Abordajes quirúrgicos de meningiomas petroclivales parte 1: anatomía microquirúrgica
Gustavo Rassier Isolan(1,2,3), Sâmia Yasin Wayhs(1), Ricardo Lopes de Araújo(1,2), Paulo Henrique Pires de Aguiar (5), Jorge Armando Reyes Pinto (1,2) , Victor Matheus Olaves Marques(1,2)
1.Centro Avançado de Neurologia e Neurocirurgia (CEANNE Brazil), Brasil. 2.Centro de Neurotologia e Neurinoma do Acústico (CNNA). Porto Alegre, Brasil. 3.Faculdade Evangélica de Medicina Mackenzie do Paraná 4.Clínica Lavinsky. Porto Alegre, Brasil. 5.Pontifícia Universidade Católica de Sorocaba - Sorocaba, Brazil
Gustavo Isolan
drgustavoisolan@gmail.com
INTRODUCCIÓN
La resección quirúrgica de los meningiomas petroclivales es un desafío debido a su profundidad y relación con las estructuras neurovasculares vitales y el tronco encefálico. Suelen ser lesiones benignas, pero pueden afectar o infiltrar el clivus, la duramadre, el tronco encefálico y las estructuras neurovasculares adyacentes. (1-29)
Los meningiomas constituyen del 20 al 25% de los tumores intracraneales y el 10% se refiere a la fosa posterior. De estos últimos, del 5 al 11% afectan la región petroclival, lo que corresponde al 0,15% de todos los tumores intracraneales.2,20
Aunque la historia natural de los meningiomas petroclivales tiene un curso de evolución lenta, la incidencia de déficits de los nervios craneales y el grado de resección tumoral varían ampliamente en la literatura. Esto refleja las diferentes filosofías terapéuticas que a menudo incluyen la planificación de la resección subtotal. Esto es útil para el componente intracavernoso en meningiomas esfenopetroclivales, especialmente después del advenimiento de la radiocirugía.30-37 En este contexto, hay varias posibilidades de manejo para estos pacientes. Anteriormente se realizaron algunas revisiones sobre el tema,1,23,24 pero los datos permanecen fragmentados y se basan en estudios retrospectivos de series de casos, lo que dificulta la realización de metaanálisis, especialmente con respecto a la elección del abordaje quirúrgico.
La cirugía sigue siendo el mejor tratamiento para los meningiomas petroclivales. El objetivo del tratamiento es buscar una resección total sin agregar déficits al paciente. Conocer en profundidad la anatomía microquirúrgica de los accesos a los meningiomas petroclivales es el paso inicial hacia un tratamiento exitoso. El objetivo de este estudio es presentar los resultados de disecciones anatómicas de los accesos quirúrgicos a los meningiomas petroclivales.
Parte de las disecciones se realizaron en el Microsurgical Laboratory Diane and Gazi Yaşargil Education Center - University of Arkansas for Medical Sciences durante un período de 16 meses.
Se disecaron ocho cabezas de cadáveres utilizando un microscopio quirúrgico con un aumento de 3X a 40X. En los cerebros y en todas las cabezas se inyectó silicona de color para resaltar la diferencia entre las arterias y las venas. Los cadáveres se colocaron en un fijador de cráneo tipo Mayfield, con la cabeza extendida y girada, simulando el posicionamiento quirúrgico de los abordajes cráneo orbito-cigomático, petrosectomía anterior, posterior y retrosigmoideo.
RESULTADOS
Se utilizan tres abordajes quirúrgicos principales en el manejo de los meningiomas petroclivales: abordaje pterional y sus variantes fronto-orbito-cigomático y pre- temporal, abordaje petroso y sus variantes petrosectomía posterior, anterior o total - “double petrosal approach”, y abordaje retrosigmoideo que se pueden combinar.1,28,29,38-48 Aunque los abordajes endoscópicos endonasales extendidos han evolucionado para controlar algunos meningiomas de la base del cráneo, especialmente los meningiomas de línea media del borde anterior del agujero magno, la posición del nervio abducente en el clivus, la consistencia endurecida de la mayoría de los meningiomas y, en menor medida, la extensión lateral de estos tumores en la fosa posterior, son factores limitantes para este procedimiento cuando se busca la resección máxima con baja o nula morbilidad.(41,29) El organigrama de decisión sobre cuál abordaje elegir puede consultarse en un estudio anterior.(28) Para racionalizar la elección del abordaje dividimos el clivus en tres tercios: tercio superior (del proceso clinoideo posterior al conducto trigeminal), tercio medio (del conducto trigeminal agujero yugular) y el tercio inferior, debajo del agujero yugular y correspondiente al borde anterior del agujero magno

Figura 1: Al decidir el abordaje del clivus podemos dividir el clivus superior (S) (entre el proceso clinoideo posterior y la entrada del nervio trigémino), el clivus medio (M) (entre la entrada del nervio trigémino y el agujero yugular) y el clivus inferior (I) (debajo del agujero yugular). 1. nervio trigémino, 2. complejo vestíbulo coclear con arteria cerebelosa anteroinferior (AICA) 3. nervio abducens, 4. arteria cerebelosa superior 5. arteria cerebelosa postero inferior (PICA), arteria basilar (BA) y arteria vertebral (VA).
Otro factor que se tiene en cuenta es la existencia de una extensión en la fosa media que puede estar dentro del seno cavernoso, en la pared lateral del seno cavernoso, o en ambos.
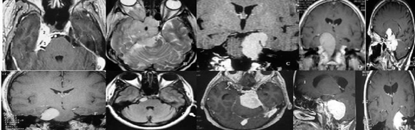
Figura 2: El estudio de la posición del tumor en el clivus, y la extensión o no de éste en la fosa media, sirve para decidir el abordaje. Para los tumores con un componente solo en el clivus superior, se utilizó un abordaje pterional pretemporal, abriendo la muesca de la carpa y eliminando el tumor del clivus superior que estaba comprimiendo el nervio trigémino y causando neuropatía (A). Para este meningioma esfenopetroclvial anaplásico se utilizó el abordaje craneo-órbito-cigomático con petrosectomía anterior con extirpación tumoral. El paciente se sometió previamente a cirugía con ojo congelado (frozen eye) (B). El abordaje petroso posterior (pre-sigmoide supra / infratentorial) se usa para meningiomas petroclivales con extensión tumoral en la fosa media (C, D, E). Para los meningiomas petroclivales localizados completamente en la fosa posterior, el abordaje retrosigmoideo es suficiente independientemente del tamaño del tumor (F, G, H, I, J).
Acceso pterional y variantes
La craneotomía fronto-temporo-esfenoidal - pterional - descrita por Yasargil, en 1975,49 promueve la exposición del opérculo frontoparietal, la apertura de la fisura silviana y las cisternas anteriores en la base del cerebro. El paciente es colocado en decúbito dorsal con los hombros en el borde de la mesa de operaciones en posición neutral, y la cabeza y el cuello suspendidos después de retirar el soporte de cabeza. La cabeza es fijada en el cabezal de Mayfield y es mantenida por encima del nivel del atrio derecho para facilitar el retorno venoso. Las patologías en la región del seno cavernoso requieren una pequeña desviación y una mayor rotación de la cabeza, dejando el borde orbitario en el plano superior. La tricotomía debe realizarse hasta 2 cm distalmente de la región de la incisión quirúrgica, inmediatamente antes de la cirugía, permitiendo una mejor fijación de los campos, una reducción del riesgo de infección y una mejor fijación del apósito después del final del procedimiento. La incisión sigue una trayectoria arciforme desde el borde superior del arco cigomático inmediatamente anterior al trago, extendiéndose hasta la línea media del cráneo en la región frontal, respetando los límites de la implantación del cabello. La ubicación de la marca antes del trago no debe ser muy anterior para evitar cualquier sección de la arteria temporal superficial y del ramo frontal del nervio facial, que es anterior a esta arteria.(50) Después se realiza la disección interfascial de Yasargil, la sección y el desplazamiento del músculo temporal, y la craneotomía pterional para exponer el giro frontal inferior, parte del giro frontal medio, giro temporal superior y parte superior del giro temporal medio. Esto permite la separación microquirúrgica de los giros frontal inferior y temporal superior sin que haya compresión de ellos contra la cresta ósea. La trepanación se realiza en tres ubicaciones: la primera entre la línea temporal superior y la sutura fronto-cigomática del proceso orbital externo; la segunda sobre la porción más posterior de la línea temporal superior; y la tercera debe hacerse sobre la porción más inferior de la parte escamosa del hueso temporal, con drenaje del ala pequeña del esfenoides, internamente entre la primera y la tercera trepanación. La apertura dural toma la forma de una C, con una concavidad libre que mira hacia el techo orbital para la base esfenoidal ya driladas.51
Figura 3: El abordaje pterional sin osteotomía cigomática o de la órbita es suficiente para tumores pequeños que se extienden hacia el clivus superior y que no se desee acercar al seno cavernoso. La disección subfascial o interfascial se usa para preservar la rama fronto-orbital del nervio facial (A), el músculo temporal se refleja inferiormente con el periostio adherido a él para evitar daños a la vascularización del músculo por las arterias temporales profundas (B). La craneotomía expone la base del lóbulo frontal y el lóbulo temporal (C). La osteotomía de la órbita se puede realizar como una pieza ósea separada (abordaje cráneo-orbital) cuando se pretende alcanzar un componente tumoral en la fosa interpeduncular o cuando hay un tumor que invade la órbita (D).
Figura 4: El abordaje pretemporal es una variante del abordaje pterional y es útil para abordar la parte del tumor ubicada en el espacio incisural medio, dando acceso a las cisternas crural y ambiens. El lóbulo temporal se desplaza posteriormente después de una gran disección de la fisura silviana (A). Podemos dividir la incisura de la tienda en espacios incisurales anterior (relacionado con la cisterna crural), medio (relacionado con cisternas crural y ambiens) y posterior (relacionado con la cisterna cuadrigeminal) (B). Los nervios oculomotor y troclear se pueden abordar y la muesca de la tienda se abre cuando es necesario (C). 1. Nervio óptico, 2. arteria carótida interna, 3. duramadre de la fosa media, 4. arteria comunicante posterior, 5. arteria cerebral anterior, 6. nervio oculomotor, 7. arteria cerebral posterior, 8. arteria cerebelosa superior, 9. arteria cerebral media.
Figura 5: Abordaje cráneo-orbito-cigomático. La incisión se realiza 1 cm por debajo del trago y se extiende superiormente terminando en la línea temporal superior del lado contralateral (marco más pequeño en A). Disección subfascial (A). Se gana aproximadamente 1 cm de base temporal cuando refleja el músculo temporal inferiormente después de la cigomaticotomía (B). El agujero clave se realiza justo detrás de la sutura fronto-cigomática y expone la periórbita en su mitad anterior y la duramadre de la fosa anterior en su mitad posterior (C), ambos divididos por el techo de la órbita (2). La parte anterior del techo de la órbita se elimina junto con la craneotomía (D). La parte posterior del techo de la órbita se retira en una parte separada (D) y se usa para la reconstrucción (E). El pelar de la fosa media puede comenzar de anterior a posterior, exponiendo la pared lateral del seno cavernoso (F). 3. arteria meníngea media, 4. peri-órbita, 5. parte posterior del techo de la órbita, 6. seno cavernoso.
El abordaje pterional se puede usar en meningiomas esfenopetroclivales para la resección parcial del componente epidural de la fosa media, en un tiempo quirúrgico distinto de la parte clival (cuando generalmente se usa el abordaje suboccipital). Esta conducta más conservadora puede ser una alternativa al abordaje petroso, que proporciona la remoción de los componentes de las fosas posterior y media en un solo procedimiento quirúrgico. Sin embargo, para llegar al tentorio utilizando el abordaje pterional, el área de trabajo suele ser estrecha, la profundidad es considerable y la visibilidad está restringida.11 En estos casos, se utiliza el abordaje de cráneo-órbito- cigomático.
Figura 6: La petrosectomía anterior consiste en el drenaje del ápex petroso después de realizar el peeling fosa media. Es útil para meningiomas petroclivales de clivus superior y con extensión en la fosa media. La primera es el peeling de la fosa media. En esta imagen, se realizó un peeling comenzando de anterior a posterior, separando las dos capas de duramadre de la pared lateral del seno cavernoso (A). El canal auditivo interno se drena y delimita el límite posterior de la petrosectomía anterior. Otra opción es drenar el ápex del petroso abajo del nervio trigémino y continuar drenando posteriormente hasta encontrar la duramadre del meato acústico interno (B). Los límites de la petrosectomía anterior son el ganglio de gasser anteriormente, el seno petroso superior medialmente, el nervio petroso superficial mayor lateralmente y el canal auditivo interno posteriormente. La cóclea se encuentra en la esquina entre el meato acústico interno y el nervio petroso supercial mayor y debe preservarse (C). La duramadre del tentorio y de la fosa posterior se abre como se muestra en la figura (D). Las estructuras neurovasculares de las cisternas ambiens y crural, así como el clivus superior, están ampliamente expuestos (E y F). 1. ganglio de Gasser, 2. arteria meníngea media, 3. duramadre del canal auditivo interno, 4. seno petroso superior, 5. duramadre de la fosa posterior, 6. cóclea, 7. nervio petroso supericial mayor, 8. segmento petroso de la arteria carótida interna, 10. nervio troclear, 11. nervio oculomotor.
Figura 7: Vista general de la fosa media derecha después de una disección avanzada de estructuras óseas y nerviosas. Se retiró el ganglio de gasser para una mejor visualización del ligamento petro-lingual y la transición entre el segmento petroso y cavernoso de la arteria carótida interna. El límite posterior de la petrosectomía anterior es el segmento petroso de la arteria carótida interna (A). Vista aproximada de los límites disecados de la petrosectomía anterior (B). 1. ápex petroso, 2. porción intrapetrosa de la arteria carótida interna, 3. ligamento petrolingual, 4. V3, 5, V2, 6. cabeza superior del músculo pterigoideo lateral, 7. cápsula óptica con canales semicirculares, 8. canal auditivo interno, 9. periórbita, 10. canal semicircular superior, 11. canal semicircular posterior, 12. canal semicircular lateral, 13. seno petroso superior, 14. cóclea, 15. ganglio geniculado, 16. nervio petroso superficial principal, 17. músculo tensor timpánico, 18. membrana timpánica y martillo, 19. yunque, 20. arteria meníngea media.
Una variante del abordaje pterional es el abordaje pretemporal (figura 4), en el cual el lóbulo temporal se retrae posteriormente después de una disección extensa de la cisura de Silvio. Este abordaje amplía las vistas proporcionadas por el abordaje pterional clásico, ya que expone la cisterna ambiens, crural e interpeduncular adecuadamente, así como el espacio incisural anterior y medio, en el cual el tentorio se puede seccionar para alcanzar la fosa posterior (figura 2B).
El acceso fronto-órbito-cigomático se usa para tumores petroclivales con mayor extensión en la fosa media y que involucran el seno cavernoso.(48) Este abordaje es especialmente útil cuando se necesita un amplio acceso a la órbita, al seno cavernoso, a la fosa interpeduncular y a la parte superior del clivus (figura 2B). La amplia exposición de la fosa media y el control adecuado de la arteria carótida interna son ventajas; sin embargo, este abordaje no produce una buena exposición del tumor en la porción clival debajo del conducto auditivo interno ni debajo de los nervios craneales VII y VIII, incluso con la apertura del tentorio. El abordaje cráneo-órbito- cigomático se puede realizar en 2 o 3 piezas (figura 5).(48)
Los abordajes petrosos son supra / infratentorial pre-sigmoideo (también conocido como petrosectomía posterior), que puede ser retrolaberíntico o translaberíntico (este último si el paciente no tiene audición), petrosectomía anterior y petrosectomía total, también conocido como double petrosal approach. Estos abordajes se utilizan cuando la lesión se encuentra en los tercios superior y medio del clivus con o sin extensión a la fosa media. Se debe solicitar audiometría para todos los pacientes con meningioma petroclival. Si el paciente tiene una buena audición previa, se prefiere el acceso pre-sigmoideo retrolaberíntico. Cuando no hay audición es posible extirpar los canales semicirculares, y este abordaje se llama pre-sigmoideo translaberíntico. Para los tumores ubicados en la región superior del clivus (que no se extienden por debajo del conducto auditivo externo) y con o sin extensión a la fosa media, se puede optar por la petrosectomía anterior (generalmente con craneotomía fronto-órbito- cigomática). Para los tumores gigantes que cruzan la línea media en la región prepontina es necesario un abordaje más lateral y extenso, a través de la petrosectomía total. Los abordajes petrosos no dan acceso al tercio inferior del clivus, especialmente si el bulbo yugular está alto. En estos casos, la duramadre de la fosa posterior debe abrirse mediante un abordaje retrosigmoideo y, en algunos casos, un abordaje transcondilar.
En el abordaje petroso posterior (supra- infratentorial pre-sigmoideo) el paciente se coloca en posición supina, con la cabeza girada hacia el lado opuesto. La incisión en la piel se realiza en forma semicircular desde la región temporal, cuatro centímetros por encima del arco cigomático, pasando tres centímetros detrás de la oreja, extendiéndose dos centímetros detrás de la punta del mastoides. Para evitar la pérdida postoperatoria del líquido cefalorraquídeo se utiliza la reconstrucción de la base del cráneo con la fascia muscular temporal que se secciona y se diseca con el periostio del mastoides, con la fascia craneocervical y el músculo esternocleidomastoideo, que se separa de su inserción, formando un gran colgajo vascularizado que se gira hacia atrás al final de la cirugía para cubrir todo el campo quirúrgico.Figura 8: Colgajo de fascia temporoparietal para cierre mastoideo.
La corteza mastoidea se extrae para la reconstrucción posterior y se procede al drilaje con la exposición de la duramadre pre-sigmoidea de la fosa posterior (Triángulo de Trautmann), del tegmen mastoideo y el tegmen tympani (duramadre de la fosa media)
Figura 9: Abordaje petroso posterior o presigmoideo supra/infratentorial. Incisión en C extendida a la región cervical (A). El canal auditivo externo, aunque seccionado en esta imagen, no se debe seccionar durante la cirugía (B). El drenage de la corteza de la parte mastoidea del hueso temporal es el primer paso del abordaje (C). El seno sigmoideo y la duramadre pre-sigmoidea (triángulo de trautman) están expuestos. No es necesario esqueletizar el nervio facial o individualizar los canales semicirculares como se muestra en esta disección (D). La duramadre de la fosa posterior y media está expuesta (E). Exposición del corredor obtenida después de la coagulación del seno petroso superior y la incisión desde el tentorio hasta la cisterna ambiens, exponiendo las fosas posterior y media en el mismo abordaje. 1. cartílago y piel del canal auditivo externo seccionado, 2. corticectomía de la cavidad mastoidea, 3. seno sigmoideo, 4. duramadre pre-sigmoidea (triángulo de trautmann), 5. canales semicirculares, 6. nervio facial (parte mastoidea), 7. bulbo yugular, 8. seno transverso, 9. duramadre de la fosa posterior, 10. vena de Labbé, 11. nervios craneales bajos, 12. nervio facial, coclear y vestibular, 13. nervio trigémino y vena petrosa superior (Dandy), 14. nervio troclear, 15. nervio oculomotor.
Figura 10: La mastoidectomía debe realizarse por etapas. El primer paso es el drenage de la porción cortical del mastoideo (A). El siguiente paso es identificar el antro mastoideo (1), que no es más que una celda aérea grande. En la profundidad del antro se identificará la cápsula óptica (canales semicirculares) de color amarillento. El antro mastoideo suele estar 5 mm posterior a la espina de henle (flecha), que se encuentra en la parte posterior y superior del conducto auditivo externo (B). El drenage delicado para la individualización de los canales semicirculares es importante porque el nervio facial estará anterior al canal semicircular lateral. El receso facial se encuentra entre la porción mastoidea del nervio facial y el nervio de la cuerda del tímpano y da acceso al promontorio. Es importante señalar que en el abordaje petroso posterior, no es necesario exponer el nervio facial, sino sólo la dira del triángulo trautmann. La laberintectomía (no mostrada aquí) consiste en el drenage de los canales semicirculares y en dar acceso al conducto auditivo interno (C). En esta última etapa, se drena la pared posterior del meato y se exponen los huesecillos del oído medio, así como el promontorio (D). 1. antro, 2. seno sigmoideo, 3. tegmen mastoideo (duramadre de la fosa media), 4. pared inferior del conducto auditivo externo, 5. canal semicircular lateral, 6. canal semicircular posterior, 7. porción mastoidea del nervio facial, 8. nervio de la cuerda del tímpano, 9. receso facial, 10. Buttress es un puente óseo artificial creado durante la mastoidectomía, 11. yunque, 12. bulbo yugular, 13. membrana timpánica, 14. promontorio, 15. ángulo de citelli, ubicado entre la duramadre en la fosa posterior y media, 16. huesecillos.
Figura 11: Mastoidectomía que muestra el triángulo del trautmann después de la extracción de las celdas aéreas en la mastoides. El espacio triangular está sobre la duramadre pre-sigmoidea. 1. seno sigmoideo, 2. seno petroso superior, 3. ángulo sinodural (de Citelli), 4. canal semicircular posterior, 5. canal semicircular superior, 6. canal semicircular lateral. 7. nervio facial, 8. membrana timpánica, 9. cóndilo mandibular, 10. bulbo yugular.
Se realizan dos trepanaciones por encima y dos por debajo del seno sigmoideo y, con una broca de alta rotación, se realiza una craneotomía, exponiendo la fosa media y posterior (retrosigmoidea). Los senos petrosos superior, sigmoideo y transversal son expuestos. Las células del mastoideo retrofacial son removidas hasta el bulbo yugular. Se extraen las células cigomáticas y supralaberínticas, manteniendo intactos los canales semicirculares y el oído medio. El seno petroso superior se coagula conectándose en dos puntos con miniclips o solo coagulación. Se hace una incisión en la duramadre, anterior al seno sigmoideo y paralela al piso de la fosa media. Se secciona el seno petroso superior. Se realiza una incisión en el tentorio, inicialmente perpendicular al seno petroso superior de 2 a 3 centímetros, y luego medialmente paralelo al seno transverso en otros 3 centímetros. Esta maniobra permite una amplia exposición del cerebelo, separándolo del aspecto posterior del lóbulo temporal en “libro abierto”.
Figura 12: La apertura del tentorio durante la petrosecotomía posterior ofrece un amplio corredor quirúrgico para la fosa media y posterior (B). Corte coronal que muestra la incisura de la tienda (flecha) abierta que da acceso a la fosa media y posterior (C).
Se debe tener cuidado para preservar la vena de Labbé, que tiene una anatomía variable y generalmente ingresa al seno transverso 10 milímetros antes de su unión con el seno sigmoideo. La evaluación preoperatoria de la anatomía venosa con venografía por MRI es esencial para planificar este abordaje. La vena de labbé que drene al seno petroso superior o drene más de 2 cm anterior a la unión del seno sigmoideo con el seno transverso contraindica el abordaje petroso.
Figura 13: El estudio de la posición del drenaje de la vena anastomótica inferior (Labbé) se realiza para evaluar cuando se pretende realizar el abordaje petroso posterior. La vena de Labbé comúnmente drena en la unión de los senos transverso y sigmoideo (flecha). Pieza anatómica (A). Resonancia venosa (B).
Aunque se ha descrito una técnica en la que se abre el tentorio preservando la vena de Labbé(9), creemos que existe el riesgo de un infarto venoso cuando existe esta variación anatómica, principalmente si es una vena Labbé dominante o en un hemisferio dominante (afasia anómica debido a un infarto de la parte posterior del giro temporal inferior). En estos casos, optamos por un abordaje suboccipital retrosigmoideo. La incisión del tentorio continúa hasta la muesca donde se expone y preserva el nervio craneal IV (generalmente colocamos un hisopo de algodón para proteger el nervio en el fondo del campo quirúrgico mientras se corta la tienda del cerebelo). Algunas pequeñas venas del puente basal del lóbulo temporal anterior se coagulan y cortan, permitiendo una amplia exposición subtemporal. Aunque se pueden colocar cuidadosamente dos espátulas en el cerebro, apoyando el lóbulo temporal y el cerebelo, exponiendo toda la región petroclival de los nervios craneales III a VII y VIII, hemos observado en nuestros casos que no hay necesidad de usar espátulas. El nervio trigémino generalmente se puede ver desplazado posterior y superiormente. El tumor se desvasculariza por la coagulación bipolar de su inserción dural. Se debe tener especial cuidado al coagular el aspecto medial del tumor para evitar lesiones en el nervio abducens.

Figura 14: El abordaje petroso posterior está indicado para meningiomas petroclivales con inserción en el clivus medio y superior (A) y extensión en la fosa media (B). La venografía por resonancia magnética muestra el drenaje de la vena de Labbé en la unión de los senos transverso y sigmoideo (C). Imagen intraoperatoria del nervio oculomotor (D) y troclear (E) después de la resección del tumor. El facial está dentro del bloque óseo (*) y no necesita exponerse (F). Resonancia magnética con gadolinio postoperatorio (G y H). Paciente sin paresia postoperatoria de los nervios craneales (I).
Abordaje retrosigmoideo
El abordaje retrosigmoideo es simple y fácil de realizar en comparación con los enfoques petrosos. Está indicado cuando el tumor se encuentra principalmente en la fosa posterior, con una pequeña extensión en la fosa media y la porción posterior del seno cavernoso (figura 2). Este abordaje permite alcanzar los tres tercios del clivus. Las supuestas desventajas son la mayor distancia entre el cirujano y el tumor en relación con los abordajes petrosos y la mayor retracción del cerebelo. Sin embargo, estas desventajas son menos evidentes hoy en día debido a la mayor flexibilidad y dinámica de los microscopios quirúrgicos modernos y al posicionamiento de la cabeza girada en posición supina, lo que hace que el cerebelo se mueva lateralmente por gravedad, sin necesidad de retracción, respectivamente. Para tumores de 3 cm o menos, solo hemos utilizado el abordaje suboccipital con excelentes resultados (figura 14). Aunque los abordajes petrosos están reservados para tumores más grandes del clivus medio y superior, el abordaje retrosigmoideo alcanza la extensión completa del clivus. Se debe tener en cuenta la preferencia personal y algunos neurocirujanos optan por la petrosectomía en prácticamente todos los casos.(8)
En decúbito dorsal (posición mastoidea) con rotación y extensión lateral de la cabeza o en decúbito lateral, la incisión en la piel comienza en la región retromastoidea, 5 cm detrás del conducto auditivo externo y se extiende 2 cm desde la punta del mastoides, terminando en la región cervical superior. La fascia y los músculos se seccionan inferiormente, exponiendo el hueso occipital, el asterión y la región retromastoidea. Se realiza una craneotomía o craniectomía (con reconstrucción posterior con cemento óseo) de 4 cm de diámetro exponiendo los senos transverso y sigmoideo. La visualización clara de estos dos senos es crucial. La craneotomía puede guiarse por neuronavegación para localizar los senos sigmoideo y transverso. La vena emisaria mastoidea se coagula y se corta u ocluye con cera ósea. Se hace una incisión en la duramadre paralelamente al seno sigmoideo, retrayendo ligeramente la cara lateral del cerebelo, abriendo la cisterna cerebelomedular. Los nervios craneales VII y VIII generalmente se encuentran posteriores a la cápsula tumoral, a menudo se incorporan al tumor y se debe realizar una disección muy cuidadosa, con monitoreo intraoperatorio. El nervio craneal V se encuentra en el polo superior del tumor o se desplaza hacia arriba con el nervio craneal IV a través del margen libre del tentorio. El nervio craneal VI generalmente se localiza anteriormente o dentro del tumor, su identificación y disección solo es posible después de una reducción extensa de la lesión. Después de la coagulación de los anexos durales, se realiza una resección intracapsular fragmentada entre los nervios craneales a través de "ventanas" (tentorio-V; V-VII y VIII; VII y VIII-IX, X, XI). La afectación tumoral de la arteria basilar y sus ramas, así como la arteria vertebral, es común pero generalmente hay un buen plan con las arterias. La disección del plano aracnoideo alrededor de los vasos y nervios craneales es necesaria para preservar estas estructuras. El abordaje retrosigmoideo permite la resección del tumor ubicado inferior al agujero yugular hasta la parte posterior del seno cavernoso. Los tumores con extensión a la fosa media pueden resecarse, abriendo el tentorio y drilando el tubérculo suprameatal y ápex petroso.52 Después de la extirpación total del tumor, se cierra la duramadre. Todas las celdas mastoideas abiertas son selladas con injerto muscular y pegamento de fibrina.
DISCUSIÓN
La ubicación petroclival corresponde al cuerpo del hueso esfenoides y a la porción central anterior del hueso occipital, estando limitado lateralmente en el ápex petroso. El piso está compuesto por los ligamentos petroclinoideo y tentorial.
Contienen estructuras neurovasculares importantes que estos tumores frecuentemente involucran o desplazan, como la arteria basilar y sus ramas (arterias cerebelosas anterior-inferior y posterior- inferior, ramas perforantes, cerebelosa superior, cerebral posterior). La vena petrosa superior generalmente se desplaza hacia atrás, los nervios craneales III y IV se desplazan hacia arriba y el VI generalmente está rodeado por el tumor o se desplaza hacia arriba.1
Los meningiomas petroclivales, por definición, tienen su origen medial a los nervios craneales V, VII, VIII, IX, X y XI, y alcanzan el tentorio. A menudo se extienden hasta la fosa media, seno cavernoso, cisterna prepontina, descienden al agujero magno y pueden invadir la piamadre y causar compresión del tronco encefálico, que tiene potencial de aumentar su morbilidad. Los meningiomas del clivus inferior (llamados meningiomas del borde anterior del agujero magno),18 del ángulo pontocerebeloso (meningiomas tentorial o petroso)20 y del ala esfenoidal pueden alcanzar estas áreas, pero no se consideran de origen petroclival.1 Los meningiomas petroclivales que afectan al seno cavernoso se pueden clasificar como esfenopetroclivales.8
El meningioma petroclival no debe confundirse con meningioma petroso o tentorial. El meningioma petroclival tiene una inserción más anterior y medial en el clivus. Prácticamente todos los meningiomas tentoriales o petrosos se pueden resecar utilizando el abordaje retrosigmoideo.
Entre los meningiomas de la fosa posterior, la variante petrosa o tentorial tiene un origen tumoral posterior a la fisura petroclival. En éste, los nervios craneales están desplazados antes que el tumor, lo que generalmente reduce el riesgo de morbilidad quirúrgica en comparación con el meningioma petroclival. El abordaje suboccipital suele ser suficiente para los meningiomas tentoriales ubicados en la fosa posterior,26,27 y las lesiones pueden considerarse menos complejas que las petroclivales.
Antes de definir el abordaje a utilizar es necesario tener algunos datos preoperatorios. Si el paciente tiene la audición conservada, no se debe realizar la laberintectomía. En este caso, se utiliza el abordaje petroso posterior sin laberintectomía. Durante el drilaje del mastoides no es necesario esqueletizar la porción mastoidea del nervio facial, ya que el espacio necesario para abrir la duramadre es el del triángulo del trautmann. El abordaje supra-infratentorial presigmoideo presupone una retracción superior del lóbulo temporal. En estos casos, el estudio de la inserción de la vena de Labbé es crucial, ya que una vena de Labbé con drenaje en el seno petroso superior o muy anterior tiene el potencial de contraindicar este abordaje. Del mismo modo, un bulbo yugular alto o un pequeño espacio entre el canal semicircular posterior y el seno sigmoideo. Este último hallazgo no es infrecuente en la población pediátrica.

Figura 15: Para el abordaje retrosigmoideo utilizamos el abordaje de decúbito lateral (Park Bench).
Todos los pacientes con hidrocefalia deben ser tratados antes del procedimiento con DVP, DVE (en el quirófano) o tercera ventriculostomía endoscópica.
En los meningiomas petroclivales, la extracción total se obtiene con mayor frecuencia en lesiones pequeñas, con morbilidad en comparación con la radiocirugía,38 con la clara ventaja de la posibilidad de curación. La extirpación subtotal con o sin tratamiento adyuvante generalmente se realiza cuando hay invasión del seno cavernoso. Little y colaboradores realizaron la resección subtotal en pacientes con tumores adherentes o fibrosos, lo que redujo significativamente la tasa de déficit neurológico postoperatorio sin aumentar significativamente la tasa de recurrencia del tumor.6 Nanda y sus colaboradores en su serie de cincuenta pacientes con meningiomas petroclivales lograron la resección total en sólo el 28%, con buenos resultados funcionales en el 92% de los pacientes, enfatizando el objetivo quirúrgico principal de lograr la resección tumoral máxima mientras se mantienen o mejoran los resultados funcionales, lo que sugiere el tratamiento de tumores residuales o recurrentes con radiocirugía estereotáctica.7
Un estudio reciente publicado por Al-Mefty, Dunn y sus colaboradores8 informó sobre una serie de 64 pacientes tratados entre 1988 y 2012. Destacaron que la eliminación total (resección de grado I o II) de meningiomas petroclivales fue posible en el 76,4% de los casos y que fue facilitada mediante el uso de abordajes de base de cráneo, con buenos resultados y estado funcional. Los autores sugirieron además que, en casos donde las circunstancias impiden la extirpación total, se pueden seguir los tumores residuales hasta que la progresión sea evidente, cuando se puede planificar una nueva intervención.
Debido al hecho de ser tumores benignos en su gran mayoría, la resección quirúrgica de los meningiomas petroclivales puede ser curativa. La resección tumoral Simpson I, II o III afecta directamente el tiempo de supervivencia de los pacientes. Sin embargo, algunos tumores son más difíciles o incluso imposibles de extirpar quirúrgicamente sin causar secuelas neurológicas. Los tumores con un comportamiento biológico más agresivo e invasivo (que puede evidenciarse principalmente por un edema en el tronco encefálico), tumores que invaden el seno cavernoso o tumores calcificados con una gran área de hiperostosis se tratan mejor con citorreducción tumoral para descompresión del tronco encefálico, y no resección total.
El conocimiento práctico de esta anatomía adquirida en el laboratorio de microcirugía es una parte fundamental del cirujano que tiene la intención de operar meningiomas petroclivales.
COMENTARIO
Los meningiomas petroclivales constituyen uno de los desafíos quirúrgicos más complejos en el campo de la cirugía de base de cráneo. Si bien son en general tumores de comportamiento histológico benignos y de crecimiento lento, su ubicación anatómica rodeada de una abundante densidad de estructuras neurovasculares que generan síntomas por compresión de pares craneanos y del tronco encefálico, entre otras, va en detrimento de la calidad de vida del paciente y genera la necesidad de ofrecer un tratamiento, siendo el quirúrgico la mejor opción en la actualidad. Es debido a las estrechas relaciones con estructuras neurovasculares acorde a su ubicación que es preciso conocer de forma exhaustiva la anatomía de la región con el fin de garantizar la máxima resección con menor morbilidad posible. A su vez, la ubicación y extensión de estas lesiones nos obligan a un correcto planeamiento acerca de cómo abordar un tumor petroclival en cada paciente determinado. El cirujano debe manejar diferentes abordajes quirúrgicos a la base de cráneo en su arsenal para posteriormente adecuarlos en la práctica quirúrgica.
En el presente artículo, la anatomía y la técnica quirúrgica en abordajes a la región petroclival fueron revisadas y gratamente ejemplificadas en preparados cadavéricos de alta calidad. Exhortamos a quienes quieran incursionar en el camino de la cirugía de base de cráneo a mantener vivo el estudio acabado de la anatomía, así como a entrenar en laboratorios de disección con el fin de dominar las técnicas quirúrgicas de la misma manera que nos demostró el presente artículo.
Pablo Augusto Rubino
Federico Gallardo
Neurocirugía Hospital de Alta complejidad "El Cruce". Florencio Varela, Buenos Aires, Argentina.
COMENTARIO
Los autores presentan un artículo titulado “Abordajes quirúrgicos de los meningiomas petroclivales. Parte 1: Anatomía microquirúrgica”. La presentación está basada en disecciones cadavéricas para el estudio microquirúrgico de los abordajes a la región petroclival. Los abordajes presentados son: A) abordaje pterional y sus variantes (fronto-orbito-cigomático y pre-temporal), B) abordaje petroso y sus variantes (petrosectomía posterior, anterior y total o “double petrosal approach”) y C) el abordaje retrosigmoideo. Hay una detallada descripción anatómica del paso a paso de los abordajes, indicaciones y precauciones para tener en cuenta en cada uno de ellos.
Los meningiomas son tumores en su gran mayoría benignos y de lento crecimiento. Los ubicados en la región petroclival representan un verdadero desafío para el neurocirujano por varios motivos: ubicación central y profunda de la lesión, íntima relación con estructuras neurovasculares importantísimas (los pares craneanos IV al XII, la arteria basilar y sus ramas como así también la arteria carótida y sus ramas si hacemos un abordaje anterior), abordajes complejos con relaciones muy importantes como el oído, la arteria carótida, algunos pares craneanos, seno lateral-sigmoideo y la vena de Labbé. La resección total del meningioma brinda la cura al paciente, pero la morbimortalidad puede aumentar, es por eso que los abordajes se van refinando y mejorando con los estudios anatómicos y la práctica diaria. La experiencia en estos tumores nos enseña a optimizar el momento de indicar la cirugía, la vía de abordaje y la difícil decisión de hacer una resección total versus subtotal con eventual radioterapia.
Ruben Mormandi
FLENI. C.A.B.A., Argentina.