REPORTE DE CASO
Lavado endoscópico con colocación de catéter trans acueducto de Silvio
en paciente lactante con ventriculitis de difícil manejo
Maldonado Alejos CB, Grisotto L, Colombo G, Gómez Ávalos JM, Bustamante JL, D´Agustini MO
Servicio de Neurocirugía HIAEP “Sor María Ludovica”. La Plata, Buenos Aires, Argentina.
Luciano Grisotto
lucianogrisottonqn@gmail.com
RESUMEN
Introducción: La ventriculitis representa una emergencia infectológica, generalmente asociada a un procedimiento neuroquirúrgico. La incidencia es desconocida debido a la variación de los criterios diagnóstico.
Descripción del caso: Presentamos una paciente de sexo femenino de 6 meses de edad con antecedente de hidrocefalia post hemorrágica, con diagnóstico de ventriculitis por Enterobacter complex asociada a sistema de derivación ventrículo peritoneal (DVP) de difícil manejo. La misma realizó tratamiento combinado de antibiótico con Meropenem y Colistin endovenoso e intraventricular asociado a tratamiento endoscópico que consistió en lavados, aspiración del contenido purulento intraventricular, tercer ventriculostomía endoscópica (TVE), coagulación bilateral del plexo coroideo y acueductoplastia con colocación de catéter de derivación ventricular externa (DVE) entre el tercer y el cuarto ventrículo con el objetivo de mantener la permeabilidad de la misma y de esta manera asegurar la llegada de antibiótico intraventricular al cuarto ventrículo.
Discusión: La ventriculitis se asocia a múltiples complicaciones y una elevada tasa de morbi-mortalidad. El tratamiento de las ventriculitis de difícil manejo, es aún controvertido, actualmente existe bibliografía que reporta buenos resultados del tratamiento con lavado endoscópicos asociado al tratamiento combinado endovenoso e intraventricular para lograr mayores concentraciones de antibiótico intraventricular.
Conclusión: Consideramos que el tratamiento combinado es una herramienta frente a las ventriculitis por patógenos resistentes a los tratamientos convencionales. En los casos con obstrucción del acueducto de Silvio recomendamos realizar acueductoplastia y colocación de catéter multifenestrado; para mantener la permeabilidad y la llegada de antibiótico al cuarto ventrículo.
Palabras clave: Ventriculitis; Lavados Ventriculares; Acueductoplastia; Antibiótico Intraventricular
ABSTRACT
Introduction: Ventriculitis represents an infectious emergency which is normally associated with neurosurgical procedures. The incidence is unknown due to the variation of the diagnostic criteria.
Case description: We present a 6-month-old female patient with a history of post-hemorrhagic hydrocephalus. The patient was diagnosed with Enterobacter complex ventriculitis difficult to manage associated with peritoneal ventricular shunt (VP). The patient received combined antibiotic treatment with Meropenem intravenous and intravenous-intraventricular Colistin associated with endoscopic treatment. This endoscopic treatment consisted of washes, aspiration of the intraventricular purulent content, third endoscopic ventriculostomy (ETV), bilateral coagulation of the choroid plexus and aqueductoplasty with external ventricular drain catheter (EDV). This EDV was placed between the third and fourth ventricle in order to maintain its permeability so as to ensure the arrival of intraventricular antibiotics to the fourth ventricle.
Discussion: Ventriculitis is associated with multiple complications and a high morbidity and mortality rate. The treatment of ventriculitis that is difficult to manage is still controversial. Currently several authors show good results of endoscopic lavage treatment associated with combined intravenous/intraventricular antibiotic treatment. This leads to greater intraventricular antibiotic concentrations.
Conclusion: We consider that combined treatment has been successful for ventriculitis difficult to manage. In those cases, with obstruction of the Silvio aqueduct, it is recommended to perform aqueductoplasty and placement of a multi-fenestrated catheter; to maintain patency and the arrival of antibiotics in the fourth ventricle.
Key words: Ventriculitis; Ventricular Lavages; Aqueductoplasty; Intraventricular Antibiotic
INTRODUCCIÓN
La ventriculitis representa una emergencia infectológica, generalmente asociada a un procedimiento neuroquirúrgico, la cual ha sido descrita bajo diferentes términos: pioventriculitis, ependimitis, absceso intraventricular, empiema ventricular o piocefalia.1-5
La hidrocefalia postinfecciosa representa aproximadamente el 5-10% de las hidrocefalias adquiridas; siendo la causa más frecuente de ventriculitis la infección secundaria a la colocación de un sistema de derivación, complicación que se estima entre el 3-20% de los procedimientos.3,6 La incidencia es desconocida debido a que los criterios diagnóstico varían según los autores. Es necesario realizar el diagnóstico temprano y oportuno ya que posee altas tasas de morbi-mortalidad, estadía hospitalaria prolongada y un gran impacto en los costos hospitalarios.1-3
Si bien existen múltiples estrategias terapéuticas descritas en la bibliografía, el tratamiento continúa siendo controversial.2,3,6 En los últimos años el uso del lavado endoscópico ha aumentado considerablemente y se han reportado resultados exitosos en el tratamiento de la ventriculitis.2-4,6,7
El objetivo de este trabajo es presentar un caso de tratamiento combinado en un paciente pediátrico con ventriculitis de difícil manejo.
DESCRIPCIÓN DEL CASO
Presentamos una paciente de sexo femenino de 6 meses de edad, derivada de otra institución, con diagnóstico de ventriculitis asociada a sistema de derivación ventrículo peritoneal (DVP). Como antecedentes relevantes, fue nacida pretérmino de 30 semanas de gestación, con hemorragia intraventricular que evolucionó a hidrocefalia posthemorrágica y fue tratada a los 45 días de vida con DVP. Requirió dos recambios valvulares, a los 3 y 6 meses de vida, por disfunción secundaria a infección, con aislamiento bacteriológico de Staphylococcus coagulasa negativo y Acinetobacter baumannii en el primer episodio, y Enterobacter complex en el segundo. En ambas oportunidades el tratamiento fue antibiótico endovenoso y recambio de DVP.
Al ingreso en nuestro hospital, la paciente presentaba fiebre, irritabilidad, somnolencia, fontanela anterior tensa, macrocefalia y signos meníngeos; por lo que se decidió la extracción de la DVP, la colocación de un sistema de drenaje ventricular externo (DVE) y el inicio de tratamiento antibiótico endovenoso. Tras cumplir esquema antibiótico, con cultivos negativos, se realizó tratamiento endoscópico de la hidrocefalia: tercer ventriculostomía endoscópica (TVE), coagulación bilateral del plexo coroideo y acueductoplastia ventricular (tras hallazgo intraquirúrgico del acueducto de Silvio no permeable).
Reingreso a los 26 días postquirúrgicos con fiebre, irritabilidad, llanto persistente, rechazo al alimento; y signos de hipertensión endocraneana. Se tomó muestra de líquido cefalorraquídeo (LCR), en el cual se aíslo Enterobacter complex (E. hormaechei), se realizó resonancia magnética de cerebro con contraste, donde se evidenció realce a nivel ependimario compatible con ependimitis (Figura 1). Se colocó DVE y realizó un nuevo tratamiento con meropenem y colistin endovenoso asociado a tratamiento intraventricular con colistin. La dosis de colistin fue ajustada en base a el cálculo por imágenes del volumen ventricular. Se administró una dosis diaria de 4 mg de colistin, con posterior lavado de la guía con 1 ml de solución fisiológica. Durante la internación se realizaron 4 procedimientos endoscópicos que consistieron en lavados ventriculares, aspiración del contenido purulento intraventricular, acueductoplastia con colocación de catéter de DVE entre el tercer y el cuarto ventrículo (tras constatar re obstrucción del acueducto) con el objetivo de mantener la permeabilidad de la misma y de esta manera asegurar la llegada de antibiótico intraventricular al cuarto ventrículo. Se tomaron muestras del LCR cada 72-96 horas, utilizado como referencia de evolución las características citofisicoquímicas, el valor de ácido láctico y los cultivos. Luego de 21 días de tratamiento antibiótico, la paciente mejoró clínicamente y los parámetros infecciosos de LCR se normalizaron. Se retiró el catéter trans acueductal bajo visión directa por endoscopia y en el mismo procedimiento tras observar oclusión del ostoma previo, se repitió el procedimiento de TVE que no fue exitoso, por lo que se colocó una DVP presión fija media. No se registraron complicaciones asociadas en los procedimientos endoscópicos.
Actualmente tras 14 meses de seguimiento, la paciente se encuentra asintomática y en el control de resonancia magnética realizada a los 12 meses de post quirúrgico donde se observó disminución del tamaño ventricular ausencia de tabiques interventriculares, y ausencia de realce tras la administración de contraste (Figura 2).
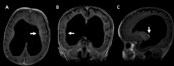
Figura 1: RM de encéfalo prequirúrgica: A) corte axial, B) coronal y C) sagital, ponderado en T1 con contraste. Se observa dilatación del sistema ventricular, ausencia de septum pellucidum, adelgazamiento de sustancia blanca periventricular y cuerpo calloso, con realce ependimario compatible con ventriculitis (flecha).

Figura 2: RM de encéfalo realizada a los 12 meses post quirúrgico de la colocación de la DVP: A) corte axial, B) coronal, C) sagital, ponderado en T1 con contraste. Se observa disminución del tamaño ventricular en comparación con resonancia previa, sin realce ependimario tras la administración de contraste.
Técnica Quirúrgica
Todos los procedimientos se realizaron bajo anestesia general. Previo ingreso a quirófano (entre 3 y 6 hs), se cierra el DVE y se realiza una tomografía computada para llevar a cabo la planificación quirúrgica con base en la anatomía del paciente. Las mediciones que se toman desde la tabla externa de la calota son: a) el espesor del parénquima que nos indica la profundidad para llegar al ventrículo lateral y b) la longitud total que existe hasta la mitad del cuarto ventrículo, sitio en el cual quedará alojado el catéter (Figura 3).

Figura 3: TC pre quirúrgica utilizada para planificación quirúrgica A) corte coronal en el cual se observa el espesor del parénquima cerebral (línea verde) y la distancia que existe entre la tabla externa de la calota y el ventrículo lateral derecho, B) corte sagital en el cual se mide la longitud del catéter al cuarto ventrículo (línea verde). VL: ventrículos laterales TV: tercer ventrículo (*): cuarto ventrículo.
El paciente se ubica en decúbito dorsal, con la cabeza al cenit, en semiflexión y elevado 30 grados con respecto a la mesa quirúrgica. Se realiza una incisión arciforme a nivel del punto de Kocher. Debido a que el paciente presenta una fontanela amplia, se realiza una fractura en tallo verde de 1x1 cm hacia anterior y luego se prosigue con la apertura dural, en forma lineal, aproximadamente 4-10 mm. Se reparan los bordes con seda 4.0 y se coagula la corteza con bipolar. Se introduce el endoscopio (Karl Storz modelo Deck, óptica de 0 grados) según las medidas establecidas previamente e ingresamos al ventrículo lateral derecho. Es necesario comenzar con la irrigación activa desde este momento, ya que el aspecto del LCR es turbio, oleoso y amarillo por lo que se dificulta la visión (Figura 4). Para realizar el lavado ventricular utilizamos solución Ringer lactato tibio, 2 a 3 litros, intercalando periodos de lavado activo y pasivo, siempre permitiendo la salida del excedente para evitar la hipertensión endocraneana.

Figura 4: Vista endoscópica: A) ventrículo lateral derecho, aspecto amarillento y oleoso del LCR intraventricular, podemos apreciar la ausencia de septum pellucidum y el foramen de Monro (FM), Vena tálamo estriada (VTE), B) se observa mayor turbidez del LCR en el atrio ventricular (AV).
En las paredes del epéndimo a lo largo de todo el sistema ventricular, es característico observar múltiples acúmulos puntiformes hiperpigmentados y restos de hemosiderina, los cuales son aspirados con facilidad (Figura 5). Se observa mayor depósito de restos a nivel del asta occipital (Figura 6), piso del tercer ventrículo y mayor contenido purulento adherido al plexo coroideo. Se extrae el material purulento de mayor tamaño con pinza fórceps teniendo mayor cuidado a nivel del plexo coroideo para evitar sangrados.
Se procede a reconocer las estructuras anatómicas e identificar al foramen de Monro para ingresar al tercer ventrículo y realizar la TVE. Se prosigue con la coagulación del plexo coroideo del lado derecho, se repite el procedimiento del lado contralateral.
El último paso consiste en llevar a cabo la acueductoplastia, utilizando para este procedimiento la sonda de Fogarty 3 Fr sin mandril, introduciéndose mediante movimientos sutiles y rotatorios, sin insuflar el balón para evitar lesionar el mesencéfalo (Figura 7a). Para mantener la permeabilidad del acueducto, colocamos el catéter del DVE bajo visión endoscópica. Primero se debe marcar hasta donde va a introducirse en base a las mediciones hechas por tomografía. Agregamos fenestraciones para que la posterior infusión de antibiótico alcance tanto el sistema ventricular supratentorial como infratentorial (Figura 7b). El catéter se ubica en íntima relación con la cara anterior del endoscopio y desciende lentamente de forma simultánea (Figura 7c).

Figura 5: Visión endoscópica: Lesiones hiperpigmentadas en las paredes del epéndimo (flechas), restos de hemosiderina A) ventrículo lateral derecho se observa a través del foramen de Monro el tercer ventrículo (TV) y la fenestra realizada en el piso del mismo (*) durante la tercer ventriculostomía endoscópica, B) Porción posterior del piso del tercer ventrículo donde se observa el acueducto de Silvio (AS).

Figura 6: Visión endoscópica A) ventrículo lateral derecho, podemos apreciar el foramen de Monro (FM) y contenido purulento (flecha) sobre el epéndimo (EP), B) vena tálamo estriada (*), C) se observa aspiración del contenido purulento ependimario por medio de la cánula de aspiración (flecha).

Figura 7: Visión endoscópica: A) acueductoplastia con sonda Fogarty 3 Fr sin mandril (SF) se observan restos de hemosiderina en el piso del tercer ventrículo (flecha blanca), B) colocación de catéter multifenestrado (CF) en acueducto de Silvio (AS), C) Catéter con fenestras supratentoriales, atravesando el foramen de Monro (FM) y el acueducto de Silvio. Ostomía (*) en el piso del tercer ventrículo (TV).
Una vez alcanzada la profundidad deseada, se retiró el endoscopio, y se colocó en el trayecto de corticotomía esponja de gelatina absorbible (Spongostan®). Se realizó la duroplastia, se tunelizó el catéter para extraerlo por contrabertura lo más distante al sitio de salida craneal, y se procedió al cierre por planos.
DISCUSIÓN
La ventriculitis suele ser una infección de difícil manejo, la incidencia varía de <5% a 20%, debido a existen variaciones en las definiciones utilizadas para el diagnóstico.3,6 El análisis del LCR ha sido un parámetro utilizado para el diagnóstico, en la mayoría de los casos hay un aumento glóbulos blancos, de las proteínas y disminución de los niveles de glucosa en LCR, sin embargo las características del LCR, como la concentración de glucosa y proteínas pueden ser alteradas por hemorragia intraventricular o el material de drenajes.4 Debido a esto, la resonancia magnética es de gran utilidad para el diagnóstico de la ventriculitis, observando cambios intensidad de señal periventricular y subependimaria, y realce del epéndimo tras la administración de contraste endovenoso.1,4,8
Este tipo de infecciones se ha asociado a complicaciones como: disfunciones del sistema de derivación, formación de tabiques ventriculares y con una elevada tasa de morbi-mortalidad.2,3,7
Se considera que el tratamiento ideal para la ventriculitis es la extracción completa del sistema de derivación, colocación de DVE, tratamiento antibiótico, y luego de la esterilización del líquido cefalorraquídeo, la colocación de un nuevo sistema de derivación.2,3,6,9,15 Por otro lado, el uso aislado de DVE, suele ser un tratamiento insuficiente e incluso se asocia a complicaciones como sangrado, fístulas de LCR y re infecciones.2-4,7-10 A su vez el tiempo que permanece colocado el DVE y el número de muestras tomadas, se relaciona con un mayor número de complicaciones.2,4,7,9,10
Las bacterias multirresistentes se asocian a ventriculitis de difícil manejo, que no responden al tratamiento convencional.2 Se caracterizan por la presencia de pus en el LCR difícil de erradicar, el cual se adhiere al plexo coroideo y al epéndimo, constituyendo una fuente continua de infección.2,3Debido al contenido purulento la distribución del antibiótico no se realiza de manera homogénea. De esta manera, el lavado ventricular permite la llegada del antibiótico a todo el ventrículo, y disminuye el número de complicaciones, acortando la estadía hospitalaria comparándolo con tratamiento antibiótico endovenoso e intraventricular único.2,3 En nuestra experiencia, por medio de la visión directa a través de la endoscopia, pudimos observar la presencia de contenido purulento en las cavidades ventriculares, con mejoría del aspecto en los procedimientos posteriores al lavado (Figura 8). Debido a lo descrito anteriormente y a la baja penetración de la barrera hematoencefálica, el tratamiento antibiótico endovenoso aislado suele ser ineficaz. Para lograr una concentración óptima de antibiótico en el SNC, se asocia el tratamiento intraventricular.3,9,11,12 No obstante, su uso sigue siendo controvertido debido al potencial efecto de neurotoxicidad reportado entre un 13 y 60% de los casos, como convulsiones, meningitis química, pérdida auditiva.3,6,11,12
Aún no están establecidas las indicaciones, la dosis que varía de 1.6 a 40 mg siendo en la práctica clínica elegida de manera empírica y el tiempo de tratamiento de antibióticos intraventriculares.3 Generalmente está indicado para los casos de infecciones resistentes a tratamiento endovenoso, no siendo habitualmente utilizado como tratamiento de primera línea. Diversos estudios han demostrado que el tratamiento combinado endovenoso e intraventricular logra mayores concentraciones de antibiótico intraventricular logrando una esterilización más rápida del LCR. La persistencia de gérmenes por tiempo prolongado se asocia a resultados neurológicos desfavorables, por lo que se recomienda no retrasar el tratamiento intraventricular en casos de ventriculitis severa y realizar un tratamiento agresivo desde el diagnóstico.3,9,11,12

Figura 8: Visión endoscópica comparativa luego de realizar el aspirado del contenido purulento ependimario, A) ventrículo lateral derecho, se observa el foramen de Monro (FM), contenido purulento (flecha) sobre el epéndimo (EP), B) aspiración del contenido purulento CA: (cánula de aspiración), C) ventrículo lateral posterior a la aspiración del contenido purulento.
La mayoría de los antibióticos no están aprobados para el uso intraventricular, está descrito el tratamiento con lavado endoscópicos y tratamiento antibiótico sistémico, éste podría tener resultados favorables sin el uso de tratamiento intraventricular.6
Uno de los fármacos más frecuentemente empleado para el tratamiento de bacterias Gram negativas es el colistin, que como otras drogas utilizadas para este tipo de bacterias tiene pobre penetración en el LCR. Son aún escasos los datos respecto de la eficacia de este tratamiento y siendo todavía menor en la población pediátrica.2,9,11,12 En nuestro caso se realizó lavado endoscópico y el tratamiento antibiótico sistémico, combinado con tratamiento antibiótico intraventricular durante 21 días. Se administró el antibiótico intraventricular por DVE y permaneció cerrado durante 2 hs, adecuando el cálculo de la dosis según el volumen intraventricular, no observamos efectos adversos de neurotoxicidad durante el empleo del mismo.
El lavado ventricular puede hacerse de manera efectiva tanto con endoscopio flexible como rígido, y realizar un abordaje por medio de agujeros de trépano bilaterales o por un único agujero de trépano ingresando al ventrículo contralateral por medio de septostomía en los pacientes que tienen septum pellucidum completo.3,4,7 En nuestro caso no presentamos limitaciones al realizar los procedimientos con endoscopio rígido y abordando de manera unilateral el ventrículo.
Como resultado del lavado, los desechos y el pus podrían depositarse en el cuarto ventrículo. No hay evidencias que este se beneficie con el lavado intraventricular ya que la manipulación neuroendoscópica es más dificultosa presentando espacio limitado y mayor sensibilidad a los procedimientos.4 En nuestro caso, utilizamos un catéter que conectaba el sistema ventricular supratentorial con el infratentorial asegurando la permeabilidad del acueducto de Silvio, y la adecuada llegada del antibiótico al cuarto ventrículo.
La neuroendoscopía se considera un método efectivo para el tratamiento de la ventriculitis, no está establecido en la literatura internacional cuál es el momento más adecuado para realizar el lavado ventricular. Algunos estudios recomiendan realizarlo 2 semanas después de haber instaurado el tratamiento antibiótico endovenoso sin lograr los resultados esperados, otros informes recomiendan comenzar con los lavados una vez realizado el diagnóstico de ventriculitis, siendo este el tratamiento quirúrgico de primera elección. Está descripto una disminución en la mortalidad en centros donde se empleó el lavado ventricular como tratamiento inmediato después de realizar el diagnóstico de ventriculitis.3,4,6,8,14 Gaderer et al, realizó un estudio comparativo en donde demostró que la tasa de disfunción y de reinfección valvular fue menor en los pacientes a los que se le realizó lavado endoscópico en comparación con los que fueron tratados solamente con DVE.6
Se han reportado múltiples tratamientos endoscópicos en pacientes neonatos y prematuros demostrando que este método es seguro, sin ser una limitante la edad del paciente para realizarlo.3 La TVE logra un desvío de LCR, mejorando de esta manera la dinámica de la circulación del mismo como tratamiento de la hidrocefalia, además permite la eliminación de exudados de las áreas que presentaban alteración de la absorción mejorando la distribución de fármacos ya sean endovenosos o intraventriculares. Algunas investigaciones realizadas informan que el éxito estimado de TVE se encuentra entre el 56.4 y 55.9% en pacientes con hidrocefalia secundaria a infección intracraneal primaria, aumentando a 79% en los casos de disfunción por infecciones; sin necesidad de sistema de derivación posterior.6 Algunos hallazgos como la opacidad y el grosor del piso del tercer ventrículo, las adherencias y exudados fibrosos en las cisternas interpedunculares y perimesencefálicas además de dificultar el procedimiento, se han asociado a una menor tasa de éxito.7 Estos hallazgos presentaba nuestra paciente, no logrando por medio de la TVE el tratamiento exitoso de la hidrocefalia.
CONCLUSIÓN
Consideramos que el lavado endoscópico ventricular debe ser tenido en cuenta como una herramienta frente a las ventriculitis por patógenos resistentes a los tratamientos convencionales, junto a la asociación con tratamiento antibiótico endovenoso e intraventricular. Sugerimos, en los casos que no tengan el acueducto de Silvio permeable, realizar acueductoplastia y colocación de catéter multifenestrado; para mantener la permeabilidad y la llegada de antibiótico al cuarto ventrículo.
BIBLIOGRAFÍA
COMENTARIO
Este trabajo sobre el lavado endoscópico con colocación de catéter trans-acueducto es un buen aporte técnico-quirúrgico donde se plantea el lavado ventricular con visualización directa de los posibles reservorios de gérmenes en las cavidades ventriculares.
Si bien se presenta un solo caso, el mismo es ilustrativo y coincide con otros reportes .
La acueductoplastia con la colocación de un catéter ventricular externo multifenestrado es una variante para tener en cuenta en el tratamiento de esta afección.
Hubiera sido importante decir que cálculo se hace para medir la dosis exacta del Atb .
Es un tema para realizar protocolos de tratamiento endoscópico Indicando la selección de casos y el tiempo de inicio del mismo.
Alfredo Houssay
Jefe Neurocirugía Hospital Pedro de Elizalde. Ciudad Autónoma de Buenos Aires, Argentina.