Abordaje interhemisférico contralateral. Nota técnica
Mario S. Jaikin, Alejandro Musso, Natalia Ayala, Alejandro Saravia Toledo
División Neurocirugía Hospital de Niños Ricardo Gutiérrez , Ciudad de Buenos Aires
Mario S. Jaikin
mserjai13@gmail.com
RESUMEN
El abordaje interhemisférico contralateral es una variante del abordaje interhemisférico transcalloso que permite optimizar el acceso a lesiones ubicadas en los ventrículos laterales o en sus paredes. La planificación del ángulo de entrada mediante neuronavegador nos permitió el manejo de un Cavernoma ubicado sobre el núcleo caudado e inmediato a la cápsula interna sin realizar callosotomía convencional ni comprometer las estructuras sensibles adyacentes.
Palabras claves: Abordaje interhemisférico- contralateral- neuronavegación- cavernoma- cápsula interna
ABSTRACT
Contralateral interhemispheric approach is a variant of the well-know interhemispheric transcallosal approach that allows to optimize the lateral wall ventricle lesions management. Neuronavigation planning allowed us to deal with a caudate nucleus cavernoma contiguous to internal capsule without conventional callosotomy and additional damage neither.
Key words: Interhemispheric approach- contralateral- cavernoma-internal capsule-neuronavigation
INTRODUCCIÓN
El abordaje interhemisférco transcalloso ipsilateral es un abordaje bien conocido que permite el acceso a lesiones ubicadas en los ventrículos laterales, el III ventrículo a través del foramen de Monro (FM) y, por medio de la variante transcoroidea, acceder a la parte media y posterior del III Ventrículo y a lesiones con expresión en la cara ventricular del Tálamo1, 2, 3.
La vía interhemisférica contralateral aumenta las posibilidades de enfrentar lesiones tanto dentro de la prolongación frontal como en la pared lateral del ventrículo desde una posición perpendicular. El reconocimiento de los reparos anatómicos es imprescindible como en cualquier abordaje. Sumar la asistencia de la neuronavegación permite ajustar el ingreso a la cavidad ventricular y acceder directamente a la lesión a tratar evitando dañar estructuras adyacentes al ventrículo, teniendo presente la íntima relación de la CI con el FM 4.
Descripción de la técnica
La paciente de 12 años presentó cefaleas, hemiparesia y pérdida de conciencia aguda que requirió soporte de Asistencia Respiratoria Mecánica durante tres días, dos meses previos a la cirugía. Debido al volcado ventricular se colocó un Drenaje Ventricular al exterior. Luego del episodio agudo la paciente se recuperó sin déficit motor. Mediante Resonancia Magnética por Imágenes (RMI) se diagnosticó un Cavernoma adyacente a la CI y sobre el Núcleo Caudado (NC) (Figura 1 A, B y C). El estudio de la RMI por Tensor de Difusión (Tractografía) expuso que la vía motora izquierda no estaba interrumpida completamente, quizá desplazada hacia lateral respecto de la rodilla de la CI (Figura 2).

Figura 2: Estudio de Tensor de difusión. Nótese la atenuación de la señal del haz motor en el hemisferio izquierdo.
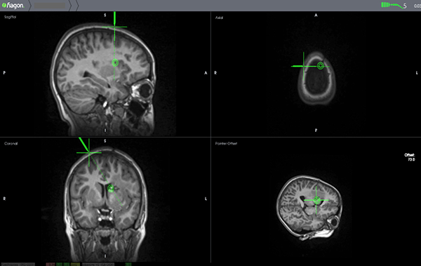
Para el presente caso se incorporaron las imágenes de RMI al equipo de neuronavegación electromagnético provisto de una cánula de aspiración maleable de 3 mm con cursor de navegación “on tip” incorporado (Faigon © origen Alemania). Se trazó la trayectoria marcando como blanco el sitio de aparente irrupción de la sangre en la pared lateral de la prolongación frontal durante el episodio hemorrágico de presentación del Cavernoma (Figura 3).

Figura 3: Planificación de la trayectoria mediante Neuronavegación.
Se utilizó la posición supina con elevación de 40 grados y cabeza rotada con el hemisferio a abordar en posición superior, línea media paralela al piso a fin de permitir que la gravedad desplace inferiormente el hemisferio “sano” ampliando el espacio del corredor interhemisférico3,4, 5, 6,7 (Figura 4). Se realizó incisión bicoronal, la plaqueta ósea y apertura de la duramadre con los mismos reparos y maniobras Ytilizados para un abordaje interhemisférico transcalloso convencional5, 6,7. Anclamos el flap de duramadre al borde de la incisión cutánea. Se continuó con la meticulosa disección de las adherencias del espacio interhemisférico hasta identificar el CC. Sólo utilizamos espátula en el inicio de la disección y posteriormente, para mantener el espacio ganado, colocamos sendos algodones enrollados aplicados en sentido vertical, obteniendo así un adecuado espacio de trabajo. Utilizando el cursor incorporado a la cánula del aspirador se corroboró la trayectoria en distintos momentos de la aproximación al Cavernoma ( Figura 5A) sin tener que retirar algún instrumento (bipolar, disector, cánula de aspiración, etc) e introducir un cursor adicional para dicha comprobación.

Figura 4: Posición quirúrgica. Nótese la elevación del tórax y la rotación cefálica.

Figura 5A : Estadío interhemisférico: Cabeza rotada a derecha. h: Hoz del cerebro. cc: Cuerpo calloso. d: Duramadre reflejada sobre Seno Sagital Superior. a: Algodón colocado separando el hemisferio. c: Cursor incorporado en el aspirador.
El ingreso al ventrículo se realizó entonces en forma rasante al cuerpo calloso y en su contacto con el cíngulo incidiendo, a diferencia de una callosotomía convencional, unas pocas fibras laterales del CC. El área gliótica post sangrado buscada quedó expuesta de frente al foco del microscopio (Figura 5 B ).

Figura 5B:Estadío intraventricular : Cavernoma, la línea de puntos delimita la lesión.
Debido a la posición de trabajo, y a las dimensiones del corredor quirúrgico, suelen producirse sombras ante pequeños cambios de angulación por lo que debe mantenerse el foco del microscopio de manera que la iluminación cubra constantemente el área de trabajo. Otro detalle, debido a la profundidad de la lesión, es considerar la posición del cirujano y la conveniencia de contar con algún soporte para los brazos ya que deberán estar extendidos por largos períodos de tiempo.
La cirugía se basó en la disección en 360 grados limitada a la interfase de la lesión con el tejido cerebral, evitando la coagulación (bipolar de ser necesaria) (Figura 5C). En el presente caso, el Cavernoma se encontraba notablemente adherido al parénquima e incluso detectamos dos vasos que retenían la cápsula y podría corresponder a las variantes citoarquitecturales de los Cavernomas descriptos por Awad y cols8.

Figura 5C: Estadío intraventricular: Cavernoma disecado
DISCUSIÓN
La vía interhemisférica transcallosa es utilizada con frecuencia y sus indicaciones son bien conocidas. En el presente caso, debido a la ubicación de la lesión en íntima relación con la CI y sobre el NC, consideramos que la visión obtenida con la vía interhemisférica transcallosa tradicional sería limitada yllevaría a mayor retracción del hemisferio homolateral. Aun así, la lesión ubicada lateralmente, aproximadamente a medio centímetro de la pared ventricular, quedaría incómoda para manipular desde una posición más vertical.
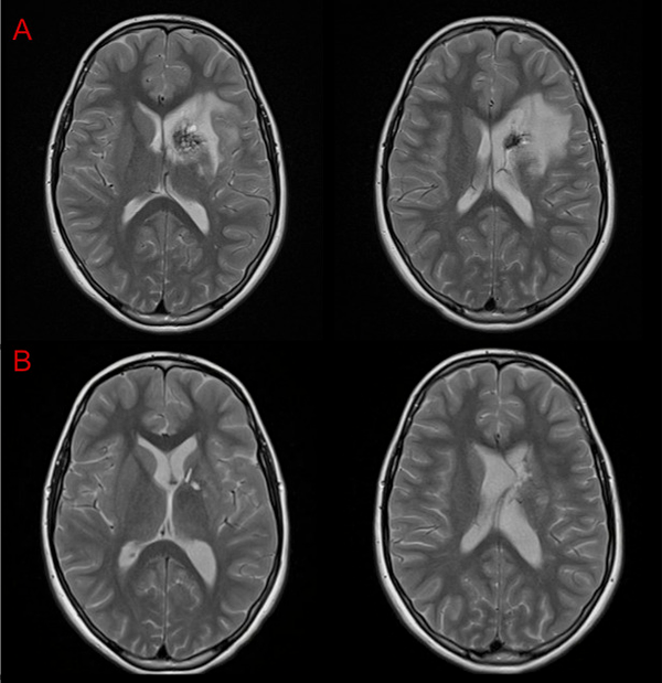
Otra vía considerada fue el abordaje transfrontal mediante el uso de la técnica “tubular”7 o mediante corticotomía; ambas permitirían acceder al Cavernoma en forma directa pero con la posibilidad de no abarcarlo en su totalidad o incidir inadvertidamente las fibras de la CI. Aunque la elocuencia del tejido a nivel frontal es menor y toleraría mejor las maniobras de retracción necesarias, consideramos que ese corredor quirúrgico también sería estrecho. Nos inclinamos por la vía interhemisférica contralateral por considerar que el sangrado previo según se evidencia en la RMI (Figura 6) había delineado una vía de acceso que evitaría realizar una nueva incisión sobre el tejido sano interpuesto.

Figura 6: RMI A- Preoperatoria. B- Control posoperatorio a las 24hs.
En este caso, la posibilidad de dañar la CI en una paciente sin déficit motor al momento de la evaluación preoperatoria aumentó la exigencia para el equipo quirúrgico, por lo que la trayectoria proyectada con el Neuronavegador reforzó el planeamiento anatómico que en ningún caso puede ser suplantado. La ubicación del borde lateral de la lesión, aproximadamente medio centímetro de la pared lateral de la prolongación frontal, hizo más firme la decisión de utilizar la “ventana” producida por la hemorragia previa. Debe tenerse en cuenta que al ingresar al ventrículo la pérdida de LCR puede provocar un desplazamiento de las estructuras y modificar la ubicación del blanco fijado en la neuronavegación. Sin embargo, en nuestro caso, al abrirse una pequeña porción del ventrículo ya nos encontramos posicionados frente al área gliótica marcada como blanco. En esa situación cobra mayor peso el conocimiento de la anatomía de la región y de la disposición arquitectural de la lesión tratada a fin de preservar la función motora (Figura 7).

Figura 7: La paciente a los 3 meses de la cirugía
CONCLUSIÓN
El abordaje interhemisférico contralateral permitió acceder a esta lesión ubicada en la pared lateral a la prolongación frontal del ventrículo lateral y alcanzar el objetivo sin necesidad de interrumpir las fibras del CC de la manera habitual . El uso de una herramienta como la Neuronavegación, con el cursor incorporado en la cánula de aspiración, optimizó el control sobre la trayectoria planeada, evitando lesionar estructuras nobles.
Autorización uso de la imagen precedente

Conflicto de interés: ninguno
Agradecimiento: Al Dr. Maximiliano Nuñez por sus observaciones en la confección del manuscrito y las imágenes anatómicas. A los Dres. Manlio Rodríguez y Sebastián Lescano, del Servicio de Diagnóstico por imágenes del Hospital, por su análisis de las imágenes de RMI y Tractografía
BIBLIOGRAFÍA
1)Transchoroidal approach to the third ventricle: an anatomic study of the choroidal fissure and its clinical application. Wen HT, Rothon AL, De Oliveira E Transchoroidal approach to third ventricle: an anatomical study of the choroidal fissure and its clinical application Neurosurgey1998 Jun;42(6):1205-17
2) Abordaje transcoroideo. Mario S. Jaikin, Eduardo Olivella, Paula Eboli, Pedro Picco. Trabajo libre. Jornadas de Neurocirugia de la SNCPBA 2002
3)Yaşargil MG, Kasdaglis K, Jain KK, Weber HP: Anatomical observations of the subarachnoid cisterns of the brain during surgery. J Neurosurg 44:298-302, 1976
4)Rothon Jr, AL: The lateral and third ventricles. Neurosurgery, Volume 51, Issue spple -4, 1 October 2002, S1-2017, S1-271 https: //doi.org./10.1097/00006123-200210001-00006
5)Baldoncini M, Gonzalez López P, Montero M, Zarco M, Conde A, Rodrigues Sabat W: Abordaje interhemisferico contralateral transfalciano, subfalciano y transcalloso Revista Argentina de Neurocirugía Vol 32, N1: 11-15/ 2018
6) Lawton MT, Golfinos JG, Spetzler RF: The contralateral transcallosal
approach experience with 32 patients. Neurosurgery 39(4):729-735, 1996.
7) Nehls Daniel G., Robert F. Spetzler, et al:Transcallosal Approach to the contralateral Ventricle” Barrow Neurological Institute, Phoenix. J. Neurosurg 62:304-306, 1985.
8)Awad IA, Robinson JR jr, Mohanty S, Estes ML: Mixed vascular malformations of the brain: clinical and pathogenetic considerations Neurosurgery 33: 179:188, 1993
9) Day JD :Transsulcal Parafascicular Surgery Using Brain Path® for Subcortical Lesions Neurosurgery, Volume 64, Issue CN_suppl_1, September 2017, Pages 151–156, https://doi.org/10.1093/neuros/nyx324
COMENTARIO
En este interesante artículo, los autores muestran la utilidad del abordaje transcalloso contralateral. Es el caso de un cavernoma ubicado en el núcleo caudado izquierdo, cuyo sangrado se proyecta hacia la cavidad ventricular (asta frontal izquierda). La vía transcallosa representa una importante herramienta para abordar lesiones con expresión intraventricular, evitando utilizar vías transparenquimatosas que pueden entrañar un riesgo de daño de áreas corticales o tractos de fibras blancas elocuentes. Los reparos anatómicos intraventriculares hacen sencilla la localización de las diversas estructuras expuestas, por ello es indispensable para el neurocirujano general conocer esta región anatómica en detalle, más allá de que se pueda contar con neuronavegación. El ángulo de trabajo sobre el target que resulte más eficiente para el cirujano condicionará la realización de un abordaje ipsi o contralateral.
COMENTARIO
Los autores nos presentan un caso de un cavernoma de ubicación profunda (cabeza de caudado) de resolución compleja, no sólo por su ubicación sino por la íntima relación con estructuras vecinas. La sumatoria del conocimiento y aplicación práctica de la anatomía, el uso de la neuro navegación y la experiencia del equipo tratante permitieron resolver este caso minimizando el daño. La utilización del abordaje contralateral maximizó el uso del corredor interhemisférico y permitió llegar a la lesión con mayor posibilidad de respetar las estructuras circundantes y resecar la lesion. No obstante, es importante resaltar que los límites del cuerpo calloso se extienden más allá de los 2,5 cm de la línea media, por ende, para llegar al ventrículo sus fibras serán interesadas de cualquier manera, pero seguramente en menor medida al utilizar esta variante. Felicitaciones a los autores.
Pablo A. Rubino
Hospital del Cruce