16(2):273-307
3) Kalra S K, Sharmaa P, Shyama K, Tejanb N, Ghoshalb U. Acanthamoeba and its pathogenic role in granulomatous amebic encephalitis. Experimental Parasitology 2020; 208 1-11
4) Ong TYY, Khan NA, Siddiqui R. Brain-eating amoebae: predilection sites in the brain and disease outcome. J Clin Microbiol 2017; 55 (7):1989 –97.
5) Taratuto AL, Monges J, Acefe JC, Meli F, Paredes A, Martinez AJ. Leptomyxid amoeba encephalitis: report of the first case in Argentina. Transaction of the Royal Society of Tropical Medicine and Hygiene. 1991; 85, 77
6) Visvesvara GS, Moura H, Schuster FL. Pathogenic and opportunistic free-living amoebae: Acanthamoeba spp., Balamuthia mandrillaris, Naegleria fowleri, and Sappinia diploidea. FEMS Immunol Med Microbiol 2007; 50:1–26
7) Lee, D.C., Fiester, S.E., Madeline, L.A, Fulcher JW, Ward ME, Schammel CMG, et al. Acanthamoeba spp. and Balamuthia mandrillaris leading to fatal granulomatous amebic encephalitis. Forensic Sci Med Pathol.2020; 16, 171–76
8) Booton, GC, Visvesvara GS, Byers TJ, Kelly DJ, Fuerst PA. Identification and Distribution of Acanthamoeba Species Genotypes Associated with Nonkeratitis Infections. J Clin Microbiol 2005;43(4), 1689–93
9) Megha K, Sehgal R, Khurana S. Genotyping of Acanthamoeba spp. isolated from patients with granulomatous amoebic encephalitis. Indian J Med Res 2018; 148, 456-59
10) Satlin MJ, Graham JK, Visvesvara GS, Mena H, Marks KM, Saal SD, Soave R. Fulminant and fatal encephalitis caused by Acanthamoeba in a kidney transplant recipient: case report and literature review. Transpl Infect Dis 2013; 15: 619–26
11) Schustert FL., Guglielmo BJ, Visvesvara GS. In-Vitro Activity of Miltefosine and Voriconazole on Clinical Isolates of Free-Living Amebas: Balamuthia mandrillaris, Acanthamoeba spp., and Naegleria fowleri. J Eukaryot Microbiol 2006; 53(2), 121–26.
COMENTARIO
Sin bien esta patología infecciosa es muy rara, en los últimos años recibió mayor relevancia y atención. Sin embargo, su pronóstico en general continua siendo malo en la mayoría de los pacientes. Según Visvesvara et al, menos del 5% de los pacientes sobreviven si no se inicia una intervención temprana (1, 6). La falta de conocimiento y sospecha de esta patología, al igual que la falta de métodos diagnósticos, especialmente en los países en desarrollo, demora su detección y tratamiento oportuno. En este caso, el autor informa un caso el cual hubo sospecha debido a los datos epidemiológicos, demostrando un buen resultado debido al diagnóstico y tratamiento precoz y oportuno. Por esto es importante obtener un historial completo del paciente.
Los trabajos publicados hasta el momento ponen en evidencia la falta de conocimiento de la fisiopatología de esta infección, siendo en algunos casos una patología fulminante (Meningoencefalitis amebiana primaria) y en otros casos un cuadro subagudo o crónico de meses de evolución (Encefalitis granulomatosa amebiana).
En cuanto al diagnóstico, además del estudio de LCR, estudio anatomopatológico y parasitológico, existen trabajos que informan la detección por serología por ELISA, IFI o citometria de flujo, en casos de Encefalitis granulomatosa amebiana, lo cual resulta de gran utilidad, cuando no se pueda obtener LCR por contraindicación de la punción lumbar. En cuanto a las neuroimágenes algunos autores la describen como una lesión quística extraña, si bien la especifidad de las mismas aun no han sido evaludas.
Dentro de los diagnóstico diferenciales además de los mencionados cabe señalar esclerosis múltiple, encefalitis lúpica, leucoencefalopatía multifocal progresiva, accidente cerebrovascular. También se debe evaluar la sobreinfección de estas parasitosis por otros gérmenes. Timoteo Yu Ye Ong et al. describen un caso de toxoplasmosis cerebral complicada por GAE causada por Acanthamoeba y B. mandrillaris. Esto evidencia la naturaleza compleja de la enfermedad, indicando que las amebas actúan como reservorios de otros microorganismos Por otro lado se debe tener presente que estas meningoencefalitis se pueden presentar como enfermedades vasculares (tromboticas o aneurismas). Probablemente debido a la capacidad de las amebas para producir daño endotelial.
En conclusión a pesar del avance en el conocimiento de esta entidad, métodos diagnósticos y tratamiento, las tasas de mortalidad continúan siendo altas. Es de fundamental importancia la detección temprana de la infección para un tratamiento oportuno. Por lo tanto se requiere alto nivel de sospecha clínica. En áreas endémicas es fundamental tomar medidas preventivas de salud pública como el tratamiento del agua. Se necesita investigación futura para definir los factores genéticos, inmunológicos, patógenos y ambientales que contribuyen a esta enfermedad.
Ricardo Vidal
Jefe Servicio Neurocirugía Hospital Dr. Pedro Notti. Mendoza, Argentina.