REV ARGENT NEUROC. VOL. 34, N° 3: 233-237 | 2020
REPORTE DE CASO


Hemorragia subaracnoidea posterior a descompresión Lumbar mínimamente invasiva. Presentación de un caso y revisión de la literatura

Nicolas Coombes, Eduardo Galaretto, Norberto Fernandez, Juan Pablo Guyot, Cristian Fuster
Axial Grupo Medico, Ciudad Autónoma de Buenos Aires.


Nicolas Coombes
nicolascoombes@gmail.com
Recibido: Octubre de 2019. Aceptado: Mayo de 2020.


RESUMEN
Introducción: Las lesiones durales son complicaciones frecuentes en la cirugía de columna. La fuga de liquidocefalorraquideo (LCR) puede originar hemorragia en todos los compartimientos del cerebro. La mayoría ocurre en venas ubicadas en región cerebelosa.
Material y método: Se presenta un caso de hemorragia subaracnoidea posterior a una descompresión lumbar mínimamente invasiva asociada a desgarro dural.
Resultados: Evoluciona en el postoperatorio con síntomas neurológicos de cefaleas y trastornos del sensorio por lo que se decide evaluarlo con estudios por imágenes vasculares cerebrales identificándose sangrado subaracnoideo.
Discusión: El sitio más frecuente de hemorragia intracraneal posterior a una cirugía de columna es el cerebelo. El mecanismo de acción de este tipo de sangrados es desconocido y controversial, hay algunos reportes que sugieren que se trataría de un sangrado venoso. El síntoma más característico de este síndrome es la cefalea. Aunque se desconoce la etiología exacta, se postula que la pérdida de volumen de LCR causa una caída en la presión intracraneal, lo que lleva a un agrandamiento de los senos venosos durales que predisponen al paciente a un hematoma subdural espontáneo
Conclusión: La fuga de LCR, las alteraciones asociadas al edema cerebral en la hipotensión cerebral podría ser llave del mecanismo que desencadena una hemorragia subaracnoidea.

Palabras clave: Hemorragia Subaracnoidea; Cirugía Mínimamente Invasiva Lumbar; Lesión Dural

ABSTRACT
Introduction: Dural tears are frequent complications in spine surgery. Cerebrospinal fluid leaking (CSF) can cause bleeding in all compartments of the brain. Most occur in veins located in the cerebellar region.
Material and method: A case of subarachnoid hemorrhage after a minimally invasive lumbar decompression associated with dural tear is presented.
Results: It evolves in the postoperative period with neurological symptoms of headaches and sensory disorders, so it is decided to evaluate it with studies by cerebral vascular images identifying subarachnoid bleeding.
Discussion: The most frequent site of intracranial hemorrhage after spinal surgery is the cerebellum. The mechanism of action of this type of bleeding is unknown and controversial, there are some reports that suggest that it would be a venous bleeding. The most characteristic symptom of this syndrome is headache. Although the exact etiology is unknown, it is postulated that the loss of CSF volume causes a drop in intracranial pressure, which leads to an enlargement of the dural venous sinuses that predispose the patient to a spontaneous subdural hematoma
Conclusion: CSF leakage, alterations associated with cerebral edema in cerebral hypotension could be key to the mechanism that triggers a subarachnoid hemorrhage.

Key words: Subarachnoid Hemorrhage; CSF Leakage; Lumbar Minimally Invasive Surgery


INTRODUCCIÓN
Las lesiones durales forman parte de las complicaciones en la cirugía de columna.2,3 La fuga de líquido cefaloraquídeo por una brecha dural no advertida o producto de una fístula pueden ocasionar hemorragia en todos los compartimientos del cerebro.3,6 La mayoría de las hemorragias reportadas provienen de las venas ubicadas en la región cerebelosa.1,2,5
Se presenta un caso de hemorragia subaracnoidea posterior a una cirugía de columna mínimamente invasiva con una lesión dural asociada y evaluar sus posibles mecanismos de acción.

REPORTE DEL CASO
Se presenta el caso de un hombre de 72 años con antecedentes clínicos de hipertensión arterial tratado de manera crónica con antihipertensivos, antecedente de trombosis venosa profunda de miembro inferior derecho en tratamiento con antiagregantes plaquetarios (enoxaparina 40 mg-día). Síntomas de claudicación neurogénica en miembros inferiores y dolor radicular L4 y L5 bilateral, con respuesta parcial al tratamiento conservador y a los bloqueos espinales. Motivo por el cual se decide realizar una descompresión lumbar con técnica mínimamente invasiva de 2 niveles L3-L4/ L4-L5 bilateral.
Por imágenes de resonancia magnética se evidenciaba estenosis de canal lumbar, discopatía degenerativa multinivel y espondilolistesis L4/L5.
El paciente fue sometido a una descompresión lumbar con sistema de retractores tubulares con asistencia microscópica. Durante el procedimiento quirúrgico se produjo un desgarro dural a nivel de la espondilolistesis, el cual se reparó con parche de grasa y sistema adhesivo de fibrina. Se realizó cierre hermético de herida, se indicó reposo por 48 hs con cabecera a cero grados. Con buena evolución del cuadro con el alta sanatorial al segundo día postoperatorio.
A las 72 hs posteriores al alta refiere empezar con síntomas neurológicos en ambos miembros inferiores no deficitarios, asociado a entumecimiento en ambos miembros inferiores y dolor lumbar invalidante con regular estado general, afebril.
Se decidió internación para valoración clínica y por imágenes. Por resonancia se evidenció colección de LCR en el sitio de la reparación dural (fig. 1).


Figura 1


Se decidió re explorar la herida con abordaje MIIS mediante la cual se coloca un parche dural. Se indica el alta 48 hs de postoperatorio con buena evolución clínica asintomático.
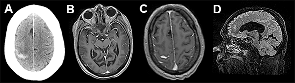
A las 72 hs de la segunda intervención comienza con cefaleas intensas, náuseas, trastorno del sensorio por lo cual se realiza nueva internación, evidenciando mediante TAC sangrado subaracnoideo (fig. 2).
El paciente ingresa en unidad de cuidados intensivos para manejo clínico y es dado de alta en condiciones favorables al 7mo día de internación.


Figura 2

DISCUSIÓN
El primer reporte de esta complicación fue reportado por Chadduck posterior a una laminectomía cervical.1 El sitio más frecuente de hemorragia intracraneal posterior a cirugía de columna es el cerebelo.7,16 El mecanismo de acción de este tipo de sangrados es desconocido y controversial, hay algunos reportes que sugieren que se trataría de un sangrado venoso.7,13,16

La hipotensión intracraneal es una consecuencia bien conocida de los procedimientos que reducen el volumen y la presión del LCR, como la punción lumbar, la anestesia espinal, la mielografía, la craneotomía y las derivaciones ventriculares.3,7,12,13,16 El síntoma más característico de este síndrome es la cefalea,(5) tal dolor de cabeza suele aparecer de 24 a 48 horas después de la punción dural, empeora al pararse, se alivia en posición supina y tiende a ser bilateral en las regiones frontal y occipital.5,8 Se piensa que estos dolores de cabeza ocurren cuando se eliminan volúmenes excesivos de LCR (aprox. 250 ml / día).12
Algunas series han reportado hematomas subdurales en el 10% de todos los casos de hipotensión intracraneal, independientemente de la causa.3 Aunque se desconoce la etiología exacta, se postula que la pérdida de volumen de LCR causa una caída en la presión intracraneal, lo que lleva a un agrandamiento de los senos venosos durales que predisponen al paciente a un hematoma subdural espontáneo.13
Además de los hematomas subdurales intracraneales, la hemorragia subaracnoidea y los hematomas subdurales espinales también se han descrito como resultado de la hipertensión intracraneal.10
La hemorragia subaracnoidea posterior a una cirugía de columna es una complicación extremadamente rara, la aparición de infartos hemorrágicos es menos común que los infartos isquémicos, representando solo un 15% de todos los infartos en total con una tasa de mortalidad de alrededor del 40%.12
El descenso del cerebro asociado a una perdida masiva de LCR con hipotensión craneal puede causar la oclusión de múltiples venas puentes infra y supratentoriales, esto explicaría la presencia de focos hemorrágicos múltiples cerebrales.4,9,15
No existe un mecanismo fisiopatológico claro que pueda explicar con exactitud la causa de esta complicación podría formar parte de un mecanismo complejo asociado al mecanismo propuesto para las hemorragias intraparenquimatosas la cual podría ayudar a explicar el mecanismo de acción.
Dado que es una complicación que se presenta en personas mayores se podría considerar como un factor de vulnerabilidad más si se asocian a una historia de hipertensión crónica subyacente.

CONCLUSIÓN
La fuga de LCR, las alteraciones asociadas al edema cerebral en la hipotensión cerebral podría ser llave del mecanismo que desencadena una hemorragia subaracnoidea. Estar presente con síntomas clínicos de sangrado subaracnoideo con estudios vasculares normales (Angio TAC y TC).
Aunque se trata de una complicación extremadamente rara debería tenerse en cuenta en aquellos pacientes que manifiesten deterioro neurológico posterior a una cirugía de columna asociado a una lesión dural con pérdida de LCR y que tengan historial de hipertensión arterial crónica.


BIBLIOGRAFÍA

  1. W. M. Chadduck, “Cerebellar hemorrhage complicating cervi- cal laminectomy,” Neurosurgery, vol. 9, no. 2, pp. 185–189, 1981.
  2. Camissa FP, Girardi FP, Sangani PK et al (2000) Incidental durotomy in spine surgery. Spine 25(20):2663–2667.
  3. Eismont FJ, Wiesel SW, Rothman RH. Treatment of dural tears associated with spinal surgery. J Bone Joint Surg Am 1981;63:1132– 6.
  4. Garcia-Morales I, Porta-Etessam J, Galan L, et al. Recurrent subdural haema- tomas in a patient with spontaneous intracranial hypotension. Cephalalgia 2001; 21:703–5.
  5. Haller, G. Calvert, W. Spiker, D. Brodke, and B. Lawrence, “Remote cerebellar hemorrhage after revision lumbar spine surgery,” Global Spine Journal, vol. 5, no. 6, pp. 535–537, 2015.
  6. Jones AA, Stambough JL, Balderston RA, et al. Long-term results of lumbar spine surgery complicated by unintended incidental durotomy. Spine 1989; 14:443– 6.
  7. O. Karaeminogullari, B. Atalay, O. Sahin et al., “Remote cere- bellar hemorrhage after a spinal surgery complicated by dural tear: case report and literature review,” Neurosurgery, vol. 57, supplement 1, article no. E215, 2005.
  8. D. Mozaffarian, E. J. Benjamin, A. S. Go et al., “Heart disease and stroke statistics—2015 update: a report from the American Heart Association,” Circulation, vol. 131, no. 4, pp. e29–322, 2015.
  9. Reina MA, Alvarez-Linera J, Lopez A, et al. Magnetic resonance in dural post-puncture headache in patient with cerebrospinal fluid hypotension. Rev Esp Anestesiol Reanim 2002; 49:89–100.
  10. M. Suzuki, T. Kobayashi, N. Miyakoshi, E. Abe, T. Abe, and Y. Shimada, “Remote cerebellar hemorrhage following thoracic spinal surgery of an intradural extramedullary tumor: a case report,” Journal of Medical Case Reports, vol. 9, article no. 68, 2015.
  11. Y. Takahashi, K. Nishida, K. Ogawaetal. Multipleintracranial hemorrhages after cervical spinal surgery, Neurologia Medico- Chirurgica, vol. 52, no. 9, pp. 643–645, 2012.
  12. S. B. Thomas Truelsen and C. Mathers, “The global burden of cerebrovascular disease,” Global Burden of Disease, vol. 21, no. 8, pp. 1–60, 2000.
  13. M. T. Toczek, M. J. Morrell, G. A. Silverberg, and G. M. Lowe, “Cerebellar hemorrhage complicating temporal lobec- tomy: report of four cases,” Journal of Neurosurgery, vol. 85, no. 4, pp. 718–722, 1996.
  14. C.-T. Wang, E. Chuang, D.-J. Yen, T.-Y. Chuang, C.-H. Muo, and C.-H. Kao, “First-ever stroke following hip replacement surgeries: a large population-based survey,” European Journal of Clinical Investigation, vol. 46, no. 11, pp. 931–939, 2016.
  15. J. B. Wells and I. H. Sampson, “Subarachnoid hemorrhage presenting as post-dural puncture headache: a case report,” Mount Sinai Journal of Medicine, vol. 69, no. 1-2, pp. 109–110, 2002.
  16. B. Yilmaz, S. I ̧sik, M. S. Ek ̧si et al., “Multiple hemorrhages in brain after spine surgery supra- and infra-tentorial components together,” Journal of Craniovertebral Junction and Spine, vol. 6, no. 4, pp. 223–226, 2015.

COMENTARIO
Los autores describen una complicación infrecuente de la cirugía espinal, relacionada con la hipotensión del LCR derivada de una fístula lumbar.
La hemorragia subaracnoidea remota asociada a patología espinal es rara, pero quizás subdiagnosticada.
Si estudiáramos a todos los pacientes que refieren cefalea postoperatoria o vómitos en contexto de fístulas lumbares, la incidencia, seguramente sería mayor.
Las teorías del desgarro y colapso de venas son descriptas en la literatura como causales. Es probable también, que las náuseas y vómitos asociados a la hipotensión del LCR y su consecuente maniobra de Valsalva, puedan ser otra de las causas asociadas a la génesis de los sangrados.
Enfatizaría la condición de “paciente anticoagulado”, ya que, a pesar de la suspensión preoperatoria del anticoagulante, tienen mas riesgos de hemorragias.
Felicito a los autores por reportar una patología poco frecuente, pero que debe ser tenida en cuenta por el Cirujano de Columna, ya que sospecharla, permite su diagnóstico precoz, que evita consecuencias potencialmente fatales.

Carlos Zanardi
Instituto Neurocirugía y Columna Junín. Buenos Aires, Argentina.

BIBLIOGRAFÍA

  1. Repeated Valsalva maneuvers promote symptomatic manifestations of cerebral microhemorrhages: implications for the pathogenesis of vascular cognitive impairment in older adults GeroScience, 2018, Volume 40, Number 5-6, Page 485 Zoltan Ungvari, Andriy Yabluchanskiy, Stefano Tarantin.
  2. Luque LL, Sainz A, Seclen D, Erice S, Gobbi E, Vilariño A. Hemorragia cerebelosa remota después de cirugía de columna lumbar: reporte de caso. Rev Argen Neuroc 2019;33(2):100-106.

COMENTARIO
En el presente trabajo, los autores reportan un evento hemorrágico cerebral como complicación de una fistula de líquido cefalorraquídeo (LCR) asociada a una cirugía espinal lumbar mini invasiva. Dicho evento se desencadenó 72 hs luego de la reparación de la fístula de LCR, presentándose como una hemorragia subaracnoidea de la convexidad cerebral. Esta complicación ha sido descrita por numerosos grupos,1-5 siendo la localización mas frecuente el cerebelo. Si bien las imágenes de tomografía y resonancia magnética nuclear evidencian la presencia de hemorragia subaracnoidea en el surco central derecho, llama la atención la asimetría de surcos con hipodensidad en el área premotora derecha, similar a los hallazgos asociados con una trombosis venosa. Más aún, considerando que el paciente tiene antecedentes de trombosis venosa profunda e ingresa a las 72 horas por trastornos del sensorio (difícilmente explicables sólo por una hemorragia subaracnoidea de la convexidad), no podemos descartar con las imágenes brindadas la presencia de trombosis venosa, complicación también descripta como consecuencia de una perdida de LCR.6-9 Si bien ambas complicaciones son de muy baja ocurrencia, es importante reconocer su existencia a la hora de evaluar un postoperatorio de cirugía espinal complicado con fistula de LCR en pacientes añosos.
Reconocer y publicar complicaciones postquirúrgicas continúa siendo un ejercicio esquivo. A diferencia de otras latitudes, el reporte de complicaciones asociadas a cirugía craneal o espinal sigue siendo escaso. Por lo anteriormente expuesto, felicitamos a los autores por esta contribución, la cual viene a sumar experiencia a nuestra comunidad toda. Es nuestro anhelo que los diversos grupos de cirujanos craneales y espinales continúen publicando evoluciones adversas, con el fin de enriquecer nuestro conocimiento y el de futuras generaciones.

Ignacio J. Barrenechea
Hospital Privado de Rosario. Rosario, Santa Fé, Argentina.

BIBLIOGRAFÍA

  1. Numaguchi D, Wada K, Yui M, Tamaki R, Okazaki K. Incidence of Remote Cerebellar Hemorrhage in Patients with a Dural Tear during Spinal Surgery: A Retrospective Observational Analysis. Spine Surg Relat Res. 2018;3(2):141‐145. Published 2018 Aug 25.
  2. Friedman JA, Ecker RD, Piepgras DG, et al. Remote cerebellar hemorrhage after spinal surgery: report of two cases and literature review. Neurosurgery. 2002;50(6):1361-4.
  3. Farag E, Abdou A, Riad I, Borsellino SR, Schubert A. Cerebellar hemorrhage caused by cerebrospinal fluid leak after spine surgery. Anesth Analg. 2005;100(2):545‐546.
  4. Enel D, Blamoutier A, Bacon P, Gentili ME. Spine surgery associated with fatal cerebellar haemorrhage. Eur J Anaesthesiol. 2009;26(10):891‐892.
  5. Graffeo CS, Perry A, Wijdicks EF. Subarachnoid Hemorrhage and Spinal Subdural Hematoma Due to Acute CSF Hypotension. Neurocrit Care. 2017;26(1):109‐114.
  6. Miglis MG, Levine DN. Intracranial venous thrombosis after placement of a lumbar drain. Neurocrit Care. 2010;12(1):83‐87. doi:10.1007/s12028-009-9278-9
  7. Lourenço Costa B, Shamasna M, Nunes J, Magalhães F, Peliz AJ. Cerebral venous thrombosis: an unexpected complication from spinal surgery. Eur Spine J. 2014;23 Suppl 2:253‐256.
  8. Sinnaeve L, Vanopdenbosch L, Paemeleire K. Association of Cerebral Venous Thrombosis and Intracranial Hypotension: Review of 3 Cases. J Stroke Cerebrovasc Dis. 2017;26(8):e165‐e169.
  9. Lourenço Costa B, Shamasna M, Nunes J, Magalhães F, Peliz AJ. Cerebral venous thrombosis: an unexpected complication from spinal surgery. Eur Spine J. 2014;23 Suppl 2:253‐256.

COMENTARIO
En este artículo los autores describen una rara complicación en cirugía espinal y realizan una detallada revisión de dicho tema. Es una hemorragia subaracnoidea asociada a una durotomía involuntaria en un recalibrado lumbar por técnica mínimamente invasiva.
Las hemorragias remotas o a distancia del sistema nervioso central luego de una cirugía espinal se pueden presentar como subaracnoideas, subdurales, epidurales o intraparenquimatosas, a nivel intracraneal supratentorial, infratentorial o raquídeo. En casi todos los casos reportados se asocian con apertura dural, voluntaria o involuntaria. De manera que la mayoría de los autores, al igual que los de este artículo, proponen a la disminución de la presión intracraneana por pérdida de LCR como el factor fundamental en el mecanismo involucrado en esta patología.
Interpreto como acertada la recomendación de los autores, de tener en cuenta este diagnóstico diferencial en pacientes que luego de una cirugía espinal con durotomía involuntaria presentan deterioro neurológico.

Pablo Gustavo Jalón
Hospital de Clínicas “José de San Martín”. C.A.B.A., Argentina.